Mouse TRIM29 Monoclonal Antibody | anti-TRIM29 antibody
TRIM29 (Lung Squamous Cell Carcinoma Marker) Mouse Monoclonal Antibody
Gene Names
TRIM29; ATDC
Reactivity
Human.Others not known
Applications
Immunohistochemistry, Immunofluorescence, Flow Cytometry, Functional Assay
Synonyms
TRIM29, Antibody; TRIM29 (Lung Squamous Cell Carcinoma Marker) Mouse Monoclonal Antibody; Ataxia telangiectasia group D complementing gene (ATDC); Tripartite motif-containing protein 29 (TRIM29);; anti-TRIM29 antibody
Host
Mouse
Reactivity
Human.
Others not known
Others not known
Clonality
Monoclonal
Isotype
IgG2a, kappa
Clone Number
TRIM29/1041
Specificity
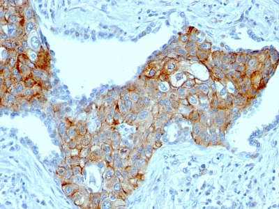
It recognizes a 66kDa protein, which is identified as Tripartite motif-containing protein 29 (TRIM29). It interacts with the intermediate filament protein vimentin, a substrate for the PKC family of protein kinases, and with hPKCI-1, an inhibitor of the PKCs. TRIM29 protein contains both zinc finger and leucine zipper motifs, suggesting that the it may form homodimers and possibly associate with DNA. High expression of TRIM29 has been reported in gastric cancer and pancreatic cancer, and correlates with enhanced tumor growth and lymph node metastasis. TRIM29 is also able to distinguish lung squamous cell carcinoma from lung adenocarcinoma with ~90% positive accuracy, when used in a panel with TTF-1, p63, CK5/6, and Napsin-A antibodies.
Form/Format
200ug/ml of Ab purified from Bioreactor Concentrate by Protein A/G. Prepared in 1mM PBS with 0.05% BSA & 0.05% azide. Also available WITHOUT BSA & azide at 1.0mg/ml.
Sequence Length
588
Applicable Applications for anti-TRIM29 antibody
IHC (Immunohistochemistry), IF (Immunofluorescence), FCM/FACS (Flow Cytometry)
Cellular Localization
Cytoplasmic & Cell Surface
Immunogen
Recombinant fragment (126 Amino acid residues between aa 1-200) of human TRIM29 protein
Hu-Chromosome Location
11q23.3
Positive Control
A431 cells. Tonsil or Squamous cell carcinoma.
Preparation and Storage
Antibody with azide - store at 2 to 8 degree C. Antibody without azide - store at -20 to -80 degree C. Antibody is stable for 24 months. Non-hazardous. No MSDS required.
References
Kosaka Y, et al. Tripartite motif-containing 29 (TRIM29) is a novel marker for lymph node metastasis in gastric cancer. Ann Surg Oncol. 14(9): 2543-9. 2007. Ring BZ, et al. A novel five-antibody immunohistochemical test for sub-classification of lung carcinoma. Mod Pathol. 22(8): 1032-43. 2009
NCBI and Uniprot Product Information
NCBI GI #
NCBI GeneID
NCBI Accession #
NCBI GenBank Nucleotide #
Molecular Weight
66kDa
NCBI Official Full Name
tripartite motif-containing protein 29
NCBI Official Synonym Full Names
tripartite motif containing 29
NCBI Official Symbol
TRIM29
NCBI Official Synonym Symbols
ATDC
NCBI Protein Information
tripartite motif-containing protein 29
UniProt Protein Name
Tripartite motif-containing protein 29
UniProt Gene Name
TRIM29
UniProt Synonym Gene Names
ATDC
UniProt Entry Name
TRI29_HUMAN
Customer Reviews
Loading reviews...
Share Your Experience
Similar Products
Product Notes
The TRIM29 trim29 (Catalog #AAA62746) is an Antibody produced from Mouse and is intended for research purposes only. The product is available for immediate purchase. The TRIM29 (Lung Squamous Cell Carcinoma Marker) Mouse Monoclonal Antibody reacts with Human. Others not known and may cross-react with other species as described in the data sheet. AAA Biotech's TRIM29 can be used in a range of immunoassay formats including, but not limited to, IHC (Immunohistochemistry), IF (Immunofluorescence), FCM/FACS (Flow Cytometry). Researchers should empirically determine the suitability of the TRIM29 trim29 for an application not listed in the data sheet. Researchers commonly develop new applications and it is an integral, important part of the investigative research process. It is sometimes possible for the material contained within the vial of "TRIM29, Monoclonal Antibody" to become dispersed throughout the inside of the vial, particularly around the seal of said vial, during shipment and storage. We always suggest centrifuging these vials to consolidate all of the liquid away from the lid and to the bottom of the vial prior to opening. Please be advised that certain products may require dry ice for shipping and that, if this is the case, an additional dry ice fee may also be required.Precautions
All products in the AAA Biotech catalog are strictly for research-use only, and are absolutely not suitable for use in any sort of medical, therapeutic, prophylactic, in-vivo, or diagnostic capacity. By purchasing a product from AAA Biotech, you are explicitly certifying that said products will be properly tested and used in line with industry standard. AAA Biotech and its authorized distribution partners reserve the right to refuse to fulfill any order if we have any indication that a purchaser may be intending to use a product outside of our accepted criteria.Disclaimer
Though we do strive to guarantee the information represented in this datasheet, AAA Biotech cannot be held responsible for any oversights or imprecisions. AAA Biotech reserves the right to adjust any aspect of this datasheet at any time and without notice. It is the responsibility of the customer to inform AAA Biotech of any product performance issues observed or experienced within 30 days of receipt of said product. To see additional details on this or any of our other policies, please see our Terms & Conditions page.Item has been added to Shopping Cart
If you are ready to order, navigate to Shopping Cart and get ready to checkout.
