Loading...

Skip to main content
Call us at +1-800-604-9114 for more information about our products or contact us online Need help? +1-800-604-9114 or contact us

Filters


Clonality

Type

Reactivity

Gene Name

Isotype

Host

Application

Clone

Polyclonal Antibodies

At AAA Biotech also known as AAA Bio or AAABio, we provide a broad range of purified polyclonal antibodies (pAbs) that are able to all be browsed online through our website. Due to their high specificity and strong binding affinity, these antibodies are ideal for wide swathes of research and experimental applications.


Our polyclonal antibodies can easily support your work, whether you use them for Western Blotting, Immunocytochemistry (with or without Immunofluorescence used in conjunction), Immunohistochemistry, Immunoprecipitation, and ELISA tests. We highly encourage you to browse our range of pAbs and choose the one that best suits your experimental model.


Viewing 6250-6300 of 10000 product results


product-image-AAA177330_IF13.jpg IF (Immunofluorescence) (Immunofluorescence analysis of U2OS cells using RARB Polyclonal Antibody at dilution of 1:100. Blue: DAPI for nuclear staining.)

RARB, Polyclonal Antibody (Cat# AAA177330)

Full Name
RARB Polyclonal Antibody
Gene Names
RARB; HAP; RRB2; NR1B2
Reactivity
Human, Rat
Applications
Immunofluorescence, Immunohistochemistry
Purity
Affinity purification
Pricing
product-image-AAA201309_WB13.jpg WB (Western Blot) (Host: RabbitTarget Name: GSPT1Sample Tissue: Human HepG2 Whole CellAntibody Dilution: 1ug/ml)

GSPT1, Polyclonal Antibody (Cat# AAA201309)

Full Name
GSPT1 Antibody - N-terminal region
Gene Names
GSPT1; GST1; ETF3A; eRF3a; 551G9.2
Reactivity
Tested Species Reactivity: Human
Predicted Species Reactivity: Human, Rat, Cow, Dog, Pig, Rabbit
Applications
Western Blot
Purity
Affinity Purified
Pricing
product-image-AAA171686_IF11.jpg IF (Immunofluorescence) (Immunofluorescence analysis of Mouse spleen tissue using PI 3-kinase p85? Polyclonal Antibody at dilution of 1:200.)

PI 3-kinase p85alpha, Polyclonal Antibody (Cat# AAA171686)

Full Name
PI 3-kinase p85alpha Polyclonal Antibody
Reactivity
Human, Mouse, Rat
Applications
Immunohistochemistry, Western Blot
Purity
Antigen Affinity Purified
Pricing
product-image-AAA171880_IHC13.jpg IHC (Immunohiostchemistry) (Immunohistochemistry of paraffin-embedded Human lung tissue using Integrin ?D Polyclonal Antibody at dilution of 1:100.)

Integrin alphaD, Polyclonal Antibody (Cat# AAA171880)

Full Name
Integrin alphaD Polyclonal Antibody
Reactivity
Human
Applications
Western Blot
Purity
Antigen Affinity Purified
Pricing
product-image-AAA175709_IHC13.png IHC (Immunohiostchemistry) (Immunohistochemistry of paraffin-embedded Human esophagus cancer tissue using ADORA2B Polyclonal Antibody at dilution of 1:30(×200))

ADORA2B, Polyclonal Antibody (Cat# AAA175709)

Full Name
ADORA2B Polyclonal Antibody
Gene Names
ADORA2B; ADORA2
Reactivity
Human
Applications
Immunohistochemistry
Purity
Antigen Affinity Purification
Pricing
product-image-AAA174372_IHC11.jpg IHC (Immunohistochemisry) (Immunohistochemistry analysis of paraffin-embedded rat brain using GAP43 Polyclonal Antibody at dilution of 1:300.)

GAP43, Polyclonal Antibody (Cat# AAA174372)

Full Name
GAP43 Polyclonal Antibody
Gene Names
GAP43; B-50; PP46
Reactivity
Human, Mouse, Rat
Applications
Immunohistochemistry, Western Blot
Purity
Affinity Purification
Pricing
product-image-AAA175045_IHC11.png IHC (Immunohistochemisry) (Immunohistochemistry of paraffin-embedded Human colorectal cancer tissue using BAG3 Polyclonal Antibody at dilution of 1:35(×200))

BAG3, Polyclonal Antibody (Cat# AAA175045)

Full Name
BAG3 Polyclonal Antibody
Gene Names
BAG3; BIS; MFM6; BAG-3; CAIR-1
Reactivity
Human, Mouse
Applications
Immunohistochemistry, Western Blot
Purity
Antigen Affinity Purification
Pricing
product-image-AAA175608_IHC11.png IHC (Immunohistochemisry) (Immunohistochemistry of paraffin-embedded Human liver cancer tissue using TMED10 Polyclonal Antibody at dilution of 1:65(×200))

TMED10, Polyclonal Antibody (Cat# AAA175608)

Full Name
TMED10 Polyclonal Antibody
Gene Names
TMED10; p23; TMP21; p24d1; S31I125; Tmp-21-I; S31III125; P24(DELTA)
Reactivity
Human, Mouse, Rat
Applications
Immunohistochemistry, Western Blot
Purity
Antigen Affinity Purification
Pricing
product-image-AAA179592_WB13.jpg WB (Western Blot) (Western blot analysis of extracts from wild type(WT) and HER2/ErbB2 knockout (KO) HeLa cells using HER2/ErbB2 Polyclonal Antibody at 1:500 dilution.)

HER2/ErbB2, Polyclonal Antibody (Cat# AAA179592)

Full Name
(KO Validated) HER2/ErbB2 Polyclonal Antibody
Gene Names
ERBB2; NEU; NGL; HER2; TKR1; CD340; HER-2; MLN 19; HER-2/neu
Reactivity
Human
Applications
Western Blot
Purity
Affinity purification
Pricing
product-image-AAA179286_IHC11.jpg IHC (Immunohistochemisry) (Immunohistochemistry of paraffin-embedded rat brain using SHANK3 Polyclonal Antibody at dilution of 1:100 (40x lens).Perform high pressure antigen retrieval with 10 mM citrate buffer pH 6.0 before commencing with IHC staining protocol.)

SHANK3, Polyclonal Antibody (Cat# AAA179286)

Full Name
SHANK3 Polyclonal Antibody
Gene Names
SHANK3; PSAP2; SCZD15; PROSAP2; SPANK-2; DEL22q13.3
Reactivity
Human, Mouse, Rat
Applications
Immunohistochemistry, Western Blot
Purity
Affinity purification
Pricing
product-image-AAA179084_IF10.jpg IF (Immunofluorescence) (Immunofluorescence analysis of U2OS cells using BRPF1 Polyclonal Antibody at dilution of 1:100. Blue: DAPI for nuclear staining.)

BRPF1, Polyclonal Antibody (Cat# AAA179084)

Full Name
BRPF1 Polyclonal Antibody
Gene Names
BRPF1; BR140
Reactivity
Human, Mouse, Rat
Applications
Immunofluorescence, Western Blot
Purity
Affinity purification
Pricing
product-image-AAA50805_WB11.jpg WB (Western Blot) (Western blot of VISA in rat brain tissue lysate with VISA antibody at (A) 0.5, (B) 1 and (C) 2 ug/ml.)

VISA / MAVS, Polyclonal Antibody (Cat# AAA50805)

Full Name
Rabbit Polyclonal to Human VISA / MAVS
Gene Names
MAVS; IPS1; VISA; IPS-1; CARDIF
Reactivity
Human, Mouse, Rat
Applications
Western Blot, Immunohistochemistry
Purity
Immunoaffinity Purified
Pricing
product-image-AAA60853_WB13.jpg WB (Western Blot) (Staining (0.5ug/ml) of Daudi (A), Jurkat (B) and K562 (C) lysates (35ug protein in RIPA buffer). Primary incubation was 1 hour. Detected by chemiluminescence.)

LIVIN/BIRC7, Polyclonal Antibody (Cat# AAA60853)

Full Name
Goat anti-LIVIN/BIRC7 Antibody
Gene Names
BIRC7; KIAP; LIVIN; MLIAP; RNF50; ML-IAP
Reactivity
Tested: Human; Expected from sequence similarity: Human
Applications
Western Blot, Peptide ELISA
Purity
Purified from goat serum by ammonium sulphate precipitation followed by antigen affinity chromatography using the immunizing peptide.
Pricing
product-image-AAA126416_FCM11.png FCM/FACS (Flow Cytometry) (Figure 3. Flow Cytometry analysis of THP-1 cells using anti-Azurocidin/AZU1 antibody (AAA126416).Overlay histogram showing THP-1 cells stained with AAA126416 (Blue line). The cells were blocked with 10% normal goat serum. And then incubated with rabbit anti-Azurocidin/AZU1 Antibody (AAA126416, 1 ug/1x10^6 cells) for 30 min at 20 degree C. DyLight488 conjugated goat anti-rabbit IgG was used as secondary antibody for 30 minutes at 20 degree C. Isotype control antibody (Green line) was rabbit IgG (1 ug/1x10^6) used under the same conditions. Unlabelled sample (Red line) was also used as a control.)

Azurocidin/AZU1, Polyclonal Antibody (Cat# AAA126416)

Full Name
Anti-Azurocidin/AZU1 Antibody Picoband
Gene Names
AZU1; AZU; HBP; NAZC; AZAMP; CAP37; HUMAZUR
Reactivity
Human, Mouse, Rat
Applications
Flow Cytometry, Immunohistochemistry, Western Blot
Purity
Immunogen affinity purified.
Pricing
product-image-AAA126522_FCM10.png FCM/FACS (Flow Cytometry) (Figure 4. Flow Cytometry analysis of HL-60 cells using anti-TOX antibody (AAA126522).Overlay histogram showing HL-60 cells stained with AAA126522 (Blue line). The cells were blocked with 10% normal goat serum. And then incubated with rabbit anti-TOX Antibody (AAA126522, 1 ug/1x10^6 cells) for 30 min at 20 degree C. DyLight488 conjugated goat anti-rabbit IgG was used as secondary antibody for 30 minutes at 20 degree C. Isotype control antibody (Green line) was rabbit IgG (1 ug/1x10^6) used under the same conditions. Unlabelled sample (Red line) was also used as a control.)

TOX, Polyclonal Antibody (Cat# AAA126522)

Full Name
Anti-TOX Antibody Picoband
Gene Names
TOX; TOX1
Reactivity
Human, Mouse
Applications
Flow Cytometry, Immunohistochemistry, Western Blot
Purity
Immunogen affinity purified.
Pricing
product-image-AAA126233_FACS8.jpg FCM/FACS (Flow Cytometry) (Figure 5. Flow Cytometry analysis of SiHa cells using anti-FADS1 antibody (AAA126233).Overlay histogram showing SiHa cells stained with AAA126233 (Blue line). The cells were blocked with 10% normal goat serum. And then incubated with rabbit anti-FADS1 Antibody (AAA126233, 1 ug/1x10^6 cells) for 30 min at 20 degree C. DyLight488 conjugated goat anti-rabbit IgG was used as secondary antibody for 30 minutes at 20 degree C. Isotype control antibody (Green line) was rabbit IgG (1 ug/1x10^6) used under the same conditions. Unlabelled sample (Red line) was also used as a control.)

FADS1, Polyclonal Antibody (Cat# AAA126233)

Full Name
Anti-FADS1 Antibody Picoband
Gene Names
FADS1; D5D; TU12; FADS6; FADSD5; LLCDL1
Reactivity
Human
Applications
Flow Cytometry, Immunohistochemistry, Western Blot
Purity
Immunogen affinity purified.
Pricing
product-image-AAA127692_FCM11.png FCM/FACS (Flow Cytometry) (Figure 3. Flow Cytometry analysis of MCF-7 cells using anti-PI4K2B antibody (AAA127692).Overlay histogram showing MCF-7 cells stained with AAA127692 (Blue line). To facilitate intracellular staining, cells were fixed with 4% paraformaldehyde and permeabilized with permeabilization buffer. The cells were blocked with 10% normal goat serum. And then incubated with rabbit anti-PI4K2B Antibody (AAA127692, 1ug/1x106 cells) for 30 min at 20 degree C. DyLight488 conjugated goat anti-rabbit IgG was used as secondary antibody for 30 minutes at 20 degree C. Isotype control antibody (Green line) was rabbit IgG (1ug/1x106) used under the same conditions. Unlabelled sample (Red line) was also used as a control.)

PI4K2B, Polyclonal Antibody (Cat# AAA127692)

Full Name
Anti-PI4K2B Antibody Picoband
Gene Names
PI4K2B; PIK42B; PI4KIIB
Reactivity
Human, Rat
Applications
Flow Cytometry, Immunofluorescence, Immunocytochemistry, Western Blot
Purity
Immunogen affinity purified.
Pricing
product-image-AAA127503_FCM13.jpg FCM/FACS (Flow Cytometry) (Figure 2. Flow Cytometry analysis of Raji cells using anti-Nir2/PITPNM1 antibody (AAA127503).Overlay histogram showing Raji cells stained with AAA127503 (Blue line). To facilitate intracellular staining, cells were fixed with 4% paraformaldehyde and permeabilized with permeabilization buffer. The cells were blocked with 10% normal goat serum. And then incubated with rabbit anti-Nir2/PITPNM1 Antibody (AAA127503, 1ug/1x106 cells) for 30 min at 20 degree C. DyLight488 conjugated goat anti-rabbit IgG was used as secondary antibody for 30 minutes at 20 degree C. Isotype control antibody (Green line) was rabbit IgG (1ug/1x106) used under the same conditions. Unlabelled sample without incubation with primary antibody and secondary antibody (Red line) was used as a blank control.)

Nir2/PITPNM1, Polyclonal Antibody (Cat# AAA127503)

Full Name
Anti-Nir2/PITPNM1 Antibody Picoband
Reactivity
Human, Mouse, Rat
Applications
Flow Cytometry, Western Blot
Purity
Immunogen affinity purified.
Pricing
product-image-AAA127533_FCM13.png FCM/FACS (Flow Cytometry) (Figure 2. Flow Cytometry analysis of RT4 cells using anti-PTGR1 antibody (AAA127533).Overlay histogram showing RT4 cells stained with AAA127533 (Blue line). To facilitate intracellular staining, cells were fixed with 4% paraformaldehyde and permeabilized with permeabilization buffer. The cells were blocked with 10% normal goat serum. And then incubated with rabbit anti-PTGR1 Antibody (AAA127533, 1ug/1x106 cells) for 30 min at 20 degree C. DyLight488 conjugated goat anti-rabbit IgG was used as secondary antibody for 30 minutes at 20 degree C. Isotype control antibody (Green line) was rabbit IgG (1ug/1x106) used under the same conditions. Unlabelled sample (Red line) was also used as a control.)

PTGR1, Polyclonal Antibody (Cat# AAA127533)

Full Name
Anti-PTGR1 Antibody Picoband
Gene Names
PTGR1; PGR1; ZADH3; LTB4DH
Reactivity
Human
Applications
Flow Cytometry, Western Blot
Purity
Immunogen affinity purified.
Pricing
product-image-AAA125520_FCM10.png FCM/FACS (Flow Cytometry) (Figure 4. Flow Cytometry analysis of h. PBMC cells using anti-CCR2 antibody (AAA125520).Overlay histogram showing h. PBMC cells stained with AAA125520 (Blue line). The cells were blocked with 10% normal goat serum. And then incubated with rabbit anti-CCR2 Antibody (AAA125520, 1μg/1x106 cells) for 30 min at 20 degree C. DyLight®488 conjugated goat anti-rabbit IgG (5-10μg/1x106 cells) was used as secondary antibody for 30 minutes at 20 degree C. Isotype control antibody (Green line) was rabbit IgG (1μg/1x106) used under the same conditions. Unlabelled sample (Red line) was also used as a control.)

CCR2, Polyclonal Antibody (Cat# AAA125520)

Full Name
Anti-CCR2 Antibody
Gene Names
CCR2; CKR2; CCR-2; CCR2A; CCR2B; CD192; CKR2A; CKR2B; CMKBR2; MCP-1-R; CC-CKR-2
Reactivity
Human
Applications
Direct ELISA, Flow Cytometry, Immunohistochemistry, Western Blot
Purity
Immunogen affinity purified.
Pricing
product-image-AAA125656_FCM13.png FCM/FACS (Flow Cytometry) (Figure 2. Flow Cytometry analysis of U87 cells using anti-Epac1/RAPGEF3 antibody (AAA125656).Overlay histogram showing U87 cells stained with AAA125656 (Blue line). The cells were blocked with 10% normal goat serum. And then incubated with rabbit anti-Epac1/RAPGEF3 Antibody (AAA125656, 1μg/1x106 cells) for 30 min at 20 degree C. DyLight®488 conjugated goat anti-rabbit IgG (5-10μg/1x106 cells) was used as secondary antibody for 30 minutes at 20 degree C. Isotype control antibody (Green line) was rabbit IgG (1μg/1x106) used under the same conditions. Unlabelled sample (Red line) was also used as a control.)

Epac1/RAPGEF3, Polyclonal Antibody (Cat# AAA125656)

Full Name
Anti-Epac1/RAPGEF3 Antibody
Gene Names
RAPGEF3; EPAC; EPAC1; bcm910; HSU79275; CAMP-GEFI
Reactivity
Human, Mouse, Rat, Monkey
Applications
Direct ELISA, Flow Cytometry, Western Blot
Purity
Immunogen affinity purified.
Pricing
product-image-AAA60913_WB13.jpg WB (Western Blot) ((1ug/ml) staining of Mouse Brain lysate (35ug protein in RIPA buffer). Primary incubation was 1 hour. Detected by chemiluminescence.)

OX1R and OX2R, Polyclonal Antibody (Cat# AAA60913)

Full Name
Goat anti-OX1R and OX2R Antibody
Gene Names
HCRTR1; OX1R
Reactivity
Tested: Human, Mouse, Rat; Expected from sequence similarity: Human, Mouse, Rat, Dog, Pig, Cow
Applications
Western Blot, Peptide ELISA
Purity
Purified from goat serum by ammonium sulphate precipitation followed by antigen affinity chromatography using the immunizing peptide.
Pricing
product-image-AAA51252_WB8.jpg WB (Western Blot) (Western blot of anti-ACE2 (SARS Receptor) Antibody (Center) in HL60 cell line lysates (35 ug/lane). ACE2 (arrow) was detected using the purified Pab.)

ACE2 / ACE-2, Polyclonal Antibody (Cat# AAA51252)

Full Name
Rabbit Polyclonal to Human ACE2 / ACE-2
Gene Names
ACE2; ACEH
Reactivity
Human
Applications
Flow Cytometry, Western Blot, Immunohistochemistry
Purity
Ammonium sulfate precipitation
Pricing
product-image-AAA59837_DB11.jpg DB (Dot Blot) (Histone H3K27ac antibody (pAb) tested by dot blot analysis. Dot blot analysis was used to confirm the specificity of Histone H3K27ac antibody (pAb) for acetyl Lys27 histone H3. Acetylated peptides corresponding to the immunogen and related peptides were spotted onto PVDF and probed with the antibody at a dilution of 1:1,000. The amount of peptide (picomoles) spotted is indicated next to each row. Lane 1: H3K37ac. Lane 2: H3K36ac. Lane 3: H3K9ac. Lane 4: H3K14ac. Lane 5: H3K18ac. Lane 6: H3K23ac. Lane 7: unmod H3K27. Lane 8: H3K27ac. Lane 9: H4K5ac. Lane 10: H4K8ac. Lane 11: H4K12ac. Lane 12: H4K16ac.)

Histone H3K27ac, Polyclonal Antibody (Cat# AAA59837)

Full Name
Histone H3K27ac antibody (pAb)
Reactivity
Budding Yeast, Human, Wide Range Predicted
Applications
Western Blot, Dot Blot, Chromatin immunoprecipitation, Chromatin immunoprecipitation
Pricing
product-image-AAA39869_IF13.jpg IF (Immunofluorescence) (Immunofluorescence of IL-31 in Human Skeletal Muscle cells with IL-31 antibody at 20 μg/mL.)

IL-31, Polyclonal Antibody (Cat# AAA39869)

Full Name
IL-31 Antibody
Gene Names
Il31; 1700013B14Rik
Reactivity
Human
Applications
Immunofluorescence, Western Blot
Purity
IL-31 Antibody is affinity chromatography purified via peptide column.
Pricing
product-image-AAA39905_IF11.jpg IF (Immunofluorescence) (Immunofluorescence of LIMP2 in Human Skeletal Muscle tissue with LIMP2 antibody at 20 μg/mL.)

LIMP2, Polyclonal Antibody (Cat# AAA39905)

Full Name
LIMP2 Antibody
Gene Names
SCARB2; AMRF; EPM4; LGP85; CD36L2; HLGP85; LIMP-2; LIMPII; SR-BII
Reactivity
Human, Mouse, Rat
Applications
Immunofluorescence, Immunohistochemistry, Western Blot
Purity
LIMP2 Antibody is affinity chromatography purified via peptide column.
Pricing
product-image-AAA39296_IF11.jpg IF (Immunofluorescence) (Immunofluorescence of NUMB in human lung tissue with NUMB antibody at 20 μg/mL.)

NUMB, Polyclonal Antibody (Cat# AAA39296)

Full Name
NUMB Antibody
Gene Names
NUMB; S171; C14orf41; c14_5527
Reactivity
Human, Mouse, Rat
Applications
Immunofluorescence, Immunohistochemistry, Western Blot
Purity
NUMB Antibody is affinity chromatography purified via peptide column.
Pricing
product-image-AAA36763_IHC11.jpg IHC (Immunohistochemisry) (Immunohistochemistry of paraffin-embedded human stomach using ROCK1 antibody at dilution of 1:100 (40x lens).)

ROCK1, Polyclonal Antibody (Cat# AAA36763)

Full Name
ROCK1
Gene Names
ROCK1; ROCK-I; P160ROCK
Reactivity
Human, Mouse, Rat
Applications
Immunoprecipitation, Immunocytochemistry, Immunohistochemistry, Western Blot
Pricing
product-image-AAA36900_IHC11.jpg IHC (Immunohistochemisry) (Immunohistochemistry of paraffin-embedded mouse brain using IL1A antibody at dilution of 1:100 (40x lens).)

IL1A, Polyclonal Antibody (Cat# AAA36900)

Full Name
IL1A Polyclonal Antibody
Gene Names
IL1A; IL1; IL-1A; IL1F1; IL1-ALPHA
Reactivity
Human, Mouse
Applications
Western Blot
Purity
Affinity purification
Pricing
product-image-AAA36915_IF11.jpg IF (Immunofluorescence) (Immunofluorescence analysis of HeLa cells using WT1 antibody. Blue: DAPI for nuclear staining.)

WT1, Polyclonal Antibody (Cat# AAA36915)

Full Name
WT1 Polyclonal Antibody
Gene Names
WT1; GUD; AWT1; WAGR; WT33; NPHS4; WIT-2; EWS-WT1
Reactivity
Human, Mouse
Applications
Immunofluorescence, Immunohistochemistry, Western Blot
Purity
Affinity Purification
Pricing
product-image-AAA36942_IP11.jpg IP (Immunoprecipitation) (Immunoprecipitation analysis of 200ug extracts of HepG2 cells using 1ug POLR2D antibody. Western blot was performed from the immunoprecipitate using POLR2D antibody at a dilition of 1:1000.)

POLR2D, Polyclonal Antibody (Cat# AAA36942)

Full Name
POLR2D Polyclonal Antibody
Gene Names
POLR2D; RBP4; RPB16; HSRBP4; HSRPB4
Reactivity
Human, Mouse
Applications
Immunofluorescence, Immunohistochemistry, Western Blot
Purity
Affinity Purification
Pricing
product-image-AAA36645_IHC13.jpg IHC (Immunohiostchemistry) (Immunohistochemistry of paraffin-embedded human breast cancer using ESR1 antibody at dilution of 1:100 (40x lens).)

ESR1, Polyclonal Antibody (Cat# AAA36645)

Full Name
ESR1 Polyclonal Antibody
Gene Names
ESR1; ER; ESR; Era; ESRA; ESTRR; NR3A1
Reactivity
Human, Mouse
Applications
Western Blot
Purity
Affinity Purification
Pricing
product-image-AAA37294_IHC11.jpg IHC (Immunohistochemisry) (Immunohistochemistry of paraffin-embedded human gastric cancer using PTGIR antibody at dilution of 1:200 (40x lens).)

PTGIR, Polyclonal Antibody (Cat# AAA37294)

Full Name
PTGIR Polyclonal Antibody
Gene Names
PTGIR; IP; PRIPR
Reactivity
Human, Mouse, Rat
Applications
Immunohistochemistry, Western Blot
Purity
Affinity Purification
Pricing
product-image-AAA37184_IHC11.jpg IHC (Immunohistochemisry) (Immunohistochemistry of paraffin-embedded rat heart using DBH antibody at dilution of 1:100 (40x lens).)

DBH, Polyclonal Antibody (Cat# AAA37184)

Full Name
DBH Polyclonal Antibody
Gene Names
DBH; DBM
Reactivity
Human, Mouse, Rat
Applications
Western Blot
Purity
Affinity Purification
Pricing
product-image-AAA40244_IF11.jpg IF (Immunofluorescence) (Immunofluorescence of B9D1 in 293 cells with B9D1 antibody at 20 μg/mL.)

B9D1, Polyclonal Antibody (Cat# AAA40244)

Full Name
B9D1 Antibody
Gene Names
B9D1; B9; MKS9; EPPB9; MKSR1
Reactivity
Human
Applications
Immunofluorescence, Immunocytochemistry, Western Blot
Purity
B9D1 Antibody is affinity chromatography purified via peptide column.
Pricing

Tissue Factor, Polyclonal Antibody (Cat# AAA37683)

Full Name
Sheep anti-Human Tissue Factor
Gene Names
F3; TF; TFA; CD142
Reactivity
Human
Applications
Western Blot
Purity
IgG fraction
Pricing

Biotin Labeled Anti mouse factor IX, Polyclonal Antibody (Cat# AAA37703)

Full Name
Biotin Labeled Anti mouse factor IX
Gene Names
F9; Cf9; Cf-9; AW111646
Reactivity
Mouse
Applications
Western Blot
Purity
IgG fraction
Pricing
product-image-AAA37466_IHC11.jpg IHC (Immunohistochemisry) (Immunohistochemistry of paraffin-embedded mouse brain using CRYM antibody at dilution of 1:100 (40x lens).)

CRYM, Polyclonal Antibody (Cat# AAA37466)

Full Name
CRYM Polyclonal Antibody
Gene Names
CRYM; THBP; DFNA40
Reactivity
Human, Mouse, Rat
Applications
Immunohistochemistry, Western Blot
Purity
Affinity Purification
Pricing

Catalase, Human Erythrocyte, Rabbit IgG Fraction, Polyclonal Antibody (Cat# AAA37721)

Full Name
Anti-Catalase, Human Erythrocyte, Rabbit IgG Fraction
Reactivity
Human
Applications
Western Blot
Purity
IgG fraction
Pricing
product-image-AAA37545_IF13.jpg IF (Immunofluorescence) (Immunofluorescence analysis of U2OS cells using PSMC4 antibody. Blue: DAPI for nuclear staining.)

PSMC4, Polyclonal Antibody (Cat# AAA37545)

Full Name
PSMC4 Polyclonal Antibody
Gene Names
PSMC4; S6; RPT3; TBP7; TBP-7; MIP224
Reactivity
Human, Mouse
Applications
Immunofluorescence, Immunohistochemistry, Western Blot
Purity
Affinity Purification
Pricing
product-image-AAA104576_IF11.jpg IF (Immunofluorescence) (Immunofluorescent analysis of MMP3 staining in A431 cells. Formalin-fixed cells were permeabilized with 0.1% Triton X-100 in TBS for 5-10 minutes and blocked with 3% BSA-PBS for 30 minutes at room temperature. Cells were probed with the primary antibody in 3% BSA-PBS and incubated overnight at 4 °C in a humidified chamber. Cells were washed with PBST and incubated with a DyLight 594-conjugated secondary antibody (red) in PBS at room temperature in the dark. DAPI was used to stain the cell nuclei (blue).)

MMP3, Polyclonal Antibody (Cat# AAA104576)

Full Name
Anti-MMP3 Antibody
Gene Names
MMP3; SL-1; STMY; STR1; CHDS6; MMP-3; STMY1
Reactivity
Human, Mouse, Rat, Monkey
Applications
Immunocytochemistry, Immunofluorescence, Immunohistochemistry, Western Blot
Purity
The antibody was purified by immunogen affinity chromatography.
Pricing
product-image-AAA46579_ICC8.jpg ICC (Immunocytochemistry) (Anti- PARK7 Picoband antibody, AAA46579,ICCICC: A549 Cell)

PARK7/DJ1, Polyclonal Antibody (Cat# AAA46579)

Full Name
Anti-PARK7/DJ1 Antibody
Gene Names
PARK7; DJ1; DJ-1; HEL-S-67p
Reactivity
Human, Mouse, Rat
Applications
Immunocytochemistry, Immunohistochemistry, Western Blot
Purity
Immunogen Affinity Purified
Pricing
product-image-AAA46463_IHC10.jpg IHC (Immunohistochemistry) (Anti- HSD11B2 antibody, IHC(P)IHC(P): Human Placenta Tissue)

HSD11B2, Polyclonal Antibody (Cat# AAA46463)

Full Name
Anti-HSD11B2 Antibody
Gene Names
HSD11B2; AME; AME1; HSD2; HSD11K; SDR9C3
Reactivity
Human, Mouse, Rat
Applications
Immunohistochemistry, Western Blot
Purity
Immunogen Affinity Purified
Pricing
product-image-AAA45408_IHC11.jpg IHC (Immunohistochemisry) (Anti-ADAM19 antibody, AAA45408, IHC(P)IHC(P): Human Lung Cancer Tissue)

ADAM19, Polyclonal Antibody (Cat# AAA45408)

Full Name
Anti-ADAM19 antibody
Gene Names
ADAM19; MLTNB; FKSG34; MADDAM
Reactivity
Human
Applications
Western Blot
Purity
Immunogen affinity purified.
Pricing
product-image-AAA45422_IHC8.jpg IHC (Immunohistochemistry) (Anti-B MyB antibody, AAA45422, IHC(P)IHC(P): Human Tonsil Tissue)

B MyB, Polyclonal Antibody (Cat# AAA45422)

Full Name
Anti-B MyB antibody
Gene Names
MYBL2; BMYB; B-MYB
Reactivity
Human, Mouse, Rat
Applications
Immunocytochemistry, Immunohistochemistry, Western Blot
Purity
Immunogen affinity purified.
Pricing
product-image-AAA46292_ICC8.jpg ICC (Immunocytochemistry) (Anti- Peroxiredoxin 5 Picoband antibody, AAA46292, ICCICC: SMMC Cell)

Peroxiredoxin 5, Polyclonal Antibody (Cat# AAA46292)

Full Name
Anti-Peroxiredoxin 5 Antibody
Gene Names
PRDX5; PLP; ACR1; B166; PRXV; PMP20; PRDX6; prx-V; SBBI10; AOEB166; HEL-S-55
Reactivity
Human, Mouse, Rat
Applications
Immunocytochemistry, Immunohistochemistry, Western Blot
Purity
Immunogen Affinity Purified
Pricing
product-image-AAA107615_WB13.jpg WB (Western Blot) (Western blot analysis of A:Non-transfected lysate; B:HLA-DMB transfected lysate using a 12 % SDS PAGE gel and HLA DMB antibody at a dilution of 1:500)

HLA DMB, Polyclonal Antibody (Cat# AAA107615)

Full Name
HLA DMB antibody
Applications
Western Blot, Immunohistochemistry
Purity
HLA DMB antibody was purified by antigen-affinity chromatography
Pricing

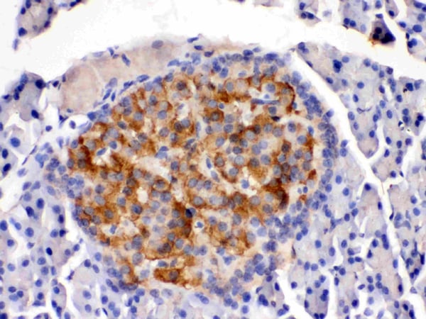
phosphoglucomutase 2, Polyclonal Antibody (Cat# AAA81378)

Full Name
Rabbit anti-human phosphoglucomutase 2 polyclonal Antibody
Reactivity
Human, Mouse, Rat
Applications
Immunohistochemistry, Western Blot
Purity
Antigen Affinity Purified
Pricing

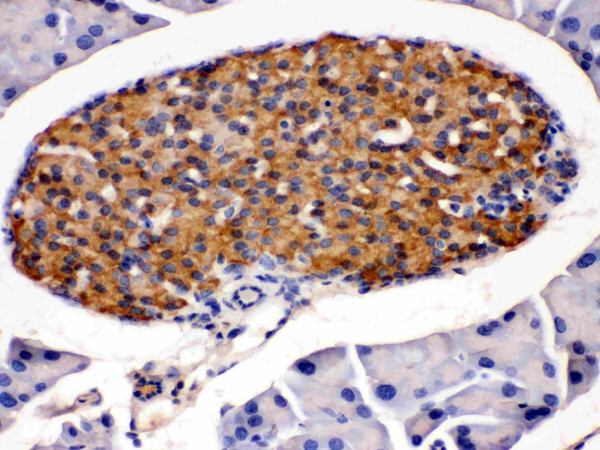
corticotropin releasing hormone, Polyclonal Antibody (Cat# AAA81146)

Full Name
Rabbit anti-human corticotropin releasing hormone polyclonal Antibody
Gene Names
CRH; CRF
Reactivity
Human, Mouse, Rat
Applications
Immunohistochemistry, Western Blot
Purity
Antigen Affinity Purified
Pricing
product-image-AAA284981_FCM11.jpg FCM/FACS (Flow Cytometry) (MASTL Antibody flow cytometric analysis of HepG2 cells (bottom histogram) compared to a negative control cell (top histogram).FITC-conjugated goat-anti-rabbit secondary antibodies were used for the analysis.)

MASTL, Polyclonal Antibody (Cat# AAA284981)

Full Name
MASTL Antibody
Gene Names
MASTL; GW; GWL; THC2; hGWL; MAST-L; GREATWALL
Reactivity
Human
Applications
Flow Cytometry, Immunohistochemistry, Western Blot
Purity
Peptide Affinity Purified Rabbit Polyclonal Antibody (Pab)
Pricing

What are Polyclonal Antibodies?


Polyclonal antibodies are antibodies that come from multiple B cell clones of a host animal. The typical hosts used for the majority of polyclonal antibody production are rabbits, goats, sheep, and donkeys. These polyclonal antibodies, once having identified their target, will bind to different epitopes located at different regions or sequences on the same protein/antigen. As a result, they are ideal at locating and binding to the target, even if the target is in very low concentrations (due to many different antibodies being able to bind to the same target molecule, which allows for significant amplification of a downstream signal).


Polyclonal antibodies are typically produced by injecting an antigen into a host animal, which causes the animal’s immune system to attack the foreign antigen by mass generating antibodies against it. After a period of time, serum is collected from the animal and purified using physicochemical fractionation, class-specific affinity purification, and/or antigen-affinity purification.


Key Uses of Polyclonal Antibodies


  • Western Blotting: This method is used to find specific proteins in biological samples after separating them by size.

  • Immunohistochemistry: IHC helps visualize the location of proteins in tissue sections using various staining techniques.

  • ELISA: (Enzyme-Linked Immunosorbent Assay) is typically used to identify specific protein quantities in a sample. ELISAs can be either “Quantitative” or “Qualitative”.

  • Flow Cytometry: technique that identifies and measures the specific protein on the surface or inside the cells in a fluid suspension.

  • Immunoprecipitation: IP isolates and studies a specific protein from a complex mixture using antibodies.


Why Buy Polyclonal Antibodies from AAA Biotech?


1. Ideal for Various Applications


Our antibodies are generally going to be validated for use in multiple types of assays, including ELISA, Western Blotting, Immunohistochemistry, Immunoprecipitation, amongst others. They are ideal for a wide range of research applications.


2. Rigorous Quality Control


All of the antibodies in our catalog undergo strict quality testing to ensure specificity, sensitivity, and consistent performance. We are confident in the ability of our antibodies to provide you with accurate results.


3. Wide Assortment of Antibodies


Antibodies in are catalog can be found for both common and exotic species, and these antibodies are also available in both conjugated and recombinant forms to suit many diverse experimental needs.


4. Highly Purified


Our antibodies are available in purified forms with over 85% purity, as confirmed by SDS-PAGE. They are also available with tags such as His, Flag, GST, or MBP. We cater to customers worldwide.


FAQ


1. How are polyclonal antibodies produced?


Traditionally, polyclonal antibodies are produced by injecting an antigen into a host animal (such as a rabbit or goat), which then triggers an immune response from the host animal. The animal’s B cells produce antibodies that will recognize different parts of the injected antigen. These antibodies are then collected from the animal’s blood and purified for use.


2. How do polyclonal antibodies differ from monoclonal antibodies?


Polyclonal antibodies are a mix of antibodies that bind to different locations (epitopes) of the same antigen, while monoclonal antibodies are identical and bind to just one specific epitope. This makes polyclonal antibodies more versatile and better at detecting proteins that may be present in low quantities or in altered/modified forms.


3. How should I store polyclonal antibodies?


Polyclonal antibodies should be stored at 4°C for short-term use (up to a few weeks) and at -20°C or -80°C for long-term storage. Avoid repeated freeze-thaw cycles by dividing them into small aliquots. Always check the datasheet for specific storage instructions.


Submit a Question

Please complete the form below and a representative will contact you as soon as possible.

Request more Information

Please complete the form below and a representative will contact you as soon as possible.

Request a Manual

Please complete the form below and a representative will contact you as soon as possible.

Request a Quote

Please complete the form below and a representative will contact you as soon as possible.