Mouse STAT1 Monoclonal Antibody | anti-STAT1 antibody
STAT1 mouse Monoclonal Antibody (8H11)
Gene Names
STAT1; CANDF7; ISGF-3; STAT91
Reactivity
Human, Mouse, Rat
Applications
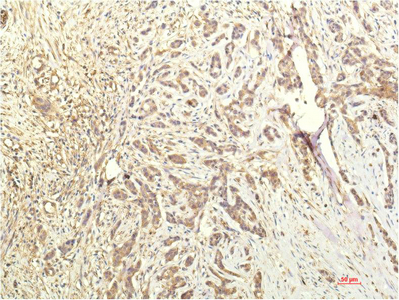
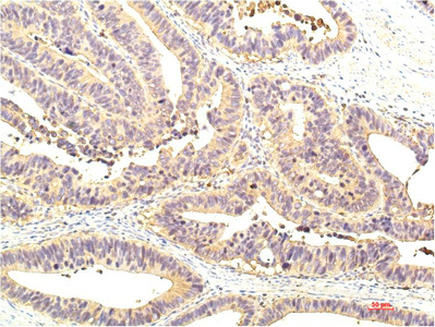
Immunohistochemistry
Synonyms
STAT1, Antibody; STAT1 mouse Monoclonal Antibody (8H11); STAT1; anti-STAT1 antibody
Host
Mouse
Reactivity
Human, Mouse, Rat
Clonality
Monoclonal
Clone Number
8H11
Applicable Applications for anti-STAT1 antibody
IHC (Immunohistochemistry)
Preparation and Storage
Maintain refrigerated at 2-8 degree C for up to 2 weeks. For long term storage store at -20 degree C in small aliquots to prevent freeze-thaw cycles.
Related Product Information for anti-STAT1 antibody
Signal transducer and transcription activator that mediates cellular responses to interferons (IFNs), cytokine KITLG/SCF and other cytokines and other growth factors. Following type I IFN (IFN-alpha and IFN-beta) binding to cell surface receptors, signaling via protein kinases leads to activation of Jak kinases (TYK2 and JAK1) and to tyrosine phosphorylation of STAT1 and STAT2. The phosphorylated STATs dimerize and associate with ISGF3G/IRF-9 to form a complex termed ISGF3 transcription factor, that enters the nucleus (PubMed:28753426). ISGF3 binds to the IFN stimulated response element (ISRE) to activate the transcription of IFN-stimulated genes (ISG), which drive the cell in an antiviral state. In response to type II IFN (IFN-gamma), STAT1 is tyrosine- and serine-phosphorylated (PubMed:26479788). It then forms a homodimer termed IFN-gamma-activated factor (GAF), migrates into the nucleus and binds to the IFN gamma activated sequence (GAS) to drive the expression of the target genes, inducing a cellular antiviral state. Becomes activated in response to KITLG/SCF and KIT signaling. May mediate cellular responses to activated FGFR1, FGFR2, FGFR3 and FGFR4.
NCBI and Uniprot Product Information
NCBI GI #
NCBI GeneID
NCBI Accession #
NCBI GenBank Nucleotide #
Molecular Weight
87,335 Da
NCBI Official Full Name
signal transducer and activator of transcription 1-alpha/beta isoform alpha
NCBI Official Synonym Full Names
signal transducer and activator of transcription 1, 91kDa
NCBI Official Symbol
STAT1
NCBI Official Synonym Symbols
CANDF7; ISGF-3; STAT91
NCBI Protein Information
signal transducer and activator of transcription 1-alpha/beta; transcription factor ISGF-3 components p91/p84; signal transducer and activator of transcription-1
UniProt Protein Name
Signal transducer and activator of transcription 1-alpha/beta
UniProt Gene Name
STAT1
UniProt Entry Name
STAT1_HUMAN
Customer Reviews
Loading reviews...
Share Your Experience
Similar Products
Product Notes
The STAT1 stat1 (Catalog #AAA293763) is an Antibody produced from Mouse and is intended for research purposes only. The product is available for immediate purchase. The STAT1 mouse Monoclonal Antibody (8H11) reacts with Human, Mouse, Rat and may cross-react with other species as described in the data sheet. AAA Biotech's STAT1 can be used in a range of immunoassay formats including, but not limited to, IHC (Immunohistochemistry). Researchers should empirically determine the suitability of the STAT1 stat1 for an application not listed in the data sheet. Researchers commonly develop new applications and it is an integral, important part of the investigative research process. It is sometimes possible for the material contained within the vial of "STAT1, Monoclonal Antibody" to become dispersed throughout the inside of the vial, particularly around the seal of said vial, during shipment and storage. We always suggest centrifuging these vials to consolidate all of the liquid away from the lid and to the bottom of the vial prior to opening. Please be advised that certain products may require dry ice for shipping and that, if this is the case, an additional dry ice fee may also be required.Precautions
All products in the AAA Biotech catalog are strictly for research-use only, and are absolutely not suitable for use in any sort of medical, therapeutic, prophylactic, in-vivo, or diagnostic capacity. By purchasing a product from AAA Biotech, you are explicitly certifying that said products will be properly tested and used in line with industry standard. AAA Biotech and its authorized distribution partners reserve the right to refuse to fulfill any order if we have any indication that a purchaser may be intending to use a product outside of our accepted criteria.Disclaimer
Though we do strive to guarantee the information represented in this datasheet, AAA Biotech cannot be held responsible for any oversights or imprecisions. AAA Biotech reserves the right to adjust any aspect of this datasheet at any time and without notice. It is the responsibility of the customer to inform AAA Biotech of any product performance issues observed or experienced within 30 days of receipt of said product. To see additional details on this or any of our other policies, please see our Terms & Conditions page.Item has been added to Shopping Cart
If you are ready to order, navigate to Shopping Cart and get ready to checkout.
