Mouse SOX2 Monoclonal Antibody | anti-SOX2 antibody
SOX2 (Transcription Factor)
Gene Names
SOX2; ANOP3; MCOPS3
Reactivity
Human. Others not known.
Applications
Immunohistochemistry, Western Blot, Immunofluorescence, Flow Cytometry, Functional Assay, ELISA
Synonyms
SOX2, Antibody; SOX2 (Transcription Factor); ANOP3; Delta EF2a; MCOPS3 (Microphthalmia Syndromic type 3); SOX-2; SRY (sex determining region Y) box 2; SRY related HMG box 2; Transcription factor SOX-2; ysb; anti-SOX2 antibody
Host
Mouse
Reactivity
Human. Others not known.
Clonality
Monoclonal
Isotype
IgG2b, kappa
Clone Number
SOX2/1791
Specificity
SOX2 is a member of the SRY-related HMG-box (SOX) family of transcription factors involved in the regulation of embryonic development and in the determination of cell fate. At present, 30 Sox genes have been identified. SOX2 is required for stem cell maintenance in the central nervous system, and it also regulates gene expression in the stomach. SOX2 is necessary for regulating multiple transcription factors that affect Oct 3/4 expression. An essential function of SOX2 is to stabilize embryonic stem cells in a pluripotent state by maintaining the requisite level of Oct 3/4 expression.
Form/Format
200ug/ml of Ab purified from Bioreactor Concentrate by Protein A/G. Prepared in 10mM PBS with 0.05% BSA & 0.05% azide. Also available WITHOUT BSA & azide at 1.0mg/ml.
Sequence Length
317
Applicable Applications for anti-SOX2 antibody
IHC (Immunohistochemistry), WB (Western Blot), IF (Immunofluorescence), FCM/FACS (Flow Cytometry), ELISA
Immunogen
Recombinant human SOX2 protein fragment (aa176-305)
Cellular Localization
Nuclear
Hu-chromosome Location
3q26.33
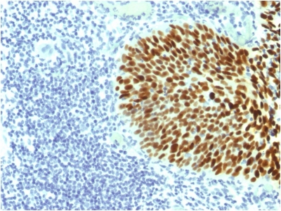
Positive Control
MCF-7 cells or Cervical carcinoma
Preparation and Storage
Antibody with azide - store at 2 to 8 degree C.
Antibody without azide - store at -20 to -80 degree C.
Antibody is stable for 24 months. Non-hazardous. No MSDS required.
Antibody without azide - store at -20 to -80 degree C.
Antibody is stable for 24 months. Non-hazardous. No MSDS required.
References
Laudet, V., Stehelin, D. and Clevers, H. 1993. Ancestry and diversity of the HMG box superfamily. Nucleic Acids Res. 21: 2493-2501
NCBI and Uniprot Product Information
NCBI GI #
NCBI GeneID
NCBI Accession #
NCBI GenBank Nucleotide #
Molecular Weight
34kDa
NCBI Official Full Name
transcription factor SOX-2
NCBI Official Synonym Full Names
SRY-box 2
NCBI Official Symbol
SOX2
NCBI Official Synonym Symbols
ANOP3; MCOPS3
NCBI Protein Information
transcription factor SOX-2
UniProt Protein Name
Transcription factor SOX-2
UniProt Gene Name
SOX2
Customer Reviews
Loading reviews...
Share Your Experience
Similar Products
Product Notes
The SOX2 sox2 (Catalog #AAA214516) is an Antibody produced from Mouse and is intended for research purposes only. The product is available for immediate purchase. The SOX2 (Transcription Factor) reacts with Human. Others not known. and may cross-react with other species as described in the data sheet. AAA Biotech's SOX2 can be used in a range of immunoassay formats including, but not limited to, IHC (Immunohistochemistry), WB (Western Blot), IF (Immunofluorescence), FCM/FACS (Flow Cytometry), ELISA. Researchers should empirically determine the suitability of the SOX2 sox2 for an application not listed in the data sheet. Researchers commonly develop new applications and it is an integral, important part of the investigative research process. It is sometimes possible for the material contained within the vial of "SOX2, Monoclonal Antibody" to become dispersed throughout the inside of the vial, particularly around the seal of said vial, during shipment and storage. We always suggest centrifuging these vials to consolidate all of the liquid away from the lid and to the bottom of the vial prior to opening. Please be advised that certain products may require dry ice for shipping and that, if this is the case, an additional dry ice fee may also be required.Precautions
All products in the AAA Biotech catalog are strictly for research-use only, and are absolutely not suitable for use in any sort of medical, therapeutic, prophylactic, in-vivo, or diagnostic capacity. By purchasing a product from AAA Biotech, you are explicitly certifying that said products will be properly tested and used in line with industry standard. AAA Biotech and its authorized distribution partners reserve the right to refuse to fulfill any order if we have any indication that a purchaser may be intending to use a product outside of our accepted criteria.Disclaimer
Though we do strive to guarantee the information represented in this datasheet, AAA Biotech cannot be held responsible for any oversights or imprecisions. AAA Biotech reserves the right to adjust any aspect of this datasheet at any time and without notice. It is the responsibility of the customer to inform AAA Biotech of any product performance issues observed or experienced within 30 days of receipt of said product. To see additional details on this or any of our other policies, please see our Terms & Conditions page.Item has been added to Shopping Cart
If you are ready to order, navigate to Shopping Cart and get ready to checkout.
