Loading...

Skip to main content
Call us at +1-800-604-9114 for more information about our products or contact us online Need help? +1-800-604-9114 or contact us

Filters


Clonality

Type

Reactivity

Gene Name

Isotype

Host

Application

Clone

Phospho Antibodies

Phospho-specific antibodies’ typical purpose is to enable researchers to detect changes in proteins. They will exclusively bind to the amino acid sequence on a protein that has been phosphorylated (which is both a physical & chemical change) and do not bind to the same amino acid sequence on said protein if it lacks said phosphorylation. This aids in being able to clearly see and understand the data produced from this particular protein modification.


Viewing 3850-3900 of 5299 product results


product-image-AAA104717_IF11.jpg IF (Immunofluorescence) (Immunofluorescent analysis of STAT5A (pS780) staining in HepG2 cells. Formalin-fixed cells were permeabilized with 0.1% Triton X-100 in TBS for 5-10 minutes and blocked with 3% BSA-PBS for 30 minutes at room temperature. Cells were probed with the primary antibody in 3% BSA-PBS and incubated overnight at 4 °C in a humidified chamber. Cells were washed with PBST and incubated with a DyLight 594-conjugated secondary antibody (red) in PBS at room temperature in the dark.)

STAT5A (pS780), Polyclonal Antibody (Cat# AAA104717)

Full Name
Anti-STAT5A (pS780) Phospho Antibody
Gene Names
STAT5A; MGF; STAT5
Reactivity
Human, Monkey
Applications
Immunoprecipitation, Immunocytochemistry, Immunofluorescence, Immunohistochemistry, Western Blot
Purity
The antibody was purified by immunogen affinity chromatography.
Pricing
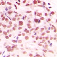
product-image-AAA104435_IHC13.jpg IHC (Immunohiostchemistry) (Immunohistochemical analysis of SMAD1 (pS187) staining in human breast cancer formalin fixed paraffin embedded tissue section. The section was pre-treated using heat mediated antigen retrieval with sodium citrate buffer (pH 6.0). The section was then incubated with the antibody at room temperature and detected using an HRP conjugated compact polymer system. DAB was used as the chromogen. The section was then counterstained with haematoxylin and mounted with DPX.)

SMAD1 (pS187), Polyclonal Antibody (Cat# AAA104435)

Full Name
Anti-SMAD1 (pS187) Phospho Antibody
Gene Names
SMAD1; BSP1; JV41; BSP-1; JV4-1; MADH1; MADR1
Reactivity
Human, Mouse, Rat, Chicken, Sheep
Applications
Immunoprecipitation, Immunohistochemistry, Western Blot
Purity
The antibody was purified by immunogen affinity chromatography.
Pricing
product-image-AAA104496_IHC13.jpg IHC (Immunohiostchemistry) (Immunohistochemical analysis of FYN (pY530) staining in human breast cancer formalin fixed paraffin embedded tissue section. The section was pre-treated using heat mediated antigen retrieval with sodium citrate buffer (pH 6.0). The section was then incubated with the antibody at room temperature and detected using an HRP conjugated compact polymer system. DAB was used as the chromogen. The section was then counterstained with haematoxylin and mounted with DPX.)

FYN (pY530), Polyclonal Antibody (Cat# AAA104496)

Full Name
Anti-FYN (pY530) Phospho Antibody
Gene Names
FYN; SLK; SYN; p59-FYN
Reactivity
Human, Mouse, Rat, Bovine, Pig, Zebrafish
Applications
Immunoprecipitation, Immunohistochemistry, Western Blot
Purity
The antibody was purified by immunogen affinity chromatography.
Pricing
product-image-AAA104759_IF11.jpg IF (Immunofluorescence) (Immunofluorescent analysis of c-Myc (pS62) staining in HeLa cells. Formalin-fixed cells were permeabilized with 0.1% Triton X-100 in TBS for 5-10 minutes and blocked with 3% BSA-PBS for 30 minutes at room temperature. Cells were probed with the primary antibody in 3% BSA-PBS and incubated overnight at 4 °C in a humidified chamber. Cells were washed with PBST and incubated with a DyLight 594-conjugated secondary antibody (red) in PBS at room temperature in the dark.)

c-Myc (pS62), Polyclonal Antibody (Cat# AAA104759)

Full Name
Anti-c-Myc (pS62) Phospho Antibody
Gene Names
MYC; MRTL; MYCC; c-Myc; bHLHe39
Reactivity
Human, Mouse
Applications
Immunocytochemistry, Immunofluorescence, Immunohistochemistry, Western Blot
Purity
The antibody was purified by immunogen affinity chromatography.
Pricing
product-image-AAA104765_IF11.jpg IF (Immunofluorescence) (Immunofluorescent analysis of NF-kappaB p105 (pS927) staining in HeLa cells. Formalin-fixed cells were permeabilized with 0.1% Triton X-100 in TBS for 5-10 minutes and blocked with 3% BSA-PBS for 30 minutes at room temperature. Cells were probed with the primary antibody in 3% BSA-PBS and incubated overnight at 4 °C in a humidified chamber. Cells were washed with PBST and incubated with a DyLight 594-conjugated secondary antibody (red) in PBS at room temperature in the dark.)

NF-kappaB p105 (pS927), Polyclonal Antibody (Cat# AAA104765)

Full Name
Anti-NF-kappaB p105 (pS927) Phospho Antibody
Gene Names
NFKB1; p50; KBF1; p105; EBP-1; NF-kB1; NFKB-p50; NFkappaB; NF-kappaB; NFKB-p105; NF-kappa-B
Reactivity
Human, Mouse, Rat
Applications
Immunoprecipitation, Immunocytochemistry, Immunofluorescence, Immunohistochemistry, Western Blot
Purity
The antibody was purified by immunogen affinity chromatography.
Pricing
product-image-AAA104642_IF11.jpg IF (Immunofluorescence) (Immunofluorescent analysis of 14-3-3 zeta staining in HeLa cells. Formalin-fixed cells were permeabilized with 0.1% Triton X-100 in TBS for 5-10 minutes and blocked with 3% BSA-PBS for 30 minutes at room temperature. Cells were probed with the primary antibody in 3% BSA-PBS and incubated overnight at 4 °C in a humidified chamber. Cells were washed with PBST and incubated with a DyLight 594-conjugated secondary antibody (red) in PBS at room temperature in the dark. DAPI was used to stain the cell nuclei (blue).)

14-3-3 zeta (pS58), Polyclonal Antibody (Cat# AAA104642)

Full Name
Anti-14-3-3 zeta (pS58) Phospho Antibody
Gene Names
YWHAZ; HEL4; YWHAD; KCIP-1; HEL-S-3; 14-3-3-zeta
Reactivity
Human, Mouse, Rat, Bovine, Chicken, Pig, Sheep, Zebrafish
Applications
Immunoprecipitation, Immunocytochemistry, Immunofluorescence, Immunohistochemistry, Western Blot
Purity
The antibody was purified by immunogen affinity chromatography.
Pricing
product-image-AAA104930_IHC13.jpg IHC (Immunohiostchemistry)

PKC zeta (pT560), Polyclonal Antibody (Cat# AAA104930)

Full Name
Anti-PKC zeta (pT560) Phospho Antibody
Gene Names
PRKCZ; PKC2; PKC-ZETA
Reactivity
Human, Mouse, Rat, Rabbit, Zebrafish
Applications
Western Blot
Purity
The antibody was purified by immunogen affinity chromatography.
Pricing
product-image-AAA109030_IHC13.jpg IHC (Immunohiostchemistry) (Immunohistochemistry analysis of paraffin-embedded human breast carcinoma tissue using Arrestin 1 (Phospho-Ser412) antibody. Western blot analysis of extracts from COS7 cells, treated with Etoposide (25uM, 60mins), using Arrestin 1 (Phospho-Ser412) antibody.)

Arrestin 1, Antibody (Cat# AAA109030)

Full Name
Arrestin 1 (Phospho-Ser412) Antibody
Gene Names
ARRB1; ARB1; ARR1
Reactivity
Human
Applications
Immunohistochemistry, Western Blot
Purity
Affinity-purified from rabbit antiserum by affinity-chromatography using epitope-specific phosphopeptide. The antibody against non-phosphopeptide was removed by chromatography using non-phosphopeptide corresponding to the phosphorylation site.
Pricing
product-image-AAA112152_IHC13.jpg IHC (Immunohiostchemistry) (Immunohistochemistry analysis of paraffin-embedded human brain tissue using Opioid Receptor-delta (Phospho-Ser363) antibody. Western blot analysis of extracts from 293 cells, treated with TSA (400nM, 24hours), using Opioid Receptor-delta (Phospho-Ser363) antibody.)

Opioid Receptor-delta, Antibody (Cat# AAA112152)

Full Name
Opioid Receptor-delta (Phospho-Ser363) Antibody
Gene Names
OPRD1; OPRD
Reactivity
Human, Mouse, Rat
Applications
Immunohistochemistry, Western Blot
Purity
Affinity-purified from rabbit antiserum by affinity-chromatography using epitope-specific phosphopeptide. The antibody against non-phosphopeptide was removed by chromatography using non-phosphopeptide corresponding to the phosphorylation site.
Pricing
product-image-AAA112033_IHC13.jpg IHC (Immunohiostchemistry) (Immunohistochemistry analysis of paraffin-embedded human breast carcinoma tissue using Retinoic Acid Receptor alpha (Phospho-Ser77) antibody. Western blot analysis of extracts from Jurkat cells treated with PMA (125ng/ml, 30mins), using Retinoic Acid Receptor alpha (Phospho-Ser77) antibody.)

Retinoic Acid Receptor alpha, Antibody (Cat# AAA112033)

Full Name
Retinoic Acid Receptor alpha (Phospho-Ser77)Antibody
Gene Names
RARA; RAR; NR1B1
Reactivity
Human (Identities= 100%, Positives= 100%)
Mouse (Identities 100%, Positives= 100%)
Rat (Identities= 100%, Positives 100%)
Applications
Immunohistochemistry, Western Blot
Purity
Affinity-purified from rabbit antiserum by affinity-chromatography using epitope-specific phosphopeptide. The antibody againstnon-phosphopeptide was removed by chromatography using non-phosphopeptide corresponding to the phosphorylation site.
Pricing
product-image-AAA110972_IF15.jpg IF (Immunofluorescence) (Immunofluorescence staining of methanol-fixed HeLa cells using Keratin 8 (Phospho-Ser74) Antibody)

Keratin 8, Antibody (Cat# AAA110972)

Full Name
Keratin 8 (Phospho-Ser74) Antibody
Gene Names
KRT8; K8; KO; CK8; CK-8; CYK8; K2C8; CARD2
Reactivity
Human
Applications
Immunofluorescence
Purity
Affinity-purified from rabbit antiserum by affinity-chromatography using epitope-specific phosphopeptide. The antibody against non-phosphopeptide was removed by chromatography using non-phosphopeptide corresponding to the phosphorylation site.
Pricing
product-image-AAA109239_IHC13.jpg IHC (Immunohiostchemistry) (Immunohistochemistry analysis of paraffin-embedded human breast carcinoma tissue using FOS (Phospho-Thr232) antibody. Western blot analysis of extracts from Jurkat cells, treated with EGF (200ng/ml, 5mins), using FOS (Phospho-Thr232) antibody.)

FOS, Antibody (Cat# AAA109239)

Full Name
FOS (Phospho-Thr232) Antibody
Gene Names
FOS; p55; AP-1; C-FOS
Reactivity
Human, Mouse, Rat
Applications
Immunohistochemistry, Western Blot
Purity
Affinity-purified from rabbit antiserum by affinity-chromatography using epitope-specific phosphopeptide. The antibody againstnon-phosphopeptide was removed by chromatography using non-phosphopeptide corresponding to the phosphorylation site.
Pricing
product-image-AAA283745_IHC13.jpg IHC (Immunohiostchemistry) (Immunohistochemistry analysis of paraffin-embedded human brain tissue, using CtBP1 (Phospho-Ser422) antibody.)

CtBP1 (Phospho-Ser422), Polyclonal Antibody (Cat# AAA283745)

Full Name
CtBP1 (Phospho-Ser422) Antibody
Gene Names
CTBP1; BARS
Applications
Immunohistochemistry, Western Blot
Purity
Purified Rabbit Polyclonal Antibody (Pab)
Pricing
product-image-AAA283645_DB15.jpg DB (Dot Blot) (Dot blot analysis of rat TSC1 Antibody (Phospho Y297) Phospho-specific Pab on nitrocellulose membrane. 50ng of Phospho-peptide or Non Phospho-peptide per dot were adsorbed. Antibody working concentrations are 0.6ug per ml.)

Phospho-rat TSC1 (Y297), Polyclonal Antibody (Cat# AAA283645)

Full Name
Phospho-rat TSC1 (Y297) Antibody
Reactivity
Rat
Applications
Dot Blot
Purity
Peptide Affinity Purified Rabbit Polyclonal Antibody (Pab)
Pricing
product-image-AAA285093_IHC11.jpg IHC (Immunohistochemisry) (Formalin-fixed and paraffin-embedded human cancer tissue reacted with the primary antibody, which was peroxidase-conjugated to the secondary antibody, followed by AEC staining. This data demonstrates the use of this antibody for immunohistochemistry; clinical relevance has not been evaluated. BC = breast carcinoma; HC = hepatocarcinoma.)

Phospho-P21CIP1 (T145), Polyclonal Antibody (Cat# AAA285093)

Full Name
Phospho-P21CIP1 (T145) Antibody
Gene Names
CDKN1A; P21; CIP1; SDI1; WAF1; CAP20; CDKN1; MDA-6; p21CIP1
Reactivity
Human
Applications
Immunohistochemistry, Dot Blot, Western Blot
Purity
Peptide Affinity Purified Rabbit Polyclonal Antibody (Pab)
Pricing
product-image-AAA247213_SC15.jpg Standard Curve (Sample)

phospho c Jun N terminal kinase 1, ELISA Kit (Cat# AAA247213)

Full Name
Human phospho c Jun N terminal kinase 1 ELISA Kit
Reactivity
Human
Pricing

Phospho Tau(s396), ELISA Kit (Cat# AAA247738)

Full Name
Monkey Phospho Tau(s396) ELISA Kit
Reactivity
Monkey
Pricing
product-image-AAA243217_IHC13.jpg IHC (Immunohiostchemistry) (Immunohistochemical analysis of paraffin-embedded human colon carcinoma tissue using WWOX (Phospho-Tyr33) antibody (left)or the same antibody preincubated with blocking peptide (right).)

WWOX, Polyclonal Antibody (Cat# AAA243217)

Full Name
Phospho-WWOX (Tyr33) Antibody
Gene Names
WWOX; FOR; WOX1; FRA16D; HHCMA56; PRO0128; SDR41C1; D16S432E
Reactivity
Human, Mouse
Applications
Immunohistochemistry, Western Blot
Purity
Antibodies were produced by immunizing rabbits with synthetic phosphopeptide and KLH conjugates. Antibodies were purified by affinity-chromatography using epitope-specific phosphopeptide. Non-phospho specific antibodies were removed by chromatography usin
Pricing
product-image-AAA243218_IHC13.jpg IHC (Immunohiostchemistry) (Immunohistochemical analysis of paraffin-embedded human brain tissue using Ephrin B1/B2/B3 (Phospho-Tyr324) antibody (left)or the same antibody preincubated with blocking peptide (right).)

EFNB1/EFNB2/EFNB3, Polyclonal Antibody (Cat# AAA243218)

Full Name
Phospho-EFNB1/EFNB2/EFNB3 (Tyr324) Antibody
Gene Names
EFNB1; CFND; CFNS; EFL3; EPLG2; Elk-L; LERK2
Reactivity
Human, Mouse, Rat
Applications
Immunohistochemistry, Western Blot
Purity
Antibodies were produced by immunizing rabbits with synthetic phosphopeptide and KLH conjugates. Antibodies were purified by affinity-chromatography using epitope-specific phosphopeptide. Non-phospho specific antibodies were removed by chromatography usin
Pricing
product-image-AAA243223_IHC13.jpg IHC (Immunohiostchemistry) (Immunohistochemical analysis of paraffin-embedded human brain tissue using Gab2 (Phospho-Tyr643) antibody (left)or the same antibody preincubated with blocking peptide (right).)

GAB2, Polyclonal Antibody (Cat# AAA243223)

Full Name
Phospho-GAB2 (Tyr643) Antibody
Reactivity
Human, Mouse, Rat
Applications
Immunohistochemistry, Western Blot
Purity
Antibodies were produced by immunizing rabbits with synthetic phosphopeptide and KLH conjugates. Antibodies were purified by affinity-chromatography using epitope-specific phosphopeptide. Non-phospho specific antibodies were removed by chromatography usin
Pricing
product-image-AAA243226_IHC13.jpg IHC (Immunohiostchemistry) (Immunohistochemical analysis of paraffin-embedded human brain tissue using MEF2C (Phospho-Ser396) antibody (left)or the same antibody preincubated with blocking peptide (right).)

MEF2C, Polyclonal Antibody (Cat# AAA243226)

Full Name
Phospho-MEF2C (Ser396) Antibody
Gene Names
MEF2C; DEL5q14.3; C5DELq14.3
Reactivity
Human, Mouse
Applications
Immunohistochemistry, Western Blot
Purity
Antibodies were produced by immunizing rabbits with synthetic phosphopeptide and KLH conjugates. Antibodies were purified by affinity-chromatography using epitope-specific phosphopeptide. Non-phospho specific antibodies were removed by chromatography usin
Pricing
product-image-AAA243237_WB13.jpg WB (Western Blot) (Western blot analysis of extracts from COS7 cells (Lane 2), using C-RAF (Phospho-Ser301) Antibody. The lane on the left is treated with synthesized peptide.)

RAF1, Polyclonal Antibody (Cat# AAA243237)

Full Name
Phospho-RAF1 (Ser301) Antibody
Gene Names
RAF1; NS5; CRAF; Raf-1; c-Raf
Reactivity
Human, Mouse, Rat
Applications
Western Blot
Purity
Antibodies were produced by immunizing rabbits with synthetic phosphopeptide and KLH conjugates. Antibodies were purified by affinity-chromatography using epitope-specific phosphopeptide. Non-phospho specific antibodies were removed by chromatography usin
Pricing
product-image-AAA243245_WB13.jpg WB (Western Blot) (Western blot analysis of extracts from cos-7 cells (Lane 2), using FANCG (Phospho-Ser383) Antibody. The lane on the left is treated with synthesized peptide)

FANCG, Polyclonal Antibody (Cat# AAA243245)

Full Name
Phospho-FANCG (Ser383) Antibody
Gene Names
FANCG; FAG; XRCC9
Reactivity
Human
Applications
Western Blot
Purity
Antibodies were produced by immunizing rabbits with synthetic phosphopeptide and KLH conjugates. Antibodies were purified by affinity-chromatography using epitope-specific phosphopeptide. Non-phospho specific antibodies were removed by chromatography usin
Pricing
product-image-AAA243280_IF11.jpg IF (Immunofluorescence) (Immunofluorescence staining of methanol-fixed Hela cells using LIMK1(Phospho-Thr508) Antibody.)

LIMK1, Polyclonal Antibody (Cat# AAA243280)

Full Name
Phospho-LIMK1 (Thr508) Antibody
Gene Names
LIMK1; LIMK; LIMK-1
Reactivity
Human, Mouse, Rat
Applications
Immunofluorescence, Immunohistochemistry, Western Blot
Purity
Antibodies were produced by immunizing rabbits with synthetic phosphopeptide and KLH conjugates. Antibodies were purified by affinity-chromatography using epitope-specific phosphopeptide. Non-phospho specific antibodies were removed by chromatography usin
Pricing
product-image-AAA243300_WB11.jpg WB (Western Blot) (Western blot analysis of extracts from Hela cells, treated with Noc or calf intestinal phosphatase (CIP), using Stathmin 1 (Phospho-Ser16) Antibody.)

STMN1, Polyclonal Antibody (Cat# AAA243300)

Full Name
Phospho-STMN1 (Ser16) Antibody
Gene Names
STMN1; Lag; SMN; OP18; PP17; PP19; PR22; LAP18; C1orf215
Reactivity
Human, Mouse, Rat
Applications
Immunohistochemistry, Western Blot
Purity
Antibodies were produced by immunizing rabbits with synthetic phosphopeptide and KLH conjugates. Antibodies were purified by affinity-chromatography using epitope-specific phosphopeptide. Non-phospho specific antibodies were removed by chromatography usin
Pricing
product-image-AAA243301_WB11.jpg WB (Western Blot) (Western blot analysis of extracts from 293 cells, treated with Hydroxyurea or calf intestinal phosphatase (CIP), using CDC2 (Phospho-Tyr15) Antibody.)

CDK1, Polyclonal Antibody (Cat# AAA243301)

Full Name
Phospho-CDK1 (Tyr15) Antibody
Gene Names
CDK1; CDC2; CDC28A; P34CDC2
Reactivity
Human, Mouse, Rat
Applications
Western Blot
Purity
Antibodies were produced by immunizing rabbits with synthetic phosphopeptide and KLH conjugates. Antibodies were purified by affinity-chromatography using epitope-specific phosphopeptide. Non-phospho specific antibodies were removed by chromatography usin
Pricing
product-image-AAA243305_WB11.jpg WB (Western Blot) (Western blot analysis of extracts from Hela cells, treated with UV or calf intestinal phosphatase (CIP), using HSP27 (Phospho-Ser82) Antibody.)

HSPB1, Polyclonal Antibody (Cat# AAA243305)

Full Name
Phospho-HSPB1 (Ser82) Antibody
Gene Names
HSPB1; CMT2F; HMN2B; HSP27; HSP28; Hsp25; SRP27; HS.76067
Reactivity
Human
Applications
Immunohistochemistry, Western Blot
Purity
Antibodies were produced by immunizing rabbits with synthetic phosphopeptide and KLH conjugates. Antibodies were purified by affinity-chromatography using epitope-specific phosphopeptide. Non-phospho specific antibodies were removed by chromatography usin
Pricing
product-image-AAA243308_WB11.jpg WB (Western Blot) (Western blot analysis of extracts from Hela cells, treated with TNFa or calf intestinal phosphatase (CIP), using P38 MAPK (Phospho-Tyr182) Antibody.)

MAPK14, Polyclonal Antibody (Cat# AAA243308)

Full Name
Phospho-MAPK14 (Tyr182) Antibody
Gene Names
MAPK14; RK; p38; CSBP; EXIP; Mxi2; CSBP1; CSBP2; CSPB1; PRKM14; PRKM15; SAPK2A; p38ALPHA
Reactivity
Human, Mouse, Rat
Applications
Immunohistochemistry, Western Blot
Purity
Antibodies were produced by immunizing rabbits with synthetic phosphopeptide and KLH conjugates. Antibodies were purified by affinity-chromatography using epitope-specific phosphopeptide. Non-phospho specific antibodies were removed by chromatography usin
Pricing
product-image-AAA243373_WB10.jpg WB (Western Blot) (Western blot analysis of extracts from 3T3 cells, treated with EGF or calf intestinal phosphatase (CIP), using AKT1/AKT2/AKT3 (phospho-Tyr315/316/312) Antibody.)

AKT1/AKT2/AKT3, Polyclonal Antibody (Cat# AAA243373)

Full Name
Phospho-AKT1/AKT2/AKT3 (Tyr315/316/312) Antibody
Gene Names
AKT1; AKT; PKB; RAC; CWS6; PRKBA; PKB-ALPHA; RAC-ALPHA
Reactivity
Human, Mouse, Rat
Applications
Immunofluorescence, Immunohistochemistry, Western Blot
Purity
Antibodies were produced by immunizing rabbits with synthetic phosphopeptide and KLH conjugates. Antibodies were purified by affinity-chromatography using epitope-specific phosphopeptide. Non-phospho specific antibodies were removed by chromatography usin
Pricing
product-image-AAA243659_IHC13.jpg IHC (Immunohiostchemistry) (Immunohistochemical analysis of paraffin-embedded Human Stomach Carcinoma Tissue using Phospho-Smad3(S425) Mouse mAb diluted at 1:200.)

SMAD3, Monoclonal Antibody (Cat# AAA243659)

Full Name
Phospho-SMAD3(S425) Monoclonal Antibody
Gene Names
SMAD3; LDS3; LDS1C; MADH3; JV15-2; HSPC193; HsT17436
Reactivity
Human, Mouse, Rat
Applications
Immunohistochemistry
Purity
Affinity-purified from mouse ascites by affinity-chromatography using specific immunogen.
Pricing
product-image-AAA243380_IF8.jpg IF (Immunofluorescence) (Immunofluorescence staining of methanol-fixed MEFcells using PTEN (Phospho-Ser380/Thr382/Thr383)Antibody.)

PTEN, Polyclonal Antibody (Cat# AAA243380)

Full Name
Phospho-PTEN (Ser380/Thr382/Thr383) Antibody
Gene Names
PTEN; BZS; DEC; CWS1; GLM2; MHAM; TEP1; MMAC1; PTEN1; 10q23del
Reactivity
Human, Mouse, Rat
Applications
Immunofluorescence, Immunohistochemistry, Western Blot
Purity
Antibodies were produced by immunizing rabbits with synthetic phosphopeptide and KLH conjugates. Antibodies were purified by affinity-chromatography using epitope-specific phosphopeptide. Non-phospho specific antibodies were removed by chromatography usin
Pricing
product-image-AAA243088_IF13.jpg IF (Immunofluorescence) (Immunofluorescence staining of methanol-fixed Hela cells using FAK(Phospho-Tyr925) Antibody.)

PTK2, Polyclonal Antibody (Cat# AAA243088)

Full Name
Phospho-PTK2 (Tyr925) Antibody
Gene Names
PTK2; FAK; FADK; FAK1; FRNK; PPP1R71; p125FAK; pp125FAK
Reactivity
Human, Mouse, Rat
Applications
Immunofluorescence, Western Blot
Purity
Antibodies were produced by immunizing rabbits with synthetic phosphopeptide and KLH conjugates. Antibodies were purified by affinity-chromatography using epitope-specific phosphopeptide. Non-phospho specific antibodies were removed by chromatography usin
Pricing
product-image-AAA243095_IHC13.jpg IHC (Immunohiostchemistry) (Immunohistochemical analysis of paraffin-embedded human breast carcinoma tissue using JAK1(Phospho-Tyr1022) Antibody(left) or the same antibody preincubated with blocking peptide(right).)

JAK1, Polyclonal Antibody (Cat# AAA243095)

Full Name
Phospho-JAK1 (Tyr1022) Antibody
Gene Names
JAK1; JTK3; JAK1A; JAK1B
Reactivity
Human, Mouse, Rat
Applications
Immunohistochemistry, Western Blot
Purity
Antibodies were produced by immunizing rabbits with synthetic phosphopeptide and KLH conjugates. Antibodies were purified by affinity-chromatography using epitope-specific phosphopeptide. Non-phospho specific antibodies were removed by chromatography usin
Pricing
product-image-AAA243097_IF13.jpg IF (Immunofluorescence) (Immunofluorescence staining of methanol-fixed Hela cells using eNOS(Phospho-Ser1177) Antibody.)

NOS3, Polyclonal Antibody (Cat# AAA243097)

Full Name
Phospho-NOS3 (Ser1177) Antibody
Gene Names
NOS3; eNOS; ECNOS
Reactivity
Human, Mouse, Rat
Applications
Immunofluorescence, Immunohistochemistry
Purity
Antibodies were produced by immunizing rabbits with synthetic phosphopeptide and KLH conjugates. Antibodies were purified by affinity-chromatography using epitope-specific phosphopeptide. Non-phospho specific antibodies were removed by chromatography usin
Pricing
product-image-AAA243139_WB13.jpg WB (Western Blot) (Western blot analysis of extracts from Rat brain tissue treated with Lambda Phosphotase or calf intestinal phosphatase (CIP),using CaMKII (Phospho-Thr286) Antibody.)

CAMK2A, Polyclonal Antibody (Cat# AAA243139)

Full Name
Phospho-CAMK2A (Thr286) Antibody
Gene Names
CAMK2A; CAMKA
Reactivity
Human, Mouse, Rat
Applications
Western Blot
Purity
Antibodies were produced by immunizing rabbits with synthetic phosphopeptide and KLH conjugates. Antibodies were purified by affinity-chromatography using epitope-specific phosphopeptide. Non-phospho specific antibodies were removed by chromatography usin
Pricing
product-image-AAA243140_IF13.jpg IF (Immunofluorescence) (Immunofluorescence staining of methanol-fixed Hela cells using BIM(Phospho-Ser69) Antibody.)

BCL2L11, Polyclonal Antibody (Cat# AAA243140)

Full Name
Phospho-BCL2L11 (Ser69) Antibody
Gene Names
BCL2L11; BAM; BIM; BOD
Reactivity
Human, Mouse, Rat
Applications
Immunofluorescence, Immunohistochemistry
Purity
Antibodies were produced by immunizing rabbits with synthetic phosphopeptide and KLH conjugates. Antibodies were purified by affinity-chromatography using epitope-specific phosphopeptide. Non-phospho specific antibodies were removed by chromatography usin
Pricing
product-image-AAA243156_IHC13.jpg IHC (Immunohiostchemistry) (Immunohistochemical analysis of paraffin-embedded human lung carcinoma tissue using eIF4G(Phospho-Ser1232) Antibody(left) or the same antibody preincubated with blocking peptide(right).)

EIF4G1, Polyclonal Antibody (Cat# AAA243156)

Full Name
Phospho-EIF4G1 (Ser1232) Antibody
Gene Names
EIF4G1; P220; EIF4F; EIF4G; EIF4GI; PARK18; EIF-4G1
Reactivity
Human
Applications
Immunohistochemistry, Western Blot
Purity
Antibodies were produced by immunizing rabbits with synthetic phosphopeptide and KLH conjugates. Antibodies were purified by affinity-chromatography using epitope-specific phosphopeptide. Non-phospho specific antibodies were removed by chromatography usin
Pricing
product-image-AAA243172_IHC13.jpg IHC (Immunohiostchemistry) (Immunohistochemical analysis of paraffin-embedded human breast carcinoma tissue using c-Abl (phospho-Tyr412) antibody.)

ABL1, Polyclonal Antibody (Cat# AAA243172)

Full Name
Phospho-ABL1 (Tyr412) Antibody
Gene Names
ABL1; ABL; JTK7; p150; c-ABL; v-abl; bcr/abl
Reactivity
Human, Mouse, Rat
Applications
Immunofluorescence, Immunohistochemistry
Purity
Affinity Purification
Pricing
product-image-AAA243173_WB13.jpg WB (Western Blot) (Western blot analysis of extracts from C2C12 cells, treated with serum or calf intestinal phosphatase (CIP), using AMPKα1/AMPKα2(Phospho-Thr174/Thr172) Antibody.)

PRKAA1/PRKAA2, Polyclonal Antibody (Cat# AAA243173)

Full Name
Phospho-PRKAA1/PRKAA2 (Thr183/Thr172) Antibody
Gene Names
PRKAA1; AMPK; AMPKa1
Reactivity
Human, Mouse, Rat
Applications
Immunohistochemistry, Western Blot
Purity
Antibodies were produced by immunizing rabbits with synthetic phosphopeptide and KLH conjugates. Antibodies were purified by affinity-chromatography using epitope-specific phosphopeptide. Non-phospho specific antibodies were removed by chromatography usin
Pricing
product-image-AAA243188_IHC13.jpg IHC (Immunohiostchemistry) (Immunohistochemical analysis of paraffin-embedded human breast carcinoma tissue using Integrin beta1 (Phospho-Thr789) antibody (left)or the same antibody preincubated with blocking peptide (right).)

ITGB1, Polyclonal Antibody (Cat# AAA243188)

Full Name
Phospho-ITGB1 (Thr789) Antibody
Gene Names
ITGB1; CD29; FNRB; MDF2; VLAB; GPIIA; MSK12; VLA-BETA
Reactivity
Human, Mouse, Rat
Applications
Immunohistochemistry, Western Blot
Purity
Antibodies were produced by immunizing rabbits with synthetic phosphopeptide and KLH conjugates. Antibodies were purified by affinity-chromatography using epitope-specific phosphopeptide. Non-phospho specific antibodies were removed by chromatography usin
Pricing
product-image-AAA301539_WB11.jpg WB (Western Blot) (Western blot analysis of extracts from JK cells, treated with G-CSF or calf intestinal phosphatase (CIP), using p62Dok (phospho-Tyr362) Antibody.)

p62Dok, Polyclonal Antibody (Cat# AAA301539)

Full Name
p62Dok (phospho-Tyr362) Antibody
Gene Names
DOK1; P62DOK
Reactivity
Human, Mouse, Rat
Applications
Immunohistochemistry, Western Blot
Purity
Antibodies were produced by immunizing rabbits with synthetic phosphopeptide and KLH conjugates. Antibodies were purified by affinity-chromatography using epitope-specific phosphopeptide. Non-phospho specific antibodies were removed by chromatogramphy usi
Pricing
product-image-AAA301307_IHC13.jpg IHC (Immunohiostchemistry) (Immunohistochemical analysis of paraffin-embedded rat hippocampal region tissue from a model with Alzheimer)

Tau, Polyclonal Antibody (Cat# AAA301307)

Full Name
Tau (Phospho-Thr231) Antibody
Gene Names
MAPT; TAU; MSTD; PPND; DDPAC; MAPTL; MTBT1; MTBT2; FTDP-17; PPP1R103
Reactivity
Human, Mouse, Rat
Applications
Immunohistochemistry, Western Blot
Purity
Antibodies were produced by immunizing rabbits with synthetic phosphopeptide and KLH conjugates. Antibodies were purified by affinity-chromatography using epitope-specific phosphopeptide. Non-phospho specific antibodies were removed by chromatogramphy usi
Pricing
product-image-AAA301332_IHC13.jpg IHC (Immunohiostchemistry) (Immunohistochemistry analysis of paraffin-embedded human brain tissue using AKT1/3 (Phospho-Tyr437/434) antibody. The picture on the right is treated with the synthesized peptide.)

AKT1/3, Polyclonal Antibody (Cat# AAA301332)

Full Name
AKT1/3 (Phospho-Tyr437/434) Antibody
Gene Names
AKT1; AKT; PKB; RAC; CWS6; PRKBA; PKB-ALPHA; RAC-ALPHA
Reactivity
Human, Mouse, Rat
Applications
Immunohistochemistry, Western Blot
Purity
Antibodies were produced by immunizing rabbits with synthetic phosphopeptide and KLH conjugates. Antibodies were purified by affinity-chromatography using epitope-specific phosphopeptide. Non-phospho specific antibodies were removed by chromatogramphy usi
Pricing
product-image-AAA301370_IHC13.jpg IHC (Immunohiostchemistry) (Immunohistochemical analysis of paraffin-embedded human breast carcinoma tissue using Paxillin(Phospho-Tyr118) Antibody (left) or the same antibody preincubated with blocking peptide(right).)

Paxillin, Polyclonal Antibody (Cat# AAA301370)

Full Name
Paxillin (Phospho-Tyr118) Antibody
Reactivity
Human, Mouse, Rat
Applications
Immunohistochemistry, Western Blot
Purity
Antibodies were produced by immunizing rabbits with synthetic phosphopeptide and KLH conjugates. Antibodies were purified by affinity-chromatography using epitope-specific phosphopeptide. Non-phospho specific antibodies were removed by chromatogramphy usi
Pricing
product-image-AAA258874_IHC13.png IHC (Immunohiostchemistry) (Immunochemical staining of human CREB (Ser133) in human thyroid cancer with rabbit polyclonal antibody at 1:100 dilution, formalin-fixed paraffin embedded sections.)

CREB, Polyclonal Antibody (Cat# AAA258874)

Full Name
Phospho-CREB (Ser133) Antibody, Rabbit PAb, Antigen Affinity Purified
Reactivity
Human
Applications
Immunohistochemistry
Purity
Protein A & Antigen Affinity
Pricing
product-image-AAA301257_IF11.jpg IF (Immunofluorescence) (Immunofluorescence staining of methanol-fixed Hela cells using AKT1(phospho-Thr450) Antibody.)

AKT1, Polyclonal Antibody (Cat# AAA301257)

Full Name
AKT1 (phospho-Thr450) Antibody
Gene Names
AKT1; AKT; PKB; RAC; CWS6; PRKBA; PKB-ALPHA; RAC-ALPHA
Reactivity
Human, Mouse, Rat
Applications
Immunofluorescence, Immunohistochemistry, Western Blot
Purity
Antibodies were produced by immunizing rabbits with synthetic phosphopeptide and KLH conjugates. Antibodies were purified by affinity-chromatography using epitope-specific phosphopeptide. Non-phospho specific antibodies were removed by chromatogramphy usi
Pricing
product-image-AAA301258_WB13.jpg WB (Western Blot) (Western Blot analysis of HELA cells using Phospho-PKD2 (S876) Polyclonal Antibody)

PKD2, Polyclonal Antibody (Cat# AAA301258)

Full Name
PKD2 (Phospho-Ser876) Polyclonal Antibody
Gene Names
PRKD2; PKD2; HSPC187; nPKC-D2
Reactivity
Human, Mouse, Rat
Applications
Immunohistochemistry, Western Blot
Purity
The antibody was affinity-purified from rabbit antiserum by affinity-chromatography using epitope-specific immunogen.
Pricing
product-image-AAA301453_WB13.jpg WB (Western Blot) (Western blot analysis of extracts from 293 cells, treated with calf intestinal phosphatase (CIP), using Lck (phospho-Tyr505) Antibody.)

Lck, Polyclonal Antibody (Cat# AAA301453)

Full Name
Lck (phospho-Tyr505) Antibody
Gene Names
LCK; LSK; YT16; IMD22; p56lck; pp58lck
Reactivity
Human
Applications
Western Blot
Purity
Antibodies were produced by immunizing rabbits with synthetic phosphopeptide and KLH conjugates. Antibodies were purified by affinity-chromatography using epitope-specific phosphopeptide. Non-phospho specific antibodies were removed by chromatogramphy usi
Pricing
product-image-AAA301665_WB11.jpg WB (Western Blot) (Western blot analysis of extracts from Hela cells, treated with IFNa or calf intestinal phosphatase (CIP), using HSF1 (Phospho-Ser307) Antibody.)

HSF1, Polyclonal Antibody (Cat# AAA301665)

Full Name
HSF1 (Phospho-Ser307) Antibody
Gene Names
HSF1; HSTF1
Reactivity
Human
Applications
Immunofluorescence, Western Blot
Purity
Antibodies were produced by immunizing rabbits with synthetic phosphopeptide and KLH conjugates. Antibodies were purified by affinity-chromatography using epitope-specific phosphopeptide. Non-phospho specific antibodies were removed by chromatogramphy usi
Pricing
product-image-AAA301938_IF11.jpg IF (Immunofluorescence) (Immunofluorescence staining of methanol-fixed Hela cells using IkB-a(Phospho-Ser32/Ser36) Antibody.)

IkappaB-alpha, Polyclonal Antibody (Cat# AAA301938)

Full Name
IkappaB-alpha (Phospho-Ser32/Ser36) Antibody
Gene Names
NFKBIA; IKBA; MAD-3; NFKBI
Reactivity
Human, Mouse
Applications
Immunofluorescence, Immunohistochemistry, Western Blot
Purity
Antibodies were produced by immunizing rabbits with synthetic phosphopeptide and KLH conjugates. Antibodies were purified by affinity-chromatography using epitope-specific phosphopeptide. Non-phospho specific antibodies were removed by chromatogramphy usi
Pricing

What Are Phospho Antibodies?


Protein phosphorylation is a process where a phosphate group is added to certain amino acid residues of a protein – usually serine (S), threonine (T), or tyrosine (Y) - by enzymes called kinases. This process is integral in controlling cellular signaling, cellular growth, and other biological functions.


Our catalog includes a wide range of phospho-specific antibodies that can accurately detect this important marker. They perform strongly in widely-used laboratory applications such as Western blot, flow cytometry, immunohistochemistry, and immunofluorescence microscopy. We value your trust in us and are committed to providing top-quality products and services. All of our antibodies are guaranteed to work for the applications and species indicated on our website & associated product pages.


What Are The Key Applications of Phospho Antibodies?


1. Western Blotting


One of the first steps a researcher can take in utilizing these phospho-specific antibodies, is to check if the antibody works using a technique referred to as “Western blot”. For those unfamiliar, Western Blot aids in showing whether the protein that the antibody recognizes is appearing at the correct/expected size. These phospho-specific antibodies should also be able to detect changes in the target protein’s phosphorylation (on/off state) when cells are stimulated in certain ways.


2. Staining of Fixed Cells (Immunocytochemistry)


Another routine use of these phospho-specific antibodies, is to test if the antibody is able to demonstrate similar performance when used on fixed cells (intact cells that have been preserved) as it did in the Western blot tests. It is an important aspect in many cases to confirm that the antibody works in actual intact cell samples. Ideally, the method used for cellular fixation should be the same as what is used in pathology labs (like using 10% formalin). To check if the antibody works well in tissue sections (FFPE), researchers will often test it on fixed cells that are processed similar to tissue samples.


3. Specificity Tests Using Peptides


In order to make sure that the antibody is only binding to the right target:


  • Laboratory technicians will mix the antibody with phospho-peptides (short segments of the protein containing the phosphate group modification).

  • If the antibody signal disappears, it is confirmation that it is binding to the correct phosphorylated location.

  • A more robust test is to use both the phosphorylated and non-phosphorylated (dephosphorylated) versions of the protein. The antibody should react only with the phosphorylated one.

  • Another method sometimes utilized is to treat the sample with an enzyme, such as alkaline phosphatase, that specifically removes phosphate groups. If the antibody signal disappears after this, it also confirms specificity.


4. Genetic Confirmation


As a final step, scientists can genetically manipulate the nucleotide sequence and alter the target protein by removing the exact site where phosphorylation happens. If the antibody no longer appears to detect the modified protein, it is strong evidence supporting the antibody being specific for that phosphorylated site.


Why Buy Phospho Antibodies Through Us?


  • The production laboratory adheres to strict and consistent protocols prior to releasing any of these phospho-specific antibodies:

  • Standard methods and proper controls in all tests to ensure high quality.

  • These antibodies are tested and validated in different cell types and species.

  • High quality control criterion to ensure each batch is consistent, so you will obtain reliable results every time.


FAQ


1. What Are Phospho-Specific Antibodies?


Phospho-specific antibodies are made to detect proteins only when they have a phosphate group linked to a specific amino acid residue. This empowers scientists understand if a protein is "turned on" or active, based on its phosphorylation state.


2. How to Detect Phosphorylated Proteins in a Western Blot?


To find out if a protein is phosphorylated using Western blot:


  • Use a phospho-specific antibody that binds only to the phosphorylated form of the protein.

  • You can also use a “regular” antibody for the same amino acid sequence of the protein that the phospho-specific antibody is binding to (but in this case, this antibody will not bind if there is a phosphate group present) in order to compare how much of it is phosphorylated versus how much is non-phosphorylated (or “total” protein, if the “normal” antibody’s epitopes are non-phospho-site-specific).


3. How to Choose the Best Antibody?


Here are some simple tips to help you pick the right antibody:


  • Know your target

  • Match your sample characteristics

  • Confirm the intended use is appropriate

  • Check “host” and “type”

  • Check the “quality” of the presented data/images

  • Appraise whether the available validation meets your needs


Submit a Question

Please complete the form below and a representative will contact you as soon as possible.

Request more Information

Please complete the form below and a representative will contact you as soon as possible.

Request a Manual

Please complete the form below and a representative will contact you as soon as possible.

Request a Quote

Please complete the form below and a representative will contact you as soon as possible.