Loading...

Skip to main content
Call us at +1-800-604-9114 for more information about our products or contact us online Need help? +1-800-604-9114 or contact us

Filters


Clonality

Type

Reactivity

Gene Name

Isotype

Host

Application

Clone

Phospho Antibodies

Phospho-specific antibodies’ typical purpose is to enable researchers to detect changes in proteins. They will exclusively bind to the amino acid sequence on a protein that has been phosphorylated (which is both a physical & chemical change) and do not bind to the same amino acid sequence on said protein if it lacks said phosphorylation. This aids in being able to clearly see and understand the data produced from this particular protein modification.


Viewing 5000-5050 of 5298 product results


product-image-AAA251001_SC15.jpg Standard Curve (Sample)

p-tau181 (Phospho Tau 181), ELISA Kit (Cat# AAA251001)

No reviews yet
Full Name
Mouse p-tau181 (Phospho Tau 181) ELISA Kit
Gene Names
Mapt; Tau; Mtapt; AI413597; AW045860
Reactivity
Mouse
Pricing
product-image-AAA243262_IF11.jpg IF (Immunofluorescence) (Immunofluorescence staining of methanol-fixed Hela cells using Myc(Phospho-Thr358) Antibody.)

MYC, Polyclonal Antibody (Cat# AAA243262)

No reviews yet
Full Name
Phospho-MYC (Thr358) Antibody
Gene Names
MYC; MRTL; c-Myc; bHLHe39
Reactivity
Human, Mouse, Rat
Applications
Immunofluorescence, Immunohistochemistry, Western Blot
Purity
Antibodies were produced by immunizing rabbits with synthetic phosphopeptide and KLH conjugates. Antibodies were purified by affinity-chromatography using epitope-specific phosphopeptide. Non-phospho specific antibodies were removed by chromatography usin
Pricing
product-image-AAA243264_IF11.jpg IF (Immunofluorescence) (Immunofluorescence staining of methanol-fixed Hela cells using GATA1(Phospho-Ser142) Antibody.)

GATA1, Polyclonal Antibody (Cat# AAA243264)

No reviews yet
Full Name
Phospho-GATA1 (Ser142) Antibody
Gene Names
GATA1; GF1; GF-1; NFE1; XLTT; ERYF1; XLANP; XLTDA; GATA-1
Reactivity
Human, Mouse, Rat
Applications
Immunofluorescence, Immunohistochemistry, Western Blot
Purity
Antibodies were produced by immunizing rabbits with synthetic phosphopeptide and KLH conjugates. Antibodies were purified by affinity-chromatography using epitope-specific phosphopeptide. Non-phospho specific antibodies were removed by chromatography usin
Pricing
product-image-AAA243265_IF11.jpg IF (Immunofluorescence) (Immunofluorescence staining of methanol-fixed MCF cells using Estrogen Receptor-a(Phospho-Ser106) Antibody.)

ESR1, Polyclonal Antibody (Cat# AAA243265)

No reviews yet
Full Name
Phospho-ESR1 (Ser106) Antibody
Gene Names
ESR1; ER; ESR; Era; ESRA; NR3A1
Reactivity
Human, Mouse
Applications
Immunofluorescence, Immunohistochemistry, Western Blot
Purity
Antibodies were produced by immunizing rabbits with synthetic phosphopeptide and KLH conjugates. Antibodies were purified by affinity-chromatography using epitope-specific phosphopeptide. Non-phospho specific antibodies were removed by chromatography usin
Pricing
product-image-AAA243299_IF11.jpg IF (Immunofluorescence) (Immunofluorescence staining of methanol-fixed MCF cells using eIF4E(Phospho-Ser209) Antibody.)

EIF4E, Polyclonal Antibody (Cat# AAA243299)

No reviews yet
Full Name
Phospho-EIF4E (Ser209) Antibody
Gene Names
EIF4E; CBP; EIF4F; AUTS19; EIF4E1; EIF4EL1
Reactivity
Human, Mouse, Rat
Applications
Immunofluorescence, Immunohistochemistry, Western Blot
Purity
Antibodies were produced by immunizing rabbits with synthetic phosphopeptide and KLH conjugates. Antibodies were purified by affinity-chromatography using epitope-specific phosphopeptide. Non-phospho specific antibodies were removed by chromatography usin
Pricing
product-image-AAA243302_IF11.jpg IF (Immunofluorescence) (Immunofluorescence staining of methanol-fixed Hela cells showing cytoplasmic, nuclear staining using p44/42 MAP Kinase (Phospho-Thr202) Antibody.)

MAPK3, Polyclonal Antibody (Cat# AAA243302)

No reviews yet
Full Name
Phospho-MAPK3 (Thr202) Antibody
Gene Names
MAPK3; ERK1; ERT2; ERK-1; PRKM3; P44ERK1; P44MAPK; HS44KDAP; HUMKER1A; p44-ERK1; p44-MAPK
Reactivity
Human, Mouse, Rat
Applications
Immunofluorescence, Immunohistochemistry, Western Blot
Purity
Antibodies were produced by immunizing rabbits with synthetic phosphopeptide and KLH conjugates. Antibodies were purified by affinity-chromatography using epitope-specific phosphopeptide. Non-phospho specific antibodies were removed by chromatography usin
Pricing
product-image-AAA243192_IHC13.jpg IHC (Immunohiostchemistry) (Immunohistochemical analysis of paraffin-embedded human brain tissue using Chk1 (Phospho-Ser296) antibody (left)or the same antibody preincubated with blocking peptide (right).)

CHEK1, Polyclonal Antibody (Cat# AAA243192)

No reviews yet
Full Name
Phospho-CHEK1 (Ser296) Antibody
Gene Names
CHEK1; CHK1
Reactivity
Human
Applications
Immunohistochemistry, Western Blot
Purity
Antibodies were produced by immunizing rabbits with synthetic phosphopeptide and KLH conjugates. Antibodies were purified by affinity-chromatography using epitope-specific phosphopeptide. Non-phospho specific antibodies were removed by chromatography usin
Pricing
product-image-AAA243207_IHC13.jpg IHC (Immunohiostchemistry) (Immunohistochemical analysis of paraffin-embedded human brain tissue using MAP3K1 (Phospho-Thr1400) antibody (left)or the same antibody preincubated with blocking peptide (right).)

MAP3K1, Polyclonal Antibody (Cat# AAA243207)

No reviews yet
Full Name
Phospho-MAP3K1 (Thr1402) Antibody
Gene Names
MAP3K1; MEKK; MEKK1; SRXY6; MEKK 1; MAPKKK1
Reactivity
Human, Mouse, Rat
Applications
Immunohistochemistry, Western Blot
Purity
Antibodies were produced by immunizing rabbits with synthetic phosphopeptide and KLH conjugates. Antibodies were purified by affinity-chromatography using epitope-specific phosphopeptide. Non-phospho specific antibodies were removed by chromatography usin
Pricing
product-image-AAA243229_IHC13.jpg IHC (Immunohiostchemistry) (Immunohistochemical analysis of paraffin-embedded human brain tissue using TOB1 (Phospho-Ser164) antibody (left)or the same antibody preincubated with blocking peptide (right).)

TOB1, Polyclonal Antibody (Cat# AAA243229)

No reviews yet
Full Name
Phospho-TOB1 (Ser164) Antibody
Gene Names
TOB1; TOB; TROB; APRO6; PIG49; TROB1
Reactivity
Human, Mouse, Rat
Applications
Immunohistochemistry, Western Blot
Purity
Antibodies were produced by immunizing rabbits with synthetic phosphopeptide and KLH conjugates. Antibodies were purified by affinity-chromatography using epitope-specific phosphopeptide. Non-phospho specific antibodies were removed by chromatography usin
Pricing
product-image-AAA243337_IF11.jpg IF (Immunofluorescence) (Immunofluorescence staining of methanol-fixed MCF7 cells using PTEN (phospho-Ser370) antibody.)

PTEN, Polyclonal Antibody (Cat# AAA243337)

No reviews yet
Full Name
Phospho-PTEN (Ser370) Antibody
Gene Names
PTEN; BZS; DEC; CWS1; GLM2; MHAM; TEP1; MMAC1; PTEN1; 10q23del
Reactivity
Human, Mouse, Rat
Applications
Immunofluorescence, Immunohistochemistry, Western Blot
Purity
Antibodies were produced by immunizing rabbits with synthetic phosphopeptide and KLH conjugates. Antibodies were purified by affinity-chromatography using epitope-specific phosphopeptide. Non-phospho specific antibodies were removed by chromatography usin
Pricing
product-image-AAA243349_IHC11.jpg IHC (Immunohistochemisry) (Immunohistochemistry analysis of paraffin-embedded human colon carcinoma tissue, using ATRIP (Phospho-Ser224) antibody. The picture on the right is treated with the synthesized peptide.)

ATRIP, Polyclonal Antibody (Cat# AAA243349)

No reviews yet
Full Name
Phospho-ATRIP (Ser224) Antibody
Reactivity
Human
Applications
Immunohistochemistry, Western Blot
Purity
Antibodies were produced by immunizing rabbits with synthetic phosphopeptide and KLH conjugates. Antibodies were purified by affinity-chromatography using epitope-specific phosphopeptide. Non-phospho specific antibodies were removed by chromatography usin
Pricing
product-image-AAA243366_IF10.jpg IF (Immunofluorescence) (Immunofluorescence staining of methanol-fixed Hela cells using Histone H3.1 (Phospho-Ser10) Antibody.)

Histone H3.1, Polyclonal Antibody (Cat# AAA243366)

No reviews yet
Full Name
Phospho-Histone H3.1 (Ser10) Antibody
Gene Names
HIST1H3A; H3/A; H3FA
Reactivity
Human, Mouse, Rat
Applications
Immunofluorescence, Immunohistochemistry, Western Blot
Purity
Antibodies were produced by immunizing rabbits with synthetic phosphopeptide and KLH conjugates. Antibodies were purified by affinity-chromatography using epitope-specific phosphopeptide. Non-phospho specific antibodies were removed by chromatography usin
Pricing
product-image-AAA243377_WB10.jpg WB (Western Blot) (Western blot analysis of extracts from Hela cells, treated with Noc or calf intestinal phosphatase (CIP), using BCL-XL (Phospho-Ser62) Antibody.)

BCL2L1, Polyclonal Antibody (Cat# AAA243377)

No reviews yet
Full Name
Phospho-BCL2L1 (Ser62) Antibody
Gene Names
BCL2L1; BCLX; BCL2L; BCLXL; BCLXS; Bcl-X; bcl-xL; bcl-xS; PPP1R52; BCL-XL/S
Reactivity
Human, Mouse, Rat
Applications
Immunofluorescence, Immunohistochemistry, Western Blot
Purity
Affinity Purification
Pricing
product-image-AAA243046_IHC13.jpg IHC (Immunohiostchemistry) (Immunohistochemical analysis of paraffin-embedded human breast carcinoma tissue using JunB(Phospho-Ser259) Antibody(left) or the same antibody preincubated with blocking peptide(right).)

JUNB, Polyclonal Antibody (Cat# AAA243046)

No reviews yet
Full Name
Phospho-JUNB (Ser259) Antibody
Gene Names
JUNB; AP-1
Reactivity
Human, Mouse, Rat
Applications
Immunohistochemistry, Western Blot
Purity
Antibodies were produced by immunizing rabbits with synthetic phosphopeptide and KLH conjugates. Antibodies were purified by affinity-chromatography using epitope-specific phosphopeptide. Non-phospho specific antibodies were removed by chromatography usin
Pricing
product-image-AAA243071_IF13.jpg IF (Immunofluorescence) (Immunofluorescence staining of methanol-fixed MCF cells using VEGFR2(Phospho-Tyr1175) Antibody.)

KDR, Polyclonal Antibody (Cat# AAA243071)

No reviews yet
Full Name
Phospho-KDR (Tyr1175) Antibody
Gene Names
KDR; FLK1; CD309; VEGFR; VEGFR2
Reactivity
Human, Mouse, Rat
Applications
Immunofluorescence, Immunohistochemistry
Purity
Antibodies were produced by immunizing rabbits with synthetic phosphopeptide and KLH conjugates. Antibodies were purified by affinity-chromatography using epitope-specific phosphopeptide. Non-phospho specific antibodies were removed by chromatography usin
Pricing
product-image-AAA243081_IHC13.jpg IHC (Immunohiostchemistry) (Immunohistochemical analysis of paraffin-embedded rat hippocampal region tissue from a model with Alzheimer)

MAPT, Polyclonal Antibody (Cat# AAA243081)

No reviews yet
Full Name
Phospho-MAPT (Thr205) Antibody
Gene Names
MAPT; TAU; MSTD; PPND; DDPAC; MAPTL; MTBT1; MTBT2; FTDP-17
Reactivity
Human, Mouse, Rat
Applications
Immunohistochemistry, Western Blot
Purity
Antibodies were produced by immunizing rabbits with synthetic phosphopeptide and KLH conjugates. Antibodies were purified by affinity-chromatography using epitope-specific phosphopeptide. Non-phospho specific antibodies were removed by chromatography usin
Pricing
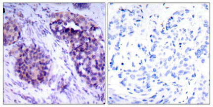
product-image-AAA243087_IHC13.jpg IHC (Immunohiostchemistry) (Immunohistochemical analysis of paraffin-embedded human breast carcinoma tissue using ATM(Phospho-Ser1981) Antibody(left) or the same antibody preincubated with blocking peptide(right).)

ATM, Polyclonal Antibody (Cat# AAA243087)

No reviews yet
Full Name
Phospho-ATM (Ser1981) Antibody
Gene Names
ATM; AT1; ATA; ATC; ATD; ATE; ATDC; TEL1; TELO1
Reactivity
Human, Mouse
Applications
Immunohistochemistry, Western Blot
Purity
Antibodies were produced by immunizing rabbits with synthetic phosphopeptide and KLH conjugates. Antibodies were purified by affinity-chromatography using epitope-specific phosphopeptide. Non-phospho specific antibodies were removed by chromatography usin
Pricing
product-image-AAA243094_WB13.jpg WB (Western Blot) (Western blot analysis of extracts from A2780 cells, treated with calf intestinal phosphatase (CIP), using Chk1 (Phospho-Ser280) Antibody.)

CHEK1, Polyclonal Antibody (Cat# AAA243094)

No reviews yet
Full Name
Phospho-CHEK1 (Ser280) Antibody
Gene Names
CHEK1; CHK1
Reactivity
Human
Applications
Western Blot
Purity
Antibodies were produced by immunizing rabbits with synthetic phosphopeptide and KLH conjugates. Antibodies were purified by affinity-chromatography using epitope-specific phosphopeptide. Non-phospho specific antibodies were removed by chromatography usin
Pricing
product-image-AAA243110_IHC13.jpg IHC (Immunohiostchemistry) (Immunohistochemical analysis of paraffin-embedded human breast carcinoma tissue using HDAC5(Phospho-Ser498) Antibody(left) or the same antibody preincubated with blocking peptide(right).)

HDAC5, Polyclonal Antibody (Cat# AAA243110)

No reviews yet
Full Name
Phospho-HDAC5 (Ser498) Antibody
Gene Names
HDAC5; HD5; NY-CO-9
Reactivity
Human, Mouse, Rat
Applications
Immunohistochemistry, Western Blot
Purity
Antibodies were produced by immunizing rabbits with synthetic phosphopeptide and KLH conjugates. Antibodies were purified by affinity-chromatography using epitope-specific phosphopeptide. Non-phospho specific antibodies were removed by chromatography usin
Pricing
product-image-AAA243120_IHC13.jpg IHC (Immunohiostchemistry) (Immunohistochemical analysis of paraffin-embedded human breast carcinoma tissue using EGFR(Phospho-Tyr1172) Antibody(left) or the same antibody preincubated with blocking peptide(right).)

EGFR, Polyclonal Antibody (Cat# AAA243120)

No reviews yet
Full Name
Phospho-EGFR (Tyr1172) Antibody
Gene Names
EGFR; ERBB; HER1; mENA; ERBB1; PIG61
Reactivity
Human, Mouse, Rat
Applications
Immunohistochemistry, Western Blot
Purity
Antibodies were produced by immunizing rabbits with synthetic phosphopeptide and KLH conjugates. Antibodies were purified by affinity-chromatography using epitope-specific phosphopeptide. Non-phospho specific antibodies were removed by chromatography usin
Pricing
product-image-AAA243122_IHC13.jpg IHC (Immunohiostchemistry) (Immunohistochemical analysis of paraffin-embedded human breast carcinoma tissue using Stathmin 1(Phospho-Ser25) Antibody(left) or the same antibody preincubated with blocking peptide(right).)

STMN1, Polyclonal Antibody (Cat# AAA243122)

No reviews yet
Full Name
Phospho-STMN1 (Ser25) Antibody
Gene Names
STMN1; Lag; SMN; OP18; PP17; PP19; PR22; LAP18; C1orf215
Reactivity
Human, Mouse, Rat
Applications
Immunohistochemistry, Western Blot
Purity
Antibodies were produced by immunizing rabbits with synthetic phosphopeptide and KLH conjugates. Antibodies were purified by affinity-chromatography using epitope-specific phosphopeptide. Non-phospho specific antibodies were removed by chromatography usin
Pricing
product-image-AAA243129_IHC13.jpg IHC (Immunohiostchemistry) (Immunohistochemical analysis of paraffin-embedded human breast carcinoma tissue using NFkB-p105(Phospho-Ser932) Antibody(left) or the same antibody preincubated with blocking peptide(right).)

NFKB1, Polyclonal Antibody (Cat# AAA243129)

No reviews yet
Full Name
Phospho-NFKB1 (Ser932) Antibody
Gene Names
NFKB1; p50; KBF1; p105; EBP-1; NF-kB1; NFKB-p50; NFkappaB; NF-kappaB; NFKB-p105; NF-kappa-B
Reactivity
Human, Mouse, Rat
Applications
Immunohistochemistry, Western Blot
Purity
Antibodies were produced by immunizing rabbits with synthetic phosphopeptide and KLH conjugates. Antibodies were purified by affinity-chromatography using epitope-specific phosphopeptide. Non-phospho specific antibodies were removed by chromatography usin
Pricing
product-image-AAA243039_WB13.jpg WB (Western Blot) (Western blot analysis of extracts from P19 cells, treated with calf intestinal phosphatase (CIP), using Interferon-a Receptor Type I Subunit I (phospho-Ser535/Ser539) Antibody.)

IFNAR1, Polyclonal Antibody (Cat# AAA243039)

No reviews yet
Full Name
Phospho-IFNAR1 (Ser535/Ser539) Antibody
Gene Names
IFNAR1; AVP; IFRC; IFNAR; IFNBR; IFN-alpha-REC
Reactivity
Human
Applications
Western Blot
Purity
Affinity Purification
Pricing
product-image-AAA236609_WB13.jpg WB (Western Blot) (Western blot analysis of HELA KB SH-SY5Y 293T 3T3 lysis using Phospho-Eg5 (T926) antibody.)

KIF11, Polyclonal Antibody (Cat# AAA236609)

No reviews yet
Full Name
Phospho-KIF11 (T926) Antibody
Gene Names
KIF11; EG5; HKSP; KNSL1; MCLMR; TRIP5
Reactivity
Human
Applications
Western Blot
Purity
Affinity-purified from rabbit antiserum by affinity-chromatography using epitope-specific immunogen.
Pricing
product-image-AAA236627_WB13.jpg WB (Western Blot) (Western blot analysis of K562 293T lysis using Phospho-Raf-B (S446) antibody.)

BRAF, Polyclonal Antibody (Cat# AAA236627)

No reviews yet
Full Name
Phospho-BRAF (S446) Antibody
Gene Names
BRAF; NS7; BRAF1; RAFB1; B-RAF1
Reactivity
Human, Mouse
Applications
Immunohistochemistry, Western Blot
Purity
Affinity-purified from rabbit antiserum by affinity-chromatography using epitope-specific immunogen.
Pricing
product-image-AAA236715_WB11.jpg WB (Western Blot) (Western blot analysis of HELA KB 293T 3T3 lysis using Phospho-Synapsin I (S9) antibody.)

SYN1, Polyclonal Antibody (Cat# AAA236715)

No reviews yet
Full Name
Phospho-SYN1 (S9) Antibody
Gene Names
SYN1; SYNI; SYN1a; SYN1b
Reactivity
Human, Mouse, Rat
Applications
Immunofluorescence, Immunohistochemistry, Western Blot
Purity
Affinity-purified from rabbit antiserum by affinity-chromatography using epitope-specific immunogen.
Pricing
product-image-AAA236716_WB11.jpg WB (Western Blot) (Western blot analysis of K562 lysis using Phospho-p38 (T180/Y182) antibody.)

MAPK14, Polyclonal Antibody (Cat# AAA236716)

No reviews yet
Full Name
Phospho-MAPK14 (T180/Y182) Antibody
Gene Names
MAPK14; RK; p38; CSBP; EXIP; Mxi2; CSBP1; CSBP2; CSPB1; PRKM14; PRKM15; SAPK2A; p38ALPHA
Reactivity
Human, Mouse, Rat
Applications
Immunohistochemistry, Western Blot
Purity
Affinity-purified from rabbit antiserum by affinity-chromatography using epitope-specific immunogen.
Pricing
product-image-AAA236717_WB11.jpg WB (Western Blot) (Western Blot analysis of KB using Phospho-Akt (Y326) Polyclonal Antibody)

AKT1, Polyclonal Antibody (Cat# AAA236717)

No reviews yet
Full Name
Phospho-AKT1 (Y326) Antibody
Gene Names
AKT1; AKT; PKB; RAC; CWS6; PRKBA; PKB-ALPHA; RAC-ALPHA
Reactivity
Human, Mouse, Rat
Applications
Western Blot
Purity
Affinity-purified from rabbit antiserum by affinity-chromatography using epitope-specific immunogen.
Pricing
product-image-AAA236770_WB11.jpg WB (Western Blot) (Western blot analysis of 3T3 lysis using Phospho-Fyn (Y530) antibody.)

FYN, Polyclonal Antibody (Cat# AAA236770)

No reviews yet
Full Name
Phospho-FYN (Y530) Antibody
Gene Names
FYN; SLK; SYN; p59-FYN
Reactivity
Human, Mouse, Rat
Applications
Immunohistochemistry, Western Blot
Purity
Affinity-purified from rabbit antiserum by affinity-chromatography using epitope-specific immunogen.
Pricing
product-image-AAA235584_IF11.jpg IF (Immunofluorescence) (Immunofluorescence staining of HepG2 cells with CSB-RA019284A259phHU at 1:100,counter-stained with DAPI. The cells were fixed in 4% formaldehyde, permeabilized using 0.2% Triton X-100 and blocked in 10% normal Goat Serum. The cells were then incubated with the antibody overnight at 4 degree C. The secondary antibody was Alexa Fluor 488-congugated AffiniPure Goat Anti-Rabbit IgG (H+L).)

RAF1, Monoclonal Recombinant Antibody (Cat# AAA235584)

No reviews yet
Full Name
Phospho-RAF1 (S259) Antibody
Gene Names
RAF1; NS5; CRAF; Raf-1; c-Raf; CMD1NN
Reactivity
Human
Applications
Immunofluorescence, Immunohistochemistry, Western Blot
Purity
Affinity-Chromatography
Pricing
product-image-AAA235592_IP11.jpg IP (Immunoprecipitation) (Immunoprecipitating Phospho-STAT3 in 293 whole cell lysate treated with Calyculin ALane 1: Rabbit control IgG(1ug)instead of CSB-RA022812A727phHU in 293 whole cell lysate treated with Calyculin A.For western blotting,a HRP-conjugated Protein G antibody was used as the secondary antibody (1/2000)Lane 2: CSB-RA022812A727phHU(3ug)+ 293 whole cell lysate treated with Calyculin A(1mg)Lane 3: 293 whole cell lysate treated with Calyculin A (20ug))

STAT3, Monoclonal Recombinant Antibody (Cat# AAA235592)

No reviews yet
Full Name
Phospho-STAT3 (S727) Antibody
Gene Names
STAT3; APRF; HIES; ADMIO; ADMIO1
Reactivity
Human
Applications
Immunoprecipitation, Immunohistochemistry, Western Blot
Purity
Affinity-Chromatography
Pricing
product-image-AAA235593_IHC13.jpg IHC (Immunohiostchemistry) (IHC image of CSB-RA022814A694phHU diluted at 1:100 and staining in paraffin-embedded human breast cancer performed on a Leica BondTM system. After dewaxing and hydration, antigen retrieval was mediated by high pressure in a citrate buffer (pH 6.0). Section was blocked with 10% normal goat serum 30min at RT. Then primary antibody (1% BSA) was incubated at 4 degree C overnight. The primary is detected by a biotinylated secondary antibody and visualized using an HRP conjugated SP system.)

STAT5A, Monoclonal Recombinant Antibody (Cat# AAA235593)

No reviews yet
Full Name
Phospho-STAT5A (Y694) Antibody
Gene Names
STAT5A; MGF; STAT5
Reactivity
Human
Applications
Immunohistochemistry, Western Blot
Purity
Affinity-Chromatography
Pricing
product-image-AAA235599_IHC13.jpg IHC (Immunohiostchemistry) (IHC image of CSB-RA026244A127phHU diluted at 1:100 and staining in paraffin-embedded human endometrial cancer performed on a Leica BondTM system. After dewaxing and hydration, antigen retrieval was mediated by high pressure in a citrate buffer (pH 6.0). Section was blocked with 10% normal goat serum 30min at RT. Then primary antibody (1% BSA) was incubated at 4 degree C overnight. The primary is detected by a biotinylated secondary antibody and visualized using an HRP conjugated SP system.)

YAP1, Monoclonal Recombinant Antibody (Cat# AAA235599)

No reviews yet
Full Name
Phospho-YAP1 (S127) Antibody
Gene Names
YAP1; YAP; YKI; COB1; YAP2; YAP65
Reactivity
Human
Applications
Immunohistochemistry, Western Blot
Purity
Affinity-Chromatography
Pricing
product-image-AAA235600_IF11.jpg IF (Immunofluorescence) (Immunofluorescence staining of Hela cells with CSB-RA614961A40phHU at 1:100,counter-stained with DAPI. The cells were fixed in 4% formaldehyde, permeabilized using 0.2% Triton X-100 and blocked in 10% normal Goat Serum. The cells were then incubated with the antibody overnight at 4 degree C. The secondary antibody was Alexa Fluor 488-congugated AffiniPure Goat Anti-Rabbit IgG (H+L).)

NFE2L2, Monoclonal Recombinant Antibody (Cat# AAA235600)

No reviews yet
Full Name
Phospho-NFE2L2 (S40) Antibody
Gene Names
NFE2L2; NRF2; HEBP1; IMDDHH
Reactivity
Human
Applications
Immunofluorescence, Immunohistochemistry, Western Blot
Purity
Affinity-Chromatography
Pricing
product-image-AAA235603_IP11.jpg IP (Immunoprecipitation) (Immunoprecipitating Phospho-RPS6KA1 in Hela whole cell lysateLane 1: Rabbit control IgG(1ug)instead of CSB-RA618984A359phHU in Hela whole cell lysate.For western blotting,a HRP-conjugated Protein G antibody was used as the secondary antibody (1/2000)Lane 2: CSB-RA618984A359phHU(3ug)+ Hela whole cell lysate(1mg)Lane 3: Hela whole cell lysate (20ug))

RPS6KA1, Monoclonal Recombinant Antibody (Cat# AAA235603)

No reviews yet
Full Name
Phospho-RPS6KA1 (T359+S363) Antibody
Gene Names
RPS6KA1; RSK; HU-1; RSK1; p90Rsk; MAPKAPK1A
Reactivity
Human
Applications
Immunoprecipitation, Immunofluorescence, Western Blot
Purity
Affinity-Chromatography
Pricing
product-image-AAA235651_WB15.jpg WB (Western Blot) (Western Blot analysis of 293 cells using Phospho-PLC gamma1 (Y783) Polyclonal Antibody)

PLCG1, Polyclonal Antibody (Cat# AAA235651)

No reviews yet
Full Name
Phospho-PLCG1 (Y783) Antibody
Gene Names
PLCG1; PLC1; NCKAP3; PLC-II; PLC148; PLCgamma1
Reactivity
Human, Mouse, Rat, Monkey
Applications
Immunohistochemistry, Western Blot
Purity
Affinity-purified from rabbit antiserum by affinity-chromatography using epitope-specific immunogen.
Pricing
product-image-AAA235767_WB13.jpg WB (Western Blot) (Western Blot analysis of VEC A549 cells using Phospho-AP-1 (T93) Polyclonal Antibody)

JUN, Polyclonal Antibody (Cat# AAA235767)

No reviews yet
Full Name
Phospho-JUN (T93) Antibody
Gene Names
JUN; AP1; AP-1; c-Jun
Reactivity
Human, Mouse, Rat
Applications
Immunoprecipitation, Immunohistochemistry, Western Blot
Purity
Affinity-purified from rabbit antiserum by affinity-chromatography using epitope-specific immunogen.
Pricing
product-image-AAA235768_WB13.jpg WB (Western Blot) (Western Blot analysis of A549 cells using Phospho-ATF-2 (S112) Polyclonal Antibody)

ATF2, Polyclonal Antibody (Cat# AAA235768)

No reviews yet
Full Name
Phospho-ATF2 (S112) Antibody
Gene Names
ATF2; HB16; CREB2; TREB7; CRE-BP1
Reactivity
Human, Mouse, Rat
Applications
Immunoprecipitation, Immunohistochemistry, Western Blot
Purity
Affinity-purified from rabbit antiserum by affinity-chromatography using epitope-specific immunogen.
Pricing
product-image-AAA235770_WB13.jpg WB (Western Blot) (Western Blot analysis of VEC cells using Phospho-ATF-2 (T71) Polyclonal Antibody)

ATF2, Polyclonal Antibody (Cat# AAA235770)

No reviews yet
Full Name
Phospho-ATF2 (T71) Antibody
Gene Names
ATF2; HB16; CREB2; TREB7; CRE-BP1
Reactivity
Human, Mouse, Rat
Applications
Immunoprecipitation, Immunohistochemistry, Western Blot
Purity
Affinity-purified from rabbit antiserum by affinity-chromatography using epitope-specific immunogen.
Pricing
product-image-AAA235771_WB13.jpg WB (Western Blot) (Western Blot analysis of VEC cells using Phospho-Bcl-2 (S70) Polyclonal Antibody)

BCL2, Polyclonal Antibody (Cat# AAA235771)

No reviews yet
Full Name
Phospho-BCL2 (S70) Antibody
Gene Names
BCL2; Bcl-2; PPP1R50
Reactivity
Human, Monkey
Applications
Immunoprecipitation, Immunohistochemistry, Western Blot
Purity
Affinity-purified from rabbit antiserum by affinity-chromatography using epitope-specific immunogen.
Pricing
product-image-AAA235774_WB13.jpg WB (Western Blot) (Western Blot analysis of A549 cells using Phospho-Caveolin-1 (Y14) Polyclonal Antibody)

CAV1, Polyclonal Antibody (Cat# AAA235774)

No reviews yet
Full Name
Phospho-CAV1 (Y14) Antibody
Gene Names
CAV1; CGL3; BSCL3; VIP21; MSTP085
Reactivity
Human, Mouse, Rat
Applications
Western Blot
Purity
Affinity-purified from rabbit antiserum by affinity-chromatography using epitope-specific immunogen.
Pricing
product-image-AAA235785_WB13.jpg WB (Western Blot) (Western Blot analysis of HELA cells using Phospho-Cytokeratin 8 (S73) Polyclonal Antibody)

KRT8, Polyclonal Antibody (Cat# AAA235785)

No reviews yet
Full Name
Phospho-KRT8 (S73) Antibody
Gene Names
KRT8; K8; KO; CK8; CK-8; CYK8; K2C8; CARD2
Reactivity
Human, Mouse
Applications
Immunohistochemistry, Western Blot
Purity
Affinity-purified from rabbit antiserum by affinity-chromatography using epitope-specific immunogen.
Pricing
product-image-AAA235790_WB13.jpg WB (Western Blot) (Western Blot analysis of 293 cells using Phospho-ERalpha (S118) Polyclonal Antibody)

ESR1, Polyclonal Antibody (Cat# AAA235790)

No reviews yet
Full Name
Phospho-ESR1 (S118) Antibody
Gene Names
ESR1; ER; ESR; Era; ESRA; NR3A1
Reactivity
Human, Mouse
Applications
Immunohistochemistry, Western Blot
Purity
Affinity-purified from rabbit antiserum by affinity-chromatography using epitope-specific immunogen.
Pricing
product-image-AAA235791_WB13.jpg WB (Western Blot) (Western blot analysis of 3T3 HELA lysis using Phospho-FAK (Y861) antibody.)

PTK2, Polyclonal Antibody (Cat# AAA235791)

No reviews yet
Full Name
Phospho-PTK2 (Y861) Antibody
Gene Names
PTK2; FAK; FADK; FAK1; FRNK; PPP1R71; p125FAK; pp125FAK
Reactivity
Human, Mouse, Rat, Monkey
Applications
Western Blot
Purity
Affinity-purified from rabbit antiserum by affinity-chromatography using epitope-specific immunogen.
Pricing
product-image-AAA235792_WB13.jpg WB (Western Blot) (Western Blot analysis of NIH-3T3 cells using Phospho-FoxO1 (S319) Polyclonal Antibody)

FOXO1, Polyclonal Antibody (Cat# AAA235792)

No reviews yet
Full Name
Phospho-FOXO1 (S319) Antibody
Gene Names
FOXO1; FKH1; FKHR; FOXO1A
Reactivity
Human, Mouse, Rat
Applications
Immunohistochemistry, Western Blot
Purity
Affinity-purified from rabbit antiserum by affinity-chromatography using epitope-specific immunogen.
Pricing
product-image-AAA235794_WB13.jpg WB (Western Blot) (Western Blot analysis of 293 cells using Phospho-GSK3beta (S9) Polyclonal Antibody)

GSK3B, Polyclonal Antibody (Cat# AAA235794)

No reviews yet
Full Name
Phospho-GSK3B (S9) Antibody
Reactivity
Human, Mouse, Rat
Applications
Immunoprecipitation, Immunohistochemistry, Western Blot
Purity
Affinity-purified from rabbit antiserum by affinity-chromatography using epitope-specific immunogen.
Pricing
product-image-AAA235795_WB13.jpg WB (Western Blot) (Western blot analysis of HELA SH-SY5Y 3T3 lysis using Phospho-HDAC4 (S632) antibody.)

HDAC4, Polyclonal Antibody (Cat# AAA235795)

No reviews yet
Full Name
Phospho-HDAC4 (S632) Antibody
Gene Names
HDAC4; HD4; AHO3; BDMR; HDACA; HA6116; HDAC-4; HDAC-A
Reactivity
Human, Mouse, Rat
Applications
Western Blot
Purity
Affinity-purified from rabbit antiserum by affinity-chromatography using epitope-specific immunogen.
Pricing
product-image-AAA235796_WB13.jpg WB (Western Blot) (Western Blot analysis of VEC HY929 cells using Phospho-HDAC5 (S498) Polyclonal Antibody)

HDAC5, Polyclonal Antibody (Cat# AAA235796)

No reviews yet
Full Name
Phospho-HDAC5 (S498) Antibody
Gene Names
HDAC5; HD5; NY-CO-9
Reactivity
Human, Mouse
Applications
Immunofluorescence, Immunohistochemistry, Western Blot
Purity
Affinity-purified from rabbit antiserum by affinity-chromatography using epitope-specific immunogen.
Pricing
product-image-AAA235803_WB13.jpg WB (Western Blot) (Western Blot analysis of VEC 293 cells using Phospho-IRS-1 (S307) Polyclonal Antibody)

IRS1, Polyclonal Antibody (Cat# AAA235803)

No reviews yet
Full Name
Phospho-IRS1 (S307) Antibody
Gene Names
IRS1; HIRS-1
Reactivity
Human, Mouse, Rat
Applications
Immunofluorescence, Immunohistochemistry, Western Blot
Purity
Affinity-purified from rabbit antiserum by affinity-chromatography using epitope-specific immunogen.
Pricing
product-image-AAA235806_WB13.jpg WB (Western Blot) (Western Blot analysis of 293T AD293 HELA cells using Phospho-JAK1 (Y1022) Polyclonal Antibody)

JAK1, Polyclonal Antibody (Cat# AAA235806)

No reviews yet
Full Name
Phospho-JAK1 (Y1022) Antibody
Gene Names
JAK1; JTK3; JAK1A; JAK1B
Reactivity
Human, Mouse, Rat
Applications
Immunohistochemistry, Western Blot
Purity
Affinity-purified from rabbit antiserum by affinity-chromatography using epitope-specific immunogen.
Pricing

What Are Phospho Antibodies?


Protein phosphorylation is a process where a phosphate group is added to certain amino acid residues of a protein – usually serine (S), threonine (T), or tyrosine (Y) - by enzymes called kinases. This process is integral in controlling cellular signaling, cellular growth, and other biological functions.


Our catalog includes a wide range of phospho-specific antibodies that can accurately detect this important marker. They perform strongly in widely-used laboratory applications such as Western blot, flow cytometry, immunohistochemistry, and immunofluorescence microscopy. We value your trust in us and are committed to providing top-quality products and services. All of our antibodies are guaranteed to work for the applications and species indicated on our website & associated product pages.


What Are The Key Applications of Phospho Antibodies?


1. Western Blotting


One of the first steps a researcher can take in utilizing these phospho-specific antibodies, is to check if the antibody works using a technique referred to as “Western blot”. For those unfamiliar, Western Blot aids in showing whether the protein that the antibody recognizes is appearing at the correct/expected size. These phospho-specific antibodies should also be able to detect changes in the target protein’s phosphorylation (on/off state) when cells are stimulated in certain ways.


2. Staining of Fixed Cells (Immunocytochemistry)


Another routine use of these phospho-specific antibodies, is to test if the antibody is able to demonstrate similar performance when used on fixed cells (intact cells that have been preserved) as it did in the Western blot tests. It is an important aspect in many cases to confirm that the antibody works in actual intact cell samples. Ideally, the method used for cellular fixation should be the same as what is used in pathology labs (like using 10% formalin). To check if the antibody works well in tissue sections (FFPE), researchers will often test it on fixed cells that are processed similar to tissue samples.


3. Specificity Tests Using Peptides


In order to make sure that the antibody is only binding to the right target:


  • Laboratory technicians will mix the antibody with phospho-peptides (short segments of the protein containing the phosphate group modification).

  • If the antibody signal disappears, it is confirmation that it is binding to the correct phosphorylated location.

  • A more robust test is to use both the phosphorylated and non-phosphorylated (dephosphorylated) versions of the protein. The antibody should react only with the phosphorylated one.

  • Another method sometimes utilized is to treat the sample with an enzyme, such as alkaline phosphatase, that specifically removes phosphate groups. If the antibody signal disappears after this, it also confirms specificity.


4. Genetic Confirmation


As a final step, scientists can genetically manipulate the nucleotide sequence and alter the target protein by removing the exact site where phosphorylation happens. If the antibody no longer appears to detect the modified protein, it is strong evidence supporting the antibody being specific for that phosphorylated site.


Why Buy Phospho Antibodies Through Us?


  • The production laboratory adheres to strict and consistent protocols prior to releasing any of these phospho-specific antibodies:

  • Standard methods and proper controls in all tests to ensure high quality.

  • These antibodies are tested and validated in different cell types and species.

  • High quality control criterion to ensure each batch is consistent, so you will obtain reliable results every time.


FAQ


1. What Are Phospho-Specific Antibodies?


Phospho-specific antibodies are made to detect proteins only when they have a phosphate group linked to a specific amino acid residue. This empowers scientists understand if a protein is "turned on" or active, based on its phosphorylation state.


2. How to Detect Phosphorylated Proteins in a Western Blot?


To find out if a protein is phosphorylated using Western blot:


  • Use a phospho-specific antibody that binds only to the phosphorylated form of the protein.

  • You can also use a “regular” antibody for the same amino acid sequence of the protein that the phospho-specific antibody is binding to (but in this case, this antibody will not bind if there is a phosphate group present) in order to compare how much of it is phosphorylated versus how much is non-phosphorylated (or “total” protein, if the “normal” antibody’s epitopes are non-phospho-site-specific).


3. How to Choose the Best Antibody?


Here are some simple tips to help you pick the right antibody:


  • Know your target

  • Match your sample characteristics

  • Confirm the intended use is appropriate

  • Check “host” and “type”

  • Check the “quality” of the presented data/images

  • Appraise whether the available validation meets your needs


Submit a Question

Please complete the form below and a representative will contact you as soon as possible.

Request more Information

Please complete the form below and a representative will contact you as soon as possible.

Request a Manual

Please complete the form below and a representative will contact you as soon as possible.

Request a Quote

Please complete the form below and a representative will contact you as soon as possible.