Loading...

Skip to main content
Call us at +1-800-604-9114 for more information about our products or contact us online Need help? +1-800-604-9114 or contact us

Filters


Clonality

Type

Reactivity

Gene Name

Isotype

Host

Application

Clone

Polyclonal Antibodies

At AAA Biotech also known as AAA Bio or AAABio, we provide a broad range of purified polyclonal antibodies (pAbs) that are able to all be browsed online through our website. Due to their high specificity and strong binding affinity, these antibodies are ideal for wide swathes of research and experimental applications.


Our polyclonal antibodies can easily support your work, whether you use them for Western Blotting, Immunocytochemistry (with or without Immunofluorescence used in conjunction), Immunohistochemistry, Immunoprecipitation, and ELISA tests. We highly encourage you to browse our range of pAbs and choose the one that best suits your experimental model.


Viewing 6300-6350 of 10000 product results


product-image-AAA242023_IHC13.jpg IHC (Immunohiostchemistry) (The image on the left is immunohistochemistry of paraffin-embedded Human thyroid cancer tissue using AAA242023(AQP7 Antibody) at dilution 1/40, on the right is treated with synthetic peptide. (Original magnification: ×200))

AQP7, Polyclonal Antibody (Cat# AAA242023)

Full Name
AQP7 Antibody
Gene Names
AQP7; AQP9; AQP7L; AQPap; GLYCQTL
Reactivity
Human
Applications
Immunohistochemistry
Purity
Antigen Affinity Purification
Pricing
product-image-AAA243251_WB13.jpg WB (Western Blot) (Western blot analysis of extracts from 293 cells (Lane 2), using TAK1 (Phospho-Thr184) Antibody. The lane on the left is treated with synthesized peptide.)

MAP3K7, Polyclonal Antibody (Cat# AAA243251)

Full Name
Phospho-MAP3K7 (Thr184) Antibody
Gene Names
MAP3K7; TAK1; MEKK7; TGF1a
Reactivity
Human, Mouse, Rat
Applications
Western Blot
Purity
Antibodies were produced by immunizing rabbits with synthetic phosphopeptide and KLH conjugates. Antibodies were purified by affinity-chromatography using epitope-specific phosphopeptide. Non-phospho specific antibodies were removed by chromatography usin
Pricing
product-image-AAA176412_IHC11.png IHC (Immunohistochemisry) (Immunohistochemistry of paraffin-embedded Human ovarian cancer tissue using RUVBL1 Polyclonal Antibody at dilution of 1:65(×200))

RUVBL1, Polyclonal Antibody (Cat# AAA176412)

Full Name
RUVBL1 Polyclonal Antibody
Gene Names
RUVBL1; RVB1; TIH1; ECP54; TIP49; ECP-54; INO80H; NMP238; PONTIN; TIP49A; NMP 238; Pontin52
Reactivity
Human, Mouse, Rat
Applications
Immunohistochemistry, Western Blot
Purity
Antigen Affinity Purification
Pricing
product-image-AAA126216_FCM13.png FCM/FACS (Flow Cytometry) (Figure 2. Flow Cytometry analysis of U2OS cells using anti-ACK1/TNK2 antibody (AAA126216).Overlay histogram showing U2OS cells stained with AAA126216 (Blue line). The cells were blocked with 10% normal goat serum. And then incubated with rabbit anti-ACK1/TNK2 Antibody (AAA126216, 1 ug/1x10^6 cells) for 30 min at 20 degree C. DyLight488 conjugated goat anti-rabbit IgG was used as secondary antibody for 30 minutes at 20 degree C. Isotype control antibody (Green line) was rabbit IgG (1 ug/1x10^6) used under the same conditions. Unlabelled sample (Red line) was also used as a control.)

ACK1/TNK2, Polyclonal Antibody (Cat# AAA126216)

Full Name
Anti-ACK1/TNK2 Antibody Picoband
Gene Names
TNK2; ACK; ACK1; ACK-1; p21cdc42Hs
Reactivity
Human
Applications
Flow Cytometry, Western Blot
Purity
Immunogen affinity purified.
Pricing
product-image-AAA126559_FCM13.jpg FCM/FACS (Flow Cytometry) (Figure 2. Flow Cytometry analysis of JK cells using anti-ROR beta/RORB antibody (AAA126559).Overlay histogram showing JK cells stained with AAA126559 (Blue line). The cells were blocked with 10% normal goat serum. And then incubated with rabbit anti-ROR beta/RORB Antibody (AAA126559, 1 ug/1x10^6 cells) for 30 min at 20 degree C. DyLight488 conjugated goat anti-rabbit IgG was used as secondary antibody for 30 minutes at 20 degree C. Isotype control antibody (Green line) was rabbit IgG (1 ug/1x10^6) used under the same conditions. Unlabelled sample (Red line) was also used as a control.)

ROR beta/RORB, Polyclonal Antibody (Cat# AAA126559)

Full Name
Anti-ROR beta/RORB Antibody Picoband
Gene Names
RORB; RZRB; NR1F2; ROR-BETA; RZR-BETA; bA133M9.1
Reactivity
Human
Applications
Western Blot, Flow Cytometry
Purity
Immunogen affinity purified.
Pricing
product-image-AAA125639_WB11.jpg WB (Western Blot) (Figure 1. Western blot analysis of HDAC9 using anti-HDAC9 antibody (AAA125639).Electrophoresis was performed on a 5-20% SDS-PAGE gel at 70V (Stacking gel) / 90V (Resolving gel) for 2-3 hours. The sample well of each lane was loaded with 50ug of sample under reducing conditions.Lane 1: rat testis tissue lysatesLane 2: rat liver tissue lysatesLane 3: mouse testis tissue lysatesLane 4: mouse liver tissue lysatesLane 5: mouse RAW264. 7 whole cell lysatesLane 6: human THP-1 whole cell lysatesLane 7: human HL-60 whole cell lysates.After Electrophoresis, proteins were transferred to a Nitrocellulose membrane at 150mA for 50-90 minutes. Blocked the membrane with 5% Non-fat Milk/ TBS for 1. 5 hour at RT. The membrane was incubated with rabbit anti-HDAC9 antigen affinity purified polyclonal antibody (Catalog # AAA125639) at 0. 5 μg/mL overnight at 4 degree C, then washed with TBS-0. 1%Tween 3 times with 5 minutes each and probed with a goat anti-rabbit IgG-HRP secondary antibody at a dilution of 1:10000 for 1. 5 hour at RT. The signal is developed using an Enhanced Chemiluminescent detection (ECL) kit with Tanon 5200 system. A specific band was detected for HDAC9 at approximately 150KD. The expected band size for HDAC9 is at 150KD.)

HDAC9, Polyclonal Antibody (Cat# AAA125639)

Full Name
Anti-HDAC9 Antibody
Gene Names
HDAC9; HD7; HD9; HD7b; HDAC; HDRP; MITR; HDAC7; HDAC7B; HDAC9B; HDAC9FL
Reactivity
Human, Mouse, Rat
Applications
Direct ELISA, Flow Cytometry, Immunofluorescence, Immunocytochemistry, Western Blot
Purity
Immunogen affinity purified.
Pricing
product-image-AAA125795_FACS8.png FCM/FACS (Flow Cytometry) (Figure 5. Flow Cytometry analysis of CACO-2 cells using anti-Sorbitol Dehydrogenase/ SORD antibody (AAA125795).Overlay histogram showing CACO-2 cells stained with AAA125795 (Blue line). The cells were blocked with 10% normal goat serum. And then incubated with rabbit anti-Sorbitol Dehydrogenase/ SORD Antibody (AAA125795, 1μg/1x106 cells) for 30 min at 20 degree C. DyLight®488 conjugated goat anti-rabbit IgG (5-10μg/1x106 cells) was used as secondary antibody for 30 minutes at 20 degree C. Isotype control antibody (Green line) was rabbit IgG (1μg/1x106) used under the same conditions. Unlabelled sample (Red line) was also used as a control.)

Sorbitol Dehydrogenase/SORD, Polyclonal Antibody (Cat# AAA125795)

Full Name
Anti-Sorbitol Dehydrogenase/SORD Antibody
Gene Names
SORD; SORD1; HEL-S-95n
Reactivity
Human, Mouse, Rat, Monkey
Applications
Direct ELISA, Flow Cytometry, Immunofluorescence, Immunocytochemistry, Immunohistochemistry, Western Blot
Purity
Immunogen affinity purified.
Pricing
product-image-AAA126037_FCM11.png FCM/FACS (Flow Cytometry) (Figure 3. Flow Cytometry analysis of HeLa cells using anti-MSH6 antibody (AAA126037).Overlay histogram showing HeLa cells stained with AAA126037 (Blue line). The cells were blocked with 10% normal goat serum. And then incubated with rabbit anti-MSH6 Antibody (AAA126037, 1 ug/1x10^6 cells) for 30 min at 20 degree C. DyLight488 conjugated goat anti-rabbit IgG was used as secondary antibody for 30 minutes at 20 degree C. Isotype control antibody (Green line) was rabbit IgG (1 ug/1x10^6) used under the same conditions. Unlabelled sample (Red line) was also used as a control.)

MSH6, Polyclonal Antibody (Cat# AAA126037)

Full Name
Anti-MSH6 Antibody Picoband
Gene Names
MSH6; GTBP; HSAP; p160; GTMBP; HNPCC5
Reactivity
Human
Applications
Flow Cytometry, Immunofluorescence, Immunocytochemistry, Western Blot
Purity
Immunogen affinity purified.
Pricing
product-image-AAA126048_FCM13.png FCM/FACS (Flow Cytometry) (Figure 2. Flow Cytometry analysis of PC-3 cells using anti-Desmoplakin/DSP antibody (AAA126048).Overlay histogram showing PC-3 cells stained with AAA126048 (Blue line). The cells were blocked with 10% normal goat serum. And then incubated with rabbit anti-Desmoplakin/DSP Antibody (AAA126048, 1 ug/1x10^6 cells) for 30 min at 20 degree C. DyLight488 conjugated goat anti-rabbit IgG was used as secondary antibody for 30 minutes at 20 degree C. Isotype control antibody (Green line) was rabbit IgG (1 ug/1x10^6) used under the same conditions. Unlabelled sample (Red line) was also used as a control.)

Desmoplakin/DSP, Polyclonal Antibody (Cat# AAA126048)

Full Name
Anti-Desmoplakin/DSP Antibody Picoband
Gene Names
DSP; DP; DPI; DPII
Reactivity
Human
Applications
Western Blot, Flow Cytometry
Purity
Immunogen affinity purified.
Pricing
product-image-AAA125983_FCM10.jpg FCM/FACS (Flow Cytometry) (Figure 4. Flow Cytometry analysis of HEPA1-6 cells using anti-IL-2 Receptor alpha/Il2ra antibody (AAA125983).Overlay histogram showing HEPA1-6 cells stained with AAA125983 (Blue line). The cells were blocked with 10% normal goat serum. And then incubated with rabbit anti-IL-2 Receptor alpha/Il2ra Antibody (AAA125983, 1 ug/1x10^6 cells) for 30 min at 20 degree C. DyLight488 conjugated goat anti-rabbit IgG was used as secondary antibody for 30 minutes at 20 degree C. Isotype control antibody (Green line) was rabbit IgG (1 ug/1x10^6) used under the same conditions. Unlabelled sample (Red line) was also used as a control.)

IL-2 Receptor alpha/Il2ra, Polyclonal Antibody (Cat# AAA125983)

Full Name
Anti-IL-2 Receptor alpha/Il2ra Antibody Picoband
Gene Names
Il2ra; CD25; Il2r; Ly-43
Reactivity
Mouse, Rat
Applications
Flow Cytometry, Immunohistochemistry, Western Blot
Purity
Immunogen affinity purified.
Pricing
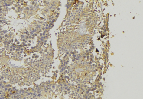
product-image-AAA175330_IHC13.png IHC (Immunohiostchemistry) (Immunohistochemistry of paraffin-embedded Human esophagus cancer tissue using DPYSL3 Polyclonal Antibody at dilution of 1:55(×200))

DPYSL3, Polyclonal Antibody (Cat# AAA175330)

Full Name
DPYSL3 Polyclonal Antibody
Gene Names
DPYSL3; DRP3; ULIP; CRMP4; DRP-3; LCRMP; CRMP-4; ULIP-1
Reactivity
Human, Mouse, Rat
Applications
Immunohistochemistry
Purity
Antigen Affinity Purification
Pricing
product-image-AAA125392_WB11.jpg WB (Western Blot) (Figure 1. Western blot analysis of Ccr2 using anti-Ccr2 antibody.)

CCR2, Polyclonal Antibody (Cat# AAA125392)

Full Name
Anti-CCR2 Antibody
Gene Names
Ccr2; Ckr2; Ccr2a; Ccr2b; Ckr2a; Ckr2b; mJe-r; Cmkbr2; Cc-ckr-2
Reactivity
Mouse, Rat
Applications
Immunohistochemistry, Western Blot
Purity
Immunogen affinity purified.
Pricing
product-image-AAA125428_WB8.jpg WB (Western Blot) (Figure 1. Western blot analysis of EPHB2 using anti-EPHB2 antibody.)

Eph receptor B2/EPHB2, Polyclonal Antibody (Cat# AAA125428)

Full Name
Anti-Eph receptor B2/EPHB2 Antibody
Gene Names
EPHB2; DRT; EK5; ERK; CAPB; Hek5; PCBC; EPHT3; Tyro5; BDPLT22
Reactivity
Human, Mouse, Rat
Applications
Direct ELISA, Flow Cytometry, Immunofluorescence, Immunocytochemistry, Western Blot
Purity
Immunogen affinity purified.
Pricing
product-image-AAA327180_IHC11.jpg IHC (Immunohistochemisry) (AAA327180 at 1/100 staining Human Head and neck cancer tissue by IHC-P. The sample was formaldehyde fixed and a heat mediated antigen retrieval step in citrate buffer was performed. The sample was then blocked and incubated with the antibody for 1.5 hours at 22 degree C. An HRP conjugated goat anti-rabbit antibody was used as the secondary.)

glut2, Polyclonal Antibody (Cat# AAA327180)

Full Name
glut2 Antibody
Gene Names
SLC2A2; GLUT2
Reactivity
Human, Mouse, Rat
Applications
Immunohistochemistry, Western Blot
Purity
Peptide affinity purification
Pricing
product-image-AAA327183_WB13.jpg WB (Western Blot) (Western blot analysis of TRMP7 using HepG2 whole cell lysates)

TRMP7, Polyclonal Antibody (Cat# AAA327183)

Full Name
TRMP7 Antibody
Gene Names
TRPM7; CHAK; CHAK1; ALSPDC; LTRPC7; LTrpC-7; TRP-PLIK
Reactivity
Human, Mouse, Rat
Applications
Immunohistochemistry, Western Blot
Purity
The antiserum was purified by peptide affinity chromatography using SulfoLink Coupling Resin.
Pricing
product-image-AAA327185_WB13.jpg WB (Western Blot) (Western blot analysis of DVL1 using HT-29 whole cell lysates)

DVL1, Polyclonal Antibody (Cat# AAA327185)

Full Name
DVL1 Antibody
Gene Names
DVL1; DVL; DRS2; DVL1L1; DVL1P1
Reactivity
Human, Mouse, Rat
Applications
Immunohistochemistry, Western Blot
Purity
The antiserum was purified by peptide affinity chromatography using SulfoLink Coupling Resin.
Pricing
product-image-AAA327188_WB11.jpg WB (Western Blot) (Western blot analysis of CD68 using HT-29 whole cell lysates)

CD68, Polyclonal Antibody (Cat# AAA327188)

Full Name
CD68 Antibody
Gene Names
CD68; GP110; LAMP4; SCARD1
Reactivity
Human, Mouse, Rat
Applications
Immunohistochemistry, Western Blot
Purity
The antiserum was purified by peptide affinity chromatography using SulfoLink Coupling Resin.
Pricing
product-image-AAA327192_IF11.jpg IF (Immunofluorescence) (AAA327192 staining HepG2  cells by IF/ICC. The sample were fixed with PFA and permeabilized in 0.1% Triton X-100, then blocked in 10% serum for 45 minutes at 25 degree C. The primary antibody was diluted at 1/200 and incubated with the sample for 1 hour at 37 degree C. An Alexa Fluor 594 conjugated goat anti-rabbit IgG (H+L) antibody, diluted at 1/600, was used as secondary antibody.)

Substance P, Polyclonal Antibody (Cat# AAA327192)

Full Name
Substance P Antibody
Gene Names
TAC1; NK2; NPK; NKNA; TAC2; Hs.2563
Reactivity
Human, Mouse, Rat
Applications
Immunocytochemistry, Immunofluorescence, Immunohistochemistry, Western Blot
Purity
The antiserum was purified by peptide affinity chromatography using SulfoLink Coupling Resin.
Pricing
product-image-AAA327193_WB11.jpg WB (Western Blot) (Western blot analysis GLI1 using HT-29 whole cell lysates)

GLI1, Polyclonal Antibody (Cat# AAA327193)

Full Name
GLI1 Antibody
Gene Names
GLI1; GLI; PAPA8
Reactivity
Human, Mouse, Rat
Applications
Immunocytochemistry, Immunofluorescence, Immunohistochemistry, Western Blot
Purity
The antiserum was purified by peptide affinity chromatography using SulfoLink Coupling Resin.
Pricing
product-image-AAA327202_IHC11.jpg IHC (Immunohistochemisry) (AAA327202 at 1/100 staining Human brain cancer tissue by IHC-P. The sample was formaldehyde fixed and a heat mediated antigen retrieval step in citrate buffer was performed. The sample was then blocked and incubated with the antibody for 1.5 hours at 22 degree C. An HRP conjugated goat anti-rabbit antibody was used as the secondary.)

TRPM2, Polyclonal Antibody (Cat# AAA327202)

Full Name
TRPM2 Antibody
Gene Names
TRPM2; KNP3; EREG1; TRPC7; LTRPC2; NUDT9H; LTrpC-2; NUDT9L1
Reactivity
Human, Mouse, Rat
Applications
Immunohistochemistry, Western Blot
Purity
The antiserum was purified by peptide affinity chromatography using SulfoLink Coupling Resin.
Pricing
product-image-AAA327205_WB13.jpg WB (Western Blot) (Western blot analysis of DDX3 using HepG2 whole cell lysates)

DDX3, Polyclonal Antibody (Cat# AAA327205)

Full Name
DDX3 Antibody
Gene Names
DDX3X; DBX; DDX3; HLP2; DDX14; CAP-Rf; MRX102
Reactivity
Human, Mouse, Rat
Applications
Immunohistochemistry, Western Blot
Purity
The antiserum was purified by peptide affinity chromatography using SulfoLink Coupling Resin.
Pricing
product-image-AAA327210_IHC13.jpg IHC (Immunohiostchemistry) (AAA327210 at 1/100 staining Human kidney tissue by IHC-P. The sample was formaldehyde fixed and a heat mediated antigen retrieval step in citrate buffer was performed. The sample was then blocked and incubated with the antibody for 1.5 hours at 22 degree C. An HRP conjugated goat anti-rabbit antibody was used as the secondary.)

AGO1, Polyclonal Antibody (Cat# AAA327210)

Full Name
AGO1 Antibody
Gene Names
AGO1; Q99; EIF2C; hAgo1; EIF2C1; GERP95
Reactivity
Human, Mouse, Rat
Applications
Immunohistochemistry, Western Blot
Purity
The antiserum was purified by peptide affinity chromatography using SulfoLink Coupling Resin.
Pricing
product-image-AAA327216_WB13.jpg WB (Western Blot) (Western blot analysis of CD11B using HeLa whole cell lysates)

CD11B, Polyclonal Antibody (Cat# AAA327216)

Full Name
CD11B Antibody
Gene Names
ITGAM; CR3A; MO1A; CD11B; MAC-1; MAC1A; SLEB6
Reactivity
Human, Mouse, Rat
Applications
Immunocytochemistry, Immunofluorescence, Western Blot
Purity
The antiserum was purified by peptide affinity chromatography using SulfoLink Coupling Resin (Thermo Fisher Scientific)
Pricing
product-image-AAA327219_IHC13.jpg IHC (Immunohiostchemistry) (AAA327219 at 1/100 staining Rat brain tissue by IHC-P. The sample was formaldehyde fixed and a heat mediated antigen retrieval step in citrate buffer was performed. The sample was then blocked and incubated with the antibody for 1.5 hours at 22 degree C. An HRP conjugated goat anti-rabbit antibody was used as the secondary.)

PAX6, Polyclonal Antibody (Cat# AAA327219)

Full Name
PAX6 Antibody
Gene Names
PAX6; AN; AN2; FVH1; MGDA; WAGR; ASGD5; D11S812E
Reactivity
Human, Mouse, Rat
Applications
Immunohistochemistry, Western Blot
Purity
The antiserum was purified by peptide affinity chromatography using SulfoLink Coupling Resin.
Pricing
product-image-AAA327222_WB13.jpg WB (Western Blot) (Western blot analysis of AQP2 using COLO205 whole cell lysates)

AQP2, Polyclonal Antibody (Cat# AAA327222)

Full Name
AQP2 Antibody
Gene Names
AQP2; AQP-CD; WCH-CD
Reactivity
Human, Mouse, Rat
Applications
Immunohistochemistry, Western Blot
Purity
The antiserum was purified by peptide affinity chromatography using SulfoLink Coupling Resin.
Pricing
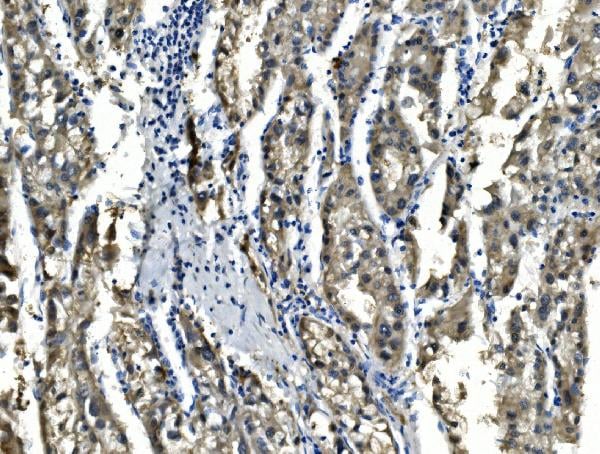
product-image-AAA327226_IHC11.jpg IHC (Immunohistochemisry) (AAA327226 at 1/100 staining Human liver tissue by IHC-P. The sample was formaldehyde fixed and a heat mediated antigen retrieval step in citrate buffer was performed. The sample was then blocked and incubated with the antibody for 1.5 hours at 22 degree C. An HRP conjugated goat anti-rabbit antibody was used as the secondary.)

MSH6, Polyclonal Antibody (Cat# AAA327226)

Full Name
MSH6 Antibody
Gene Names
MSH6; GTBP; HSAP; p160; GTMBP; HNPCC5
Reactivity
Human, Mouse, Rat
Applications
Immunocytochemistry, Immunofluorescence, Immunohistochemistry, Western Blot
Purity
The antiserum was purified by peptide affinity chromatography using SulfoLink Coupling Resin.
Pricing
product-image-AAA327232_IF11.jpg IF (Immunofluorescence) (AAA327232 staining HeLa by IF/ICC. The sample were fixed with PFA and permeabilized in 0.1% Triton X-100, then blocked in 10% serum for 45 minutes at 25 degree C. The primary antibody was diluted at 1/200 and incubated with the sample for 1 hour at 37 degree C. An Alexa Fluor 594 conjugated goat anti-rabbit IgG (H+L) Ab, diluted at 1/600, was used as the secondary antibody.)

PKC epsilon, Polyclonal Antibody (Cat# AAA327232)

Full Name
Phospho-PKC epsilon (Ser729) Antibody
Gene Names
PRKCE; PKCE; nPKC-epsilon
Reactivity
Human, Mouse, Rat
Applications
Immunocytochemistry, Immunofluorescence, Immunohistochemistry, Western Blot
Purity
From purified rabbit serum by affinity purification via sequential chromatography on phospho-and non-phospho-peptide affinity columns.
Pricing
product-image-AAA327240_WB13.jpg WB (Western Blot) (Western blot analysis of ALDH2 using 293 whole cell lysates)

ALDH2, Polyclonal Antibody (Cat# AAA327240)

Full Name
ALDH2 Antibody
Gene Names
ALDH2; ALDM; ALDHI; ALDH-E2
Reactivity
Human, Mouse, Rat
Applications
Immunohistochemistry, Western Blot
Purity
The antiserum was purified by peptide affinity chromatography using SulfoLink Coupling Resin.
Pricing
product-image-AAA327242_IHC13.jpg IHC (Immunohiostchemistry) (AAA327242 at 1/100 staining Human gastric tissue by IHC-P. The sample was formaldehyde fixed and a heat mediated antigen retrieval step in citrate buffer was performed. The sample was then blocked and incubated with the antibody for 1.5 hours at 22 degree C. An HRP conjugated goat anti-rabbit antibody was used as the secondary.)

Calretinin, Polyclonal Antibody (Cat# AAA327242)

Full Name
Calretinin Antibody
Gene Names
CALB2; CR; CAL2; CAB29
Reactivity
Human, Mouse, Rat
Applications
Immunohistochemistry, Western Blot
Purity
The antiserum was purified by peptide affinity chromatography using SulfoLink Coupling Resin.
Pricing
product-image-AAA327251_WB13.jpg WB (Western Blot) (Western blot analysis of Phospho-HER3/ErbB3 (Tyr1289) using HeLa whole cell lysates)

HER3/ErbB3, Polyclonal Antibody (Cat# AAA327251)

Full Name
Phospho-HER3/ErbB3 (Tyr1289) Antibody
Gene Names
ERBB3; HER3; LCCS2; ErbB-3; c-erbB3; erbB3-S; MDA-BF-1; c-erbB-3; p180-ErbB3; p45-sErbB3; p85-sErbB3
Reactivity
Human, Mouse, Rat
Applications
Immunohistochemistry, Western Blot
Purity
From purified rabbit serum by affinity purification via sequential chromatography on phospho-and non-phospho-peptide affinity columns.
Pricing
product-image-AAA327255_WB10.jpg WB (Western Blot) (Western blot analysis of Perilipin A using NIH-3T3 whole lysates.)

Perilipin A, Polyclonal Antibody (Cat# AAA327255)

Full Name
Perilipin A Antibody
Gene Names
PLIN1; PERI; PLIN; FPLD4
Reactivity
Human, Mouse, Rat
Applications
Immunocytochemistry, Immunofluorescence, Immunohistochemistry, Western Blot
Purity
The antiserum was purified by peptide affinity chromatography using SulfoLink Coupling Resin.
Pricing
product-image-AAA326788_WB13.jpg WB (Western Blot) (Western blot analysis of HT29 cell lysate, using CEACAM3 Antibody. The lane on the left is treated with the antigen-specific peptide.)

CEACAM3, Polyclonal Antibody (Cat# AAA326788)

Full Name
CEACAM3 Antibody
Gene Names
CEACAM3; CEA; CGM1; W264; W282; CD66D
Reactivity
Human, Rat
Applications
Immunohistochemistry, Western Blot
Purity
The antiserum was purified by peptide affinity chromatography using SulfoLink Coupling Resin.
Pricing
product-image-AAA326789_WB15.jpg WB (Western Blot) (Western blot analysis of extracts of SW480, usingMUSK antibody. The lane on the left is treated with the antigen-specific peptide.)

MUSK, Polyclonal Antibody (Cat# AAA326789)

Full Name
MUSK Antibody
Gene Names
MUSK; CMS9; FADS
Reactivity
Human, Mouse, Rat
Applications
Immunohistochemistry, Western Blot
Purity
The antiserum was purified by peptide affinity chromatography using SulfoLink™ Coupling Resin (Thermo Fisher Scientific).
Pricing
product-image-AAA326792_WB13.jpg WB (Western Blot) (Western blot analysis of Hela whole cell lysates, using SDHA Antibody. The lane on the left is treated with the antigen-specific peptide.)

SDHA, Polyclonal Antibody (Cat# AAA326792)

Full Name
SDHA Antibody
Gene Names
SDHA; FP; PGL5; SDH1; SDH2; SDHF; CMD1GG
Reactivity
Human, Mouse, Rat
Applications
Immunohistochemistry, Western Blot
Purity
The antiserum was purified by peptide affinity chromatography using SulfoLink Coupling Resin.
Pricing
product-image-AAA326798_WB13.jpg WB (Western Blot) (Western blot analysis of extracts of Mouse thymus tissue lysate, using KRT15antibody. The lane on the left is treated with the antigen-specific peptide.)

KRT15, Polyclonal Antibody (Cat# AAA326798)

Full Name
KRT15 Antibody
Gene Names
KRT15; K15; CK15; K1CO
Reactivity
Human, Mouse, Rat
Applications
Immunocytochemistry, Immunofluorescence, Western Blot
Purity
The antiserum was purified by peptide affinity chromatography using SulfoLink Coupling Resin.
Pricing
product-image-AAA326810_WB13.jpg WB (Western Blot) (Western blot analysis of extracts of mouse livertissue lysate, using EGF antibody. The lane on the left is treated with the antigen-specific peptide.)

EGF, Polyclonal Antibody (Cat# AAA326810)

Full Name
EGF Antibody
Reactivity
Human, Mouse, Rat
Applications
Immunohistochemistry, Western Blot
Purity
The antiserum was purified by peptide affinity chromatography using SulfoLink Coupling Resin.
Pricing
product-image-AAA326811_WB13.jpg WB (Western Blot) (Western blot analysis of extracts of mouse fetalbrain tissue lysate, using FABP7 antibody. The lane on the left is treated with the antigen-specific peptide.)

FABP7, Polyclonal Antibody (Cat# AAA326811)

Full Name
FABP7 Antibody
Gene Names
FABP7; MRG; BLBP; FABPB; B-FABP
Reactivity
Human, Mouse, Rat
Applications
Immunohistochemistry, Western Blot
Purity
The antiserum was purified by peptide affinity chromatography using SulfoLink Coupling Resin.
Pricing
product-image-AAA326812_WB13.jpg WB (Western Blot) (Western blot analysis of extracts of 231, using FOSL2antibody. The lane on the left is treated with the antigen-specific peptide.)

FOSL2, Polyclonal Antibody (Cat# AAA326812)

Full Name
FOSL2 Antibody
Gene Names
FOSL2; FRA2
Reactivity
Human, Mouse, Rat
Applications
Immunocytochemistry, Immunofluorescence, Western Blot
Purity
The antiserum was purified by peptide affinity chromatography using SulfoLink Coupling Resin.
Pricing
product-image-AAA326814_IHC13.jpg IHC (Immunohiostchemistry) (AAA326814 at 1/100 staining Human Melanoma tissue by IHC-P. The sample was formaldehyde fixed and a heat mediated antigen retrieval step in citrate buffer was performed. The sample was then blocked and incubated with the antibody for 1.5 hours at 22 degree C. An HRP conjugated goat anti-rabbit antibody was used as the secondary.)

GDF9, Polyclonal Antibody (Cat# AAA326814)

Full Name
GDF9 Antibody
Gene Names
GDF9; POF14
Reactivity
Human, Mouse, Rat
Applications
Immunohistochemistry, Western Blot
Purity
The antiserum was purified by peptide affinity chromatography using SulfoLink Coupling Resin.
Pricing
product-image-AAA326833_IHC13.jpg IHC (Immunohiostchemistry) (AAA326833 at 1/100 staining Rat brain tissue by IHC-P. The sample was formaldehyde fixed and a heat mediated antigen retrieval step in citrate buffer was performed. The sample was then blocked and incubated with the antibody for 1.5 hours at 22 degree C. An HRP conjugated goat anti-rabbit antibody was used as the secondary.)

CUL4A, Polyclonal Antibody (Cat# AAA326833)

Full Name
CUL4A Antibody
Reactivity
Human, Mouse, Rat
Applications
Immunohistochemistry, Western Blot
Purity
The antiserum was purified by peptide affinity chromatography using SulfoLink Coupling Resin.
Pricing
product-image-AAA326837_IF13.jpg IF (Immunofluorescence) (AAA326837 staining Hela cells by IF/ICC. The sample were fixed with PFA and permeabilized in 0.1% Triton X-100, then blocked in 10% serum for 45 minutes at 25 degree C. The primary antibody was diluted at 1/200 and incubated with the sample for 1 hour at 37 degree C. An Alexa Fluor 594 conjugated goat anti-rabbit IgG (H+L) antibody, diluted at 1/600 was used as secondary antibody.)

CX3CR1, Polyclonal Antibody (Cat# AAA326837)

Full Name
CX3CR1 Antibody
Gene Names
CX3CR1; V28; CCRL1; GPR13; CMKDR1; GPRV28; CMKBRL1
Reactivity
Human, Mouse, Rat
Applications
Immunocytochemistry, Immunofluorescence, Western Blot
Purity
Peptide affinity purification
Pricing
product-image-AAA326841_IHC11.jpg IHC (Immunohistochemisry) (AAA326841 at 1/100 staining Mouse liver tissue by IHC-P. The sample was formaldehyde fixed and a heat mediated antigen retrieval step in citrate buffer was performed. The sample was then blocked and incubated with the antibody for 1.5 hours at 22 degree C. An HRP conjugated goat anti-rabbit antibody was used as the secondary.)

DDB1, Polyclonal Antibody (Cat# AAA326841)

Full Name
DDB1 Antibody
Gene Names
DDB1; XPE; DDBA; XAP1; XPCE; XPE-BF; UV-DDB1
Reactivity
Human, Mouse, Rat
Applications
Immunocytochemistry, Immunofluorescence, Immunohistochemistry, Western Blot
Purity
The antiserum was purified by peptide affinity chromatography using SulfoLink Coupling Resin.
Pricing
product-image-AAA326842_IF11.jpg IF (Immunofluorescence) (AAA326842 staining A549 cells by IF/ICC. The sample were fixed with PFA and permeabilized in 0.1% Triton X-100, then blocked in 10% serum for 45 minutes at 25 degree C. The primary antibody was diluted at 1/200 and incubated with the sample for 1 hour at 37 degree C. An Alexa Fluor 594 conjugated goat anti-rabbit IgG (H+L) antibody, diluted at 1/600, was used as secondary antibody.)

EIF4G2, Polyclonal Antibody (Cat# AAA326842)

Full Name
EIF4G2 Antibody
Gene Names
EIF4G2; P97; AAG1; DAP5; NAT1
Reactivity
Human, Mouse, Rat
Applications
Immunocytochemistry, Immunofluorescence, Immunohistochemistry, Western Blot
Purity
The antiserum was purified by peptide affinity chromatography using SulfoLink Coupling Resin.
Pricing
product-image-AAA326850_WB13.jpg WB (Western Blot) (Western blot analysis of Mouse heart lysate, using CXCR3 Antibody. The lane on the left is treated with the antigen-specific peptide.)

CXCR3, Polyclonal Antibody (Cat# AAA326850)

Full Name
CXCR3 Antibody
Gene Names
CXCR3; GPR9; MigR; CD182; CD183; Mig-R; CKR-L2; CMKAR3; IP10-R
Reactivity
Human, Mouse, Rat
Applications
Immunohistochemistry, Western Blot
Purity
The antiserum was purified by peptide affinity chromatography using SulfoLink Coupling Resin.
Pricing
product-image-AAA326851_IHC13.jpg IHC (Immunohiostchemistry) (AAA326851 at 1/100 staining Human liver cancer tissue by IHC-P. The sample was formaldehyde fixed and a heat mediated antigen retrieval step in citrate buffer was performed. The sample was then blocked and incubated with the antibody for 1.5 hours at 22 degree C. An HRP conjugated goat anti-rabbit antibody was used as the secondary.)

GRPR, Polyclonal Antibody (Cat# AAA326851)

Full Name
GRPR Antibody
Gene Names
GRPR; BB2; BB2R
Reactivity
Human, Mouse, Rat
Applications
Immunohistochemistry, Western Blot
Purity
The antiserum was purified by peptide affinity chromatography using SulfoLink Coupling Resin.
Pricing
product-image-AAA326855_IHC13.jpg IHC (Immunohiostchemistry) (AAA326855 at 1/100 staining Human liver cancer tissue by IHC-P. The sample was formaldehyde fixed and a heat mediated antigen retrieval step in citrate buffer was performed. The sample was then blocked and incubated with the antibody for 1.5 hours at 22 degree C. An HRP conjugated goat anti-rabbit antibody was used as the secondary.)

GLRA1, Polyclonal Antibody (Cat# AAA326855)

Full Name
GLRA1 Antibody
Gene Names
GLRA1; STHE; HKPX1
Reactivity
Human, Mouse, Rat
Applications
Immunohistochemistry, Western Blot
Purity
The antiserum was purified by peptide affinity chromatography using SulfoLink Coupling Resin.
Pricing
product-image-AAA326857_IHC13.jpg IHC (Immunohiostchemistry) (AAA326857 at 1/100 staining Human liver cancer tissue by IHC-P. The sample was formaldehyde fixed and a heat mediated antigen retrieval step in citrate buffer was performed. The sample was then blocked and incubated with the antibody for 1.5 hours at 22 degree C. An HRP conjugated goat anti-rabbit antibody was used as the secondary.)

GRM1, Polyclonal Antibody (Cat# AAA326857)

Full Name
GRM1 Antibody
Gene Names
GRM1; MGLU1; SCA44; GPRC1A; MGLUR1; SCAR13; PPP1R85
Reactivity
Human, Mouse, Rat
Applications
Immunohistochemistry, Western Blot
Purity
The antiserum was purified by peptide affinity chromatography using SulfoLink Coupling Resin.
Pricing
product-image-AAA326858_IHC13.jpg IHC (Immunohiostchemistry) (AAA326858 at 1/100 staining Human liver cancer tissue by IHC-P. The sample was formaldehyde fixed and a heat mediated antigen retrieval step in citrate buffer was performed. The sample was then blocked and incubated with the antibody for 1.5 hours at 22 degree C. An HRP conjugated goat anti-rabbit antibody was used as the secondary.)

GRM8, Polyclonal Antibody (Cat# AAA326858)

Full Name
GRM8 Antibody
Gene Names
GRM8; GLUR8; mGlu8; GPRC1H; MGLUR8
Reactivity
Human, Mouse, Rat
Applications
Immunohistochemistry, Western Blot
Purity
The antiserum was purified by peptide affinity chromatography using SulfoLink Coupling Resin.
Pricing
product-image-AAA326861_IHC11.jpg IHC (Immunohistochemisry) (AAA326861 at 1/100 staining Human liver cancer tissue by IHC-P. The sample was formaldehyde fixed and a heat mediated antigen retrieval step in citrate buffer was performed. The sample was then blocked and incubated with the antibody for 1.5 hours at 22 degree C. An HRP conjugated goat anti-rabbit antibody was used as the secondary.)

HCN1, Polyclonal Antibody (Cat# AAA326861)

Full Name
HCN1 Antibody
Gene Names
HCN1; BCNG1; HAC-2; BCNG-1; EIEE24
Reactivity
Human, Mouse, Rat
Applications
Immunocytochemistry, Immunofluorescence, Immunohistochemistry, Western Blot
Purity
Peptide affinity purification
Pricing
product-image-AAA326865_WB13.jpg WB (Western Blot) (Western blot analysis of extracts of Mouse livertissue lysate, using IGFBP1antibody. The lane on the left is treated with the antigen-specific peptide.)

IGFBP1, Polyclonal Antibody (Cat# AAA326865)

Full Name
IGFBP1 Antibody
Gene Names
IGFBP1; AFBP; IBP1; PP12; IGF-BP25; hIGFBP-1
Reactivity
Human, Mouse, Rat
Applications
Immunohistochemistry, Western Blot
Purity
The antiserum was purified by peptide affinity chromatography using SulfoLink Coupling Resin.
Pricing

What are Polyclonal Antibodies?


Polyclonal antibodies are antibodies that come from multiple B cell clones of a host animal. The typical hosts used for the majority of polyclonal antibody production are rabbits, goats, sheep, and donkeys. These polyclonal antibodies, once having identified their target, will bind to different epitopes located at different regions or sequences on the same protein/antigen. As a result, they are ideal at locating and binding to the target, even if the target is in very low concentrations (due to many different antibodies being able to bind to the same target molecule, which allows for significant amplification of a downstream signal).


Polyclonal antibodies are typically produced by injecting an antigen into a host animal, which causes the animal’s immune system to attack the foreign antigen by mass generating antibodies against it. After a period of time, serum is collected from the animal and purified using physicochemical fractionation, class-specific affinity purification, and/or antigen-affinity purification.


Key Uses of Polyclonal Antibodies


  • Western Blotting: This method is used to find specific proteins in biological samples after separating them by size.

  • Immunohistochemistry: IHC helps visualize the location of proteins in tissue sections using various staining techniques.

  • ELISA: (Enzyme-Linked Immunosorbent Assay) is typically used to identify specific protein quantities in a sample. ELISAs can be either “Quantitative” or “Qualitative”.

  • Flow Cytometry: technique that identifies and measures the specific protein on the surface or inside the cells in a fluid suspension.

  • Immunoprecipitation: IP isolates and studies a specific protein from a complex mixture using antibodies.


Why Buy Polyclonal Antibodies from AAA Biotech?


1. Ideal for Various Applications


Our antibodies are generally going to be validated for use in multiple types of assays, including ELISA, Western Blotting, Immunohistochemistry, Immunoprecipitation, amongst others. They are ideal for a wide range of research applications.


2. Rigorous Quality Control


All of the antibodies in our catalog undergo strict quality testing to ensure specificity, sensitivity, and consistent performance. We are confident in the ability of our antibodies to provide you with accurate results.


3. Wide Assortment of Antibodies


Antibodies in are catalog can be found for both common and exotic species, and these antibodies are also available in both conjugated and recombinant forms to suit many diverse experimental needs.


4. Highly Purified


Our antibodies are available in purified forms with over 85% purity, as confirmed by SDS-PAGE. They are also available with tags such as His, Flag, GST, or MBP. We cater to customers worldwide.


FAQ


1. How are polyclonal antibodies produced?


Traditionally, polyclonal antibodies are produced by injecting an antigen into a host animal (such as a rabbit or goat), which then triggers an immune response from the host animal. The animal’s B cells produce antibodies that will recognize different parts of the injected antigen. These antibodies are then collected from the animal’s blood and purified for use.


2. How do polyclonal antibodies differ from monoclonal antibodies?


Polyclonal antibodies are a mix of antibodies that bind to different locations (epitopes) of the same antigen, while monoclonal antibodies are identical and bind to just one specific epitope. This makes polyclonal antibodies more versatile and better at detecting proteins that may be present in low quantities or in altered/modified forms.


3. How should I store polyclonal antibodies?


Polyclonal antibodies should be stored at 4°C for short-term use (up to a few weeks) and at -20°C or -80°C for long-term storage. Avoid repeated freeze-thaw cycles by dividing them into small aliquots. Always check the datasheet for specific storage instructions.


Submit a Question

Please complete the form below and a representative will contact you as soon as possible.

Request more Information

Please complete the form below and a representative will contact you as soon as possible.

Request a Manual

Please complete the form below and a representative will contact you as soon as possible.

Request a Quote

Please complete the form below and a representative will contact you as soon as possible.