Mouse TTF-1 / NKX2.1 Monoclonal Antibody | anti-NKX2-1 antibody
TTF-1 / NKX2.1 (Thyroid & Lung Epithelial Marker) Mouse Monoclonal Antibody
Gene Names
NKX2-1; BCH; BHC; NK-2; TEBP; TTF1; NKX2A; NMTC1; T/EBP; TITF1; TTF-1; NKX2.1
Reactivity
Human, Mouse, Rat
Applications
Immunohistochemistry, Immunofluorescence, Flow Cytometry, Functional Assay
Synonyms
TTF-1 / NKX2.1, Antibody; TTF-1 / NKX2.1 (Thyroid & Lung Epithelial Marker) Mouse Monoclonal Antibody; BCH, Benign chorea, BHC, Homeobox protein Nkx2.1, NK2 homeobox 1, NKX2.1, NKX2A, TEBP, Thyroid nuclear factor-1, Thyroid specific enhancer binding protein, Thyroid transcription factor-1 (TTF-1), Tin man, TITF1, TTF-1; anti-NKX2-1 antibody
Host
Mouse
Reactivity
Human, Mouse, Rat
Clonality
Monoclonal
Isotype
IgG
Clone Number
8G7G3/1 + NX2.1/690
Specificity
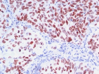
Recognizes a protein of 40kDa, identified as Thyroid transcription factor-1 (TTF-1). TTF-1 is a member of the NKx2 family of homeodomain transcription factors. It is expressed in epithelial cells of the thyroid gland and the lung. Nuclei from liver, stomach, pancreas, small intestine, colon, kidney, breast, skin, testes, pituitary, prostate, and adrenal glands are unreactive. Anti-TTF-1 is useful in differentiating primary adenocarcinoma of the lung from metastatic carcinomas originating in the breast, mediastinal germ cell tumors, and malignant mesothelioma. It can also be used to differentiate small cell lung carcinoma from lymphoid infiltrates. Loss of TTF-1 expression in non-small cell lung carcinoma has been associated with aggressive behavior of such neoplasms. TTF-1 reactivity is also seen in thyroid malignancies.
Form/Format
200ug/ml of Ab purified from Bioreactor Concentrate by Protein A/G. Prepared in 10mM PBS with 0.05% BSA & 0.05% azide. Also available WITHOUT BSA & azide at 1.0mg/ml.
Sequence Length
401
Applicable Applications for anti-NKX2-1 antibody
IHC (Immunohistochemistry), IF (Immunofluorescence), FCM/FACS (Flow Cytometry)
Cellular Localization
Nucleus
Immunogen
Rat full length TTF-1 recombinant protein (8G7G3/1); Recombinant TTF-1 protein (NX2.1/690)
Positive Control
MAD109, MLE-15, H441-4, or H345 cells. Normal thyroid or lung.
Preparation and Storage
Antibody with azide - store at 2 to 8 degree C. Antibody without azide - store at -20 to -80 degree C. Antibody is stable for 24 months. Non-hazardous. No MSDS required.
References
Wert, S.E., et al. 2002. Increased expression of TTF-1 in respiratory epithelial cells inhibits alveolarization and causes pulmonary inflammation. Dev. Biol. 242: 75-87
NCBI and Uniprot Product Information
NCBI GI #
NCBI GeneID
NCBI Accession #
NCBI GenBank Nucleotide #
Molecular Weight
40kDa
NCBI Official Full Name
homeobox protein Nkx-2.1 isoform 1
NCBI Official Synonym Full Names
NK2 homeobox 1
NCBI Official Symbol
NKX2-1
NCBI Official Synonym Symbols
BCH; BHC; NK-2; TEBP; TTF1; NKX2A; NMTC1; T/EBP; TITF1; TTF-1; NKX2.1
NCBI Protein Information
homeobox protein Nkx-2.1
UniProt Protein Name
Homeobox protein Nkx-2.1
UniProt Gene Name
NKX2-1
UniProt Synonym Gene Names
TTF-1; T/EBP
UniProt Entry Name
NKX21_HUMAN
Customer Reviews
Loading reviews...
Share Your Experience
Similar Products
Product Notes
The NKX2-1 nkx2-1 (Catalog #AAA62683) is an Antibody produced from Mouse and is intended for research purposes only. The product is available for immediate purchase. The TTF-1 / NKX2.1 (Thyroid & Lung Epithelial Marker) Mouse Monoclonal Antibody reacts with Human, Mouse, Rat and may cross-react with other species as described in the data sheet. AAA Biotech's TTF-1 / NKX2.1 can be used in a range of immunoassay formats including, but not limited to, IHC (Immunohistochemistry), IF (Immunofluorescence), FCM/FACS (Flow Cytometry). Researchers should empirically determine the suitability of the NKX2-1 nkx2-1 for an application not listed in the data sheet. Researchers commonly develop new applications and it is an integral, important part of the investigative research process. It is sometimes possible for the material contained within the vial of "TTF-1 / NKX2.1, Monoclonal Antibody" to become dispersed throughout the inside of the vial, particularly around the seal of said vial, during shipment and storage. We always suggest centrifuging these vials to consolidate all of the liquid away from the lid and to the bottom of the vial prior to opening. Please be advised that certain products may require dry ice for shipping and that, if this is the case, an additional dry ice fee may also be required.Precautions
All products in the AAA Biotech catalog are strictly for research-use only, and are absolutely not suitable for use in any sort of medical, therapeutic, prophylactic, in-vivo, or diagnostic capacity. By purchasing a product from AAA Biotech, you are explicitly certifying that said products will be properly tested and used in line with industry standard. AAA Biotech and its authorized distribution partners reserve the right to refuse to fulfill any order if we have any indication that a purchaser may be intending to use a product outside of our accepted criteria.Disclaimer
Though we do strive to guarantee the information represented in this datasheet, AAA Biotech cannot be held responsible for any oversights or imprecisions. AAA Biotech reserves the right to adjust any aspect of this datasheet at any time and without notice. It is the responsibility of the customer to inform AAA Biotech of any product performance issues observed or experienced within 30 days of receipt of said product. To see additional details on this or any of our other policies, please see our Terms & Conditions page.Item has been added to Shopping Cart
If you are ready to order, navigate to Shopping Cart and get ready to checkout.
