Loading...

Skip to main content
Call us at +1-800-604-9114 for more information about our products or contact us online Need help? +1-800-604-9114 or contact us

Filters


Clonality

Type

Reactivity

Gene Name

Isotype

Host

Application

Clone

Polyclonal Antibodies

At AAA Biotech also known as AAA Bio or AAABio, we provide a broad range of purified polyclonal antibodies (pAbs) that are able to all be browsed online through our website. Due to their high specificity and strong binding affinity, these antibodies are ideal for wide swathes of research and experimental applications.


Our polyclonal antibodies can easily support your work, whether you use them for Western Blotting, Immunocytochemistry (with or without Immunofluorescence used in conjunction), Immunohistochemistry, Immunoprecipitation, and ELISA tests. We highly encourage you to browse our range of pAbs and choose the one that best suits your experimental model.


Viewing 8600-8650 of 96803 product results


Rabbit Anti-CXCL2 Polyclonal Antibody – Cat# AAA149664 – IHC (Immunohiostchemistry) IHC (Immunohiostchemistry) (DAB staining on fromalin fixed paraffin- embedded Kidney tissue)

Chemokine (C-X-C Motif) Ligand 2 (CXCL2), Polyclonal Antibody (Cat# AAA149664)

No reviews yet
Full Name
Polyclonal Antibody to Chemokine (C-X-C Motif) Ligand 2 (CXCL2)
Gene Names
CXCL2; GRO2; GROb; MIP2; MIP2A; SCYB2; MGSA-b; MIP-2a; CINC-2a
Reactivity
Mouse, Rat
Applications
Immunoprecipitation, Immunocytochemistry, Immunohistochemistry, Western Blot
Purity
Antigen-specific affinity chromatography followed by Protein A affinity chromatography
Pricing
Rabbit Anti-STAT3 Polyclonal Antibody – Cat# AAA149667 – IHC (Immunohistochemistry) IHC (Immunohistochemistry) (DAB staining on IHC-P; Samples: Rat Cerebrum Tissue; Primary Ab: 20?g/ml Rabbit Anti-Multi-species STAT3 AntibodySecond Ab: 2ug/mL HRP-Linked Caprine Anti-Rabbit IgG Polyclonal Antibody)

Signal Transducer And Activator Of Transcription 3 (STAT3), Polyclonal Antibody (Cat# AAA149667)

No reviews yet
Full Name
Polyclonal Antibody to Signal Transducer And Activator Of Transcription 3 (STAT3)
Reactivity
Human, Mouse, Rat, Bovine
Applications
Immunoprecipitation, Immunocytochemistry, Immunohistochemistry, Western Blot
Purity
Antigen-specific affinity chromatography followed by Protein A affinity chromatography
Pricing
Rabbit Anti-VEGF121 Polyclonal Antibody – Cat# AAA149670 – IHC (Immunohiostchemistry) IHC (Immunohiostchemistry) (DAB staining on IHC-P; Samples: Human Placenta Tissue; Primary Ab: 20?g/ml Rabbit Anti-Human VEGF121 Antibody Second Ab: 2ug/mL HRP-Linked Caprine Anti-Rabbit IgG Polyclonal Antibody)

Vascular Endothelial Growth Factor 121 (VEGF121), Polyclonal Antibody (Cat# AAA149670)

No reviews yet
Full Name
Polyclonal Antibody to Vascular Endothelial Growth Factor 121 (VEGF121)
Gene Names
VEGFA; VPF; VEGF; MVCD1
Reactivity
Human
Applications
Immunoprecipitation, Immunocytochemistry, Immunohistochemistry, Western Blot
Purity
Antigen-specific affinity chromatography followed by Protein A affinity chromatography
Pricing
Rabbit Anti-CFTR Polyclonal Antibody – Cat# AAA149677 – IHC (Immunohistochemisry) IHC (Immunohistochemisry) (DAB staining on IHC-P; Samples: Human Kidney Tissue; Primary Ab: 10ug/ml Rabbit Anti-Human CFTR AntibodySecond Ab: 2ug/mL HRP-Linked Caprine Anti-Rabbit IgG Polyclonal Antibody)

Cystic Fibrosis Transmembrane Conductance Regulator (CFTR), Polyclonal Antibody (Cat# AAA149677)

No reviews yet
Full Name
Polyclonal Antibody to Cystic Fibrosis Transmembrane Conductance Regulator (CFTR)
Gene Names
CFTR; CF; MRP7; ABC35; ABCC7; CFTR/MRP; TNR-CFTR; dJ760C5.1
Reactivity
Human, Pig
Applications
Immunoprecipitation, Immunocytochemistry, Immunohistochemistry, Western Blot
Purity
Antigen-specific affinity chromatography followed by Protein A affinity chromatography
Pricing
Rabbit Anti-SURF1 Polyclonal Antibody – Cat# AAA149678 – IHC (Immunohistochemisry) IHC (Immunohistochemisry) (DAB staining on fromalin fixed paraffin- embedded kidney tissue)

Surfeit 1 (SURF1), Polyclonal Antibody (Cat# AAA149678)

No reviews yet
Full Name
Polyclonal Antibody to Surfeit 1 (SURF1)
Gene Names
SURF1; CMT4K
Reactivity
Mouse, Rat
Applications
Immunoprecipitation, Immunocytochemistry, Immunohistochemistry, Western Blot
Purity
Antigen-specific affinity chromatography followed by Protein A affinity chromatography
Pricing
Rabbit Anti-PDGFB Polyclonal Antibody – Cat# AAA149679 – IHC (Immunohistochemistry) IHC (Immunohistochemistry) (DAB staining on IHC-P; Samples: Porcine Kidney Tissue; Primary Ab: 20ug/ml Rabbit Anti-Porcine PDGFB AntibodySecond Ab: 2ug/mL HRP-Linked Caprine Anti-Rabbit IgG Polyclonal Antibody)

Platelet Derived Growth Factor Subunit B (PDGFB), Polyclonal Antibody (Cat# AAA149679)

No reviews yet
Full Name
Polyclonal Antibody to Platelet Derived Growth Factor Subunit B (PDGFB)
Reactivity
Human, Pig
Applications
Immunoprecipitation, Immunocytochemistry, Immunohistochemistry, Western Blot
Purity
Antigen-specific affinity chromatography followed by Protein A affinity chromatography
Pricing
Rabbit Anti-FSHB Polyclonal Antibody – Cat# AAA149680 – WB (Western Blot) WB (Western Blot) (Western Blot; Sample: Mouse Cerebellum lysatePrimary Ab: 1?g/ml Rabbit Anti-Human FSHb AntibodySecond Ab: 0.2ug/mL HRP-Linked Caprine Anti-Rabbit IgG Polyclonal Antibody)

Follicle Stimulating Hormone Beta (FSHb), Polyclonal Antibody (Cat# AAA149680)

No reviews yet
Full Name
Polyclonal Antibody to Follicle Stimulating Hormone Beta (FSHb)
Gene Names
TSHB; TSH-B; TSH-BETA
Reactivity
Human
Applications
Immunoprecipitation, Immunocytochemistry, Immunohistochemistry, Western Blot
Purity
Antigen-specific affinity chromatography followed by Protein A affinity chromatography
Pricing
Rabbit Anti-CA4 Polyclonal Antibody – Cat# AAA149682 – IHC (Immunohistochemisry) IHC (Immunohistochemisry) (DAB staining on fromalin fixed paraffin- embedded Kidney tissue)

Carbonic Anhydrase IV (CA4), Polyclonal Antibody (Cat# AAA149682)

No reviews yet
Full Name
Polyclonal Antibody to Carbonic Anhydrase IV (CA4)
Gene Names
CA4; CAIV; Car4; RP17
Reactivity
Rat, Human, Mouse, Pig
Applications
Immunoprecipitation, Immunocytochemistry, Immunohistochemistry, Western Blot
Purity
Antigen-specific affinity chromatography followed by Protein A affinity chromatography
Pricing
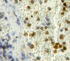
Rabbit Anti-RNASE2 Polyclonal Antibody – Cat# AAA149684 – IHC (Immunohiostchemistry) IHC (Immunohiostchemistry) (DAB staining on IHC-P; Samples: Rat Spleen Tissue; Primary Ab: 20ug/ml Rabbit Anti-Rat RNASE2 Antibody Second Ab: 2ug/mL HRP-Linked Caprine Anti-Rabbit IgG Polyclonal Antibody)

Ribonuclease A2 (RNASE2), Polyclonal Antibody (Cat# AAA149684)

No reviews yet
Full Name
Polyclonal Antibody to Ribonuclease A2 (RNASE2)
Reactivity
Rat
Applications
Immunoprecipitation, Immunocytochemistry, Immunohistochemistry, Western Blot
Purity
Antigen-specific affinity chromatography followed by Protein A affinity chromatography
Pricing
Rabbit Anti-SSA2 Polyclonal Antibody – Cat# AAA149686 – IHC (Immunohiostchemistry) IHC (Immunohiostchemistry) (DAB staining on fromalin fixed paraffin- embedded lung tissue)

Sjogren Syndrome Antigen A2 (SSA2), Polyclonal Antibody (Cat# AAA149686)

No reviews yet
Full Name
Polyclonal Antibody to Sjogren Syndrome Antigen A2 (SSA2)
Reactivity
Human, Mouse, Rat
Applications
Immunoprecipitation, Immunocytochemistry, Immunohistochemistry, Western Blot
Purity
Antigen-specific affinity chromatography followed by Protein A affinity chromatography
Pricing
Rabbit Anti-COX4I1 Polyclonal Antibody – Cat# AAA149689 – IHC (Immunohistochemistry) IHC (Immunohistochemistry) (DAB staining on IHC-P; Samples: Human Liver Tissue; Primary Ab: 20?g/ml Rabbit Anti-Human COX4I1 AntibodySecond Ab: 2ug/mL HRP-Linked Caprine Anti-Rabbit IgG Polyclonal Antibody)

Cytochrome C Oxidase Subunit IV Isoform 1 (COX4I1), Polyclonal Antibody (Cat# AAA149689)

No reviews yet
Full Name
Polyclonal Antibody to Cytochrome C Oxidase Subunit IV Isoform 1 (COX4I1)
Gene Names
COX4I1; COX4; COXIV; COX4-1
Reactivity
Human, Rat, Pig
Applications
Immunoprecipitation, Immunocytochemistry, Immunohistochemistry, Western Blot
Purity
Antigen-specific affinity chromatography followed by Protein A affinity chromatography
Pricing
Rabbit Anti-MAPK6 Polyclonal Antibody – Cat# AAA149691 – IHC (Immunohiostchemistry) IHC (Immunohiostchemistry) (DAB staining on IHC-P; Samples: Human Cardiac Muscle Tissue; Primary Ab: 20ug/ml Rabbit Anti-Human MAPK6 Antibody Second Ab: 2ug/mL HRP-Linked Caprine Anti-Rabbit IgG Polyclonal Antibody)

Mitogen Activated Protein Kinase 6 (MAPK6), Polyclonal Antibody (Cat# AAA149691)

No reviews yet
Full Name
Polyclonal Antibody to Mitogen Activated Protein Kinase 6 (MAPK6)
Gene Names
MAPK6; ERK3; PRKM6; p97MAPK; HsT17250
Reactivity
Human, Pig
Applications
Immunoprecipitation, Immunocytochemistry, Immunohistochemistry, Western Blot
Purity
Antigen-specific affinity chromatography followed by Protein A affinity chromatography
Pricing
Rabbit Anti-PTPN2 Polyclonal Antibody – Cat# AAA149693 – IHC (Immunohiostchemistry) IHC (Immunohiostchemistry) (DAB staining on fromalin fixed paraffin- embedded testis tissue)

Protein Tyrosine Phosphatase, Non Receptor Type 2 (PTPN2), Polyclonal Antibody (Cat# AAA149693)

No reviews yet
Full Name
Polyclonal Antibody to Protein Tyrosine Phosphatase, Non Receptor Type 2 (PTPN2)
Reactivity
Mouse, Human, Rat
Applications
Immunoprecipitation, Immunocytochemistry, Immunohistochemistry, Western Blot
Purity
Antigen-specific affinity chromatography followed by Protein A affinity chromatography
Pricing
Rabbit Anti-GLVR1 Polyclonal Antibody – Cat# AAA149727 – IHC (Immunohiostchemistry) IHC (Immunohiostchemistry) (DAB staining on fromalin fixed paraffin- embedded stomach tissue)

Gibbon Ape Leukemia Virus Receptor 1 (GLVR1), Polyclonal Antibody (Cat# AAA149727)

No reviews yet
Full Name
Polyclonal Antibody to Gibbon Ape Leukemia Virus Receptor 1 (GLVR1)
Gene Names
SLC20A1; PIT1; GLVR1; PiT-1; Glvr-1
Reactivity
Human, Mouse, Rat
Applications
Immunoprecipitation, Immunocytochemistry, Immunohistochemistry, Western Blot
Purity
Antigen-specific affinity chromatography followed by Protein A affinity chromatography
Pricing
Rabbit Anti-Bcl7A Polyclonal Antibody – Cat# AAA149729 – WB (Western Blot) WB (Western Blot) (Western Blot; Sample: Recombinant Bcl7A, Human.)

B-Cell CLL/Lymphoma 7A (Bcl7A), Polyclonal Antibody (Cat# AAA149729)

No reviews yet
Full Name
Polyclonal Antibody to B-Cell CLL/Lymphoma 7A (Bcl7A)
Gene Names
BCL7A; BCL7
Reactivity
Human
Applications
Immunoprecipitation, Immunocytochemistry, Immunohistochemistry, Western Blot
Purity
Antigen-specific affinity chromatography followed by Protein A affinity chromatography
Pricing
Rabbit Anti-RIPK3 Polyclonal Antibody – Cat# AAA149737 – IHC (Immunohistochemisry) IHC (Immunohistochemisry) (DAB staining on IHC-P;Samples: Human Kidney Tissue;Primary Ab: 30ug/ml Rabbit Anti-Human RIPK3 AntibodySecond Ab: 2ug/mL HRP-Linked Caprine Anti-Rabbit IgG Polyclonal Antibody)

Receptor Interacting Serine Threonine Kinase 3 (RIPK3), Polyclonal Antibody (Cat# AAA149737)

No reviews yet
Full Name
Polyclonal Antibody to Receptor Interacting Serine Threonine Kinase 3 (RIPK3)
Gene Names
RIPK3; RIP3
Applications
Immunohistochemistry, Western Blot
Purity
Antigen-specific affinity chromatography followed by Protein A affinity chromatography
Pricing
Rabbit Anti-MCM3 Polyclonal Antibody – Cat# AAA149738 – IHC (Immunohiostchemistry) IHC (Immunohiostchemistry) (DAB staining on IHC-P; Samples: Human Lymph node Tissue; Primary Ab: 20?g/ml Rabbit Anti-Human MCM3 Antibody Second Ab: 2ug/mL HRP-Linked Caprine Anti-Rabbit IgG Polyclonal Antibody)

Minichromosome Maintenance Deficient 3 (MCM3), Polyclonal Antibody (Cat# AAA149738)

No reviews yet
Full Name
Polyclonal Antibody to Minichromosome Maintenance Deficient 3 (MCM3)
Gene Names
MCM3; HCC5; P1.h; RLFB; P1-MCM3
Reactivity
Human, Mouse, Rat, Pig
Applications
Immunoprecipitation, Immunocytochemistry, Immunohistochemistry, Western Blot
Purity
Antigen-specific affinity chromatography followed by Protein A affinity chromatography
Pricing
Rabbit Anti-WARS2 Polyclonal Antibody – Cat# AAA149742 – IHC (Immunohiostchemistry) IHC (Immunohiostchemistry) (DAB staining on fromalin fixed paraffin- embedded kidney tissue)

Tryptophanyl tRNA Synthetase 2 (WARS2), Polyclonal Antibody (Cat# AAA149742)

No reviews yet
Full Name
Polyclonal Antibody to Tryptophanyl tRNA Synthetase 2, Mitochondrial (WARS2)
Reactivity
Human, Mouse
Applications
Immunoprecipitation, Immunocytochemistry, Immunohistochemistry, Western Blot
Purity
Antigen-specific affinity chromatography followed by Protein A affinity chromatography
Pricing
Rabbit Anti-HDAC11 Polyclonal Antibody – Cat# AAA149744 – WB (Western Blot) WB (Western Blot) (Western Blot; Sample: Lane1: Mouse Cerebrum lysate; Lane2: MCF7 cell lysatePrimary Ab: 1ug/ml Rabbit Anti-Mouse HDAC11 AntibodySecond Ab: 0.2ug/mL HRP-Linked Caprine Anti-Rabbit IgG Polyclonal Antibody)

Histone Deacetylase 11 (HDAC11), Polyclonal Antibody (Cat# AAA149744)

No reviews yet
Full Name
Polyclonal Antibody to Histone Deacetylase 11 (HDAC11)
Reactivity
Mouse
Applications
Immunoprecipitation, Immunocytochemistry, Immunohistochemistry, Western Blot
Purity
Antigen-specific affinity chromatography followed by Protein A affinity chromatography
Pricing
Rabbit Anti-EIF4A1 Polyclonal Antibody – Cat# AAA149747 – IHC (Immunohiostchemistry) IHC (Immunohiostchemistry) (DAB staining on fromalin fixed paraffin- embedded liver tissue)

Eukaryotic Translation Initiation Factor 4A1 (EIF4A1), Polyclonal Antibody (Cat# AAA149747)

No reviews yet
Full Name
Polyclonal Antibody to Eukaryotic Translation Initiation Factor 4A1 (EIF4A1)
Gene Names
EIF4A1; DDX2A; EIF4A; EIF-4A; eIF4A-I; eIF-4A-I
Reactivity
Human, Mouse, Rat
Applications
Immunoprecipitation, Immunocytochemistry, Immunohistochemistry, Western Blot
Purity
Antigen-specific affinity chromatography followed by Protein A affinity chromatography
Pricing
Rabbit Anti-EEF1D Polyclonal Antibody – Cat# AAA149750 – IHC (Immunohiostchemistry) IHC (Immunohiostchemistry) (DAB staining on fromalin fixed paraffin- embedded brain tissue)

Eukaryotic Translation Elongation Factor 1 Delta (EEF1d), Polyclonal Antibody (Cat# AAA149750)

No reviews yet
Full Name
Polyclonal Antibody to Eukaryotic Translation Elongation Factor 1 Delta (EEF1d)
Gene Names
eEF1delta; CG4912; DmelCG4912; eEF1d; eEf1delta
Reactivity
Human
Applications
Immunoprecipitation, Immunocytochemistry, Immunohistochemistry, Western Blot
Purity
Antigen-specific affinity chromatography followed by Protein A affinity chromatography
Pricing
Rabbit Anti-BAG5 Polyclonal Antibody – Cat# AAA149752 – IHC (Immunohiostchemistry) IHC (Immunohiostchemistry) (DAB staining on fromalin fixed paraffin- embedded kidney tissue)

Bcl2 Associated Athanogene 5 (BAG5), Polyclonal Antibody (Cat# AAA149752)

No reviews yet
Full Name
Polyclonal Antibody to Bcl2 Associated Athanogene 5 (BAG5)
Reactivity
Rat, Human, Mouse
Applications
Immunoprecipitation, Immunocytochemistry, Immunohistochemistry, Western Blot
Purity
Antigen-specific affinity chromatography followed by Protein A affinity chromatography
Pricing

Hyaluronan Synthase 2 (HAS2), Polyclonal Antibody (Cat# AAA149756)

No reviews yet
Full Name
Polyclonal Antibody to Hyaluronan Synthase 2 (HAS2)
Reactivity
Human
Applications
Immunoprecipitation, Immunocytochemistry, Immunohistochemistry, Western Blot
Purity
Antigen-specific affinity chromatography followed by Protein A affinity chromatography
Pricing
Rabbit Anti-PRDX2 Polyclonal Antibody – Cat# AAA149758 – WB (Western Blot) WB (Western Blot) (Western Blot; Sample: Lane1: Mouse Kidney lysate; Lane2: Mouse Colon lysate; Lane3: Mouse Lung lysate; Lane4: Rat Spinal cord lysatePrimary Ab: 1?g/ml Rabbit Anti-Human PRDX2 AntibodySecond Ab: 0.2ug/mL HRP-Linked Caprine Anti-Rabbit IgG Polyclonal Antibody)

Peroxiredoxin 2 (PRDX2), Polyclonal Antibody (Cat# AAA149758)

No reviews yet
Full Name
Polyclonal Antibody to Peroxiredoxin 2 (PRDX2)
Gene Names
PRDX2; PRP; TSA; PRX2; PTX1; TPX1; NKEFB; PRXII; TDPX1; NKEF-B
Reactivity
Human, Mouse, Rat
Applications
Immunoprecipitation, Immunocytochemistry, Immunohistochemistry, Western Blot
Purity
Antigen-specific affinity chromatography followed by Protein A affinity chromatography
Pricing
Rabbit Anti-CALB Polyclonal Antibody – Cat# AAA149762 – IHC (Immunohiostchemistry) IHC (Immunohiostchemistry) (DAB staining on IHC-P; Samples: Human Cerebellum Tissue; Primary Ab: 20ug/ml Rabbit Anti-Human CALB Antibody Second Ab: 2ug/mL HRP-Linked Caprine Anti-Rabbit IgG Polyclonal Antibody)

Calbindin (CALB), Polyclonal Antibody (Cat# AAA149762)

No reviews yet
Full Name
Polyclonal Antibody to Calbindin (CALB)
Gene Names
CALB1; CALB
Reactivity
Human, Mouse, Pig
Applications
Immunoprecipitation, Immunocytochemistry, Immunohistochemistry, Western Blot
Purity
Antigen-specific affinity chromatography followed by Protein A affinity chromatography
Pricing
Rabbit Anti-TAN1 Polyclonal Antibody – Cat# AAA149764 – IHC (Immunohistochemisry) IHC (Immunohistochemisry) (DAB staining on IHC-P; Samples: Mouse Kidney Tissue; Primary Ab: 10ug/ml Rabbit Anti-Mouse TAN1 AntibodySecond Ab: 2ug/mL HRP-Linked Caprine Anti-Rabbit IgG Polyclonal Antibody)

Translocation Associated Notch Homolog 1 (TAN1), Polyclonal Antibody (Cat# AAA149764)

No reviews yet
Full Name
Polyclonal Antibody to Translocation Associated Notch Homolog 1 (TAN1)
Reactivity
Mouse
Applications
Immunoprecipitation, Immunocytochemistry, Immunohistochemistry, Western Blot
Purity
Antigen-specific affinity chromatography followed by Protein A affinity chromatography
Pricing
Rabbit Anti-DAO Polyclonal Antibody – Cat# AAA149768 – IHC (Immunohistochemisry) IHC (Immunohistochemisry) (DAB staining on IHC-P; Samples: Human Liver Tissue; Primary Ab: 10ug/ml Rabbit Anti-Human DAO AntibodySecond Ab: 2ug/mL HRP-Linked Caprine Anti-Rabbit IgG Polyclonal Antibody)

D-Amino Acid Oxidase (DAO), Polyclonal Antibody (Cat# AAA149768)

No reviews yet
Full Name
Polyclonal Antibody to D-Amino Acid Oxidase (DAO)
Gene Names
DAO; DAAO; OXDA; DAMOX
Reactivity
Human, Mouse, Pig
Applications
Immunoprecipitation, Immunocytochemistry, Immunohistochemistry, Western Blot
Purity
Antigen-specific affinity chromatography followed by Protein A affinity chromatography
Pricing
Rabbit Anti-NODAL Polyclonal Antibody – Cat# AAA149769 – IHC (Immunohiostchemistry) IHC (Immunohiostchemistry) (DAB staining on IHC-P; Samples: Human Placenta Tissue; Primary Ab: 30ug/ml Rabbit Anti-Human NODAL Antibody Second Ab: 2ug/mL HRP-Linked Caprine Anti-Rabbit IgG Polyclonal Antibody)

Nodal Homolog (NODAL), Polyclonal Antibody (Cat# AAA149769)

No reviews yet
Full Name
Polyclonal Antibody to Nodal Homolog (NODAL)
Gene Names
NODAL; HTX5
Reactivity
Human
Applications
Immunoprecipitation, Immunocytochemistry, Immunohistochemistry, Western Blot
Purity
Antigen-specific affinity chromatography followed by Protein A affinity chromatography
Pricing

Jasmonic Acid (JA), Polyclonal Antibody (Cat# AAA149774)

No reviews yet
Full Name
Polyclonal Antibody to Jasmonic Acid (JA)
Reactivity
General
Applications
Chromatin immunoprecipitation, Immunohistochemistry, Chemiluminescence Immunoassay, Immunoprecipitation, Immunocytochemistry, Chemiluminescence Immunoassay
Purity
Antigen-specific affinity chromatography followed by Protein A affinity chromatography
Pricing
Rabbit Anti-COPS6 Polyclonal Antibody – Cat# AAA149776 – IHC (Immunohiostchemistry) IHC (Immunohiostchemistry) (DAB staining on fromalin fixed paraffin- embedded stomach tissue)

COP9 Constitutive Photomorphogenic Homolog Subunit 6 (COPS6), Polyclonal Antibody (Cat# AAA149776)

No reviews yet
Full Name
Polyclonal Antibody to COP9 Constitutive Photomorphogenic Homolog Subunit 6 (COPS6)
Gene Names
COPS6; CSN6; MOV34-34KD
Reactivity
Human, Mouse, Rat
Applications
Immunoprecipitation, Immunocytochemistry, Immunohistochemistry, Western Blot
Purity
Antigen-specific affinity chromatography followed by Protein A affinity chromatography
Pricing

Pregnenolone (PGN), Polyclonal Antibody (Cat# AAA149778)

No reviews yet
Full Name
Polyclonal Antibody to Pregnenolone (PGN)
Reactivity
General
Applications
Immunoprecipitation, Immunocytochemistry, Immunohistochemistry, Western Blot
Purity
Antigen-specific affinity chromatography followed by Protein A affinity chromatography
Pricing

Neutrophil Elastase (NE), Polyclonal Antibody (Cat# AAA149789)

No reviews yet
Full Name
Biotin-Linked Polyclonal Antibody to Neutrophil Elastase (NE)
Gene Names
Elane; NE; Ela2; F430011M15Rik
Reactivity
Mouse, Rat
Applications
Immunoprecipitation, Immunocytochemistry, Immunohistochemistry, Western Blot
Purity
Antigen-specific affinity chromatography followed by Protein A affinity chromatography
Pricing

Transforming Growth Factor Beta 2 (TGFb2), Polyclonal Antibody (Cat# AAA149790)

No reviews yet
Full Name
Biotin-Linked Polyclonal Antibody to Transforming Growth Factor Beta 2 (TGFb2)
Gene Names
TGFB2; TGF-beta-2
Reactivity
Chicken
Applications
Immunocytochemistry, Immunohistochemistry, Western Blot
Purity
Antigen-specific Affinity Chromatography.
Pricing

Beta-Crosslaps (bCTx), Polyclonal Antibody (Cat# AAA149791)

No reviews yet
Full Name
Biotin-Linked Polyclonal Antibody to Beta-Crosslaps (bCTx)
Reactivity
Human
Applications
Immunofluorescence, Immunocytochemistry, Immunohistochemistry, Western Blot
Purity
Antigen-specific Affinity Chromatography.
Pricing

Alkaline Phosphatase, Tissue-nonspecific (ALPL), Polyclonal Antibody (Cat# AAA149792)

No reviews yet
Full Name
Biotin-Linked Polyclonal Antibody to Alkaline Phosphatase, Tissue-nonspecific (ALPL)
Reactivity
Rat
Applications
Immunofluorescence, Immunohistochemistry, Immunohistochemistry, Immunocytochemistry, Western Blot
Purity
Antigen-specific Affinity Chromatography.
Pricing

Chemokine C-C-Motif Ligand 1 (CCL1), Polyclonal Antibody (Cat# AAA149793)

No reviews yet
Full Name
Biotin-Linked Polyclonal Antibody to Chemokine C-C-Motif Ligand 1 (CCL1)
Gene Names
Ccl1; I-309; Scya1; Tca-3; BF534335
Applications
Immunofluorescence, Immunocytochemistry, Immunohistochemistry, Western Blot
Purity
Antigen-specific Affinity Chromatography
Pricing

Claudin 5 (CLDN5), Polyclonal Antibody (Cat# AAA149797)

No reviews yet
Full Name
Biotin-Linked Polyclonal Antibody to Claudin 5 (CLDN5)
Gene Names
CLDN5; AWAL; BEC1; TMVCF; CPETRL1
Reactivity
Human
Applications
Immunoprecipitation, Immunocytochemistry, Immunohistochemistry, Western Blot
Purity
Antigen-specific affinity chromatography followed by Protein A affinity chromatography
Rabbit Anti-PTPN3 Polyclonal Antibody – Cat# AAA149694 – IHC (Immunohiostchemistry) IHC (Immunohiostchemistry) (DAB staining on fromalin fixed paraffin- embedded intestine tissue)

Protein Tyrosine Phosphatase, Non Receptor Type 3 (PTPN3), Polyclonal Antibody (Cat# AAA149694)

No reviews yet
Full Name
Polyclonal Antibody to Protein Tyrosine Phosphatase, Non Receptor Type 3 (PTPN3)
Gene Names
PTPN3; PTPH1; PTP-H1
Reactivity
Mouse, Human, Rat
Applications
Immunoprecipitation, Immunocytochemistry, Immunohistochemistry, Western Blot
Purity
Antigen-specific affinity chromatography followed by Protein A affinity chromatography
Pricing
Rabbit Anti-COASY Polyclonal Antibody – Cat# AAA149697 – IHC (Immunohiostchemistry) IHC (Immunohiostchemistry) (DAB staining on fromalin fixed paraffin- embedded intestine tissue)

Coenzyme A Synthase (COASY), Polyclonal Antibody (Cat# AAA149697)

No reviews yet
Full Name
Polyclonal Antibody to Coenzyme A Synthase (COASY)
Gene Names
COASY; NBP; DPCK; PPAT; UKR1; NBIA6; PCH12; pOV-2
Reactivity
Mouse, Human, Rat
Applications
Immunoprecipitation, Immunocytochemistry, Immunohistochemistry, Western Blot
Purity
Antigen-specific affinity chromatography followed by Protein A affinity chromatography
Pricing
Rabbit Anti-PCCB Polyclonal Antibody – Cat# AAA149699 – IHC (Immunohiostchemistry) IHC (Immunohiostchemistry) (DAB staining on fromalin fixed paraffin- embedded kidney tissue)

Propionyl Coenzyme A Carboxylase Beta (PCCb), Polyclonal Antibody (Cat# AAA149699)

No reviews yet
Full Name
Polyclonal Antibody to Propionyl Coenzyme A Carboxylase Beta (PCCb)
Reactivity
Mouse, Human, Rat
Applications
Immunoprecipitation, Immunocytochemistry, Immunohistochemistry, Western Blot
Purity
Antigen-specific affinity chromatography followed by Protein A affinity chromatography
Pricing
Rabbit Anti-RUNX1 Polyclonal Antibody – Cat# AAA149700 – IHC (Immunohistochemisry) IHC (Immunohistochemisry) (DAB staining on fromalin fixed paraffin- embedded stomach tissue)

Runt Related Transcription Factor 1 (RUNX1), Polyclonal Antibody (Cat# AAA149700)

No reviews yet
Full Name
Polyclonal Antibody to Runt Related Transcription Factor 1 (RUNX1)
Gene Names
RUNX1; AML1; CBFA2; EVI-1; AMLCR1; PEBP2aB; AML1-EVI-1
Reactivity
Human, Mouse, Rat
Applications
Immunoprecipitation, Immunocytochemistry, Immunohistochemistry, Western Blot
Purity
Antigen-specific affinity chromatography followed by Protein A affinity chromatography
Pricing
Rabbit Anti-NR0B1 Polyclonal Antibody – Cat# AAA149711 – IHC (Immunohistochemisry) IHC (Immunohistochemisry) (DAB staining on IHC-P; Samples: Mouse Testis Tissue; Primary Ab: 10?g/ml Rabbit Anti-Mouse NR0B1 Antibody Second Ab: 2ug/mL HRP-Linked Caprine Anti-Rabbit IgG Polyclonal Antibody)

Nuclear Receptor Subfamily 0, Group B, Member 1 (NR0B1), Polyclonal Antibody (Cat# AAA149711)

No reviews yet
Full Name
Polyclonal Antibody to Nuclear Receptor Subfamily 0, Group B, Member 1 (NR0B1)
Gene Names
NR0B1; AHC; AHX; DSS; GTD; HHG; AHCH; DAX1; DAX-1; NROB1; SRXY2
Reactivity
Mouse, Rat
Applications
Immunoprecipitation, Immunocytochemistry, Immunohistochemistry, Western Blot
Purity
Antigen-specific affinity chromatography followed by Protein A affinity chromatography
Pricing
Rabbit Anti-ELOB Polyclonal Antibody – Cat# AAA149712 – IHC (Immunohiostchemistry) IHC (Immunohiostchemistry) (DAB staining on fromalin fixed paraffin- embedded kidney tissue)

Elongin B (ELOB), Polyclonal Antibody (Cat# AAA149712)

No reviews yet
Full Name
Polyclonal Antibody to Elongin B (ELOB)
Gene Names
ELOB; SIII; TCEB2
Reactivity
Human, Mouse, Rat
Applications
Immunoprecipitation, Immunocytochemistry, Immunohistochemistry, Western Blot
Purity
Antigen-specific affinity chromatography followed by Protein A affinity chromatography
Pricing
Rabbit Anti-CALY Polyclonal Antibody – Cat# AAA149715 – IHC (Immunohistochemisry) IHC (Immunohistochemisry) (DAB staining on fromalin fixed paraffin- embedded stomach tissue)

Calcyon Neuron Specific Vesicular Protein (CALY), Polyclonal Antibody (Cat# AAA149715)

No reviews yet
Full Name
Polyclonal Antibody to Calcyon Neuron Specific Vesicular Protein (CALY)
Gene Names
CALY; NSG3; DRD1IP
Reactivity
Human, Mouse, Rat
Applications
Immunoprecipitation, Immunocytochemistry, Immunohistochemistry, Western Blot
Purity
Antigen-specific affinity chromatography followed by Protein A affinity chromatography
Pricing
Rabbit Anti-CALY Polyclonal Antibody – Cat# AAA149716 – IHC (Immunohiostchemistry) IHC (Immunohiostchemistry) (DAB staining on IHC-P; Samples: Mouse Cerebrum Tissue; Primary Ab: 10?g/ml Rabbit Anti-Mouse CALY Antibody Second Ab: 2ug/mL HRP-Linked Caprine Anti-Rabbit IgG Polyclonal Antibody)

Calcyon Neuron Specific Vesicular Protein (CALY), Polyclonal Antibody (Cat# AAA149716)

No reviews yet
Full Name
Polyclonal Antibody to Calcyon Neuron Specific Vesicular Protein (CALY)
Reactivity
Mouse, Rat
Applications
Immunoprecipitation, Immunocytochemistry, Immunohistochemistry, Western Blot
Purity
Antigen-specific affinity chromatography followed by Protein A affinity chromatography
Pricing
Rabbit Anti-CTSO Polyclonal Antibody – Cat# AAA149718 – IHC (Immunohiostchemistry) IHC (Immunohiostchemistry) (DAB staining on IHC-P; Samples: Human Stomach Tissue; Primary Ab: 20?g/ml Rabbit Anti-Human CTSO Antibody Second Ab: 2ug/mL HRP-Linked Caprine Anti-Rabbit IgG Polyclonal Antibody)

Cathepsin O (CTSO), Polyclonal Antibody (Cat# AAA149718)

No reviews yet
Full Name
Polyclonal Antibody to Cathepsin O (CTSO)
Gene Names
CTSO; CTSO1
Reactivity
Human, Rat, Pig
Applications
Immunoprecipitation, Immunocytochemistry, Immunohistochemistry, Western Blot
Purity
Antigen-specific affinity chromatography followed by Protein A affinity chromatography
Pricing
Rabbit Anti-GPX6 Polyclonal Antibody – Cat# AAA149719 – IHC (Immunohistochemisry) IHC (Immunohistochemisry) (DAB staining on fromalin fixed paraffin- embedded kidney tissue)

Glutathione Peroxidase 6 (GPX6), Polyclonal Antibody (Cat# AAA149719)

No reviews yet
Full Name
Polyclonal Antibody to Glutathione Peroxidase 6, Olfactory (GPX6)
Gene Names
GPX6; ATGPX6; glutathione peroxidase 6; LSC803; PHGPX; T5C23.30; T5C23_30
Reactivity
Rat
Applications
Immunoprecipitation, Immunocytochemistry, Immunohistochemistry, Western Blot
Purity
Antigen-specific affinity chromatography followed by Protein A affinity chromatography
Pricing
Rabbit Anti-CREB5 Polyclonal Antibody – Cat# AAA149720 – IHC (Immunohiostchemistry) IHC (Immunohiostchemistry) (DAB staining on fromalin fixed paraffin- embedded brain tissue)

Cyclic AMP Response Element Binding Protein 5 (CREB5), Polyclonal Antibody (Cat# AAA149720)

No reviews yet
Full Name
Polyclonal Antibody to Cyclic AMP Response Element Binding Protein 5 (CREB5)
Reactivity
Human, Mouse, Rat
Applications
Immunoprecipitation, Immunocytochemistry, Immunohistochemistry, Western Blot
Purity
Antigen-specific affinity chromatography followed by Protein A affinity chromatography
Pricing
Rabbit Anti-CRTC1 Polyclonal Antibody – Cat# AAA149721 – IHC (Immunohistochemisry) IHC (Immunohistochemisry) (DAB staining on fromalin fixed paraffin- embedded brain tissue)

CREB Regulated Transcription Coactivator 1 (CRTC1), Polyclonal Antibody (Cat# AAA149721)

No reviews yet
Full Name
Polyclonal Antibody to CREB Regulated Transcription Coactivator 1 (CRTC1)
Gene Names
CRTC1; MAML2; MECT1; Mam-2; TORC1; TORC-1; WAMTP1
Reactivity
Human, Mouse, Rat
Applications
Immunoprecipitation, Immunocytochemistry, Immunohistochemistry, Western Blot
Purity
Antigen-specific affinity chromatography followed by Protein A affinity chromatography
Pricing
Rabbit Anti-H3 Polyclonal Antibody – Cat# AAA151133 – IHC (Immunohistochemisry) IHC (Immunohistochemisry) (DAB staining on IHC-P;Samples: Mouse Liver Tissue;Primary Ab: 20ug/ml Rabbit Anti-Mouse H3 AntibodySecond Ab: 2ug/mL HRP-Linked Caprine Anti-Rabbit IgG Polyclonal Antibody)

Histone H3 (H3), Polyclonal Antibody (Cat# AAA151133)

No reviews yet
Full Name
Polyclonal Antibody to Histone H3 (H3)
Reactivity
Human, Mouse
Applications
Immunoprecipitation, Immunocytochemistry, Immunohistochemistry, Western Blot
Purity
Affinity Chromatography
Pricing

What are Polyclonal Antibodies?


Polyclonal antibodies are antibodies that come from multiple B cell clones of a host animal. The typical hosts used for the majority of polyclonal antibody production are rabbits, goats, sheep, and donkeys. These polyclonal antibodies, once having identified their target, will bind to different epitopes located at different regions or sequences on the same protein/antigen. This ability to bind multiple epitopes is what makes polyclonal antibodies highly sensitive, as explained in our detailed guide on polyclonal antibodies and why they matter.


As a result, they are ideal at locating and binding to the target, even if the target is in very low concentrations (due to many different antibodies being able to bind to the same target molecule, which allows for significant amplification of a downstream signal).


Polyclonal antibodies are typically produced by injecting an antigen into a host animal, which causes the animal’s immune system to attack the foreign antigen by mass generating antibodies against it. After a period of time, serum is collected from the animal and purified using physicochemical fractionation, class-specific affinity purification, and/or antigen-affinity purification.


Key Uses of Polyclonal Antibodies


  • Western Blotting: This method is used to find specific proteins in biological samples after separating them by size.

  • Immunohistochemistry: IHC helps visualize the location of proteins in tissue sections using various staining techniques.

  • ELISA: (Enzyme-Linked Immunosorbent Assay) is typically used to identify specific protein quantities in a sample. ELISAs can be either “Quantitative” or “Qualitative”.

  • Flow Cytometry: technique that identifies and measures the specific protein on the surface or inside the cells in a fluid suspension.

  • Immunoprecipitation: IP isolates and studies a specific protein from a complex mixture using antibodies.


Why Buy Polyclonal Antibodies from AAA Biotech?


1. Ideal for Various Applications


Our antibodies are generally going to be validated for use in multiple types of assays, including ELISA, Western Blotting, Immunohistochemistry, Immunoprecipitation, amongst others. They are ideal for a wide range of research applications.


2. Rigorous Quality Control


All of the antibodies in our catalog undergo strict quality testing to ensure specificity, sensitivity, and consistent performance. We are confident in the ability of our antibodies to provide you with accurate results.


3. Wide Assortment of Antibodies


Antibodies in our catalog can be found for both common and exotic species, and these antibodies are also available in both conjugated and recombinant forms to suit many diverse experimental needs.


4. Highly Purified


Our antibodies are available in purified forms with over 85% purity, as confirmed by SDS-PAGE. They are also available with tags such as His, Flag, GST, or MBP. We cater to customers worldwide.


FAQ


1. How are polyclonal antibodies produced?


Traditionally, polyclonal antibodies are produced by injecting an antigen into a host animal (such as a rabbit or goat), which then triggers an immune response from the host animal. The animal’s B cells produce antibodies that will recognize different parts of the injected antigen. These antibodies are then collected from the animal’s blood and purified for use.


2. How do polyclonal antibodies differ from monoclonal antibodies?


Polyclonal antibodies are a mix of antibodies that bind to different locations (epitopes) of the same antigen, while monoclonal antibodies are identical and bind to just one specific epitope. This makes polyclonal antibodies more versatile and better at detecting proteins that may be present in low quantities or in altered/modified forms.


3. How should I store polyclonal antibodies?


Polyclonal antibodies should be stored at 4°C for short-term use (up to a few weeks) and at -20°C or -80°C for long-term storage. Avoid repeated freeze-thaw cycles by dividing them into small aliquots. Always check the datasheet for specific storage instructions.


Submit a Question

Please complete the form below and a representative will contact you as soon as possible.

Request more Information

Please complete the form below and a representative will contact you as soon as possible.

Request a Manual

Please complete the form below and a representative will contact you as soon as possible.

Request a Quote

Please complete the form below and a representative will contact you as soon as possible.