Mouse anti-Human GLUT-1 Antibody | anti-GLUT-1 antibody
GLUT-1 (Tumor Progression and Mesothelioma Marker)
Gene Names
SLC2A1; CSE; PED; DYT9; GLUT; DYT17; DYT18; EIG12; GLUT1; HTLVR; GLUT-1; SDCHCN; GLUT1DS
Reactivity
Human
Applications
Immunohistochemistry, ELISA
Purity
Purified Ab with BSA and Azide at 200ug/ml OR Purified Ab WITHOUT BSA and Azide at 1.0mg/ml
Synonyms
GLUT-1; N/A; GLUT-1 (Tumor Progression and Mesothelioma Marker); Erythrocyte/hepatoma glucose transporter; Glucose transporter type-1; GLUT1; GLUT1DS; GLUTB; GT1; GTG1; Gtg3; HepG2 glucose transporter; PED; RATGTG1; Solute carrier family 2; facilitated glucose transporter member 1 (SLC2A1); anti-GLUT-1 antibody
Host
Mouse
Reactivity
Human
Isotype
IgG1, kappa
Clone Number
rGLUT1/2476
Specificity
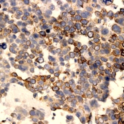
Recognizes a protein of 55kDa, which is identified as GLUT-1. Glucose transporters are integral membrane glycoproteins involved in transporting glucose into most cells. There are many types of glucose transport carrier proteins, designated as Glut-1 to Glut-12. Glut-1 is a major glucose transporter in the mammalian blood-brain barrier. It is expressed in high density on the membranes of human erythrocytes and the brain capillaries that comprise the blood-brain barrier. Glut-1 is expressed at variable levels in many human tissues. Overexpression of Glut-1 has been linked to tumor progression or poor survival of patients with carcinomas of the colon, breast, cervical, lung, bladder and mesothelioma. Glut-1 is a sensitive and specific marker for the differentiation of malignant mesothelioma (positive) from reactive mesothelium (negative).
Purity/Purification
Purified Ab with BSA and Azide at 200ug/ml OR Purified Ab WITHOUT BSA and Azide at 1.0mg/ml
Form/Format
200ug/ml of Ab Purified from Bioreactor Concentrate by Protein A/G. Prepared in 10mM PBS with 0.05% BSA & 0.05% azide. Also available WITHOUT BSA & azide at 1.0mg/ml.
Sequence Length
492
Applicable Applications for anti-GLUT-1 antibody
IHC (Immunohistochemistry), ELISA
Positive Control
K562, A431, MDA-MB-231 cells or erythrocytes. Mesothelioma or breast, colon and ovarian carcinoma.
Immunogen
Recombinant fragment of human GLUT1 protein (around aa 203-305) (exact sequence is proprietary)
Cellular Localization
Cell Surface
Hu-chromosome Location
1p34.2
Antibody Type
Recombinant Mouse Monoclonal Antibody
Preparation and Storage
Antibody with azide: store at 2 to 8 degree C.
Antibody without azide: store at -20 to -80 degree C.
Antibody is stable for 24 months. Non-hazardous. No MSDS required.
Antibody without azide: store at -20 to -80 degree C.
Antibody is stable for 24 months. Non-hazardous. No MSDS required.
NCBI and Uniprot Product Information
NCBI GI #
NCBI GeneID
NCBI Accession #
NCBI GenBank Nucleotide #
UniProt Accession #
Molecular Weight
55kDa
NCBI Official Full Name
solute carrier family 2, facilitated glucose transporter member 1
NCBI Official Synonym Full Names
solute carrier family 2 member 1
NCBI Official Symbol
SLC2A1
NCBI Official Synonym Symbols
CSE; PED; DYT9; GLUT; DYT17; DYT18; EIG12; GLUT1; HTLVR; GLUT-1; SDCHCN; GLUT1DS
NCBI Protein Information
solute carrier family 2, facilitated glucose transporter member 1
UniProt Protein Name
Solute carrier family 2, facilitated glucose transporter member 1
UniProt Gene Name
SLC2A1
UniProt Synonym Gene Names
GLUT1; GLUT-1
UniProt Entry Name
GTR1_HUMAN
Customer Reviews
Loading reviews...
Share Your Experience
Similar Products
Product Notes
The GLUT-1 slc2a1 (Catalog #AAA215198) is an Antibody produced from Mouse and is intended for research purposes only. The product is available for immediate purchase. The GLUT-1 (Tumor Progression and Mesothelioma Marker) reacts with Human and may cross-react with other species as described in the data sheet. AAA Biotech's GLUT-1 can be used in a range of immunoassay formats including, but not limited to, IHC (Immunohistochemistry), ELISA. Researchers should empirically determine the suitability of the GLUT-1 slc2a1 for an application not listed in the data sheet. Researchers commonly develop new applications and it is an integral, important part of the investigative research process. It is sometimes possible for the material contained within the vial of "GLUT-1, Antibody" to become dispersed throughout the inside of the vial, particularly around the seal of said vial, during shipment and storage. We always suggest centrifuging these vials to consolidate all of the liquid away from the lid and to the bottom of the vial prior to opening. Please be advised that certain products may require dry ice for shipping and that, if this is the case, an additional dry ice fee may also be required.Precautions
All products in the AAA Biotech catalog are strictly for research-use only, and are absolutely not suitable for use in any sort of medical, therapeutic, prophylactic, in-vivo, or diagnostic capacity. By purchasing a product from AAA Biotech, you are explicitly certifying that said products will be properly tested and used in line with industry standard. AAA Biotech and its authorized distribution partners reserve the right to refuse to fulfill any order if we have any indication that a purchaser may be intending to use a product outside of our accepted criteria.Disclaimer
Though we do strive to guarantee the information represented in this datasheet, AAA Biotech cannot be held responsible for any oversights or imprecisions. AAA Biotech reserves the right to adjust any aspect of this datasheet at any time and without notice. It is the responsibility of the customer to inform AAA Biotech of any product performance issues observed or experienced within 30 days of receipt of said product. To see additional details on this or any of our other policies, please see our Terms & Conditions page.Item has been added to Shopping Cart
If you are ready to order, navigate to Shopping Cart and get ready to checkout.
