Loading...

Skip to main content
Call us at +1-800-604-9114 for more information about our products or contact us online Need help? +1-800-604-9114 or contact us

Filters


Clonality

Type

Reactivity

Gene Name

Isotype

Host

Application

Clone

Phospho Antibodies

Phospho-specific antibodies’ typical purpose is to enable researchers to detect changes in proteins. They will exclusively bind to the amino acid sequence on a protein that has been phosphorylated (which is both a physical & chemical change) and do not bind to the same amino acid sequence on said protein if it lacks said phosphorylation. This aids in being able to clearly see and understand the data produced from this particular protein modification.


Viewing 4750-4800 of 5299 product results


product-image-AAA213777_IHC13.jpg IHC (Immunohiostchemistry) (Detection of mouse Phospho MCM2 (S40/S41) by immunohistochemistry. Samples: FFPE serial sections of mouse squamous cell carcinoma. Mock phosphatase treated section (left) or calf intestinal phosphatase-treated section (right) immunostained for Phospho MCM2 (S40/S41). Antibody: Affinity purified rabbit anti-Phospho MCM2 (S40/S41) (Cat. No. AAA213777) used at a dilution of 1:250. Detection: DAB)

MCM2, Polyclonal Antibody (Cat# AAA213777)

Full Name
Rabbit anti-Phospho MCM2 (S40/S41) IHC Antibody, Affinity Purified
Reactivity
Human, Mouse
Applications
Immunohistochemistry
Purity
Antigen Affinity Purified
Pricing
product-image-AAA213802_IHC11.jpg IHC (Immunohistochemisry) (Detection of human Phospho XRCC1 (S518/T519/T523) by immunohistochemistry. Sample: FFPE section of human breast carcinoma. Antibody: Affinity purified rabbit anti-Phospho XRCC1 (S518/T519/T523) (Cat. No. AAA213802) used at a dilution of 1:100. Detection: Red-fluorescent Alexa Fluor 555 goat anti-rabbit IgG (Invitrogen) used at a dilution of 1:500.)

XRCC1, Polyclonal Antibody (Cat# AAA213802)

Full Name
Rabbit anti-Phospho XRCC1 (S518/T519/T523) IHC Antibody, Affinity Purified
Reactivity
Human, Mouse
Applications
Immunohistochemistry, Immunohistochemistry
Purity
Antigen Affinity Purified
Pricing
product-image-AAA128101_WB13.jpg WB (Western Blot) (All lanes use the Antibody at 1:1K dilution for 1 hour at room temperature.)

beta Catenin, Monoclonal Antibody (Cat# AAA128101)

Full Name
Anti-Phospho-beta Catenin (T41 + S45) Rabbit Monoclonal Antibody
Gene Names
CTNNB1; CTNNB; MRD19; armadillo
Reactivity
Human, Mouse, Rat
Applications
Western Blot
Purity
Affinity-chromatography
Pricing
product-image-AAA128117_WB11.jpg WB (Western Blot) (All lanes use the Antibody at 1:3K dilution for 1 hour at room temperature.)

Nucleophosmin, Monoclonal Antibody (Cat# AAA128117)

Full Name
Anti-Phospho-Nucleophosmin (S125) Rabbit Monoclonal Antibody
Gene Names
NPM1; B23; NPM
Reactivity
Human, Mouse, Rat
Applications
Immunohistochemistry, Western Blot
Purity
Affinity-chromatography
Pricing
product-image-AAA128121_WB11.jpg WB (Western Blot) (Figure 1. Western blot analysis of ULK1 using anti-ULK1 antibody (AAA128121).Electrophoresis was performed on a 5-20% SDS-PAGE gel at 70V (Stacking gel)/90V (Resolving gel) for 2-3 hours. The sample well of each lane was loaded with 30 ug of sample under reducing conditions.Lane 1: human 293T whole cell lysates,Lane 2: human MCF-7 whole cell lysates,Lane 3: human A549 whole cell lysates,Lane 4: rat PC-12 whole cell lysates,Lane 5: mouse NIH/3T3 whole cell lysates.After electrophoresis, proteins were transferred to a nitrocellulose membrane at 150 mA for 50-90 minutes. Blocked the membrane with 5% non-fat milk/TBS for 1.5 hour at RT. The membrane was incubated with rabbit anti-ULK1 antigen affinity purified monoclonal antibody (#AAA128121) at 1:500 overnight at 4 degree C, then washed with TBS-0.1%Tween 3 times with 5 minutes each and probed with a goat anti-rabbit IgG-HRP secondary antibody at a dilution of 1:5000 for 1.5 hour at RT. The signal is developed using an Enhanced Chemiluminescent detection (ECL) kit with Tanon 5200 system. A specific band was detected for ULK1 at approximately 150 kDa. The expected band size for ULK1 is at 113 kDa.)

ULK1, Monoclonal Antibody (Cat# AAA128121)

Full Name
Anti-Phospho-ULK1 (S556) Rabbit Monoclonal Antibody
Gene Names
ULK1; ATG1; ATG1A; UNC51; hATG1; Unc51.1
Reactivity
Human, Mouse
Applications
Western Blot, Immunocytochemistry, Immunofluorescence
Purity
Affinity-chromatography
Pricing
product-image-AAA128142_WB13.jpg WB (Western Blot) (All lanes use the Antibody at 1:1W dilution for 1 hour at room temperature.)

beta Arrestin 1, Monoclonal Antibody (Cat# AAA128142)

Full Name
Anti-Phospho-beta Arrestin 1 (S412) Rabbit Monoclonal Antibody
Gene Names
ARRB1; ARB1; ARR1
Reactivity
Human
Applications
Western Blot
Purity
Affinity-chromatography
Pricing
product-image-AAA128151_WB11.jpg WB (Western Blot) (All lanes use the Antibody at 1:6K dilution for 1 hour at room temperature.)

CRMP2, Monoclonal Antibody (Cat# AAA128151)

Full Name
Anti-Phospho-CRMP2 (T514) Rabbit Monoclonal Antibody
Gene Names
DPYSL2; DRP2; N2A3; CRMP2; DRP-2; ULIP2; CRMP-2; DHPRP2; ULIP-2
Reactivity
Human, Mouse, Rat
Applications
Western Blot
Purity
Affinity-chromatography
Pricing
product-image-AAA205097_SC15.jpg Standard Curve (Sample)

Phospho Endothelial Nitric Oxide Synthase, ELISA Kit (Cat# AAA205097)

Full Name
Human Phospho Endothelial Nitric Oxide Synthase ELISA Kit
Reactivity
Human
Pricing
product-image-AAA174003_IHC13.jpg IHC (Immunohiostchemistry) (Immunohistochemistry of paraffin-embedded Human breast carcinoma tissue with Phospho-ERK 1/2 (Tyr222/205) Monoclonal Antibody at dilution of 1:200)

ERK 1/2, Monoclonal Antibody (Cat# AAA174003)

Full Name
Phospho-ERK 1/2 (Tyr222/205) Monoclonal Antibody
Gene Names
MAPK3; ERK1; ERT2; ERK-1; PRKM3; P44ERK1; P44MAPK; HS44KDAP; HUMKER1A; p44-ERK1; p44-MAPK
Reactivity
Human, Mouse, Rat
Applications
Immunohistochemistry
Purity
Protein A Purification
Pricing

Phospho-CHK2, Monoclonal Recombinant Antibody (Cat# AAA120239)

Full Name
Anti-Phospho-CHK2 (pT68) Antibody (34#)
Gene Names
CHEK2; CDS1; CHK2; LFS2; RAD53; hCds1; HuCds1; PP1425
Reactivity
Human
Applications
Western Blot, Immunoprecipitation, Immunohistochemistry
Purity
>95%. Protein A or G purified.
Pricing
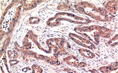
product-image-AAA173638_IHC11.jpg IHC (Immunohistochemisry) (Immunohistochemistry of paraffin-embedded Human breast carcinoma tissue with Phospho-Akt (Ser473) Monoclonal Antibody at dilution of 1:200)

Akt, Monoclonal Antibody (Cat# AAA173638)

Full Name
Phospho-Akt (Ser473) Monoclonal Antibody
Gene Names
AKT1; AKT; PKB; RAC; CWS6; PRKBA; PKB-ALPHA; RAC-ALPHA
Reactivity
Human
Applications
Immunohistochemistry, Western Blot
Purity
Protein A Purification
Pricing
product-image-AAA173640_WB15.jpg WB (Western Blot) (Western Blot analysis of HBE cells with Phospho-NF2 (Ser10) Polyclonal Antibody at dilution of 1:500)

NF2, Polyclonal Antibody (Cat# AAA173640)

Full Name
Phospho-NF2 (Ser10) Polyclonal Antibody
Gene Names
NF2; ACN; SCH; BANF
Reactivity
Human, Mouse, Rat
Applications
Immunohistochemistry, Western Blot
Purity
Affinity purification
Pricing
product-image-AAA202883_SC15.jpg Standard Curve (Sample)

Phospho-Extracellular Signal-Regulated Kinase (PERK), ELISA Kit (Cat# AAA202883)

Full Name
Human Phospho-Extracellular Signal-Regulated Kinase (PERK) ELISA Kit
Reactivity
Human
Pricing
product-image-AAA171845_WB15.jpg WB (Western Blot) (Western Blot analysis of various cells with Phospho-HNF4A (Ser313) Polyclonal Antibody at dilution of 1:1000)

HNF4-alpha, Polyclonal Antibody (Cat# AAA171845)

Full Name
Phospho-HNF4-alpha (S313) Polyclonal Antibody
Gene Names
HNF4A; TCF; HNF4; MODY; FRTS4; MODY1; NR2A1; TCF14; HNF4a7; HNF4a8; HNF4a9; NR2A21; HNF4alpha
Reactivity
Human, Mouse, Rat
Applications
Immunofluorescence, Immunohistochemistry, Western Blot
Purity
Affinity purification
Pricing
product-image-AAA171854_IF11.jpg IF (Immunofluorescence) (Immunofluorescence analysis of Mouse spleen tissue with Phospho-ERK 1/2 (Thr202) Polyclonal Antibody at dilution of 1:200)

ERK 1/2, Polyclonal Antibody (Cat# AAA171854)

Full Name
Phospho-ERK 1/2 (T202) Polyclonal Antibody
Reactivity
Human, Mouse, Rat
Applications
Western Blot
Purity
Antigen Affinity Purified
Pricing
product-image-AAA171859_WB15.jpg WB (Western Blot) (Western Blot analysis of various cells with Phospho-p21 (Thr145) Polyclonal Antibody)

p21, Polyclonal Antibody (Cat# AAA171859)

Full Name
Phospho-p21 (T145) Polyclonal Antibody
Gene Names
CDKN1A; P21; CIP1; SDI1; WAF1; CAP20; CDKN1; MDA-6; p21CIP1
Reactivity
Human, Mouse, Rat
Applications
Immunohistochemistry, Western Blot
Purity
Affinity Purified
Pricing
product-image-AAA171865_IF11.jpg IF (Immunofluorescence) (Immunofluorescence analysis of Human lung tissue with Phospho-JNK1/2/3 (Tyr185) Polyclonal Antibody at dilution of 1:200)

JNK1/2/3, Polyclonal Antibody (Cat# AAA171865)

Full Name
Phospho-JNK1/2/3 (Y185) Polyclonal Antibody
Reactivity
Human, Mouse, Rat
Applications
Immunohistochemistry, Western Blot
Purity
Antigen Affinity Purified
Pricing
product-image-AAA171871_WB15.jpg WB (Western Blot) (Western Blot analysis of K562 cells with Phospho-PYK2 (Tyr580) Polyclonal Antibody)

PYK2, Polyclonal Antibody (Cat# AAA171871)

Full Name
Phospho-PYK2 (Y580) Polyclonal Antibody
Gene Names
PTK2B; PKB; PTK; CAKB; FAK2; PYK2; CADTK; FADK2; RAFTK
Reactivity
Human, Mouse, Rat
Applications
Immunohistochemistry, Western Blot
Purity
Affinity purification
Pricing
product-image-AAA171746_WB15.jpg WB (Western Blot) (Western Blot analysis of VEC cells with Phospho-p27 (Thr198) Polyclonal Antibody)

p27, Polyclonal Antibody (Cat# AAA171746)

Full Name
Phospho-p27 (T198) Polyclonal Antibody
Reactivity
Human
Applications
Western Blot
Purity
Affinity purification
Pricing
product-image-AAA171750_WB15.jpg WB (Western Blot) (Western Blot analysis of 293T cells with Phospho-TH (Ser19) Polyclonal Antibody at dilution of 1:1000)

TH, Polyclonal Antibody (Cat# AAA171750)

Full Name
Phospho-TH (S19) Polyclonal Antibody
Gene Names
TH; TYH; DYT14; DYT5b
Reactivity
Human, Mouse, Rat
Applications
Immunofluorescence, Immunohistochemistry, Western Blot
Purity
Antigen Affinity Purified
Pricing
product-image-AAA171763_IHC13.jpg IHC (Immunohiostchemistry) (Immunohistochemistry of paraffin-embedded Rat testis tissue with Phospho-FoxO3A (Ser253) Polyclonal Antibody at dilution of 1:200)

FoxO3A, Polyclonal Antibody (Cat# AAA171763)

Full Name
Phospho-FoxO3A (S253) Polyclonal Antibody
Gene Names
FOXO3; FOXO2; AF6q21; FKHRL1; FOXO3A; FKHRL1P2
Reactivity
Human, Mouse, Rat
Applications
Immunofluorescence, Immunohistochemistry, Western Blot
Purity
Antigen Affinity Purified
Pricing
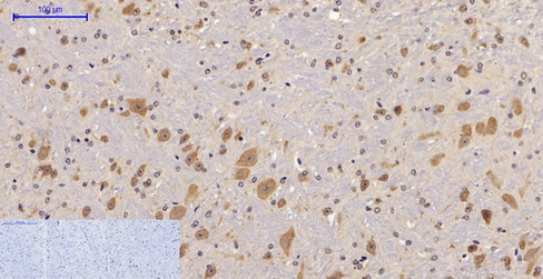
product-image-AAA171768_IHC11.jpg IHC (Immunohistochemisry) (Immunohistochemistry of paraffin-embedded Mouse brain tissue with Phospho-FAK (Tyr397) Polyclonal Antibody at dilution of 1:200)

FAK, Polyclonal Antibody (Cat# AAA171768)

Full Name
Phospho-FAK (Y397) Polyclonal Antibody
Gene Names
PTK2; FAK; FADK; FAK1; FRNK; PPP1R71; p125FAK; pp125FAK
Reactivity
Human, Mouse, Rat
Applications
Immunohistochemistry, Western Blot
Purity
Affinity purification
Pricing
product-image-AAA171783_WB15.jpg WB (Western Blot) (Western Blot analysis of various cells with Phospho-Cot (Thr290) Polyclonal Antibody)

Cot, Polyclonal Antibody (Cat# AAA171783)

Full Name
Phospho-Cot (T290) Polyclonal Antibody
Reactivity
Human, Mouse, Rat
Applications
Immunofluorescence, Immunohistochemistry, Western Blot
Purity
Affinity purification
Pricing
product-image-AAA171664_IF11.jpg IF (Immunofluorescence) (Immunofluorescence analysis of Mouse liver tissue with Phospho-GSK3?/? (Tyr279/216) Polyclonal Antibody at dilution of 1:200)

GSK3alpha/beta, Polyclonal Antibody (Cat# AAA171664)

Full Name
Phospho-GSK3alpha/beta (Y279/216) Polyclonal Antibody
Reactivity
Human, Mouse, Rat
Applications
Immunohistochemistry, Western Blot
Purity
Antigen Affinity Purified
Pricing
product-image-AAA171680_IF11.jpg IF (Immunofluorescence) (Immunofluorescence analysis of Rat spleen tissue with Phospho-PI 3-kinase p85/p55 (Tyr467/199) Polyclonal Antibody at dilution of 1:200)

PI 3-kinase p85/p55, Polyclonal Antibody (Cat# AAA171680)

Full Name
Phospho-PI 3-kinase p85/p55 (Y467/199) Polyclonal Antibody
Reactivity
Human, Mouse, Rat, Monkey
Applications
Immunofluorescence, Immunohistochemistry, Western Blot
Purity
Antigen Affinity Purified
Pricing
product-image-AAA171710_IHC13.jpg IHC (Immunohiostchemistry) (Immunohistochemistry of paraffin-embedded Rat brain with Phospho-Akt1 (Ser246) Polyclonal Antibody at dilution of 1:200)

Akt1, Polyclonal Antibody (Cat# AAA171710)

Full Name
Phospho-Akt1 (S246) Polyclonal Antibody
Gene Names
AKT1; AKT; PKB; RAC; CWS6; PRKBA; PKB-ALPHA; RAC-ALPHA
Reactivity
Human, Mouse, Rat
Applications
Immunofluorescence, Immunohistochemistry, Western Blot
Purity
Antigen Affinity Purified
Pricing
product-image-AAA171910_WB15.jpg WB (Western Blot) (Western Blot analysis of various cells with Phospho-Flt-1 (Tyr1048) Polyclonal Antibody at dilution of 1:1000)

Flt-1, Polyclonal Antibody (Cat# AAA171910)

Full Name
Phospho-Flt-1 (Y1048) Polyclonal Antibody
Gene Names
Flt1; Flt-1; sFlt1; VEGFR1; VEGFR-1; AI323757
Reactivity
Human, Mouse, Rat
Applications
Immunohistochemistry, Western Blot
Purity
Affinity purification
Pricing
product-image-AAA171911_WB15.jpg WB (Western Blot) (Western Blot analysis of various cells with Phospho-FAK (Tyr861) Polyclonal Antibody at dilution of 1:1000)

FAK, Polyclonal Antibody (Cat# AAA171911)

Full Name
Phospho-FAK (Y861) Polyclonal Antibody
Gene Names
PTK2; FAK; FADK; FAK1; FRNK; PPP1R71; p125FAK; pp125FAK
Reactivity
Human, Mouse, Rat, Monkey
Applications
Western Blot
Purity
Affinity purification
Pricing
product-image-AAA171925_WB15.jpg WB (Western Blot) (Western Blot analysis of HepG2 cells with Phospho-FLK1 (Tyr1214) Polyclonal Antibody)

Flk-1, Polyclonal Antibody (Cat# AAA171925)

Full Name
Phospho-Flk-1 (Y1214) Polyclonal Antibody
Gene Names
Kdr; Flk1; Ly73; Flk-1; Krd-1; VEGFR2; VEGFR-2; sVEGFR-2; 6130401C07
Reactivity
Human, Mouse, Rat
Applications
Immunofluorescence, Immunohistochemistry, Western Blot
Purity
Affinity Purification
Pricing
product-image-AAA172246_IF11.jpg IF (Immunofluorescence) (Immunofluorescence analysis of Rat heart tissue with Phospho-PI 3-kinase p85? (Tyr607) Polyclonal Antibody at dilution of 1:200)

PI 3-kinase p85alpha, Polyclonal Antibody (Cat# AAA172246)

Full Name
Phospho-PI 3-kinase p85alpha (Y607) Polyclonal Antibody
Reactivity
Human, Mouse, Rat
Applications
Immunohistochemistry, Western Blot
Purity
Antigen Affinity Purified
Pricing
product-image-AAA172255_WB15.jpg WB (Western Blot) (Western Blot analysis of various cells with Phospho-HDAC2 (Ser394) Polyclonal Antibody)

HDAC2, Polyclonal Antibody (Cat# AAA172255)

Full Name
Phospho-HDAC2 (S394) Polyclonal Antibody
Gene Names
HDAC2; HD2; RPD3; YAF1
Reactivity
Human, Mouse, Rat, Monkey
Applications
Western Blot
Purity
Antigen Affinity Purified
Pricing
product-image-AAA172265_IF11.jpg IF (Immunofluorescence) (Immunofluorescence analysis of Rat testis tissue with Phospho-JNK1/2/3 (Thr183) Polyclonal Antibody at dilution of 1:200)

JNK1/2/3, Polyclonal Antibody (Cat# AAA172265)

Full Name
Phospho-JNK1/2/3 (T183) Polyclonal Antibody
Reactivity
Human, Mouse, Rat
Applications
Immunofluorescence, Immunohistochemistry, Western Blot
Purity
Antigen Affinity Purified
Pricing
product-image-AAA172042_WB15.jpg WB (Western Blot) (Western Blot analysis of VEC, HY926 cells with Phospho-SGK1 (Ser422) Polyclonal Antibody at dilution of 1:500)

SGK1, Polyclonal Antibody (Cat# AAA172042)

Full Name
Phospho-SGK1 (S422) Polyclonal Antibody
Gene Names
SGK1; SGK
Reactivity
Human, Mouse, Rat
Applications
Immunohistochemistry, Western Blot
Purity
Affinity purification
Pricing
product-image-AAA172055_IHC13.jpg IHC (Immunohiostchemistry) (Immunohistochemistry of paraffin-embedded Human liver cancer tissue with Phospho-MEK-1/2 (Ser218/222) Polyclonal Antibody at dilution of 1:200)

MEK-1/2, Polyclonal Antibody (Cat# AAA172055)

Full Name
Phospho-MEK-1/2 (S218/222) Polyclonal Antibody
Reactivity
Human, Mouse, Rat
Applications
Immunohistochemistry, Western Blot
Purity
Antigen Affinity Purified
Pricing
product-image-AAA172372_WB15.jpg WB (Western Blot) (Western Blot analysis of HT-29, COS7 cells with Phospho-SNAI 1 (Ser246) Polyclonal Antibody at dilution of 1:500)

SNAI 1, Polyclonal Antibody (Cat# AAA172372)

Full Name
Phospho-SNAI 1 (S246) Polyclonal Antibody
Reactivity
Human, Mouse, Monkey
Applications
Immunofluorescence, Immunohistochemistry, Western Blot
Purity
Affinity purification
Pricing
product-image-AAA172558_IF11.jpg IF (Immunofluorescence) (Immunofluorescence analysis of Rat spleen tissue with Phospho-ERK 1/2 (Tyr204) Polyclonal Antibody at dilution of 1:200)

ERK 1/2, Polyclonal Antibody (Cat# AAA172558)

Full Name
Phospho-ERK 1/2 (Y204) Polyclonal Antibody
Reactivity
Human, Mouse, Rat
Applications
Immunofluorescence, Immunohistochemistry, Western Blot
Purity
Affinity Purification
Pricing
product-image-AAA172600_WB15.jpg WB (Western Blot) (Western Blot analysis of various cells with Phospho-NOS3 (Ser1177) Polyclonal Antibody at dilution of 1:1000)

NOS3, Polyclonal Antibody (Cat# AAA172600)

Full Name
Phospho-NOS3 (S1177) Polyclonal Antibody
Reactivity
Human, Mouse, Rat
Applications
Immunofluorescence, Western Blot
Purity
Antigen Affinity Purified
Pricing
product-image-AAA172606_IF11.jpg IF (Immunofluorescence) (Immunofluorescence analysis of Mouse lung tissue with Phospho-CREB-1 (Ser133) Polyclonal Antibody at dilution of 1:200)

CREB-1, Polyclonal Antibody (Cat# AAA172606)

Full Name
Phospho-CREB-1 (S133) Polyclonal Antibody
Gene Names
CREB1; CREB; CREB-1
Reactivity
Human, Mouse, Rat
Applications
Immunofluorescence, Immunohistochemistry, Western Blot
Purity
Affinity purification.
Pricing
product-image-AAA172610_WB15.jpg WB (Western Blot) (Western Blot analysis of A549 cells with Phospho-Vimentin (Ser56) Polyclonal Antibody.)

Vimentin, Polyclonal Antibody (Cat# AAA172610)

Full Name
Phospho-Vimentin (S56) Polyclonal Antibody
Gene Names
VIM; HEL113; CTRCT30
Reactivity
Human
Applications
Immunohistochemistry, Western Blot
Purity
Affinity purification
Pricing
product-image-AAA124524_WB13.jpg WB (Western Blot) (Western blot analysis of Phospho-c-Myc (S62) expression in HeLa cell lysate (AAA124524).Electrophoresis was performed on a 5-20% SDS-PAGE gel at 70V (Stacking gel) / 90V (Resolving gel) for 2-3 hours. The sample well of each lane was loaded with 50ug of sample under reducing conditions.After Electrophoresis, proteins were transferred to a Nitrocellulose membrane at 150mA for 50-90 minutes. Blocked the membrane with 5% Non-fat Milk/ TBS for 1.5 hour at RT. The membrane was incubated with rabbit anti-MYC monoclonal antibody overnight at 4 degree C, then washed with TBS-0.1%Tween 3 times with 5 minutes each and probed with a goat anti-rabbit IgG-HRP secondary antibody at a dilution of 1:10000 for 1.5 hour at RT. The signal is developed using an Enhanced Chemiluminescent detection (ECL) kit with Tanon 5200 system. A specific band was detected for MYC)

c-Myc, Monoclonal Antibody (Cat# AAA124524)

Full Name
Anti-Phospho-c-Myc (S62) Rabbit Monoclonal Antibody
Gene Names
MYC; MRTL; MYCC; c-Myc; bHLHe39
Reactivity
Human, Mouse, Rat
Applications
Western Blot, Immunocytochemistry, Immunohistochemistry, Immunofluorescence, Immunoprecipitation
Purity
Affinity-chromatography
Pricing
product-image-AAA124531_WB13.jpg WB (Western Blot) (Western blot analysis of Phospho-GATA3 (S308) Jurkat cell lysate treated with Bromo-cAMP (AAA124531).Electrophoresis was performed on a 5-20% SDS-PAGE gel at 70V (Stacking gel) / 90V (Resolving gel) for 2-3 hours. The sample well of each lane was loaded with 50ug of sample under reducing conditions.After Electrophoresis, proteins were transferred to a Nitrocellulose membrane at 150mA for 50-90 minutes. Blocked the membrane with 5% Non-fat Milk/ TBS for 1.5 hour at RT. The membrane was incubated with rabbit anti-GATA3 monoclonal antibody overnight at 4 degree C, then washed with TBS-0.1%Tween 3 times with 5 minutes each and probed with a goat anti-rabbit IgG-HRP secondary antibody at a dilution of 1:10000 for 1.5 hour at RT. The signal is developed using an Enhanced Chemiluminescent detection (ECL) kit with Tanon 5200 system. A specific band was detected for GATA3)

GATA3, Monoclonal Antibody (Cat# AAA124531)

Full Name
Anti-Phospho-GATA3 (S308) Rabbit Monoclonal Antibody
Gene Names
GATA3; HDR; HDRS
Reactivity
Human
Applications
Western Blot, Immunohistochemistry, Immunoprecipitation
Purity
Affinity-chromatography
Pricing
product-image-AAA124532_WB13.jpg WB (Western Blot) (Western blot analysis of Phospho-DNA PKcs (Ser2056) expression in alkaline treated Jurkat cell lysate (AAA124532).Electrophoresis was performed on a 5-20% SDS-PAGE gel at 70V (Stacking gel) / 90V (Resolving gel) for 2-3 hours. The sample well of each lane was loaded with 50ug of sample under reducing conditions.After Electrophoresis, proteins were transferred to a Nitrocellulose membrane at 150mA for 50-90 minutes. Blocked the membrane with 5% Non-fat Milk/ TBS for 1.5 hour at RT. The membrane was incubated with rabbit anti-PRKDC monoclonal antibody overnight at 4 degree C, then washed with TBS-0.1%Tween 3 times with 5 minutes each and probed with a goat anti-rabbit IgG-HRP secondary antibody at a dilution of 1:10000 for 1.5 hour at RT. The signal is developed using an Enhanced Chemiluminescent detection (ECL) kit with Tanon 5200 system. A specific band was detected for PRKDC)

DNA PKcs, Monoclonal Antibody (Cat# AAA124532)

Full Name
Anti-Phospho-DNA PKcs (S2056) Rabbit Monoclonal Antibody
Gene Names
PRKDC; HYRC; p350; DNAPK; DNPK1; HYRC1; IMD26; XRCC7; DNA-PKcs
Reactivity
Human
Applications
Western Blot, Immunocytochemistry, Immunohistochemistry, Immunofluorescence
Purity
Affinity-chromatography
Pricing
product-image-AAA124536_WB15.jpg WB (Western Blot) (Western Blot analysis of Phospho-LAT in Jurkat cell lysate.)

LAT, Monoclonal Antibody (Cat# AAA124536)

Full Name
Anti-Phospho-LAT (Y191) Rabbit Monoclonal Antibody
Gene Names
LAT; LAT1; pp36; IMD52
Reactivity
Human, Mouse, Rat
Applications
Immunoprecipitation, Immunocytochemistry, Immunohistochemistry, Western Blot
Purity
Affinity-chromatography
Pricing
product-image-AAA124538_WB15.jpg WB (Western Blot) (Western blot analysis of Phospho-Synapsin I (S9) expression in (1) Human brain lysate; (2) Human brain lysate treated with AP (AAA124538).Electrophoresis was performed on a 5-20% SDS-PAGE gel at 70V (Stacking gel) / 90V (Resolving gel) for 2-3 hours. The sample well of each lane was loaded with 50ug of sample under reducing conditions.After Electrophoresis, proteins were transferred to a Nitrocellulose membrane at 150mA for 50-90 minutes. Blocked the membrane with 5% Non-fat Milk/ TBS for 1.5 hour at RT. The membrane was incubated with rabbit anti-SYN1 monoclonal antibody overnight at 4 degree C, then washed with TBS-0.1%Tween 3 times with 5 minutes each and probed with a goat anti-rabbit IgG-HRP secondary antibody at a dilution of 1:10000 for 1.5 hour at RT. The signal is developed using an Enhanced Chemiluminescent detection (ECL) kit with Tanon 5200 system. A specific band was detected for SYN1)

Synapsin I, Monoclonal Antibody (Cat# AAA124538)

Full Name
Anti-Phospho-Synapsin I (S9) Rabbit Monoclonal Antibody
Gene Names
SYN1; SYNI; SYN1a; SYN1b
Reactivity
Human, Mouse, Rat
Applications
Western Blot, Immunohistochemistry
Purity
Affinity-chromatography
Pricing
product-image-AAA124540_WB13.jpg WB (Western Blot) (Western blot analysis of Phospho-Histone H14 (T17) expression in Jurkat cell lysate (AAA124540).Electrophoresis was performed on a 5-20% SDS-PAGE gel at 70V (Stacking gel) / 90V (Resolving gel) for 2-3 hours. The sample well of each lane was loaded with 50ug of sample under reducing conditions.After Electrophoresis, proteins were transferred to a Nitrocellulose membrane at 150mA for 50-90 minutes. Blocked the membrane with 5% Non-fat Milk/ TBS for 1.5 hour at RT. The membrane was incubated with rabbit anti-HIST1H1E monoclonal antibody overnight at 4 degree C, then washed with TBS-0.1%Tween 3 times with 5 minutes each and probed with a goat anti-rabbit IgG-HRP secondary antibody at a dilution of 1:10000 for 1.5 hour at RT. The signal is developed using an Enhanced Chemiluminescent detection (ECL) kit with Tanon 5200 system. A specific band was detected for HIST1H1E)

Histone H1.4, Monoclonal Antibody (Cat# AAA124540)

Full Name
Anti-Phospho-Histone H1.4 (T17) Rabbit Monoclonal Antibody
Gene Names
HIST1H1E; H1E; H1.4; H1F4; RMNS; H1s-4; dJ221C16.5
Reactivity
Human, Mouse, Rat
Applications
Western Blot, Immunocytochemistry, Immunohistochemistry, Immunofluorescence
Purity
Affinity-chromatography
Pricing
product-image-AAA104326_IF11.jpg IF (Immunofluorescence) (Immunofluorescent analysis of LIMK1/2 (pT508/505) staining in PC12 cells. Formalin-fixed cells were permeabilized with 0.1% Triton X-100 in TBS for 5-10 minutes and blocked with 3% BSA-PBS for 30 minutes at room temperature. Cells were probed with the primary antibody in 3% BSA-PBS and incubated overnight at 4 °C in a humidified chamber. Cells were washed with PBST and incubated with a DyLight 594-conjugated secondary antibody (red) in PBS at room temperature in the dark.)

LIMK1/2 (pT508/505), Polyclonal Antibody (Cat# AAA104326)

Full Name
Anti-LIMK1/2 (pT508/505) Phospho Antibody
Gene Names
LIMK1; LIMK; LIMK-1
Reactivity
Human, Rat, Bovine, Chicken
Applications
Immunocytochemistry, Immunofluorescence, Immunohistochemistry, Western Blot
Purity
The antibody was purified by immunogen affinity chromatography.
Pricing
product-image-AAA106155_IHC13.jpg IHC (Immunohiostchemistry) (Immunohistochemical analysis of PTP1B (pS50) staining in human breast cancer formalin fixed paraffin embedded tissue section. The section was pre-treated using heat mediated antigen retrieval with sodium citrate buffer (pH 6.0). The section was then incubated with the antibody at room temperature and detected using an HRP conjugated compact polymer system. DAB was used as the chromogen. The section was then counterstained with haematoxylin and mounted with DPX.)

PTP1B, Polyclonal Antibody (Cat# AAA106155)

Full Name
Anti-PTP1B (pS50) Phospho Antibody
Gene Names
PTPN1; PTP1B
Reactivity
Human, Mouse, Rat, Chicken, Dog, Monkey, Porcine, Zebrafish
Applications
Immunohistochemistry, Western Blot
Purity
The antibody was purified by immunogen affinity chromatography.
Pricing
product-image-AAA105127_IF13.jpg IF (Immunofluorescence) (Immunofluorescent analysis of SMAD3 (pS204) staining in HeLa cells. Formalin-fixed cells were permeabilized with 0.1% Triton X-100 in TBS for 5-10 minutes and blocked with 3% BSA-PBS for 30 minutes at room temperature. Cells were probed with the primary antibody in 3% BSA-PBS and incubated overnight at 4 °C in a humidified chamber. Cells were washed with PBST and incubated with a DyLight 594-conjugated secondary antibody (red) in PBS at room temperature in the dark.)

SMAD3 (pS204), Polyclonal Antibody (Cat# AAA105127)

Full Name
Anti-SMAD3 (pS204) Phospho Antibody
Gene Names
SMAD3; LDS3; LDS1C; MADH3; JV15-2; HSPC193; HsT17436
Reactivity
Human, Mouse, Rat, Chicken, Monkey, Pig, Sheep
Applications
Immunoprecipitation, Immunocytochemistry, Immunofluorescence, Western Blot
Purity
The antibody was purified by immunogen affinity chromatography.
Pricing
product-image-AAA104886_IF13.jpg IF (Immunofluorescence) (Immunofluorescent analysis of Focal Adhesion Kinase (pY925) staining in NIH3T3 cells. Formalin-fixed cells were permeabilized with 0.1% Triton X-100 in TBS for 5-10 minutes and blocked with 3% BSA-PBS for 30 minutes at room temperature. Cells were probed with the primary antibody in 3% BSA-PBS and incubated overnight at 4 °C in a humidified chamber. Cells were washed with PBST and incubated with a DyLight 594-conjugated secondary antibody (red) in PBS at room temperature in the dark.)

Focal Adhesion Kinase (pY925), Polyclonal Antibody (Cat# AAA104886)

Full Name
Anti-Focal Adhesion Kinase (pY925) Phospho Antibody
Gene Names
PTK2; FAK; FADK; FAK1; FRNK; PPP1R71; p125FAK; pp125FAK
Reactivity
Human, Mouse, Rat, Chicken, Zebrafish
Applications
Immunocytochemistry, Immunofluorescence, Western Blot
Purity
The antibody was purified by immunogen affinity chromatography.
Pricing
product-image-AAA104657_IF11.jpg IF (Immunofluorescence) (Immunofluorescent analysis of STAT1 (pS727) staining in NIH3T3 cells. Formalin-fixed cells were permeabilized with 0.1% Triton X-100 in TBS for 5-10 minutes and blocked with 3% BSA-PBS for 30 minutes at room temperature. Cells were probed with the primary antibody in 3% BSA-PBS and incubated overnight at 4 °C in a humidified chamber. Cells were washed with PBST and incubated with a DyLight 594-conjugated secondary antibody (red) in PBS at room temperature in the dark.)

MKK4 (pS80), Polyclonal Antibody (Cat# AAA104657)

Full Name
Anti-MKK4 (pS80) Phospho Antibody
Gene Names
MAP2K4; JNKK; MEK4; MKK4; SEK1; SKK1; JNKK1; SERK1; MAPKK4; PRKMK4; SAPKK1; SAPKK-1
Reactivity
Human, Mouse, Rat, Bovine, Zebrafish
Applications
Immunoprecipitation, Immunocytochemistry, Immunofluorescence, Immunohistochemistry, Western Blot
Purity
The antibody was purified by immunogen affinity chromatography.
Pricing

What Are Phospho Antibodies?


Protein phosphorylation is a process where a phosphate group is added to certain amino acid residues of a protein – usually serine (S), threonine (T), or tyrosine (Y) - by enzymes called kinases. This process is integral in controlling cellular signaling, cellular growth, and other biological functions.


Our catalog includes a wide range of phospho-specific antibodies that can accurately detect this important marker. They perform strongly in widely-used laboratory applications such as Western blot, flow cytometry, immunohistochemistry, and immunofluorescence microscopy. We value your trust in us and are committed to providing top-quality products and services. All of our antibodies are guaranteed to work for the applications and species indicated on our website & associated product pages.


What Are The Key Applications of Phospho Antibodies?


1. Western Blotting


One of the first steps a researcher can take in utilizing these phospho-specific antibodies, is to check if the antibody works using a technique referred to as “Western blot”. For those unfamiliar, Western Blot aids in showing whether the protein that the antibody recognizes is appearing at the correct/expected size. These phospho-specific antibodies should also be able to detect changes in the target protein’s phosphorylation (on/off state) when cells are stimulated in certain ways.


2. Staining of Fixed Cells (Immunocytochemistry)


Another routine use of these phospho-specific antibodies, is to test if the antibody is able to demonstrate similar performance when used on fixed cells (intact cells that have been preserved) as it did in the Western blot tests. It is an important aspect in many cases to confirm that the antibody works in actual intact cell samples. Ideally, the method used for cellular fixation should be the same as what is used in pathology labs (like using 10% formalin). To check if the antibody works well in tissue sections (FFPE), researchers will often test it on fixed cells that are processed similar to tissue samples.


3. Specificity Tests Using Peptides


In order to make sure that the antibody is only binding to the right target:


  • Laboratory technicians will mix the antibody with phospho-peptides (short segments of the protein containing the phosphate group modification).

  • If the antibody signal disappears, it is confirmation that it is binding to the correct phosphorylated location.

  • A more robust test is to use both the phosphorylated and non-phosphorylated (dephosphorylated) versions of the protein. The antibody should react only with the phosphorylated one.

  • Another method sometimes utilized is to treat the sample with an enzyme, such as alkaline phosphatase, that specifically removes phosphate groups. If the antibody signal disappears after this, it also confirms specificity.


4. Genetic Confirmation


As a final step, scientists can genetically manipulate the nucleotide sequence and alter the target protein by removing the exact site where phosphorylation happens. If the antibody no longer appears to detect the modified protein, it is strong evidence supporting the antibody being specific for that phosphorylated site.


Why Buy Phospho Antibodies Through Us?


  • The production laboratory adheres to strict and consistent protocols prior to releasing any of these phospho-specific antibodies:

  • Standard methods and proper controls in all tests to ensure high quality.

  • These antibodies are tested and validated in different cell types and species.

  • High quality control criterion to ensure each batch is consistent, so you will obtain reliable results every time.


FAQ


1. What Are Phospho-Specific Antibodies?


Phospho-specific antibodies are made to detect proteins only when they have a phosphate group linked to a specific amino acid residue. This empowers scientists understand if a protein is "turned on" or active, based on its phosphorylation state.


2. How to Detect Phosphorylated Proteins in a Western Blot?


To find out if a protein is phosphorylated using Western blot:


  • Use a phospho-specific antibody that binds only to the phosphorylated form of the protein.

  • You can also use a “regular” antibody for the same amino acid sequence of the protein that the phospho-specific antibody is binding to (but in this case, this antibody will not bind if there is a phosphate group present) in order to compare how much of it is phosphorylated versus how much is non-phosphorylated (or “total” protein, if the “normal” antibody’s epitopes are non-phospho-site-specific).


3. How to Choose the Best Antibody?


Here are some simple tips to help you pick the right antibody:


  • Know your target

  • Match your sample characteristics

  • Confirm the intended use is appropriate

  • Check “host” and “type”

  • Check the “quality” of the presented data/images

  • Appraise whether the available validation meets your needs


Submit a Question

Please complete the form below and a representative will contact you as soon as possible.

Request more Information

Please complete the form below and a representative will contact you as soon as possible.

Request a Manual

Please complete the form below and a representative will contact you as soon as possible.

Request a Quote

Please complete the form below and a representative will contact you as soon as possible.