Rabbit 14-3-3 sigma Polyclonal Antibody | anti-SFN antibody
Anti-14-3-3 sigma antibody
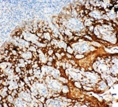
IHC (Immunohistochemistry)
(Anti-14-3-3 sigma antibody, AAA45140, IHC(P)IHC(P): Human Oesophagus Squama Cancer Tissue)
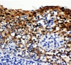
IHC (Immunohiostchemistry)
(Anti-14-3-3 sigma antibody, AAA45140, IHC(P)IHC(P): Human Tonsil Tissue)
WB (Western Blot)
(Anti-14-3-3 sigma antibody, AAA45140, Western blottingAll lanes: Anti 14-3-3 sigma (AAA45140) at 0.5ug/mlLane 1: HELA Whole Cell Lysate at 40ugLane 2: A549 Whole Cell Lysate at 40ugLane 3: A549 Whole Cell Lysate at 40ugLane 4: COLO320 Whole Cell Lysate at 40ugLane 5: SE620 Whole Cell Lysate at 40ugPredicted bind size: 28KDObserved bind size: 28KD)
Background: Stratifin(SFN), also known as 14-3-3 protein sigma, is strongly induced by gamma irradiation and other DNA-damaging agents. The induction of 14-3-3-sigma is mediated by a p53 -responsive element located 1.8 kb upstream of its transcription start site. Leffers et al.(1993)obtained peptide sequence and subsequently cloned a T-cell cDNA of the 14-3-3 family of conserved proteins. The protein, called stratifin, was shown to be diffusely distributed in the cytoplasm and was present in cultured epithelial cells. It was most abundant in tissues enriched in stratified keratinizing epithelium.
NCBI and Uniprot Product Information
Customer Reviews
Loading reviews...
Share Your Experience
Similar Products
Product Notes
The SFN sfn (Catalog #AAA45140) is an Antibody produced from Rabbit and is intended for research purposes only. The product is available for immediate purchase. The Anti-14-3-3 sigma antibody reacts with Human, Mouse, Rat and may cross-react with other species as described in the data sheet. AAA Biotech's 14-3-3 sigma can be used in a range of immunoassay formats including, but not limited to, ICC (Immunocytochemistry), IHC (Immunohistochemistry), WB (Western Blot). Researchers should empirically determine the suitability of the SFN sfn for an application not listed in the data sheet. Researchers commonly develop new applications and it is an integral, important part of the investigative research process. It is sometimes possible for the material contained within the vial of "14-3-3 sigma, Polyclonal Antibody" to become dispersed throughout the inside of the vial, particularly around the seal of said vial, during shipment and storage. We always suggest centrifuging these vials to consolidate all of the liquid away from the lid and to the bottom of the vial prior to opening. Please be advised that certain products may require dry ice for shipping and that, if this is the case, an additional dry ice fee may also be required.Precautions
All products in the AAA Biotech catalog are strictly for research-use only, and are absolutely not suitable for use in any sort of medical, therapeutic, prophylactic, in-vivo, or diagnostic capacity. By purchasing a product from AAA Biotech, you are explicitly certifying that said products will be properly tested and used in line with industry standard. AAA Biotech and its authorized distribution partners reserve the right to refuse to fulfill any order if we have any indication that a purchaser may be intending to use a product outside of our accepted criteria.Disclaimer
Though we do strive to guarantee the information represented in this datasheet, AAA Biotech cannot be held responsible for any oversights or imprecisions. AAA Biotech reserves the right to adjust any aspect of this datasheet at any time and without notice. It is the responsibility of the customer to inform AAA Biotech of any product performance issues observed or experienced within 30 days of receipt of said product. To see additional details on this or any of our other policies, please see our Terms & Conditions page.Item has been added to Shopping Cart
If you are ready to order, navigate to Shopping Cart and get ready to checkout.
