Mouse anti-Human MAP2K4 Antibody | anti-MAP2K4 antibody
MAP2K4 Antibody
Gene Names
MAP2K4; JNKK; MEK4; MKK4; SEK1; SKK1; JNKK1; SERK1; MAPKK4; PRKMK4; SAPKK1; SAPKK-1
Reactivity
Human
Applications
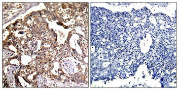
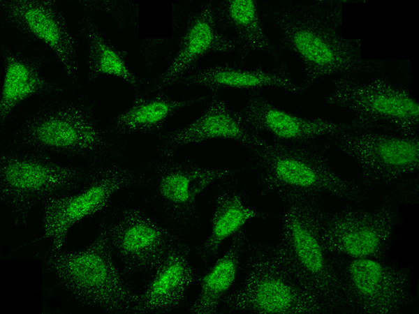
ELISA, Flow Cytometry, Functional Assay, Immunohistochemistry, Western Blot
Synonyms
MAP2K4; N/A; MAP2K4 Antibody; JNKK; MEK4; MKK4; SEK1; JNKK1; SERK1; MAPKK4; PRKMK4; anti-MAP2K4 antibody
Host
Mouse
Reactivity
Human
Isotype
IgG1
Clone Number
5H4
Form/Format
Ascitic fluid containing 0.03% sodium azide.
Sequence Length
399
Applicable Applications for anti-MAP2K4 antibody
ELISA, FCM/FACS (Flow Cytometry), IHC (Immunohistochemistry), WB (Western Blot)
Immunogen
Purified recombinant fragment of human MAP2K4 expressed in E. Coli.
Preparation and Storage
Store at 4 degree C, for long term storage, store at-20 degree C.
Related Product Information for anti-MAP2K4 antibody
This gene encodes a dual specificity protein kinase that belongs to the Ser/Thr protein kinase family. This kinase is a direct activator of MAP kinases in response to various environmental stresses or mitogenic stimuli. It has been shown to activate MAPK8/JNK1, MAPK9/JNK2, and MAPK14/p38, but not MAPK1/ERK2 or MAPK3/ERK3. This kinase is phosphorylated, and thus activated by MAP3K1/MEKK. The knockout studies in mice suggested the roles of this kinase in mediating survival signal in T cell development, as well as in the organogenesis of liver.Tissue specificity: Abundant expression is seen in the skeletal muscle. It is also widely expressed in other tissues.
Product Categories/Family for anti-MAP2K4 antibody
NCBI and Uniprot Product Information
NCBI GI #
NCBI GeneID
NCBI Accession #
NCBI GenBank Nucleotide #
Molecular Weight
42kDa
NCBI Official Full Name
dual specificity mitogen-activated protein kinase kinase 4 isoform 1
NCBI Official Synonym Full Names
mitogen-activated protein kinase kinase 4
NCBI Official Symbol
MAP2K4
NCBI Official Synonym Symbols
JNKK; MEK4; MKK4; SEK1; SKK1; JNKK1; SERK1; MAPKK4; PRKMK4; SAPKK1; SAPKK-1
NCBI Protein Information
dual specificity mitogen-activated protein kinase kinase 4
UniProt Protein Name
Dual specificity mitogen-activated protein kinase kinase 4
UniProt Gene Name
MAP2K4
UniProt Synonym Gene Names
JNKK1; MEK4; MKK4; PRKMK4; SEK1; SERK1; SKK1; MAP kinase kinase 4; MAPKK 4; MEK 4; SEK1; SAPK kinase 1; SAPKK-1; SAPKK1; JNKK
Customer Reviews
Loading reviews...
Share Your Experience
Similar Products
Product Notes
The MAP2K4 map2k4 (Catalog #AAA108630) is an Antibody produced from Mouse and is intended for research purposes only. The product is available for immediate purchase. The MAP2K4 Antibody reacts with Human and may cross-react with other species as described in the data sheet. AAA Biotech's MAP2K4 can be used in a range of immunoassay formats including, but not limited to, ELISA, FCM/FACS (Flow Cytometry), IHC (Immunohistochemistry), WB (Western Blot). Researchers should empirically determine the suitability of the MAP2K4 map2k4 for an application not listed in the data sheet. Researchers commonly develop new applications and it is an integral, important part of the investigative research process. It is sometimes possible for the material contained within the vial of "MAP2K4, Antibody" to become dispersed throughout the inside of the vial, particularly around the seal of said vial, during shipment and storage. We always suggest centrifuging these vials to consolidate all of the liquid away from the lid and to the bottom of the vial prior to opening. Please be advised that certain products may require dry ice for shipping and that, if this is the case, an additional dry ice fee may also be required.Precautions
All products in the AAA Biotech catalog are strictly for research-use only, and are absolutely not suitable for use in any sort of medical, therapeutic, prophylactic, in-vivo, or diagnostic capacity. By purchasing a product from AAA Biotech, you are explicitly certifying that said products will be properly tested and used in line with industry standard. AAA Biotech and its authorized distribution partners reserve the right to refuse to fulfill any order if we have any indication that a purchaser may be intending to use a product outside of our accepted criteria.Disclaimer
Though we do strive to guarantee the information represented in this datasheet, AAA Biotech cannot be held responsible for any oversights or imprecisions. AAA Biotech reserves the right to adjust any aspect of this datasheet at any time and without notice. It is the responsibility of the customer to inform AAA Biotech of any product performance issues observed or experienced within 30 days of receipt of said product. To see additional details on this or any of our other policies, please see our Terms & Conditions page.Item has been added to Shopping Cart
If you are ready to order, navigate to Shopping Cart and get ready to checkout.
