Mouse anti-Human PAX8 Antibody | anti-PAX8 antibody
PAX8 (Renal Cell Marker)
Reactivity
Human
Applications
Immunohistochemistry
Purity
Purified Ab with BSA and Azide at 200ug/ml OR Purified Ab WITHOUT BSA and Azide at 1.0mg/ml
Synonyms
PAX8; N/A; PAX8 (Renal Cell Marker); Paired box 8; Paired box gene 8; paired box homeotic gene 8; Paired box protein Pax-8; Paired domain gene 8; anti-PAX8 antibody
Host
Mouse
Reactivity
Human
Isotype
IgG1, kappa
Clone Number
rPAX8/1492
Specificity
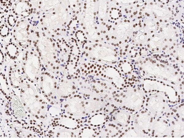
Recognizes a protein of 62kDa, identified as PAX8. It is a member of the paired box (PAX) family of transcription factors. This nuclear protein is involved in thyroid follicular cell development and expression of thyroid-specific genes. Mutations in this gene have been associated with thyroid dysgenesis, thyroid follicular carcinomas, and atypical thyroid adenomas. PAX-8 is expressed in the thyroid (and associated carcinomas), non-ciliated mucosal cells of the fallopian tubes, and simple ovarian inclusion cysts, but not normal ovarian surface epithelial cells. PAX-8 is expressed in a high percentage of ovarian serous, endometrioid, and clear cell carcinomas, but only rarely in primary ovarian mucinous adenocarcinomas. PAX-8 expression is reported in renal tubules as well as renal cell carcinoma, nephroblastoma, and seminoma. PAX-8 antibody may be used as an additional immunohistochemical marker for renal epithelial tumors.
Purity/Purification
Purified Ab with BSA and Azide at 200ug/ml OR Purified Ab WITHOUT BSA and Azide at 1.0mg/ml
Form/Format
200ug/ml of Ab Purified from Bioreactor Concentrate by Protein A/G. Prepared in 10mM PBS with 0.05% BSA & 0.05% azide. Also available WITHOUT BSA & azide at 1.0mg/ml.
Sequence Length
450
Applicable Applications for anti-PAX8 antibody
IHC (Immunohistochemistry)
Positive Control
Raji cells. Renal Cell Carcinoma (IHC).
Immunogen
Recombinant fragment (around aa 60-261) of human PAX8 protein (exact sequence is proprietary)
Cellular Localization
Nuclear
Hu-chromosome Location
2q13
Antibody Type
Recombinant Mouse Monoclonal Antibody
Preparation and Storage
Antibody with azide: store at 2 to 8 degree C.
Antibody without azide: store at -20 to -80 degree C.
Antibody is stable for 24 months. Non-hazardous. No MSDS required.
Antibody without azide: store at -20 to -80 degree C.
Antibody is stable for 24 months. Non-hazardous. No MSDS required.
References
Tong GX, et al. Mod Pathol. 2009 Sep;22(9):1218-27.
NCBI and Uniprot Product Information
NCBI GI #
NCBI GeneID
UniProt Accession #
Molecular Weight
62kDa
NCBI Official Full Name
Paired box protein Pax-8
NCBI Official Synonym Full Names
paired box 8
NCBI Official Symbol
PAX8
NCBI Protein Information
paired box protein Pax-8
UniProt Protein Name
Paired box protein Pax-8
UniProt Gene Name
PAX8
UniProt Entry Name
PAX8_HUMAN
Customer Reviews
Loading reviews...
Share Your Experience
Similar Products
Product Notes
The PAX8 pax8 (Catalog #AAA215259) is an Antibody produced from Mouse and is intended for research purposes only. The product is available for immediate purchase. The PAX8 (Renal Cell Marker) reacts with Human and may cross-react with other species as described in the data sheet. AAA Biotech's PAX8 can be used in a range of immunoassay formats including, but not limited to, IHC (Immunohistochemistry). Researchers should empirically determine the suitability of the PAX8 pax8 for an application not listed in the data sheet. Researchers commonly develop new applications and it is an integral, important part of the investigative research process. It is sometimes possible for the material contained within the vial of "PAX8, Antibody" to become dispersed throughout the inside of the vial, particularly around the seal of said vial, during shipment and storage. We always suggest centrifuging these vials to consolidate all of the liquid away from the lid and to the bottom of the vial prior to opening. Please be advised that certain products may require dry ice for shipping and that, if this is the case, an additional dry ice fee may also be required.Precautions
All products in the AAA Biotech catalog are strictly for research-use only, and are absolutely not suitable for use in any sort of medical, therapeutic, prophylactic, in-vivo, or diagnostic capacity. By purchasing a product from AAA Biotech, you are explicitly certifying that said products will be properly tested and used in line with industry standard. AAA Biotech and its authorized distribution partners reserve the right to refuse to fulfill any order if we have any indication that a purchaser may be intending to use a product outside of our accepted criteria.Disclaimer
Though we do strive to guarantee the information represented in this datasheet, AAA Biotech cannot be held responsible for any oversights or imprecisions. AAA Biotech reserves the right to adjust any aspect of this datasheet at any time and without notice. It is the responsibility of the customer to inform AAA Biotech of any product performance issues observed or experienced within 30 days of receipt of said product. To see additional details on this or any of our other policies, please see our Terms & Conditions page.Item has been added to Shopping Cart
If you are ready to order, navigate to Shopping Cart and get ready to checkout.
