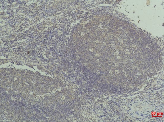
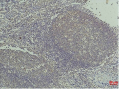
Mouse TNF alpha Monoclonal Antibody | anti-TNFalpha antibody
TNF alpha Monoclonal Antibody (Q36)
Gene Names
TNF; DIF; TNFA; TNFSF2; TNF-alpha
Reactivity
Human, Mouse, Rat
Applications
Immunohistochemistry, Western Blot
Synonyms
TNF alpha, Antibody; TNF alpha Monoclonal Antibody (Q36); Tumor necrosis factor (Cachectin)(TNF-alpha)(Tumor necrosis factor ligand superfamily member 2)(TNF-a)[Cleaved into: Tumor necrosis factor; membrane form (N-terminal fragment)(NTF); Intracellular domain 1 (ICD1); Intracellular domain 2 (ICD2); C-domain 1; C-domain 2; Tumor necrosis factor; soluble form]; anti-TNFalpha antibody
Host
Mouse
Reactivity
Human, Mouse, Rat
Clonality
Monoclonal
Clone Number
Q36
Applicable Applications for anti-TNFalpha antibody
IHC (Immunohistochemistry), WB (Western Blot)
Preparation and Storage
Maintain refrigerated at 2-8 degree C for up to 2 weeks. For long term storage store at -20 degree C in small aliquots to prevent freeze-thaw cycles.
Related Product Information for anti-TNFalpha antibody
Cytokine that binds to TNFRSF1A/TNFR1 and TNFRSF1B/TNFBR. It is mainly secreted by macrophages and can induce cell death of certain tumor cell lines. It is potent pyrogen causing fever by direct action or by stimulation of interleukin-1 secretion and is implicated in the induction of cachexia, Under certain conditions it can stimulate cell proliferation and induce cell differentiation. Impairs regulatory T-cells (Treg) function in individuals with rheumatoid arthritis via FOXP3 dephosphorylation. Upregulates the expression of protein phosphatase 1 (PP1), which dephosphorylates the key 'Ser-418' residue of FOXP3, thereby inactivating FOXP3 and rendering Treg cells functionally defective (PubMed:16829952, PubMed:23396208). Induces insulin resistance in adipocytes via inhibition of insulin-induced IRS1 tyrosine phosphorylation and insulin-induced glucose uptake. Induces GKAP42 protein degradation in adipocytes which is partially responsible for TNF-induced insulin resistance (By similarity).
NCBI and Uniprot Product Information
NCBI GI #
NCBI GeneID
NCBI Accession #
NCBI GenBank Nucleotide #
Molecular Weight
25,644 Da
NCBI Official Full Name
tumor necrosis factor
NCBI Official Synonym Full Names
tumor necrosis factor
NCBI Official Symbol
TNF
NCBI Official Synonym Symbols
DIF; TNFA; TNFSF2; TNF-alpha
NCBI Protein Information
tumor necrosis factor; TNF-a; cachectin; APC1 protein; TNF, monocyte-derived; TNF, macrophage-derived; tumor necrosis factor-alpha; tumor necrosis factor ligand superfamily member 2
UniProt Protein Name
Tumor necrosis factor
UniProt Gene Name
TNF
UniProt Synonym Gene Names
TNFA; TNFSF2; TNF-a; NTF; ICD1; ICD2
UniProt Entry Name
TNFA_HUMAN
Customer Reviews
Loading reviews...
Share Your Experience
Similar Products
Product Notes
The TNFalpha tnf (Catalog #AAA293687) is an Antibody produced from Mouse and is intended for research purposes only. The product is available for immediate purchase. The TNF alpha Monoclonal Antibody (Q36) reacts with Human, Mouse, Rat and may cross-react with other species as described in the data sheet. AAA Biotech's TNF alpha can be used in a range of immunoassay formats including, but not limited to, IHC (Immunohistochemistry), WB (Western Blot). Researchers should empirically determine the suitability of the TNFalpha tnf for an application not listed in the data sheet. Researchers commonly develop new applications and it is an integral, important part of the investigative research process. It is sometimes possible for the material contained within the vial of "TNF alpha, Monoclonal Antibody" to become dispersed throughout the inside of the vial, particularly around the seal of said vial, during shipment and storage. We always suggest centrifuging these vials to consolidate all of the liquid away from the lid and to the bottom of the vial prior to opening. Please be advised that certain products may require dry ice for shipping and that, if this is the case, an additional dry ice fee may also be required.Precautions
All products in the AAA Biotech catalog are strictly for research-use only, and are absolutely not suitable for use in any sort of medical, therapeutic, prophylactic, in-vivo, or diagnostic capacity. By purchasing a product from AAA Biotech, you are explicitly certifying that said products will be properly tested and used in line with industry standard. AAA Biotech and its authorized distribution partners reserve the right to refuse to fulfill any order if we have any indication that a purchaser may be intending to use a product outside of our accepted criteria.Disclaimer
Though we do strive to guarantee the information represented in this datasheet, AAA Biotech cannot be held responsible for any oversights or imprecisions. AAA Biotech reserves the right to adjust any aspect of this datasheet at any time and without notice. It is the responsibility of the customer to inform AAA Biotech of any product performance issues observed or experienced within 30 days of receipt of said product. To see additional details on this or any of our other policies, please see our Terms & Conditions page.Item has been added to Shopping Cart
If you are ready to order, navigate to Shopping Cart and get ready to checkout.
