Host
Mouse
Reactivity
Human
Clonality
Monoclonal
Isotype
IgG1
Form/Format
SMAD4 / DPC4 is a mouse monoclonal antibody derived from cell culture supernatant that is concentrated, dialyzed, filter sterilized and diluted in buffer pH 7.5, containing BSA and sodium azide as a preservative.
Applicable Applications for anti-SMAD4/DPC4 antibody
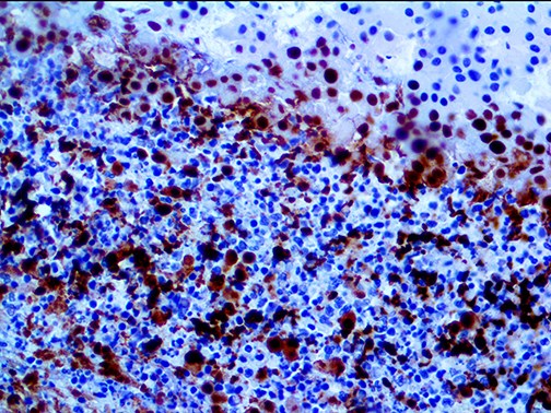
IHC (Immunohistochemistry)
Localization
Nuclear
Control
Pancreas, Thyroid, Placenta, Cervix, TCC & Lymphoblastic Lymphoma
Intended Use
This antibody is intended for use in Immunohistochemical applications on formalin-fixed paraffinembedded tissues (FFPE), frozen tissue sections and cell preparations. Interpretation of results should be performed by a qualified medical professional.
Immunogen
Synthetic peptide corresponding to the N-terminus of the human SMAD4 protein.
Preparation and Storage
Store at 2 to 8 degree C in the dark.
Related Product Information for anti-SMAD4/DPC4 antibody
SMAD 4, also known as DPC4 or SMAD family member n degree 4, is a protein involved in cell signaling in mammals. SMAD 4 forms with SMAD 3 a complex which can bind to DNA and modify the expression of several genes related to cellular activities such as proliferation or differentiation. SMAD 4 serves as a mediator between extracellular growth factors from the TGFbeta family and genes inside the cell nucleus. The abbreviation coin co-SMAD stands for common mediator. SMAD 4 is also defined as a signal transducer.
SMAD4, is often found mutated in many cancers. The mutation can be inherited or acquired during an individual's lifetime. If inherited, the mutation affects both somatic and sexual cells. If the SMAD 4 mutation is acquired, it will only exist in certain somatic cells. Indeed, SMAD 4 is not synthesized by all cells. The protein is present in skin, pancreatic, colon, uterus and epithelial cells. It is also produced by fibroblasts. The functional SMAD 4 participates in the regulation of the TGF-beta signal transduction pathway, which negatively regulates growth of epithelial cells and the extracellular matrix (ECM). When the structure of SMAD 4 is altered, expression of the genes involved in cell growth is no longer regulated and cell proliferation can go on without any inhibition. The important number of cell divisions leads to the forming of tumors and then to multiploid colorectal cancer and pancreatic carcinoma. It is found inactivated in at least 50% of pancreatic cancers. SMAD 4 is also found mutated in the autosomal dominant disease juvenile polyposis syndrome (JPS). JPS is characterized by hamartomatous polyps in the gastrointestinal (GI) tract. These polyps are usually benign, however they are at greater risk of developing gastrointestinal cancers, in particular colon cancer.
Approximately 55% of pancreatic cancers bear deletions or mutations in SMAD4/DPC4. Patients undergoing surgical resection of their pancreatic adenocarcinoma, survival of patients whose tumors expressed SMAD4 protein was significantly longer (unadjusted median survival, 19.2 months) as compared with 14.7 months without SMAD4 protein expression (P = 0.03). This SMAD4 survival benefit persisted after adjustment for prognostic factors including tumor size, margin status, lymph node status, pathological stage, blood loss, and use of adjuvant chemoradiotherapy.
SMAD4, is often found mutated in many cancers. The mutation can be inherited or acquired during an individual's lifetime. If inherited, the mutation affects both somatic and sexual cells. If the SMAD 4 mutation is acquired, it will only exist in certain somatic cells. Indeed, SMAD 4 is not synthesized by all cells. The protein is present in skin, pancreatic, colon, uterus and epithelial cells. It is also produced by fibroblasts. The functional SMAD 4 participates in the regulation of the TGF-beta signal transduction pathway, which negatively regulates growth of epithelial cells and the extracellular matrix (ECM). When the structure of SMAD 4 is altered, expression of the genes involved in cell growth is no longer regulated and cell proliferation can go on without any inhibition. The important number of cell divisions leads to the forming of tumors and then to multiploid colorectal cancer and pancreatic carcinoma. It is found inactivated in at least 50% of pancreatic cancers. SMAD 4 is also found mutated in the autosomal dominant disease juvenile polyposis syndrome (JPS). JPS is characterized by hamartomatous polyps in the gastrointestinal (GI) tract. These polyps are usually benign, however they are at greater risk of developing gastrointestinal cancers, in particular colon cancer.
Approximately 55% of pancreatic cancers bear deletions or mutations in SMAD4/DPC4. Patients undergoing surgical resection of their pancreatic adenocarcinoma, survival of patients whose tumors expressed SMAD4 protein was significantly longer (unadjusted median survival, 19.2 months) as compared with 14.7 months without SMAD4 protein expression (P = 0.03). This SMAD4 survival benefit persisted after adjustment for prognostic factors including tumor size, margin status, lymph node status, pathological stage, blood loss, and use of adjuvant chemoradiotherapy.
Customer Reviews
Loading reviews...
Share Your Experience
Similar Products
Product Notes
The SMAD4/DPC4 (Catalog #AAA59305) is an Antibody produced from Mouse and is intended for research purposes only. The product is available for immediate purchase. The SMAD4/DPC4 reacts with Human and may cross-react with other species as described in the data sheet. AAA Biotech's SMAD4/DPC4 can be used in a range of immunoassay formats including, but not limited to, IHC (Immunohistochemistry). Researchers should empirically determine the suitability of the SMAD4/DPC4 for an application not listed in the data sheet. Researchers commonly develop new applications and it is an integral, important part of the investigative research process. It is sometimes possible for the material contained within the vial of "SMAD4/DPC4, Monoclonal Antibody" to become dispersed throughout the inside of the vial, particularly around the seal of said vial, during shipment and storage. We always suggest centrifuging these vials to consolidate all of the liquid away from the lid and to the bottom of the vial prior to opening. Please be advised that certain products may require dry ice for shipping and that, if this is the case, an additional dry ice fee may also be required.Precautions
All products in the AAA Biotech catalog are strictly for research-use only, and are absolutely not suitable for use in any sort of medical, therapeutic, prophylactic, in-vivo, or diagnostic capacity. By purchasing a product from AAA Biotech, you are explicitly certifying that said products will be properly tested and used in line with industry standard. AAA Biotech and its authorized distribution partners reserve the right to refuse to fulfill any order if we have any indication that a purchaser may be intending to use a product outside of our accepted criteria.Disclaimer
Though we do strive to guarantee the information represented in this datasheet, AAA Biotech cannot be held responsible for any oversights or imprecisions. AAA Biotech reserves the right to adjust any aspect of this datasheet at any time and without notice. It is the responsibility of the customer to inform AAA Biotech of any product performance issues observed or experienced within 30 days of receipt of said product. To see additional details on this or any of our other policies, please see our Terms & Conditions page.Item has been added to Shopping Cart
If you are ready to order, navigate to Shopping Cart and get ready to checkout.
