Mouse anti-Human KDM5A Antibody | anti-KDM5A antibody
AbFlex KDM5A antibody (rAb)
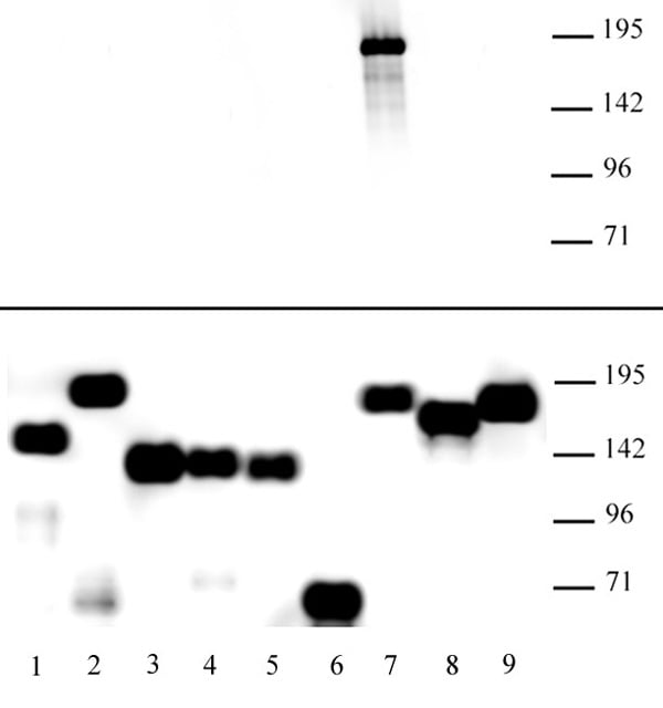
WB (Western Blot)
(Specificity of AbFlex KDM5A demonstrated by Western blot. 500 ng of various DYKDDDDK-tagged human full-length recombinant proteins was loaded per lane and probed with KDM5A antibody at 1ug/ml (top panel) or DYKDDDDK antibody (bottom panel). KDM5A antibody only detects KDM5A protein; the DYKDDDDK antibody shows the presence of all proteins on the blot. Lane 1: KDM3A . Lane 2: KDM3B . Lane 3: KDM4A . Lane 4: KDM4B). Lane 5: KDM4C . Lane 6: KDM4D . Lane 7: KDM5A . Lane 8: KDM5B . Lane 9: KDM5C .)
WB (Western Blot)
(AbFlex KDM5A antibody (rAb) tested by Western blot. 40 ug of HeLa cell nuclear extract was run on SDS-PAGE and probed with AbFlex KDM5A antibody at 2 ug/ml. MW: 196 kDa)
ChIP (Chromatin Immunoprecipitation)
(AbFlex KDM5A antibody (rAb) tested by ChIP-Seq Chromatin immunoprecipitation (ChIP) was performed using the ChIP-IT High Sensitivity Kit with 25 ug of chromatin from human H727 lung cell chromatin 4 ug of AbFlex KDM5A antibody. ChIP DNA was sequenced on the Illumina NextSeq and 13 million sequence tags were mapped to identify KDM5A binding sites on chromosome 8.)
Background: AbFlex antibodies are recombinant antibodies (rAbs) that have been generated using defined DNA sequences to produce highly specific, reproducible antibodies. Each AbFlex antibody contains a 6xHis-tag, a Biotinylation Tag for enzymatic biotin conjugation using the biotin ligase, BirA, and a sortase recognition motif (LPXTG) to attach a variety of labels directly to the antibody including fluorophores, enzymatic substrates (HRP, AP), peptides, drugs as well as solid supports. KDM5A Lysine (K)-specific demethylase 5A (KDM5A), also known as Jumonji, AT rich interactive domain 1A (JARID1A), is a histone demethylase that specifically demethylates lysine 4 of histone H3 (H3K4), thereby playing a central role in defining the histone code. KDM5A demethylates trimethylated and dimethylated, but not monomethylated H3K4. It does not demethylate histone H3K9, H3K27, H3K36, H3K79 or H4K20. KDM5A may function to stimulate transcription mediated by nuclear receptors and may be involved in transcriptional regulation of HOX proteins during cell differentiation. Also, KDM5A may be involved in the transcriptional repression of cytokines such as CXCL12. It has been shown to bind directly with the Retinoblastoma (pRb) protein which regulates cell proliferation. KDM5A also interacts with Rhombotin-2 which functions distinctly in erythropoiesis and in T-cell leukemogenesis.
NCBI and Uniprot Product Information
Customer Reviews
Loading reviews...
Share Your Experience
Similar Products
Product Notes
The KDM5A (Catalog #AAA60274) is an Antibody produced from Mouse and is intended for research purposes only. The product is available for immediate purchase. The AbFlex KDM5A antibody (rAb) reacts with Human and may cross-react with other species as described in the data sheet. AAA Biotech's KDM5A can be used in a range of immunoassay formats including, but not limited to, WB (Western Blot), ChIP (Chromatin immunoprecipitation). Researchers should empirically determine the suitability of the KDM5A for an application not listed in the data sheet. Researchers commonly develop new applications and it is an integral, important part of the investigative research process. It is sometimes possible for the material contained within the vial of "KDM5A, Antibody" to become dispersed throughout the inside of the vial, particularly around the seal of said vial, during shipment and storage. We always suggest centrifuging these vials to consolidate all of the liquid away from the lid and to the bottom of the vial prior to opening. Please be advised that certain products may require dry ice for shipping and that, if this is the case, an additional dry ice fee may also be required.Precautions
All products in the AAA Biotech catalog are strictly for research-use only, and are absolutely not suitable for use in any sort of medical, therapeutic, prophylactic, in-vivo, or diagnostic capacity. By purchasing a product from AAA Biotech, you are explicitly certifying that said products will be properly tested and used in line with industry standard. AAA Biotech and its authorized distribution partners reserve the right to refuse to fulfill any order if we have any indication that a purchaser may be intending to use a product outside of our accepted criteria.Disclaimer
Though we do strive to guarantee the information represented in this datasheet, AAA Biotech cannot be held responsible for any oversights or imprecisions. AAA Biotech reserves the right to adjust any aspect of this datasheet at any time and without notice. It is the responsibility of the customer to inform AAA Biotech of any product performance issues observed or experienced within 30 days of receipt of said product. To see additional details on this or any of our other policies, please see our Terms & Conditions page.Item has been added to Shopping Cart
If you are ready to order, navigate to Shopping Cart and get ready to checkout.
