Mouse PTX3/Pentraxin 3 ELISA Kit | PTX3 elisa kit
Mouse PTX3/Pentraxin 3 PicoKine ELISA Kit
Gene Names
Ptx3; TSG-14; AI607804
Reactivity
Mouse
Synonyms
PTX3/Pentraxin 3; N/A; Mouse PTX3/Pentraxin 3 PicoKine ELISA Kit; Pentraxin-related protein PTX3; pentraxin 3, long; AI607804; Pentaxin 3; Pentaxin-related protein PTX3; Pentraxin 3 long; Pentraxin-related gene; Pentraxin-related gene rapidly induced by IL-1 beta; PTX3; PTX3_HUMAN; TNF alpha-induced protein 5; TNFAIP5; TSG-14; TSG14; Tumor necrosis factor alpha-induced protein 5; Tumor necrosis factor-inducible gene 14 protein; Tumor necrosis factor-inducible protein TSG-14; PTX3 elisa kit
Reactivity
Mouse
Specificity
Natural and recombinant mouse PTX3
Sequence Length
381
Samples
Cell culture supernates, serum and plasma (EDTA)
Assay Type
Sandwich
Detection Range
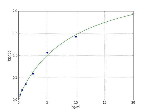
156pg/ml-10,000pg/ml
Sensitivity
< 10pg/ml
Intra-assay Precision
Intra-Assay Precision (Precision within an assay) Three samples of known concentration were tested on one plate to assess intra-assay precision.
Inter-assay Precision
Inter-Assay Precision (Precision between assays) Three samples of known concentration were tested in separate assays to assess inter-assay precision.
Preparation and Storage
Store at 4 degree C for 6 months, at -20 degree C for 12 months. Avoid multiple freeze-thaw cycles (Shipped with wet ice.)
Related Product Information for PTX3 elisa kit
Principle of the assay: mouse PTX3 ELISA Kit was based on standard sandwich enzyme-linked immune-sorbent assay technology. A monoclonal antibody from rat specific for PTX3 has been precoated onto 96-well plates. Standards(NSO, E18-S381) and test samples are added to the wells, a biotinylated detection polyclonal antibody from goat specific for PTX3 is added subsequently and then followed by washing with PBS or TBS buffer. Avidin-Biotin-Peroxidase Complex was added and unbound conjugates were washed away with PBS or TBS buffer. HRP substrate TMB was used to visualize HRP enzymatic reaction. TMB was catalyzed by HRP to produce a blue color product that changed into yellow after adding acidic stop solution. The density of yellow is proportional to the mouse PTX3 amount of sample captured in plate.
Background: PTX3(Pentraxin 3) is a member of the pentraxin superfamily. This super family characterized by cyclic multimeric structure. The PTX3 gene is mapped to 3q25.32. The predicted 381-amino acid PTX3 protein has homology to the pentraxin protein family. Significant levels of PTX3 were detected in plasma of neutropenic patients with systemic A. PTX3 is effective in preventing CMV infection and reactivation, as well as subsequent Aspergillus infection. PTX3 activates the classical pathway of complementactivation and facilitates pathogen recognition by macrophages and DCs.
Background: PTX3(Pentraxin 3) is a member of the pentraxin superfamily. This super family characterized by cyclic multimeric structure. The PTX3 gene is mapped to 3q25.32. The predicted 381-amino acid PTX3 protein has homology to the pentraxin protein family. Significant levels of PTX3 were detected in plasma of neutropenic patients with systemic A. PTX3 is effective in preventing CMV infection and reactivation, as well as subsequent Aspergillus infection. PTX3 activates the classical pathway of complementactivation and facilitates pathogen recognition by macrophages and DCs.
NCBI and Uniprot Product Information
NCBI GI #
NCBI GeneID
Molecular Weight
41,812 Da
NCBI Official Full Name
Pentraxin-related protein PTX3
NCBI Official Synonym Full Names
pentraxin related gene
NCBI Official Symbol
Ptx3
NCBI Official Synonym Symbols
TSG-14; AI607804
NCBI Protein Information
pentraxin-related protein PTX3; pentraxin 3; pentaxin related; pentaxin-related protein PTX3; tumor necrosis factor-inducible gene 14 protein
UniProt Protein Name
Pentraxin-related protein PTX3
UniProt Gene Name
Ptx3
UniProt Synonym Gene Names
Tsg14; TSG-14
UniProt Entry Name
PTX3_MOUSE
Customer Reviews
Loading reviews...
Share Your Experience
Similar Products
Product Notes
The Mouse PTX3 ptx3 (Catalog #AAA45585) is an ELISA Kit and is intended for research purposes only. The product is available for immediate purchase. The AAA45585 ELISA Kit recognizes Mouse PTX3. It is sometimes possible for the material contained within the vial of "PTX3/Pentraxin 3, ELISA Kit" to become dispersed throughout the inside of the vial, particularly around the seal of said vial, during shipment and storage. We always suggest centrifuging these vials to consolidate all of the liquid away from the lid and to the bottom of the vial prior to opening. Please be advised that certain products may require dry ice for shipping and that, if this is the case, an additional dry ice fee may also be required.Precautions
All products in the AAA Biotech catalog are strictly for research-use only, and are absolutely not suitable for use in any sort of medical, therapeutic, prophylactic, in-vivo, or diagnostic capacity. By purchasing a product from AAA Biotech, you are explicitly certifying that said products will be properly tested and used in line with industry standard. AAA Biotech and its authorized distribution partners reserve the right to refuse to fulfill any order if we have any indication that a purchaser may be intending to use a product outside of our accepted criteria.Disclaimer
Though we do strive to guarantee the information represented in this datasheet, AAA Biotech cannot be held responsible for any oversights or imprecisions. AAA Biotech reserves the right to adjust any aspect of this datasheet at any time and without notice. It is the responsibility of the customer to inform AAA Biotech of any product performance issues observed or experienced within 30 days of receipt of said product. To see additional details on this or any of our other policies, please see our Terms & Conditions page.Item has been added to Shopping Cart
If you are ready to order, navigate to Shopping Cart and get ready to checkout.
