Loading...

Skip to main content
Call us at +1-800-604-9114 for more information about our products or contact us online Need help? +1-800-604-9114 or contact us

Filters


Clonality

Type

Reactivity

Gene Name

Isotype

Host

Application

Clone

Polyclonal Antibodies

At AAA Biotech also known as AAA Bio or AAABio, we provide a broad range of purified polyclonal antibodies (pAbs) that are able to all be browsed online through our website. Due to their high specificity and strong binding affinity, these antibodies are ideal for wide swathes of research and experimental applications.


Our polyclonal antibodies can easily support your work, whether you use them for Western Blotting, Immunocytochemistry (with or without Immunofluorescence used in conjunction), Immunohistochemistry, Immunoprecipitation, and ELISA tests. We highly encourage you to browse our range of pAbs and choose the one that best suits your experimental model.


Viewing 9650-9700 of 10000 product results


product-image-AAA321588_IF11.jpg IF (Immunofluorescence) (AAA321588 staining 293 by IF/ICC. The sample were fixed with PFA and permeabilized in 0.1% Triton X-100, then blocked in 10% serum for 45 minutes at 25 degree C. The primary antibody was diluted at 1/200 and incubated with the sample for 1 hour at 37 degree C. An Alexa Fluor 594 conjugated goat anti-rabbit IgG (H+L) Ab, diluted at 1/600, was used as the secondary antibody.)

Akt, Polyclonal Antibody (Cat# AAA321588)

Full Name
Phospho-Akt (Ser129) Antibody
Gene Names
AKT1; AKT; PKB; RAC; CWS6; PRKBA; PKB-ALPHA; RAC-ALPHA
Reactivity
Human, Mouse, Rat
Applications
Immunocytochemistry, Immunofluorescence, Western Blot
Purity
From purified rabbit serum by affinity purification via sequential chromatography on phospho-and non-phospho-peptide affinity columns.
Pricing
product-image-AAA321592_WB10.jpg WB (Western Blot) (Western blot analysis of VE-Cadherin phosphorylation expression in Na3VO4 treated HepG2 whole cell lysates, The lane on the left is treated with the antigen-specific peptide.)

VE-Cadherin, Polyclonal Antibody (Cat# AAA321592)

Full Name
Phospho-VE-Cadherin (Tyr731) Antibody
Gene Names
CDH5; 7B4; CD144
Reactivity
Human, Mouse
Applications
Immunohistochemistry, Western Blot
Purity
From purified rabbit serum by affinity purification via sequential chromatography on phospho-and non-phospho-peptide affinity columns.
Pricing
product-image-AAA321593_WB10.jpg WB (Western Blot) (Western blot analysis of extracts of various tissue sample, using Phospho-Catenin-beta (Ser37) Antibody.)

Catenin-beta, Polyclonal Antibody (Cat# AAA321593)

Full Name
Phospho-Catenin-beta (Ser37) Antibody
Gene Names
CTNNB1; EVR7; CTNNB; MRD19; armadillo
Reactivity
Human, Mouse, Rat
Applications
Immunocytochemistry, Immunofluorescence, Immunohistochemistry, Western Blot
Purity
From purified rabbit serum by affinity purification via sequential chromatography on phospho-and non-phospho-peptide affinity columns.
Pricing
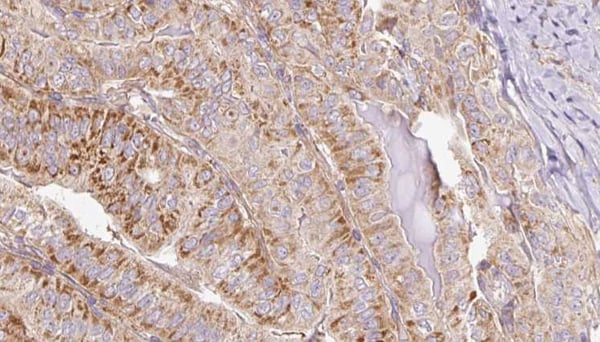
product-image-AAA321600_IHC8.jpg IHC (Immunohistochemistry) (AAA321600 at 1/100 staining human Breast carcinoma tissue sections by IHC-P. The tissue was formaldehyde fixed and a heat mediated antigen retrieval step in citrate buffer was performed. The tissue was then blocked and incubated with the antibody for 1.5 hours at 22 degree C. An HRP conjugated goat anti-rabbit antibody was used as the secondary.)

CHOP, Polyclonal Antibody (Cat# AAA321600)

Full Name
Phospho-CHOP (Ser30) Antibody
Gene Names
DDIT3; CHOP; CEBPZ; CHOP10; CHOP-10; GADD153; AltDDIT3; C/EBPzeta
Reactivity
Human, Mouse, Rat
Applications
Immunocytochemistry, Immunofluorescence, Immunohistochemistry, Western Blot
Purity
From purified rabbit serum by affinity purification via sequential chromatography on phospho-and non-phospho-peptide affinity columns.
Pricing
product-image-AAA321612_IF8.jpg IF (Immunofluorescence) (AAA321612 staining HepG2 cells(4h of LPS treatment) by IF/ICC. The samples were fixed with PFA and permeabilized in 0.1% Triton X-100,then blocked in 10% serum for 45 minutes at 25°C. Samples were then incubated with primary Ab(AAA321612 1:200) and mouse anti-beta tubulin Ab for 1 hour at 37°C. An AlexaFluor594 conjugated goat anti-rabbit IgG(H+L) Ab(Red)and an AlexaFluor488 conjugated goat anti-mouse IgG(H+L) Ab(Green) were used as the secondary Ab.The nuclear counter stain is DAPI(blue).)

p21 Cip1, Polyclonal Antibody (Cat# AAA321612)

Full Name
Phospho-p21 Cip1 (Thr145) Antibody
Gene Names
CDKN1A; P21; CIP1; SDI1; WAF1; CAP20; CDKN1; MDA-6; p21CIP1
Reactivity
Human, Mouse, Rat
Applications
Immunocytochemistry, Immunofluorescence, Immunohistochemistry, Western Blot
Purity
Peptide affinity purification
Pricing
product-image-AAA321613_WB11.jpg WB (Western Blot) (Western blot analysis of STAT3 phosphorylation expression in HeLa whole cell lysates, The lane on the left is treated with the antigen-specific peptide.)

STAT3, Polyclonal Antibody (Cat# AAA321613)

Full Name
Phospho-STAT3 (Tyr705) Antibody
Gene Names
STAT3; APRF; HIES; ADMIO; ADMIO1
Reactivity
Human, Mouse, Rat
Applications
Immunoprecipitation, Immunocytochemistry, Immunofluorescence, Immunohistochemistry, Western Blot
Purity
From purified rabbit serum by affinity purification via sequential chromatography on phospho-and non-phospho-peptide affinity columns.
Pricing
product-image-AAA321618_IHC11.jpg IHC (Immunohistochemisry) (AAA321618 at 1/100 staining human liver tissue sections by IHC-P. The tissue was formaldehyde fixed and a heat mediated antigen retrieval step in citrate buffer was performed. The tissue was then blocked and incubated with the antibody for 1.5 hours at 22°C. An HRP conjugated goat anti-rabbit antibody was used as the secondary.)

STAT5A, Polyclonal Antibody (Cat# AAA321618)

Full Name
Phospho-STAT5A (Tyr694) Antibody
Gene Names
STAT5A; MGF; STAT5
Reactivity
Human, Mouse, Rat
Applications
Immunofluorescence, Immunohistochemistry, Western Blot
Purity
Peptide affinity purification.
Pricing
product-image-AAA321620_IHC11.jpg IHC (Immunohistochemisry) (AAA321620 at 1/100 staining human brain tissue sections by IHC-P. The tissue was formaldehyde fixed and a heat mediated antigen retrieval step in citrate buffer was performed. The tissue was then blocked and incubated with the antibody for 1.5 hours at 22 degree C. An HRP conjugated goat anti-rabbit antibody was used as the secondary.)

GluR2, Polyclonal Antibody (Cat# AAA321620)

Full Name
Phospho-GluR2 (Ser880) Antibody
Gene Names
GRIA2; GLUR2; GLURB; GluA2; HBGR2; GluR-K2
Reactivity
Human, Mouse, Rat
Applications
Immunohistochemistry, Western Blot
Purity
From purified rabbit serum by affinity purification via sequential chromatography on phospho-and non-phospho-peptide affinity columns.
Pricing
product-image-AAA321622_WB13.jpg WB (Western Blot) (Western blot analysis of mTOR phosphorylation expression in Insulin treated NIH-3T3 whole cell lysates, The lane on the left is treated with the antigen-specific peptide.)

mTOR, Polyclonal Antibody (Cat# AAA321622)

Full Name
Phospho-mTOR (Thr2446) Antibody
Gene Names
MTOR; SKS; FRAP; FRAP1; FRAP2; RAFT1; RAPT1
Reactivity
Human, Mouse, Rat
Applications
Western Blot
Purity
From purified rabbit serum by affinity purification via sequential chromatography on phospho-and non-phospho-peptide affinity columns.
Pricing
product-image-AAA321628_IHC13.jpg IHC (Immunohiostchemistry) (AAA321628 at 1/100 staining human Heart muscle tissue sections by IHC-P. The tissue was formaldehyde fixed and a heat mediated antigen retrieval step in citrate buffer was performed. The tissue was then blocked and incubated with the antibody for 1.5 hours at 22 degree C. An HRP conjugated goat anti-rabbit antibody was used as the secondary.)

SEK1/MKK4, Polyclonal Antibody (Cat# AAA321628)

Full Name
Phospho-SEK1/MKK4 (Thr261) Antibody
Gene Names
MAP2K4; JNKK; MEK4; MKK4; SEK1; SKK1; JNKK1; SERK1; MAPKK4; PRKMK4; SAPKK1; SAPKK-1
Reactivity
Human
Applications
Immunohistochemistry, Western Blot
Purity
From purified rabbit serum by affinity purification via sequential chromatography on phospho-and non-phospho-peptide affinity columns.
Pricing
product-image-AAA321630_WB10.jpg WB (Western Blot) (Western blot analysis of p27 Kip1 phosphorylation expression in EGF treated HeLa whole cell lysates, The lane on the left is treated with the antigen-specific peptide.)

p27 Kip1, Polyclonal Antibody (Cat# AAA321630)

Full Name
Phospho-p27 Kip1 (Thr187) Antibody
Gene Names
CDKN1B; KIP1; MEN4; CDKN4; MEN1B; P27KIP1
Reactivity
Human, Mouse, Rat
Applications
Immunocytochemistry, Immunofluorescence, Immunohistochemistry, Western Blot
Purity
From purified rabbit serum by affinity purification via sequential chromatography on phospho-and non-phospho-peptide affinity columns.
Pricing
product-image-AAA321631_WB13.jpg WB (Western Blot) (Western blot analysis of p27 Kip1 phosphorylation expression in HeLa whole cell lysates, The lane on the left is treated with the antigen-specific peptide.)

p27 Kip1, Polyclonal Antibody (Cat# AAA321631)

Full Name
Phospho-p27 Kip1 (Thr198) Antibody
Gene Names
CDKN1B; KIP1; MEN4; CDKN4; MEN1B; P27KIP1
Reactivity
Human
Applications
Immunocytochemistry, Immunofluorescence, Western Blot
Purity
From purified rabbit serum by affinity purification via sequential chromatography on phospho-and non-phospho-peptide affinity columns.
Pricing
product-image-AAA321329_WB13.jpg WB (Western Blot) (Western blot analysis of extracts of HEK293 cells treated with In1B, using Phospho-Gab1 (Tyr307) Antibody.)

Gab1, Polyclonal Antibody (Cat# AAA321329)

Full Name
Phospho-Gab1 (Tyr307) Antibody
Gene Names
GAB1; DFNB26
Reactivity
Human, Mouse, Rat
Applications
Immunohistochemistry, Western Blot
Purity
From purified rabbit serum by affinity purification via sequential chromatography on phospho-and non-phospho-peptide affinity columns.
Pricing
product-image-AAA321333_WB13.jpg WB (Western Blot) (Western blot analysis of extracts of cos cells trested with EGF, using Phospho-HER2/ErbB2 (Tyr1221/1222) Antibody.)

HER2/ErbB2, Polyclonal Antibody (Cat# AAA321333)

Full Name
Phospho-HER2/ErbB2 (Tyr1221/1222) Antibody
Gene Names
ERBB2; NEU; NGL; HER2; TKR1; CD340; HER-2; MLN 19; HER-2/neu
Reactivity
Human, Mouse
Applications
Immunohistochemistry, Western Blot
Purity
From purified rabbit serum by affinity purification via sequential chromatography on phospho-and non-phospho-peptide affinity columns.
Pricing
product-image-AAA321334_IHC15.jpg IHC (Immunohistochemistry) (AAA321334 at 1/100 staining Human thyroid cancer tissue by IHC-P. The sample was formaldehyde fixed and a heat mediated antigen retrieval step in citrate buffer was performed. The sample was then blocked and incubated with the antibody for 1.5 hours at 22 degree C. An HRP conjugated goat anti-rabbit antibody was used as the secondary.)

HSL, Polyclonal Antibody (Cat# AAA321334)

Full Name
Phospho-HSL (Ser563) Antibody
Gene Names
LIPE; HSL; LHS; AOMS4; FPLD6
Reactivity
Human, Mouse, Rat
Applications
Immunohistochemistry, Western Blot
Purity
Peptide affinity purification
Pricing
product-image-AAA321337_IHC13.jpg IHC (Immunohiostchemistry) (AAA321337 at 1/100 staining Human lung tissue by IHC-P. The sample was formaldehyde fixed and a heat mediated antigen retrieval step in citrate buffer was performed. The sample was then blocked and incubated with the antibody for 1.5 hours at 22 degree C. An HRP conjugated goat anti-rabbit antibody was used as the secondary.)

IRF-3, Polyclonal Antibody (Cat# AAA321337)

Full Name
Phospho-IRF-3 (Ser396) Antibody
Gene Names
IRF3; IIAE7
Reactivity
Human
Applications
Immunohistochemistry, Western Blot
Purity
From purified rabbit serum by affinity purification via sequential chromatography on phospho-and non-phospho-peptide affinity columns.
Pricing
product-image-AAA321340_WB13.jpg WB (Western Blot) (Western blot analysis of extracts of HT-29 cells treated with Anisomycin, using Phospho-Keratin 20 (Ser13) Antibody.)

Keratin 20, Polyclonal Antibody (Cat# AAA321340)

Full Name
Phospho-Keratin 20 (Ser13) Antibody
Gene Names
KRT20; K20; CD20; CK20; CK-20; KRT21
Reactivity
Human
Applications
Immunohistochemistry, Western Blot
Purity
From purified rabbit serum by affinity purification via sequential chromatography on phospho-and non-phospho-peptide affinity columns.
Pricing
product-image-AAA321343_WB13.jpg WB (Western Blot) (Western blot analysis of extracts of Jurkat cells treated with anti-CD3, using Phospho-LAT (Tyr200) Antibody.)

LAT, Polyclonal Antibody (Cat# AAA321343)

Full Name
Phospho-LAT (Tyr200) Antibody
Gene Names
LAT; LAT1; pp36; IMD52
Reactivity
Human, Mouse
Applications
Immunohistochemistry, Western Blot
Purity
From purified rabbit serum by affinity purification via sequential chromatography on phospho-and non-phospho-peptide affinity columns.
Pricing
product-image-AAA321348_WB13.jpg WB (Western Blot) (Western blot analysis of extracts of A431 cells, using Phospho-MEK1 (Thr286) Antibody.)

MEK1, Polyclonal Antibody (Cat# AAA321348)

Full Name
Phospho-MEK1 (Thr286) Antibody
Gene Names
MAP2K1; CFC3; MEK1; MKK1; MAPKK1; PRKMK1
Reactivity
Human, Mouse, Rat
Applications
Immunohistochemistry, Western Blot
Purity
From purified rabbit serum by affinity purification via sequential chromatography on phospho-and non-phospho-peptide affinity columns.
Pricing
product-image-AAA321355_WB13.jpg WB (Western Blot) (Western blot analysis of extracts of rat brain tissue, using Phospho-NMDAR2B (Ser1284) Antibody.)

NMDAR2B, Polyclonal Antibody (Cat# AAA321355)

Full Name
Phospho-NMDAR2B (Ser1284) Antibody
Gene Names
GRIN2B; NR3; MRD6; NR2B; hNR3; EIEE27; GluN2B; NMDAR2B
Reactivity
Human, Mouse, Rat
Applications
Immunohistochemistry, Western Blot
Purity
From purified rabbit serum by affinity purification via sequential chromatography on phospho-and non-phospho-peptide affinity columns.
Pricing
product-image-AAA321359_WB13.jpg WB (Western Blot) (Western blot analysis of extracts of NIH/3T3 cells, using Phospho-p130 Cas (Tyr249) Antibody.)

p130 Cas, Polyclonal Antibody (Cat# AAA321359)

Full Name
Phospho-p130 Cas (Tyr249) Antibody
Gene Names
BCAR1; CAS; CAS1; CASS1; CRKAS; P130Cas
Reactivity
Human, Mouse, Rat
Applications
Immunohistochemistry, Western Blot
Purity
From purified rabbit serum by affinity purification via sequential chromatography on phospho-and non-phospho-peptide affinity columns.
Pricing
product-image-AAA321364_WB13.jpg WB (Western Blot) (Western blot analysis of extracts of hela cells treated with fMLP, using Phospho-PAK1 (Ser199/204)/PAK2 (Ser192/197) Antibody.)

PAK1, Polyclonal Antibody (Cat# AAA321364)

Full Name
Phospho-PAK1 (Ser199/204)/PAK2 (Ser192/197) Antibody
Gene Names
PAK1; PAKalpha
Reactivity
Human, Mouse, Rat
Applications
Immunohistochemistry, Western Blot
Purity
From purified rabbit serum by affinity purification via sequential chromatography on phospho-and non-phospho-peptide affinity columns.
Pricing
product-image-AAA321367_WB13.jpg WB (Western Blot) (Western blot analysis of extracts of HeLa cells treated with PMA, using Phospho-PLCbeta3 (Ser1105) Antibody.)

PLCbeta3, Polyclonal Antibody (Cat# AAA321367)

Full Name
Phospho-PLCbeta3 (Ser1105) Antibody
Reactivity
Human, Mouse, Rat
Applications
Immunohistochemistry, Western Blot
Purity
From purified rabbit serum by affinity purification via sequential chromatography on phospho-and non-phospho-peptide affinity columns.
Pricing
product-image-AAA321370_IHC13.jpg IHC (Immunohiostchemistry) (AAA321370 at 1/100 staining Human thyroid cancer tissue by IHC-P. The sample was formaldehyde fixed and a heat mediated antigen retrieval step in citrate buffer was performed. The sample was then blocked and incubated with the antibody for 1.5 hours at 22 degree C. An HRP conjugated goat anti-rabbit antibody was used as the secondary.)

PRAS40, Polyclonal Antibody (Cat# AAA321370)

Full Name
Phospho-PRAS40 (Ser183) Antibody
Gene Names
AKT1S1; Lobe; PRAS40
Reactivity
Human, Mouse, Rat
Applications
Immunohistochemistry, Western Blot
Purity
From purified rabbit serum by affinity purification via sequential chromatography on phospho-and non-phospho-peptide affinity columns.
Pricing
product-image-AAA321375_IHC13.jpg IHC (Immunohiostchemistry) (AAA321375 at 1/100 staining Human thyroid cancer tissue by IHC-P. The sample was formaldehyde fixed and a heat mediated antigen retrieval step in citrate buffer was performed. The sample was then blocked and incubated with the antibody for 1.5 hours at 22 degree C. An HRP conjugated goat anti-rabbit antibody was used as the secondary.)

PSD95, Polyclonal Antibody (Cat# AAA321375)

Full Name
Phospho-PSD95 (Tyr236/Tyr240) Antibody
Gene Names
DLG4; PSD95; SAP90; SAP-90
Reactivity
Human, Mouse, Rat
Applications
Immunohistochemistry, Western Blot
Purity
From purified rabbit serum by affinity purification via sequential chromatography on phospho-and non-phospho-peptide affinity columns.
Pricing
product-image-AAA321377_IHC13.jpg IHC (Immunohiostchemistry) (AAA321377 at 1/100 staining Human thyroid cancer tissue by IHC-P. The sample was formaldehyde fixed and a heat mediated antigen retrieval step in citrate buffer was performed. The sample was then blocked and incubated with the antibody for 1.5 hours at 22 degree C. An HRP conjugated goat anti-rabbit antibody was used as the secondary.)

Rac1/cdc42, Polyclonal Antibody (Cat# AAA321377)

Full Name
Phospho-Rac1/cdc42 (Ser71) Antibody
Gene Names
RAC1; MIG5; MRD48; Rac-1; TC-25; p21-Rac1
Reactivity
Human, Mouse, Rat
Applications
Immunocytochemistry, Immunofluorescence, Immunohistochemistry, Western Blot
Purity
From purified rabbit serum by affinity purification via sequential chromatography on phospho-and non-phospho-peptide affinity columns.
Pricing
product-image-AAA321381_IHC13.jpg IHC (Immunohiostchemistry) (AAA321381 at 1/100 staining Human thyroid cancer tissue by IHC-P. The sample was formaldehyde fixed and a heat mediated antigen retrieval step in citrate buffer was performed. The sample was then blocked and incubated with the antibody for 1.5 hours at 22 degree C. An HRP conjugated goat anti-rabbit antibody was used as the secondary.)

Rictor, Polyclonal Antibody (Cat# AAA321381)

Full Name
Phospho-Rictor (Thr1135) Antibody
Gene Names
RICTOR; PIA; AVO3; hAVO3
Reactivity
Human, Mouse
Applications
Immunohistochemistry, Western Blot
Purity
From purified rabbit serum by affinity purification via sequential chromatography on phospho-and non-phospho-peptide affinity columns.
Pricing
product-image-AAA321382_WB11.jpg WB (Western Blot) (analysis of extracts from HT-29 cells treated with hTNF/Z-VAD/SM-164, using Phospho-RIPK1 (Ser166) Antibody. Lane1 was treated with phospho-blocking peptide, Lane2 was treated with non-phospho-blocking peptide.)

RIP, Polyclonal Antibody (Cat# AAA321382)

Full Name
Phospho-RIP (Ser166) Antibody
Gene Names
RIPK1; RIP; RIP1; IMD57; RIP-1
Reactivity
Human, Mouse
Applications
Immunohistochemistry, Western Blot
Purity
Peptide affinity purification
Pricing
product-image-AAA321386_IHC13.jpg IHC (Immunohiostchemistry) (AAA321386 at 1/100 staining Human thyroid cancer tissue by IHC-P. The sample was formaldehyde fixed and a heat mediated antigen retrieval step in citrate buffer was performed. The sample was then blocked and incubated with the antibody for 1.5 hours at 22 degree C. An HRP conjugated goat anti-rabbit antibody was used as the secondary.)

SGK3, Polyclonal Antibody (Cat# AAA321386)

Full Name
Phospho-SGK3 (Thr320) Antibody
Gene Names
SGK3; CISK; SGK2; SGKL
Reactivity
Human, Mouse, Rat
Applications
Immunohistochemistry, Western Blot
Purity
From purified rabbit serum by affinity purification via sequential chromatography on phospho-and non-phospho-peptide affinity columns.
Pricing
product-image-AAA321390_WB13.jpg WB (Western Blot) (Western blot analysis of extracts of JK cells, using Phospho-SHP-1 (Tyr564) Antibody.)

SHP-1, Polyclonal Antibody (Cat# AAA321390)

Full Name
Phospho-SHP-1 (Tyr564) Antibody
Gene Names
PTPN6; HCP; HCPH; SHP1; SHP-1; HPTP1C; PTP-1C; SHP-1L; SH-PTP1
Reactivity
Human, Mouse
Applications
Immunohistochemistry, Western Blot
Purity
From purified rabbit serum by affinity purification via sequential chromatography on phospho-and non-phospho-peptide affinity columns.
Pricing
product-image-AAA321392_WB13.jpg WB (Western Blot) (Western blot analysis of extracts of 293T cells, using Phospho-Skp2 (Ser64) Antibody.)

Skp2, Polyclonal Antibody (Cat# AAA321392)

Full Name
Phospho-Skp2 (Ser64) Antibody
Gene Names
SKP2; p45; FBL1; FLB1; FBXL1
Reactivity
Human, Mouse
Applications
Immunohistochemistry, Western Blot
Purity
From purified rabbit serum by affinity purification via sequential chromatography on phospho-and non-phospho-peptide affinity columns.
Pricing
product-image-AAA321395_IHC13.jpg IHC (Immunohiostchemistry) (AAA321395 at 1/100 staining Human breast cancer tissue by IHC-P. The sample was formaldehyde fixed and a heat mediated antigen retrieval step in citrate buffer was performed. The sample was then blocked and incubated with the antibody for 1.5 hours at 22 degree C. An HRP conjugated goat anti-rabbit antibody was used as the secondary.)

SQSTM1/p62, Polyclonal Antibody (Cat# AAA321395)

Full Name
Phospho-SQSTM1/p62 (Thr269/Ser272) Antibody
Gene Names
SQSTM1; p60; p62; A170; DMRV; OSIL; PDB3; ZIP3; p62B; NADGP; FTDALS3
Reactivity
Human
Applications
Immunohistochemistry, Western Blot
Purity
From purified rabbit serum by affinity purification via sequential chromatography on phospho-and non-phospho-peptide affinity columns.
Pricing
product-image-AAA321396_IHC13.jpg IHC (Immunohiostchemistry) (AAA321396 at 1/100 staining Mouse lung tissue by IHC-P. The sample was formaldehyde fixed and a heat mediated antigen retrieval step in citrate buffer was performed. The sample was then blocked and incubated with the antibody for 1.5 hours at 22 degree C. An HRP conjugated goat anti-rabbit antibody was used as the secondary.)

SRC-3, Polyclonal Antibody (Cat# AAA321396)

Full Name
Phospho-SRC-3 (Thr24) Antibody
Gene Names
NCOA3; ACTR; AIB1; RAC3; SRC3; pCIP; AIB-1; CTG26; SRC-3; CAGH16; KAT13B; TNRC14; TNRC16; TRAM-1; bHLHe42
Reactivity
Human, Mouse, Rat
Applications
Immunofluorescence, Immunocytochemistry, Immunohistochemistry, Western Blot
Purity
Peptide affinity purification
Pricing
product-image-AAA321234_IF13.jpg IF (Immunofluorescence) (AAA321234 staining COLO205 by IF/ICC. The sample were fixed with PFA and permeabilized in 0.1% Triton X-100, then blocked in 10% serum for 45 minutes at 25 degree C. The primary antibody was diluted at 1/200 and incubated with the sample for 1 hour at 37 degree C. An Alexa Fluor 594 conjugated goat anti-rabbit IgG (H+L) Ab, diluted at 1/600, was used as the secondary antibody.)

PSMD2, Polyclonal Antibody (Cat# AAA321234)

Full Name
PSMD2 Antibody
Gene Names
PSMD2; S2; P97; RPN1; TRAP2
Reactivity
Human, Mouse, Rat
Applications
Immunocytochemistry, Immunofluorescence, Western Blot
Purity
The antiserum was purified by peptide affinity chromatography using SulfoLink Coupling Resin.
Pricing
product-image-AAA321235_IHC11.jpg IHC (Immunohistochemisry) (AAA321235 at 1/100 staining human Breast tissue sections by IHC-P. The tissue was formaldehyde fixed and a heat mediated antigen retrieval step in citrate buffer was performed. The tissue was then blocked and incubated with the antibody for 1.5 hours at 22 degree C. An HRP conjugated goat anti-rabbit antibody was used as the secondary.)

Keratin 15, Polyclonal Antibody (Cat# AAA321235)

Full Name
Keratin 15 Antibody
Gene Names
KRT15; K15; CK15; K1CO
Reactivity
Human, Mouse, Rat, Monkey
Applications
Immunocytochemistry, Immunofluorescence, Immunohistochemistry, Western Blot
Purity
Peptdie affinity purification
Pricing
product-image-AAA321237_IHC10.jpg IHC (Immunohistochemistry) (AAA321237 at 1/100 staining human Kidney tissue sections by IHC-P. The tissue was formaldehyde fixed and a heat mediated antigen retrieval step in citrate buffer was performed. The tissue was then blocked and incubated with the antibody for 1.5 hours at 22 degree C. An HRP conjugated goat anti-rabbit antibody was used as the secondary.)

ZNF148, Polyclonal Antibody (Cat# AAA321237)

Full Name
ZNF148 Antibody
Gene Names
ZNF148; BERF-1; BFCOL1; GDACCF; ZBP-89; ZFP148; pHZ-52; HT-BETA
Reactivity
Human, Mouse, Rat
Applications
Immunocytochemistry, Immunofluorescence, Immunohistochemistry, Western Blot
Purity
The antiserum was purified by peptide affinity chromatography using SulfoLink Coupling Resin.
Pricing
product-image-AAA321243_IF13.jpg IF (Immunofluorescence) (AAA321243 staining RAW264.7 by IF/ICC. The sample were fixed with PFA and permeabilized in 0.1% Triton X-100, then blocked in 10% serum for 45 minutes at 25 degree C. The primary antibody was diluted at 1/200 and incubated with the sample for 1 hour at 37 degree C. An Alexa Fluor 594 conjugated goat anti-rabbit IgG (H+L) Ab, diluted at 1/600, was used as the secondary antibody.)

RNF14, Polyclonal Antibody (Cat# AAA321243)

Full Name
RNF14 Antibody
Gene Names
RNF14; ARA54; HFB30; TRIAD2; HRIHFB2038
Reactivity
Human, Mouse, Rat
Applications
Immunocytochemistry, Immunofluorescence, Western Blot
Purity
The antiserum was purified by peptide affinity chromatography using SulfoLink Coupling Resin.
Pricing
product-image-AAA321252_IF11.jpg IF (Immunofluorescence) (AAA321252 staining 293 by IF/ICC. The sample were fixed with PFA and permeabilized in 0.1% Triton X-100, then blocked in 10% serum for 45 minutes at 25 degree C. The primary antibody was diluted at 1/200 and incubated with the sample for 1 hour at 37 degree C. An Alexa Fluor 594 conjugated goat anti-rabbit IgG (H+L) Ab, diluted at 1/600, was used as the secondary antibody.)

AKT1, Polyclonal Antibody (Cat# AAA321252)

Full Name
Phospho-AKT1(Thr308) Antibody
Gene Names
AKT1; AKT; PKB; RAC; CWS6; PRKBA; PKB-ALPHA; RAC-ALPHA
Reactivity
Human, Mouse, Rat
Applications
Immunocytochemistry, Immunofluorescence, Western Blot
Purity
From purified rabbit serum by affinity purification via sequential chromatography on phospho-and non-phospho-peptide affinity columns.
Pricing
product-image-AAA321254_IF13.jpg IF (Immunofluorescence) (AAA321254 staining Hela by IF/ICC. The sample were fixed with PFA and permeabilized in 0.1% Triton X-100, then blocked in 10% serum for 45 minutes at 25 degree C. The primary antibody was diluted at 1/200 and incubated with the sample for 1 hour at 37 degree C. An Alexa Fluor 594 conjugated goat anti-rabbit IgG (H+L) Ab, diluted at 1/600, was used as the secondary antibody.)

MAPKAPK5, Polyclonal Antibody (Cat# AAA321254)

Full Name
MAPKAPK5 Antibody
Gene Names
MAPKAPK5; MK5; MK-5; PRAK; MAPKAP-K5
Reactivity
Human, Mouse
Applications
Immunocytochemistry, Immunofluorescence, Western Blot
Purity
The antiserum was purified by peptide affinity chromatography using SulfoLink Coupling Resin.
Pricing
product-image-AAA321255_IF13.jpg IF (Immunofluorescence) (AAA321255 staining 293 by IF/ICC. The sample were fixed with PFA and permeabilized in 0.1% Triton X-100, then blocked in 10% serum for 45 minutes at 25 degree C. The primary antibody was diluted at 1/200 and incubated with the sample for 1 hour at 37 degree C. An Alexa Fluor 594 conjugated goat anti-rabbit IgG (H+L) Ab, diluted at 1/600, was used as the secondary antibody.)

AKT1, Polyclonal Antibody (Cat# AAA321255)

Full Name
AKT1 Antibody
Gene Names
AKT1; AKT; PKB; RAC; CWS6; PRKBA; PKB-ALPHA; RAC-ALPHA
Reactivity
Human, Mouse, Rat
Applications
Immunocytochemistry, Immunofluorescence, Western Blot
Purity
The antiserum was purified by peptide affinity chromatography using SulfoLink Coupling Resin.
Pricing
product-image-AAA321256_WB13.jpg WB (Western Blot) (Western blot analysis on Jurkat cell lysate using C-RAF Antibody. The lane on the left is treated with the antigen-specific peptide.)

C-RAF, Polyclonal Antibody (Cat# AAA321256)

Full Name
C-RAF Antibody
Gene Names
RAF1; NS5; CRAF; Raf-1; c-Raf; CMD1NN
Reactivity
Human, Mouse, Rat
Applications
Immunocytochemistry, Immunofluorescence, Western Blot
Purity
The antiserum was purified by peptide affinity chromatography using SulfoLink Coupling Resin.
Pricing
product-image-AAA321264_IHC10.jpg IHC (Immunohistochemistry) (AAA321264 at 1/100 staining human Stomach carcinoma tissue sections by IHC-P. The tissue was formaldehyde fixed and a heat mediated antigen retrieval step in citrate buffer was performed. The tissue was then blocked and incubated with the antibody for 1.5 hours at 22 degree C. An HRP conjugated goat anti-rabbit antibody was used as the secondary.)

p53, Polyclonal Antibody (Cat# AAA321264)

Full Name
p53 Antibody
Gene Names
TP53; P53; BCC7; LFS1; TRP53
Reactivity
Human, Mouse, Rat
Applications
Immunocytochemistry, Immunofluorescence, Immunohistochemistry, Western Blot
Purity
The antiserum was purified by peptide affinity chromatography using SulfoLink Coupling Resin.
Pricing
product-image-AAA321273_IF10.jpg IF (Immunofluorescence) (AAA321273 staining HT-29 cells by IF/ICC. The sample were fixed with PFA and permeabilized in 0.1% Triton X-100, then blocked in 10% serum for 45 minutes at 25 degree C. The primary antibody was diluted at 1/200 and incubated with the sample for 1 hour at 37 degree C. An Alexa Fluor 594 conjugated goat anti-rabbit IgG (H+L) antibody, diluted at 1/600, was used as secondary antibody.)

p53, Polyclonal Antibody (Cat# AAA321273)

Full Name
p53 Antibody
Gene Names
TP53; P53; BCC7; LFS1; TRP53
Reactivity
Human, Mouse, Rat
Applications
Immunocytochemistry, Immunofluorescence, Immunohistochemistry, Western Blot
Purity
The antiserum was purified by peptide affinity chromatography using SulfoLink Coupling Resin.
Pricing
product-image-AAA321282_IF13.jpg IF (Immunofluorescence) (AAA321282 staining HepG2 by IF/ICC. The sample were fixed with PFA and permeabilized in 0.1% Triton X-100, then blocked in 10% serum for 45 minutes at 25 degree C. The primary antibody was diluted at 1/200 and incubated with the sample for 1 hour at 37 degree C. An Alexa Fluor 594 conjugated goat anti-rabbit IgG (H+L) Ab, diluted at 1/600, was used as the secondary antibody.)

Acetyl-Histone H3, Polyclonal Antibody (Cat# AAA321282)

Full Name
Acetyl-Histone H3 (Lys23) Antibody
Gene Names
HIST1H3A; H3/A; H3FA
Reactivity
Human, Mouse, Rat
Applications
Immunocytochemistry, Immunofluorescence, Western Blot
Purity
Affinity Purification
Pricing
product-image-AAA321283_IF10.jpg IF (Immunofluorescence) (AAA321283 staining Hela by IF/ICC. The sample were fixed with PFA and permeabilized in 0.1% Triton X-100, then blocked in 10% serum for 45 minutes at 25 degree C. The primary antibody was diluted at 1/200 and incubated with the sample for 1 hour at 37 degree C. An Alexa Fluor 594 conjugated goat anti-rabbit IgG (H+L) Ab, diluted at 1/600, was used as the secondary antibody.)

Acetyl-Histone H4, Polyclonal Antibody (Cat# AAA321283)

Full Name
Acetyl-Histone H4 (Lys12) Antibody
Gene Names
HIST2H4B; H4/o
Reactivity
Human, Mouse, Rat
Applications
Immunocytochemistry, Immunofluorescence, Immunohistochemistry, Western Blot
Purity
Affinity Purification
Pricing
product-image-AAA321292_WB13.jpg WB (Western Blot) (Western blot analysis of extracts of 293 cells treated with 20% FBS , using Phospho-4EBP1(Ser65/Thr70) Antibody.)

4EBP1, Polyclonal Antibody (Cat# AAA321292)

Full Name
Phospho-4EBP1(Ser65/Thr70) Antibody
Gene Names
EIF4EBP1; BP-1; 4EBP1; 4E-BP1; PHAS-I
Reactivity
Human, Mouse, Rat
Applications
Immunohistochemistry, Western Blot
Purity
From purified rabbit serum by affinity purification via sequential chromatography on phospho-and non-phospho-peptide affinity columns.
Pricing
product-image-AAA321293_WB13.jpg WB (Western Blot) (Western blot analysis of extracts of Ramos cells, using Phospho-GRK2(Ser29) Antibody.)

GRK2, Polyclonal Antibody (Cat# AAA321293)

Full Name
Phospho-GRK2(Ser29) Antibody
Gene Names
GRK2; BARK1; ADRBK1; BETA-ARK1
Reactivity
Human, Mouse, Rat
Applications
Immunohistochemistry, Western Blot
Purity
From purified rabbit serum by affinity purification via sequential chromatography on phospho-and non-phospho-peptide affinity columns.
Pricing
product-image-AAA321298_WB13.jpg WB (Western Blot) (Western blot analysis of extracts of HT29 cells, using Phospho-CDC25B(Ser151) Antibody.)

CDC25B, Polyclonal Antibody (Cat# AAA321298)

Full Name
Phospho-CDC25B(Ser151) Antibody
Reactivity
Human
Applications
Immunohistochemistry, Western Blot
Purity
From purified rabbit serum by affinity purification via sequential chromatography on phospho-and non-phospho-peptide affinity columns.
Pricing
product-image-AAA321303_IHC13.jpg IHC (Immunohiostchemistry) (AAA321303 at 1/100 staining Mouse spleen tissue by IHC-P. The sample was formaldehyde fixed and a heat mediated antigen retrieval step in citrate buffer was performed. The sample was then blocked and incubated with the primary antibody at 4°C overnight. An HRP conjugated anti-Rabbit antibody was used as the secondary antibody.)

Atg13, Polyclonal Antibody (Cat# AAA321303)

Full Name
Phospho-Atg13 (Ser355) Antibody
Gene Names
ATG13; KIAA0652; PARATARG8
Reactivity
Human, Mouse, Rat
Applications
Immunohistochemistry, Western Blot
Purity
Peptide affinity purification
Pricing
product-image-AAA321153_IF11.jpg IF (Immunofluorescence) (AAA321153 staining A549 cells by IF/ICC. The sample were fixed with PFA and permeabilized in 0.1% Triton X-100, then blocked in 10% serum for 45 minutes at 25 degree C. The primary antibody was diluted at 1/200 and incubated with the sample for 1 hour at 37 degree C. An Alexa Fluor 594 conjugated goat anti-rabbit IgG (H+L) antibody, diluted at 1/600, was used as secondary antibody.)

TNAP2, Polyclonal Antibody (Cat# AAA321153)

Full Name
TNAP2 Antibody
Gene Names
TNFAIP2; B94; EXOC3L3
Reactivity
Human, Mouse, Monkey
Applications
Western Blot, Immunocytochemistry, Immunofluorescence, Immunohistochemistry
Purity
The antiserum was purified by peptide affinity chromatography using SulfoLink Coupling Resin.
Pricing

What are Polyclonal Antibodies?


Polyclonal antibodies are antibodies that come from multiple B cell clones of a host animal. The typical hosts used for the majority of polyclonal antibody production are rabbits, goats, sheep, and donkeys. These polyclonal antibodies, once having identified their target, will bind to different epitopes located at different regions or sequences on the same protein/antigen. As a result, they are ideal at locating and binding to the target, even if the target is in very low concentrations (due to many different antibodies being able to bind to the same target molecule, which allows for significant amplification of a downstream signal).


Polyclonal antibodies are typically produced by injecting an antigen into a host animal, which causes the animal’s immune system to attack the foreign antigen by mass generating antibodies against it. After a period of time, serum is collected from the animal and purified using physicochemical fractionation, class-specific affinity purification, and/or antigen-affinity purification.


Key Uses of Polyclonal Antibodies


  • Western Blotting: This method is used to find specific proteins in biological samples after separating them by size.

  • Immunohistochemistry: IHC helps visualize the location of proteins in tissue sections using various staining techniques.

  • ELISA: (Enzyme-Linked Immunosorbent Assay) is typically used to identify specific protein quantities in a sample. ELISAs can be either “Quantitative” or “Qualitative”.

  • Flow Cytometry: technique that identifies and measures the specific protein on the surface or inside the cells in a fluid suspension.

  • Immunoprecipitation: IP isolates and studies a specific protein from a complex mixture using antibodies.


Why Buy Polyclonal Antibodies from AAA Biotech?


1. Ideal for Various Applications


Our antibodies are generally going to be validated for use in multiple types of assays, including ELISA, Western Blotting, Immunohistochemistry, Immunoprecipitation, amongst others. They are ideal for a wide range of research applications.


2. Rigorous Quality Control


All of the antibodies in our catalog undergo strict quality testing to ensure specificity, sensitivity, and consistent performance. We are confident in the ability of our antibodies to provide you with accurate results.


3. Wide Assortment of Antibodies


Antibodies in are catalog can be found for both common and exotic species, and these antibodies are also available in both conjugated and recombinant forms to suit many diverse experimental needs.


4. Highly Purified


Our antibodies are available in purified forms with over 85% purity, as confirmed by SDS-PAGE. They are also available with tags such as His, Flag, GST, or MBP. We cater to customers worldwide.


FAQ


1. How are polyclonal antibodies produced?


Traditionally, polyclonal antibodies are produced by injecting an antigen into a host animal (such as a rabbit or goat), which then triggers an immune response from the host animal. The animal’s B cells produce antibodies that will recognize different parts of the injected antigen. These antibodies are then collected from the animal’s blood and purified for use.


2. How do polyclonal antibodies differ from monoclonal antibodies?


Polyclonal antibodies are a mix of antibodies that bind to different locations (epitopes) of the same antigen, while monoclonal antibodies are identical and bind to just one specific epitope. This makes polyclonal antibodies more versatile and better at detecting proteins that may be present in low quantities or in altered/modified forms.


3. How should I store polyclonal antibodies?


Polyclonal antibodies should be stored at 4°C for short-term use (up to a few weeks) and at -20°C or -80°C for long-term storage. Avoid repeated freeze-thaw cycles by dividing them into small aliquots. Always check the datasheet for specific storage instructions.


Submit a Question

Please complete the form below and a representative will contact you as soon as possible.

Request more Information

Please complete the form below and a representative will contact you as soon as possible.

Request a Manual

Please complete the form below and a representative will contact you as soon as possible.

Request a Quote

Please complete the form below and a representative will contact you as soon as possible.