Host
Mouse
Reactivity
Human
Isotype
IgG1
Clone Number
5A3
Form/Format
Purified antibody in PBS containing 0.03% sodium azide.
Sequence Length
286
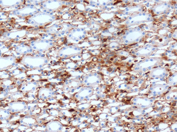
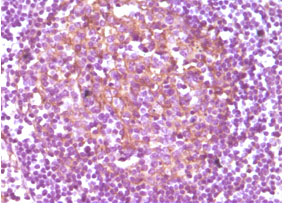
Applicable Applications for anti-CD14 antibody
ELISA, IF (Immunofluorescence), IHC (Immunohistochemistry)
Immunogen
Purified recombinant fragment of human CD14 expressed in E. Coli.
Preparation and Storage
Store at 4 degree C, for long term storage, store at-20 degree C
Related Product Information for anti-CD14 antibody
CD14 antigen is a GPI-linked glycoprotein with a molecular weight of 55kD. The CD14 antigen is expressed on cells of the myelomonocytic lineage including monocytes, macrophages and Langerhans cells. Low expression is observed on neutrophils and on human B cells. CD14 antigen is a receptor for bacterial lipopolysaccharide (LPS, endotoxin) and the lipopolysaccharide binding protein (LBP). LBP and CD14 antigen serves two physiological roles. These proteins act as opsonin and opsonic receptor, respectively, to promote the phagocytic uptake of bacteria or LPScoated particles by macrophages.
Product Categories/Family for anti-CD14 antibody
NCBI and Uniprot Product Information
NCBI GI #
NCBI GeneID
NCBI Accession #
NCBI GenBank Nucleotide #
Molecular Weight
31,574 Da
NCBI Official Full Name
K8
NCBI Official Symbol
K8
NCBI Protein Information
bZIP transcription factor
UniProt Protein Name
E3 SUMO-protein ligase K-bZIP
UniProt Gene Name
K8
Customer Reviews
Loading reviews...
Share Your Experience
Similar Products
Product Notes
The CD14 k8 (Catalog #AAA108848) is an Antibody produced from Mouse and is intended for research purposes only. The product is available for immediate purchase. The CD14 Antibody reacts with Human and may cross-react with other species as described in the data sheet. AAA Biotech's CD14 can be used in a range of immunoassay formats including, but not limited to, ELISA, IF (Immunofluorescence), IHC (Immunohistochemistry). Researchers should empirically determine the suitability of the CD14 k8 for an application not listed in the data sheet. Researchers commonly develop new applications and it is an integral, important part of the investigative research process. It is sometimes possible for the material contained within the vial of "CD14, Antibody" to become dispersed throughout the inside of the vial, particularly around the seal of said vial, during shipment and storage. We always suggest centrifuging these vials to consolidate all of the liquid away from the lid and to the bottom of the vial prior to opening. Please be advised that certain products may require dry ice for shipping and that, if this is the case, an additional dry ice fee may also be required.Precautions
All products in the AAA Biotech catalog are strictly for research-use only, and are absolutely not suitable for use in any sort of medical, therapeutic, prophylactic, in-vivo, or diagnostic capacity. By purchasing a product from AAA Biotech, you are explicitly certifying that said products will be properly tested and used in line with industry standard. AAA Biotech and its authorized distribution partners reserve the right to refuse to fulfill any order if we have any indication that a purchaser may be intending to use a product outside of our accepted criteria.Disclaimer
Though we do strive to guarantee the information represented in this datasheet, AAA Biotech cannot be held responsible for any oversights or imprecisions. AAA Biotech reserves the right to adjust any aspect of this datasheet at any time and without notice. It is the responsibility of the customer to inform AAA Biotech of any product performance issues observed or experienced within 30 days of receipt of said product. To see additional details on this or any of our other policies, please see our Terms & Conditions page.Item has been added to Shopping Cart
If you are ready to order, navigate to Shopping Cart and get ready to checkout.
