Loading...

Skip to main content
Call us at +1-800-604-9114 for more information about our products or contact us online Need help? +1-800-604-9114 or contact us

Filters


Clonality

Type

Reactivity

Gene Name

Isotype

Host

Application

Clone

Polyclonal Antibodies

At AAA Biotech also known as AAA Bio or AAABio, we provide a broad range of purified polyclonal antibodies (pAbs) that are able to all be browsed online through our website. Due to their high specificity and strong binding affinity, these antibodies are ideal for wide swathes of research and experimental applications.


Our polyclonal antibodies can easily support your work, whether you use them for Western Blotting, Immunocytochemistry (with or without Immunofluorescence used in conjunction), Immunohistochemistry, Immunoprecipitation, and ELISA tests. We highly encourage you to browse our range of pAbs and choose the one that best suits your experimental model.


Viewing 7650-7700 of 10000 product results


product-image-AAA289206_IHC8.jpg IHC (Immunohistochemistry) (IGF1 Antibody (C-term) immunohistochemistry analysis in formalin fixed and paraffin embedded human liver tissue followed by peroxidase conjugation of the secondary antibody and DAB staining.This data demonstrates the use of IGF1 Antibody (C-term) for immunohistochemistry. Clinical relevance has not been evaluated.)

IGF1, Polyclonal Antibody (Cat# AAA289206)

Full Name
IGF1 Antibody (C-term)
Gene Names
IGF1; IGFI; IGF-I; IGF1A
Reactivity
Human
Applications
Immunohistochemistry, Flow Cytometry, Immunofluorescence, Western Blot
Purity
This antibody is purified through a protein A column, followed by peptide affinity purification.
Pricing
product-image-AAA288624_WB13.jpg WB (Western Blot) (Western blot analysis of MS4A1 (arrow) using rabbit polyclonal MS4A1 Antibody (C-term). 293 cell lysates (2 ug/lane) either nontransfected (Lane 1) or transiently transfected (Lane 2) with the MS4A1 gene.)

MS4A1, Polyclonal Antibody (Cat# AAA288624)

Full Name
MS4A1 Antibody (C-term)
Gene Names
MS4A1; B1; S7; Bp35; CD20; CVID5; MS4A2; LEU-16
Reactivity
Human
Applications
Western Blot
Purity
Peptide Affinity Purified Rabbit Polyclonal Antibody (Pab)
Pricing
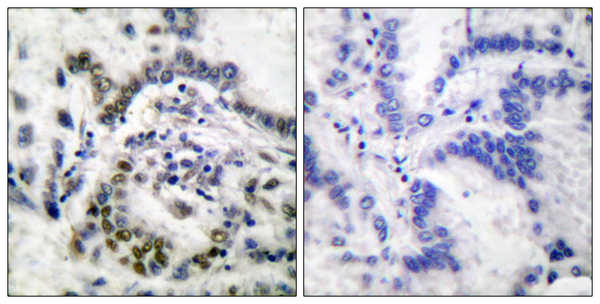
product-image-AAA288841_IHC13.jpg IHC (Immunohiostchemistry) (Formalin-fixed and paraffin-embedded human cancer tissue reacted with the primary antibody, which was peroxidase-conjugated to the secondary antibody, followed by AEC staining. This data demonstrates the use of this antibody for immunohistochemistry; clinical relevance has not been evaluated. BC = breast carcinoma; HC = hepatocarcinoma.)

Calcineurin (PPP3CA), Polyclonal Antibody (Cat# AAA288841)

Full Name
Calcineurin (PPP3CA) Antibody (N-term)
Gene Names
PPP3CA; CALN; CCN1; CNA1; CALNA; PPP2B; CALNA1
Reactivity
Human, Mouse
Predicted Reactivity: Bovine, Rat
Applications
Immunohistochemistry, Western Blot
Purity
Purified Rabbit Polyclonal Antibody (Pab)
Pricing

Claudin 5, Polyclonal Antibody (Cat# AAA313088)

Full Name
Claudin 5 Polyclonal Antibody PE Conjugated
Gene Names
CLDN5; AWAL; BEC1; TMVCF; CPETRL1
Reactivity
Human, Mouse, Rat
Applications
Flow Cytometry
Purity
affinity purified by Protein A
Pricing
product-image-AAA288487_WB15.jpg WB (Western Blot) (Mouse Pnpla3 Antibody (C-term) western blot analysis in mouse kidney tissue lysates (35ug/lane).This demonstrates the Pnpla3 antibody detected the Pnpla3 protein (arrow).)

Pnpla3, Polyclonal Antibody (Cat# AAA288487)

Full Name
Mouse Pnpla3 Antibody (C-term)
Gene Names
Pnpla3; Adpn
Reactivity
Mouse
Applications
Western Blot
Purity
Peptide Affinity Purified Rabbit Polyclonal Antibody (Pab)
Pricing
product-image-AAA288506_IF10.jpg IF (Immunofluorescence) (Fluorescent confocal image of Hela cell stained with TERT Antibody (Center). Hela cells were fixed with 4% PFA (20 min), permeabilized with Triton X-100 (0.1%, 10 min), then incubated with TERT primary antibody (1:25, 1 h at 37 degree). For secondary antibody, Alexa Fluor 488 conjugated donkey anti-rabbit antibody (green) was used (1:400, 50 min at 37 degree).Cytoplasmic actin was counterstained with Alexa Fluor 555 (red) conjugated Phalloidin (7units/ml, 1 h at 37 degree). Nuclei were counterstained with DAPI (blue) (10 ug/ml, 10 min). TERT immunoreactivity is localized to Nucleus significantly and Cytoplasm weakly.)

TERT, Polyclonal Antibody (Cat# AAA288506)

Full Name
TERT Antibody (Center)
Gene Names
TERT; TP2; TRT; CMM9; EST2; TCS1; hTRT; DKCA2; DKCB4; hEST2; PFBMFT1
Reactivity
Human
Applications
Immunofluorescence, Flow Cytometry, Western Blot
Purity
Purified Rabbit Polyclonal Antibody (Pab)
Pricing
product-image-AAA288175_IHC13.jpg IHC (Immunohiostchemistry) (Formalin-fixed and paraffin-embedded human cancer tissue reacted with the primary antibody, which was peroxidase-conjugated to the secondary antibody, followed by DAB staining. This data demonstrates the use of this antibody for immunohistochemistry; clinical relevance has not been evaluated. BC = breast carcinoma; HC = hepatocarcinoma.)

SRPK2, Polyclonal Antibody (Cat# AAA288175)

Full Name
SRPK2 Antibody (C-term)
Gene Names
SRPK2; SFRSK2
Reactivity
Human, mouse
Applications
Immunohistochemistry, Western Blot
Purity
Purified Rabbit Polyclonal Antibody (Pab)
Pricing
product-image-AAA288221_FCM11.jpg FCM/FACS (Flow Cytometry) (SYTL2 Antibody (Center) flow cytometric analysis of Hela cells (right histogram) compared to a negative control cell (left histogram).FITC-conjugated goat-anti-rabbit secondary antibodies were used for the analysis.)

SYTL2, Polyclonal Antibody (Cat# AAA288221)

Full Name
SYTL2 Antibody (Center)
Gene Names
SYTL2; EXO4; SLP2; SLP2A; SGA72M; CHR11SYT; PPP1R151
Reactivity
Human
Applications
Flow Cytometry, Immunohistochemistry, Western Blot
Purity
Peptide Affinity Purified Rabbit Polyclonal Antibody (Pab)
Pricing
product-image-AAA288335_FCM10.jpg FCM/FACS (Flow Cytometry) (VILL Antibody (Center) flow cytometric analysis of K562 cells (right histogram) compared to a negative control cell (left histogram).FITC-conjugated goat-anti-rabbit secondary antibodies were used for the analysis.)

VILL, Polyclonal Antibody (Cat# AAA288335)

Full Name
VILL Antibody (Center)
Reactivity
Human
Applications
Flow Cytometry, Immunofluorescence, Immunohistochemistry, Western Blot
Purity
Peptide Affinity Purified Rabbit Polyclonal Antibody (Pab)
Pricing
product-image-AAA288357_IHC13.jpg IHC (Immunohiostchemistry) (Formalin-fixed and paraffin-embedded human cancer tissue reacted with the primary antibody, which was peroxidase-conjugated to the secondary antibody, followed by DAB staining. This data demonstrates the use of this antibody for immunohistochemistry; clinical relevance has not been evaluated. BC = breast carcinoma; HC = hepatocarcinoma.)

URKL1, Polyclonal Antibody (Cat# AAA288357)

Full Name
URKL1 Antibody (N-term)
Gene Names
UCKL1; UCK1L; URKL1
Reactivity
Human (Predicted Reactivity: Mouse)
Applications
Immunohistochemistry, Western Blot
Purity
Purified Rabbit Polyclonal Antibody (Pab)
Pricing
product-image-AAA288089_FCM11.jpg FCM/FACS (Flow Cytometry) (XRCC5 Antibody (Center K439) flow cytometric analysis of Jurkat cells (right histogram) compared to a negative control cell (left histogram).FITC-conjugated donkey-anti-rabbit secondary antibodies were used for the analysis.)

XRCC5, Polyclonal Antibody (Cat# AAA288089)

Full Name
XRCC5 Antibody (Center K439)
Gene Names
XRCC5; KU80; KUB2; Ku86; NFIV; KARP1; KARP-1
Reactivity
Human
Applications
Flow Cytometry, Western Blot, Immunofluorescence
Purity
Peptide Affinity Purified Rabbit Polyclonal Antibody (Pab)
Pricing
product-image-AAA289831_FCM11.jpg FCM/FACS (Flow Cytometry) (Flow cytometric analysis of K562 cells using MDH2 Antibody (Center)(bottom histogram) compared to a negative control cell (top histogram)FITC-conjugated goat-anti-rabbit secondary antibodies were used for the analysis.)

MDH2, Polyclonal Antibody (Cat# AAA289831)

Full Name
MDH2 Antibody (Center)
Gene Names
MDH2; MDH; MOR1; M-MDH; MGC:3559
Reactivity
Human, mouse (Predicted Reactivity: Yeast, Bovine, C Elegans, Monkey, Pig, Rat)
Applications
Western Blot, Flow Cytometry, Immunohistochemistry
Purity
Purified Rabbit Polyclonal Antibody (Pab)
Pricing
product-image-AAA289871_FCM11.jpg FCM/FACS (Flow Cytometry) (Calponin-3 Antibody (N-term) flow cytometric analysis of A2058 cells (right histogram) compared to a negative control cell (left histogram).FITC-conjugated goat-anti-rabbit secondary antibodies were used for the analysis.)

Calponin-3, Polyclonal Antibody (Cat# AAA289871)

Full Name
Calponin-3 Antibody (N-term)
Reactivity
Human (Predicted Reactivity: Bovine)
Applications
Flow Cytometry, Immunohistochemistry, Western Blot
Purity
Purified Rabbit Polyclonal Antibody (Pab)
Pricing
product-image-AAA289901_WB15.jpg WB (Western Blot) (OR2B6 Antibody (C-term) western blot analysis in MDA-MB453 cell line lysates (35ug/lane).This demonstrates the OR2B6 antibody detected the OR2B6 protein (arrow).)

OR2B6, Polyclonal Antibody (Cat# AAA289901)

Full Name
OR2B6 Antibody (C-term)
Gene Names
OR2B6; OR2B1; OR2B5; OR2B1P; OR2B6P; OR5-40; OR5-41; OR6-31; dJ408B20.2
Reactivity
Human
Applications
Western Blot
Purity
Peptide Affinity Purified Rabbit Polyclonal Antibody (Pab)
Pricing
product-image-AAA289933_WB13.jpg WB (Western Blot) (Western blot analysis of MARK4 (arrow) using rabbit polyclonal hMARK4-R626 Antibody. 293 cell lysates (2 ug/lane) either nontransfected (Lane 1) or transiently transfected with the MARK4 gene (Lane 2) (Origene Technologies).)

MARK4, Polyclonal Antibody (Cat# AAA289933)

Full Name
MARK4 Antibody (C-term)
Gene Names
MARK4; MARK4L; MARK4S; MARKL1; PAR-1D; MARKL1L
Reactivity
Human
Applications
Western Blot
Purity
Purified Rabbit Polyclonal Antibody (Pab)
Pricing
product-image-AAA306732_IHC13.jpg IHC (Immunohiostchemistry) (Immunohistochemistry of RBBP8 in rat spllen tissue with RBBP8 antibody at 5 ug/mL.)

RBBP8, Polyclonal Antibody (Cat# AAA306732)

Full Name
RBBP8 Antibody
Gene Names
RBBP8; RIM; COM1; CTIP; JWDS; SAE2; SCKL2
Reactivity
Human, Mouse, Rat
Applications
Immunohistochemistry, Western Blot
Purity
Affinity chromatography purified via peptide column
Pricing
product-image-AAA307644_IHC11.jpg IHC (Immunohistochemisry) (Immunohistochemical analysis of paraffin-embedded Human breast cancer tissue using at dilution 1/35.)

STX8, Polyclonal Antibody (Cat# AAA307644)

Full Name
STX8 Antibody
Gene Names
STX8; CARB
Reactivity
Human
Applications
Immunohistochemistry, Western Blot
Purity
Antigen affinity purification.
Pricing
product-image-AAA308330_IHC13.jpg IHC (Immunohiostchemistry) (Immunohistochemical analysis of paraffin-embedded human pancreas tissue using Raf1 (Phospho-Tyr341) antibody (left)or the same antibody preincubated with blocking peptide (right).)

C-RAF, Polyclonal Antibody (Cat# AAA308330)

Full Name
C-RAF (Phospho-Tyr341) Antibody
Gene Names
RAF1; NS5; CRAF; Raf-1; c-Raf; CMD1NN
Reactivity
Human
Applications
Immunohistochemistry, Western Blot
Purity
Antibodies were produced by immunizing rabbits with synthetic phosphopeptide and KLH conjugates. Antibodies were purified by affinity-chromatography using epitope-specific phosphopeptide. Non-phospho specific antibodies were removed by chromatogramphy usi
Pricing
product-image-AAA318010_WB11.jpg WB (Western Blot) (Western blot analysis of lysates from HeLa cells, treated with TSA 400nM 24h, using Histone H3 Antibody. The lane on the right is blocked with the synthesized peptide.)

Histone H3, Polyclonal Antibody (Cat# AAA318010)

Full Name
Histone H3 Antibody
Gene Names
HIST1H3A; H3/A; H3FA
Reactivity
Human, Mouse, Rat
Applications
Immunofluorescence, Immunohistochemistry, Western Blot
Purity
Purified from rabbit antiserum by affinity-chromatography using immunogen.
Pricing
product-image-AAA318013_WB11.jpg WB (Western Blot) (Western blot analysis of lysates from COS7 cells, treated with TSA 400nM 24h, using p53 Antibody. The lane on the right is blocked with the synthesized peptide.)

p53, Polyclonal Antibody (Cat# AAA318013)

Full Name
p53 Antibody
Gene Names
TP53; P53; BCC7; LFS1; TRP53
Reactivity
Human, Mouse, Rat
Applications
Immunofluorescence, Immunohistochemistry, Western Blot
Purity
Purified from rabbit antiserum by affinity-chromatography using immunogen.
Pricing
product-image-AAA318042_WB13.jpg WB (Western Blot) (Western blot analysis of lysates from COLO cells, using EMR2 Antibody. The lane on the right is blocked with the synthesized peptide.)

EMR2, Polyclonal Antibody (Cat# AAA318042)

Full Name
EMR2 Antibody
Gene Names
ADGRE2; VBU; EMR2; CD312
Reactivity
Human
Applications
Immunofluorescence, Western Blot
Purity
Purified from rabbit antiserum by affinity-chromatography using immunogen.
Pricing
product-image-AAA318050_IHC13.jpg IHC (Immunohiostchemistry) (Immunohistochemistry analysis of paraffin-embedded human brain tissue, using FZD5 Antibody. The picture on the right is blocked with the synthesized peptide.)

FZD5, Polyclonal Antibody (Cat# AAA318050)

Full Name
FZD5 Antibody
Gene Names
FZD5; HFZ5; C2orf31
Reactivity
Human, Mouse, Rat
Applications
Immunofluorescence, Immunohistochemistry
Purity
Purified from rabbit antiserum by affinity-chromatography using immunogen.
Pricing
product-image-AAA318319_WB13.jpg WB (Western Blot) (Western blot analysis of lysates from COS7 cells treated with TNF 20ng/ml 5', using GATA2 (Phospho-Ser401) Antibody.)

GATA2, Polyclonal Antibody (Cat# AAA318319)

Full Name
GATA2 (Phospho-Ser401) Antibody
Gene Names
GATA2; DCML; IMD21; NFE1B; MONOMAC
Reactivity
Human
Applications
Western Blot
Purity
Purified from rabbit antiserum by affinity-chromatography using phospho peptide. The antibody against non-phospho peptide was removed by chromatography using corresponding non-phospho peptide.
Pricing
product-image-AAA318186_WB13.jpg WB (Western Blot) (Western blot analysis of lysates from Jurkat cells, using OR3A2 Antibody. The lane on the right is blocked with the synthesized peptide.)

OR3A2, Polyclonal Antibody (Cat# AAA318186)

Full Name
OR3A2 Antibody
Gene Names
OR3A2; OR228; OLFRA04; OR17-14; OR17-228
Reactivity
Human
Applications
Immunofluorescence, Western Blot
Purity
Purified from rabbit antiserum by affinity-chromatography using immunogen.
Pricing
product-image-AAA318208_WB13.jpg WB (Western Blot) (Western blot analysis of lysates from Jurkat, COLO, and MCF-7 cells, using OR5AR1 Antibody. The lane on the right is blocked with the synthesized peptide.)

OR5AR1, Polyclonal Antibody (Cat# AAA318208)

Full Name
OR5AR1 Antibody
Gene Names
OR5AR1; OR11-209
Reactivity
Human
Applications
Immunofluorescence, Western Blot
Purity
Purified from rabbit antiserum by affinity-chromatography using immunogen.
Pricing
product-image-AAA318333_WB13.jpg WB (Western Blot) (Western blot analysis of lysates from Jurkat cells treated with EGF 200ng/ml 30', using IRF-3 (Phospho-Ser396) Antibody.)

IRF-3, Polyclonal Antibody (Cat# AAA318333)

Full Name
IRF-3 (Phospho-Ser396) Antibody
Gene Names
IRF3; IIAE7
Reactivity
Human, Mouse, Rat
Applications
Western Blot
Purity
Purified from rabbit antiserum by affinity-chromatography using phospho peptide. The antibody against non-phospho peptide was removed by chromatography using corresponding non-phospho peptide.
Pricing
product-image-AAA318356_WB13.jpg WB (Western Blot) (Western blot analysis of lysates from NIH/3T3 cells treated with PDGF 50ng/ml 20', using MEK1 (Phospho-Ser298) Antibody.)

MEK1, Polyclonal Antibody (Cat# AAA318356)

Full Name
MEK1 (Phospho-Ser298) Antibody
Gene Names
MAP2K1; CFC3; MEK1; MKK1; MAPKK1; PRKMK1
Reactivity
Human, Mouse, Rat
Applications
Western Blot
Purity
Purified from rabbit antiserum by affinity-chromatography using phospho peptide. The antibody against non-phospho peptide was removed by chromatography using corresponding non-phospho peptide.
Pricing
product-image-AAA318109_WB13.jpg WB (Western Blot) (Western blot analysis of lysates from Jurkat cells, using GPRC5D Antibody. The lane on the right is blocked with the synthesized peptide.)

GPRC5D, Polyclonal Antibody (Cat# AAA318109)

Full Name
GPRC5D Antibody
Reactivity
Human, Mouse
Applications
Immunofluorescence, Western Blot
Purity
Purified from rabbit antiserum by affinity-chromatography using immunogen.
Pricing
product-image-AAA318116_WB13.jpg WB (Western Blot) (Western blot analysis of lysates from HT-29, K562, and COS7 cells, using GPR34 Antibody. The lane on the right is blocked with the synthesized peptide.)

GPR34, Polyclonal Antibody (Cat# AAA318116)

Full Name
GPR34 Antibody
Gene Names
GPR34; LYPSR1
Reactivity
Human, Mouse, Rat
Applications
Immunofluorescence, Western Blot
Purity
Purified from rabbit antiserum by affinity-chromatography using immunogen.
Pricing
product-image-AAA318122_IHC13.jpg IHC (Immunohiostchemistry) (Immunohistochemistry analysis of paraffin-embedded human brain tissue, using GRM2 Antibody. The picture on the right is blocked with the synthesized peptide.)

GRM2, Polyclonal Antibody (Cat# AAA318122)

Full Name
GRM2 Antibody
Gene Names
GRM2; GLUR2; mGlu2; GPRC1B; MGLUR2
Reactivity
Human, Mouse, Rat
Applications
Immunofluorescence, Immunohistochemistry
Purity
Purified from rabbit antiserum by affinity-chromatography using immunogen.
Pricing
product-image-AAA318177_WB13.jpg WB (Western Blot) (Western blot analysis of lysates from HT-29 cells, using OR2J2 Antibody. The lane on the right is blocked with the synthesized peptide.)

OR2J2, Polyclonal Antibody (Cat# AAA318177)

Full Name
OR2J2 Antibody
Gene Names
OR2J2; OR6-8; OR6-19; ORL684; OR6.3.8; hs6M1-6; dJ80I19.4
Reactivity
Human
Applications
Immunofluorescence, Western Blot
Purity
Purified from rabbit antiserum by affinity-chromatography using immunogen.
Pricing
product-image-AAA318182_WB13.jpg WB (Western Blot) (Western blot analysis of lysates from HT-29 cells, using OR2T1 Antibody. The lane on the right is blocked with the synthesized peptide.)

OR2T1, Polyclonal Antibody (Cat# AAA318182)

Full Name
OR2T1 Antibody
Gene Names
OR2T1; OR1-25
Reactivity
Human
Applications
Immunofluorescence, Western Blot
Purity
Purified from rabbit antiserum by affinity-chromatography using immunogen.
Pricing
product-image-AAA319482_WB13.png WB (Western Blot) (Western blot analysis of lysates from Jurkat cells, primary antibody was diluted at 1:1000, 4 degree over night)

RCC1, Polyclonal Antibody (Cat# AAA319482)

Full Name
RCC1 (Phospho-Ser11) Antibody
Gene Names
RCC1; CHC1; RCC1-I; SNHG3-RCC1
Reactivity
Human, Rat, Mouse
Applications
Immunohistochemistry, Western Blot
Purity
The antibody was affinity-purified from rabbit serum by affinity-chromatography using specific immunogen.
Pricing
product-image-AAA321047_IF13.jpg IF (Immunofluorescence) (AAA321047 staining COLO205 by IF/ICC. The sample were fixed with PFA and permeabilized in 0.1% Triton X-100, then blocked in 10% serum for 45 minutes at 25 degree C. The primary antibody was diluted at 1/200 and incubated with the sample for 1 hour at 37 degree C. An Alexa Fluor 594 conjugated goat anti-rabbit IgG (H+L) Ab, diluted at 1/600, was used as the secondary antibody.)

MN1, Polyclonal Antibody (Cat# AAA321047)

Full Name
MN1 Antibody
Gene Names
MN1; MGCR; MGCR1; MGCR1-PEN; dJ353E16.2
Reactivity
Human
Applications
Immunocytochemistry, Immunofluorescence, Western Blot
Purity
The antiserum was purified by peptide affinity chromatography using SulfoLink Coupling Resin.
Pricing
product-image-AAA321065_IF11.jpg IF (Immunofluorescence) (AAA321065 staining 293 by IF/ICC. The sample were fixed with PFA and permeabilized in 0.1% Triton X-100, then blocked in 10% serum for 45 minutes at 25 degree C. The primary antibody was diluted at 1/200 and incubated with the sample for 1 hour at 37 degree C. An Alexa Fluor 594 conjugated goat anti-rabbit IgG (H+L) Ab, diluted at 1/600, was used as the secondary antibody.)

PKCB1, Polyclonal Antibody (Cat# AAA321065)

Full Name
PKCB1 Antibody
Gene Names
ZMYND8; RACK7; PRKCBP1; PRO2893
Reactivity
Human, Mouse
Applications
Immunocytochemistry, Immunofluorescence, Western Blot
Purity
The antiserum was purified by peptide affinity chromatography using SulfoLink Coupling Resin.
Pricing
product-image-AAA320858_IHC11.jpg IHC (Immunohistochemisry) (AAA320858 at 1/100 staining human kidney tissue sections by IHC-P. The tissue was formaldehyde fixed and a heat mediated antigen retrieval step in citrate buffer was performed. The tissue was then blocked and incubated with the antibody for 1.5 hours at 22 degree C. An HRP conjugated goat anti-rabbit antibody was used as the secondary.)

MMP3, Polyclonal Antibody (Cat# AAA320858)

Full Name
MMP3 Antibody
Gene Names
MMP3; SL-1; STMY; STR1; CHDS6; MMP-3; STMY1
Reactivity
Human, Mouse, Rat
Applications
Immunocytochemistry, Immunofluorescence, Immunohistochemistry, Western Blot
Purity
The antiserum was purified by peptide affinity chromatography using SulfoLink Coupling Resin.
Pricing
product-image-AAA320726_IHC13.jpg IHC (Immunohiostchemistry) (AAA320726 at 1/100 staining Human thyroid cancer tissue by IHC-P. The sample was formaldehyde fixed and a heat mediated antigen retrieval step in citrate buffer was performed. The sample was then blocked and incubated with the antibody for 1.5 hours at 22 degree C. An HRP conjugated goat anti-rabbit antibody was used as the secondary.)

RYR2, Polyclonal Antibody (Cat# AAA320726)

Full Name
RYR2 Antibody
Gene Names
RYR2; RyR; ARVC2; ARVD2; RYR-2; VTSIP
Reactivity
Human, Mouse, Rat
Applications
Immunohistochemistry, Western Blot
Purity
The antiserum was purified by peptide affinity chromatography using SulfoLink Coupling Resin.
Pricing
product-image-AAA322014_IF10.jpg IF (Immunofluorescence) (AAA322014 staining COLO205 by IF/ICC. The sample were fixed with PFA and permeabilized in 0.1% Triton X-100, then blocked in 10% serum for 45 minutes at 25 degree C. The primary antibody was diluted at 1/200 and incubated with the sample for 1 hour at 37 degree C. An Alexa Fluor 594 conjugated goat anti-rabbit IgG (H+L) Ab, diluted at 1/600, was used as the secondary antibody.)

HSP40, Polyclonal Antibody (Cat# AAA322014)

Full Name
HSP40 Antibody
Gene Names
DNAJB1; Hdj1; Sis1; HSPF1; Hsp40; RSPH16B
Reactivity
Human, Mouse, Rat
Applications
Immunocytochemistry, Immunofluorescence, Immunohistochemistry, Western Blot
Purity
The antiserum was purified by peptide affinity chromatography using SulfoLink Coupling Resin.
Pricing
product-image-AAA322016_IF13.jpg IF (Immunofluorescence) (AAA322016 staining HepG2 by IF/ICC. The sample were fixed with PFA and permeabilized in 0.1% Triton X-100, then blocked in 10% serum for 45 minutes at 25 degree C. The primary antibody was diluted at 1/200 and incubated with the sample for 1 hour at 37 degree C. An Alexa Fluor 594 conjugated goat anti-rabbit IgG (H+L) Ab, diluted at 1/600, was used as the secondary antibody.)

DDR1, Polyclonal Antibody (Cat# AAA322016)

Full Name
DDR1 Antibody
Gene Names
DDR1; CAK; DDR; NEP; HGK2; PTK3; RTK6; TRKE; CD167; EDDR1; MCK10; NTRK4; PTK3A
Reactivity
Human, Mouse, Rat
Applications
Immunocytochemistry, Immunofluorescence, Western Blot
Purity
The antiserum was purified by peptide affinity chromatography using SulfoLink Coupling Resin.
Pricing
product-image-AAA322059_WB11.jpg WB (Western Blot) (Western blot analysis of AAA322059 expression in various lysates 1 Rat brain 2 mouse brain 3 mouse lung 4 HeLa 5 HEPG2 6 293 7 Mouse spleen 8 Rat heart)

Caspase 1, Polyclonal Antibody (Cat# AAA322059)

Full Name
Caspase 1 Antibody
Gene Names
CASP1; ICE; P45; IL1BC
Reactivity
Human, Mouse
Applications
Immunocytochemistry, Immunofluorescence, Western Blot
Purity
The antiserum was purified by peptide affinity chromatography using SulfoLink Coupling Resin.
Pricing
product-image-AAA322084_IHC8.jpg IHC (Immunohistochemistry) (AAA322084 at 1/100 staining Human urothelial cancer tissue by IHC-P. The sample was formaldehyde fixed and a heat mediated antigen retrieval step in citrate buffer was performed. The sample was then blocked and incubated with the antibody for 1.5 hours at 22 degree C. An HRP conjugated goat anti-rabbit antibody was used as the secondary.)

TGFBR2, Polyclonal Antibody (Cat# AAA322084)

Full Name
TGFBR2 Antibody
Gene Names
TGFBR2; AAT3; FAA3; LDS2; MFS2; RIIC; LDS1B; LDS2B; TAAD2; TBRII; TBR-ii; TGFR-2; TGFbeta-RII
Reactivity
Human, Mouse, Rat
Applications
Immunohistochemistry, Western Blot
Purity
The antiserum was purified by peptide affinity chromatography using SulfoLink Coupling Resin.
Pricing
product-image-AAA321975_IHC11.jpg IHC (Immunohistochemisry) (AAA321975 at 1/100 staining Human lung tissue by IHC-P. The sample was formaldehyde fixed and a heat mediated antigen retrieval step in citrate buffer was performed. The sample was then blocked and incubated with the antibody for 1.5 hours at 22 degree C. An HRP conjugated goat anti-rabbit antibody was used as the secondary.)

EDG2, Polyclonal Antibody (Cat# AAA321975)

Full Name
EDG2 Antibody
Gene Names
LPAR1; EDG2; LPA1; VZG1; GPR26; edg-2; vzg-1; Gpcr26; Mrec1.3; rec.1.3
Reactivity
Human, Rat
Applications
Immunocytochemistry, Immunofluorescence, Immunohistochemistry, Western Blot
Purity
The antiserum was purified by peptide affinity chromatography using SulfoLink Coupling Resin.
Pricing
product-image-AAA321725_WB11.jpg WB (Western Blot) (Western blot analysis of Phospho-IL-10R alpha (Tyr496) Antibody expression in HuvEc cells lysates.The lane on the right is treated with the antigen-specific peptide.)

IL-10R alpha, Polyclonal Antibody (Cat# AAA321725)

Full Name
Phospho-IL-10R alpha (Tyr496) Antibody
Gene Names
IL10RA; CD210; IL10R; CD210a; CDW210A; HIL-10R; IL-10R1
Reactivity
Human
Applications
Immunocytochemistry, Immunofluorescence, Western Blot
Purity
From purified rabbit serum by affinity purification via sequential chromatography on phospho-and non-phospho-peptide affinity columns.
Pricing
product-image-AAA321733_IF11.jpg IF (Immunofluorescence) (AAA321733 staining A431 cells by IF/ICC. The sample were fixed with PFA and permeabilized in 0.1% Triton X-100, then blocked in 10% serum for 45 minutes at 25 degree C. The primary antibody was diluted at 1/200 and incubated with the sample for 1 hour at 37 degree C. An Alexa Fluor 594 conjugated goat anti-rabbit IgG (H+L) antibody, diluted at 1/600, was used as secondary antibody.)

PKD1/PKC mu, Polyclonal Antibody (Cat# AAA321733)

Full Name
Phospho-PKD1/PKC mu (Tyr463) Antibody
Gene Names
PRKD1; PKD; PKCM; CHDED; PRKCM; PKC-MU
Reactivity
Human, Mouse, Rat
Applications
Immunocytochemistry, Immunofluorescence, Immunohistochemistry, Western Blot
Purity
From purified rabbit serum by affinity purification via sequential chromatography on phospho-and non-phospho-peptide affinity columns.
Pricing
product-image-AAA321784_IF11.jpg IF (Immunofluorescence) (AAA321784 staining 293 by IF/ICC. The sample were fixed with PFA and permeabilized in 0.1% Triton X-100, then blocked in 10% serum for 45 minutes at 25 degree C. The primary antibody was diluted at 1/200 and incubated with the sample for 1 hour at 37 degree C. An Alexa Fluor 594 conjugated goat anti-rabbit IgG (H+L) Ab, diluted at 1/600, was used as the secondary antibody.)

IKK-gamma, Polyclonal Antibody (Cat# AAA321784)

Full Name
Phospho-IKK-gamma (Ser85) Antibody
Gene Names
IKBKG; IP; IP1; IP2; FIP3; IKKG; IPD2; NEMO; FIP-3; Fip3p; IMD33; AMCBX1; IKKAP1; ZC2HC9; IKK-gamma
Reactivity
Human
Applications
Immunocytochemistry, Immunofluorescence, Western Blot
Purity
From purified rabbit serum by affinity purification via sequential chromatography on phospho-and non-phospho-peptide affinity columns.
Pricing
product-image-AAA322093_IHC11.jpg IHC (Immunohistochemisry) (AAA322093 at 1/100 staining Human melanoma tissue by IHC-P. The sample was formaldehyde fixed and a heat mediated antigen retrieval step in citrate buffer was performed. The sample was then blocked and incubated with the antibody for 1.5 hours at 22 degree C. An HRP conjugated goat anti-rabbit antibody was used as the secondary.)

GluR6, Polyclonal Antibody (Cat# AAA322093)

Full Name
GluR6 Antibody
Gene Names
GRM6; mGlu6; CSNB1B; GPRC1F; MGLUR6
Reactivity
Human, Mouse
Applications
Immunocytochemistry, Immunofluorescence, Immunohistochemistry, Western Blot
Purity
The antiserum was purified by peptide affinity chromatography using SulfoLink Coupling Resin.
Pricing
product-image-AAA322121_IHC10.jpg IHC (Immunohistochemistry) (AAA322121 at 1/100 staining Mouse spleen tissue by IHC-P. The sample was formaldehyde fixed and a heat mediated antigen retrieval step in citrate buffer was performed. The sample was then blocked and incubated with the antibody for 1.5 hours at 22 degree C. An HRP conjugated goat anti-rabbit antibody was used as the secondary.)

DNMT3B, Polyclonal Antibody (Cat# AAA322121)

Full Name
DNMT3B Antibody
Gene Names
DNMT3B; ICF; ICF1; M.HsaIIIB
Reactivity
Human, Mouse
Applications
Immunocytochemistry, Immunofluorescence, Immunohistochemistry, Western Blot
Purity
The antiserum was purified by peptide affinity chromatography using SulfoLink Coupling Resin.
Pricing
product-image-AAA322139_IF10.jpg IF (Immunofluorescence) (AAA322139 staining HT29 by IF/ICC. The sample were fixed with PFA and permeabilized in 0.1% Triton X-100, then blocked in 10% serum for 45 minutes at 25 degree C. The primary antibody was diluted at 1/200 and incubated with the sample for 1 hour at 37 degree C. An Alexa Fluor 594 conjugated goat anti-rabbit IgG (H+L) Ab, diluted at 1/600, was used as the secondary antibody.)

Survivin, Polyclonal Antibody (Cat# AAA322139)

Full Name
Survivin Antibody
Gene Names
BIRC5; API4; EPR-1
Reactivity
Human, Mouse, Rat
Applications
Immunocytochemistry, Immunofluorescence, Immunohistochemistry, Western Blot
Purity
The antiserum was purified by peptide affinity chromatography using SulfoLink Coupling Resin.
Pricing
product-image-AAA322147_IHC11.jpg IHC (Immunohistochemisry) (AAA322147 at 1/100 staining Mouse testis tissue by IHC-P. The sample was formaldehyde fixed and a heat mediated antigen retrieval step in citrate buffer was performed. The sample was then blocked and incubated with the antibody for 1.5 hours at 22 degree C. An HRP conjugated goat anti-rabbit antibody was used as the secondary.)

p95/NBS1, Polyclonal Antibody (Cat# AAA322147)

Full Name
p95/NBS1 Antibody
Gene Names
NBN; ATV; NBS; P95; NBS1; AT-V1; AT-V2
Reactivity
Human, Mouse, Rat
Applications
Immunocytochemistry, Immunofluorescence, Immunohistochemistry, Western Blot
Purity
The antiserum was purified by peptide affinity chromatography using SulfoLink Coupling Resin.
Pricing
product-image-AAA321837_WB13.jpg WB (Western Blot) (Western blot analysis of BMP5 expression in HUVEC cells, The lane on the left is treated with the antigen-specific peptide.)

BMP5, Polyclonal Antibody (Cat# AAA321837)

Full Name
BMP5 Antibody
Reactivity
Human, Mouse
Applications
Immunohistochemistry, Western Blot
Purity
The antiserum was purified by peptide affinity chromatography using SulfoLink Coupling Resin.
Pricing

What are Polyclonal Antibodies?


Polyclonal antibodies are antibodies that come from multiple B cell clones of a host animal. The typical hosts used for the majority of polyclonal antibody production are rabbits, goats, sheep, and donkeys. These polyclonal antibodies, once having identified their target, will bind to different epitopes located at different regions or sequences on the same protein/antigen. As a result, they are ideal at locating and binding to the target, even if the target is in very low concentrations (due to many different antibodies being able to bind to the same target molecule, which allows for significant amplification of a downstream signal).


Polyclonal antibodies are typically produced by injecting an antigen into a host animal, which causes the animal’s immune system to attack the foreign antigen by mass generating antibodies against it. After a period of time, serum is collected from the animal and purified using physicochemical fractionation, class-specific affinity purification, and/or antigen-affinity purification.


Key Uses of Polyclonal Antibodies


  • Western Blotting: This method is used to find specific proteins in biological samples after separating them by size.

  • Immunohistochemistry: IHC helps visualize the location of proteins in tissue sections using various staining techniques.

  • ELISA: (Enzyme-Linked Immunosorbent Assay) is typically used to identify specific protein quantities in a sample. ELISAs can be either “Quantitative” or “Qualitative”.

  • Flow Cytometry: technique that identifies and measures the specific protein on the surface or inside the cells in a fluid suspension.

  • Immunoprecipitation: IP isolates and studies a specific protein from a complex mixture using antibodies.


Why Buy Polyclonal Antibodies from AAA Biotech?


1. Ideal for Various Applications


Our antibodies are generally going to be validated for use in multiple types of assays, including ELISA, Western Blotting, Immunohistochemistry, Immunoprecipitation, amongst others. They are ideal for a wide range of research applications.


2. Rigorous Quality Control


All of the antibodies in our catalog undergo strict quality testing to ensure specificity, sensitivity, and consistent performance. We are confident in the ability of our antibodies to provide you with accurate results.


3. Wide Assortment of Antibodies


Antibodies in are catalog can be found for both common and exotic species, and these antibodies are also available in both conjugated and recombinant forms to suit many diverse experimental needs.


4. Highly Purified


Our antibodies are available in purified forms with over 85% purity, as confirmed by SDS-PAGE. They are also available with tags such as His, Flag, GST, or MBP. We cater to customers worldwide.


FAQ


1. How are polyclonal antibodies produced?


Traditionally, polyclonal antibodies are produced by injecting an antigen into a host animal (such as a rabbit or goat), which then triggers an immune response from the host animal. The animal’s B cells produce antibodies that will recognize different parts of the injected antigen. These antibodies are then collected from the animal’s blood and purified for use.


2. How do polyclonal antibodies differ from monoclonal antibodies?


Polyclonal antibodies are a mix of antibodies that bind to different locations (epitopes) of the same antigen, while monoclonal antibodies are identical and bind to just one specific epitope. This makes polyclonal antibodies more versatile and better at detecting proteins that may be present in low quantities or in altered/modified forms.


3. How should I store polyclonal antibodies?


Polyclonal antibodies should be stored at 4°C for short-term use (up to a few weeks) and at -20°C or -80°C for long-term storage. Avoid repeated freeze-thaw cycles by dividing them into small aliquots. Always check the datasheet for specific storage instructions.


Submit a Question

Please complete the form below and a representative will contact you as soon as possible.

Request more Information

Please complete the form below and a representative will contact you as soon as possible.

Request a Manual

Please complete the form below and a representative will contact you as soon as possible.

Request a Quote

Please complete the form below and a representative will contact you as soon as possible.