Mouse anti-Human SOD2 Monoclonal Antibody | anti-SOD2 antibody
SOD2 Antibody
WB (Western Blot)
(Western blot analysis of anti-SOD2 Monoclonal Antibody by SOD2-GST fusion protein (GST MW=26 kD. SOD2-GST fusion protein (arrow) was detected using the purified Mab. (1:2000))
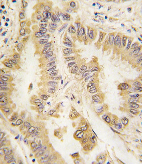
IHC (Immunohiostchemistry)
(Formalin-fixed and paraffin-embedded human lung carcinoma tissue reacted with SOD2 Monoclonal Antibody , which was peroxidase-conjugated to the secondary antibody, followed by DAB staining. This data demonstrates the use of this antibody for immunohistochemistry; clinical relevance has not been evaluated.)
WB (Western Blot)
(All lanes : Anti-SD Antibody at 1:2000 dilutionLane 1: Hela whole cell lysatesLane 2: human brain lysatesLane 3: human heart lysatesLane 4: human liver lysatesLysates/proteins at 20 ug per lane.SecondaryGoat Anti-Rabbit IgG, (H+L), Peroxidase conjugated at 1/10000 dilutionPredicted band size : 25 kDaBlocking/Dilution buffer: 5% NFDM/TBST.)
Association between the rs4880 superoxide dismutase 2 (C>T) gene variant and coronary heart disease in diabetes mellitus. Jones DA, et al. Diabetes Res Clin Pract, 2010 Aug 20. PMID 20728955.
Assessing oxidative pathway genes as risk factors for bipolar disorder. Fullerton JM, et al. Bipolar Disord, 2010 Aug. PMID 20712757.
Do genetic variations in antioxidant enzymes influence the course of hereditary hemochromatosis? Nahon P, et al. Antioxid Redox Signal, 2010 Aug 1. PMID 20673159.
Manganese superoxide dismutase versus p53: the mitochondrial center. Holley AK, et al. Ann N Y Acad Sci, 2010 Jul. PMID 20649542.
NCBI and Uniprot Product Information
Customer Reviews
Loading reviews...
Share Your Experience
Similar Products
Product Notes
The SOD2 sod2 (Catalog #AAA283568) is an Antibody produced from Mouse and is intended for research purposes only. The product is available for immediate purchase. The SOD2 Antibody reacts with Human and may cross-react with other species as described in the data sheet. AAA Biotech's SOD2 can be used in a range of immunoassay formats including, but not limited to, IHC (Immunohistochemistry), ELISA, WB (Western Blot). Researchers should empirically determine the suitability of the SOD2 sod2 for an application not listed in the data sheet. Researchers commonly develop new applications and it is an integral, important part of the investigative research process. It is sometimes possible for the material contained within the vial of "SOD2, Monoclonal Antibody" to become dispersed throughout the inside of the vial, particularly around the seal of said vial, during shipment and storage. We always suggest centrifuging these vials to consolidate all of the liquid away from the lid and to the bottom of the vial prior to opening. Please be advised that certain products may require dry ice for shipping and that, if this is the case, an additional dry ice fee may also be required.Precautions
All products in the AAA Biotech catalog are strictly for research-use only, and are absolutely not suitable for use in any sort of medical, therapeutic, prophylactic, in-vivo, or diagnostic capacity. By purchasing a product from AAA Biotech, you are explicitly certifying that said products will be properly tested and used in line with industry standard. AAA Biotech and its authorized distribution partners reserve the right to refuse to fulfill any order if we have any indication that a purchaser may be intending to use a product outside of our accepted criteria.Disclaimer
Though we do strive to guarantee the information represented in this datasheet, AAA Biotech cannot be held responsible for any oversights or imprecisions. AAA Biotech reserves the right to adjust any aspect of this datasheet at any time and without notice. It is the responsibility of the customer to inform AAA Biotech of any product performance issues observed or experienced within 30 days of receipt of said product. To see additional details on this or any of our other policies, please see our Terms & Conditions page.Item has been added to Shopping Cart
If you are ready to order, navigate to Shopping Cart and get ready to checkout.
