Rabbit anti-Human 60S ribosome subunit biogenesis protein NIP7 homolog Polyclonal Antibody | anti-NIP7 antibody
Rabbit anti-human 60S ribosome subunit biogenesis protein NIP7 homolog polyclonal Antibody(NIP7)
Gene Names
NIP7; KD93; CGI-37; HSPC031
Reactivity
Human
Applications
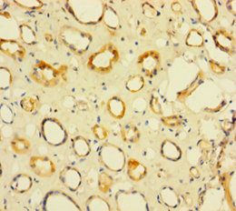
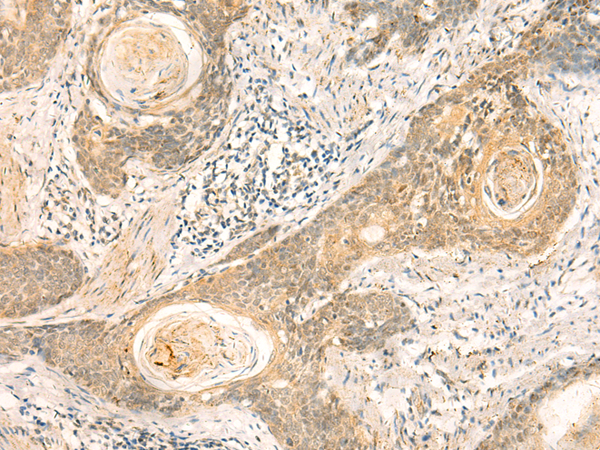
Immunohistochemistry, ELISA
Purity
Caprylic Acid Ammonium Sulfate Precipitation Purified
Synonyms
60S ribosome subunit biogenesis protein NIP7 homolog, Antibody; Rabbit anti-human 60S ribosome subunit biogenesis protein NIP7 homolog polyclonal Antibody(NIP7); KD93; CGI-37; HSPC031; HSPC180; OK/SW-cl.76; OK/SW-cl.78; NIP7; anti-NIP7 antibody
Host
Rabbit
Reactivity
Human
Clonality
Polyclonal
Isotype
IgG
Purity/Purification
Caprylic Acid Ammonium Sulfate Precipitation Purified
Sequence Length
133
Applicable Applications for anti-NIP7 antibody
IHC (Immunohistochemistry), ELISA
Storage Buffer
Preservative: 0.03% Proclin 300
Constituents: 50% Glycerol, 0.01M PBS, PH 7.4
Constituents: 50% Glycerol, 0.01M PBS, PH 7.4
Conjugate
Non-conjugated
Immunogen
Recombinant human 60S ribosome subunit biogenesis protein NIP7 homolog protein(1-180AA)
Santa Cruz Alternative
Potential replacement for Santa Cruz Biotechnology antibody catalog# sc-131996 / sc-131997 / sc-102038
Preparation and Storage
Shipped at 4 degree C. Upon delivery aliquot and store at -20 degree C or -80 degree C. Avoid repeated freeze.
Related Product Information for anti-NIP7 antibody
Required for proper 34S pre-rRNA processing and 60S ribosome subunit assembly.
NCBI and Uniprot Product Information
NCBI GI #
NCBI GeneID
NCBI Accession #
NCBI GenBank Nucleotide #
Molecular Weight
15,222 Da
NCBI Official Full Name
60S ribosome subunit biogenesis protein NIP7 homolog isoform 2
NCBI Official Synonym Full Names
NIP7, nucleolar pre-rRNA processing protein
NCBI Official Symbol
NIP7
NCBI Official Synonym Symbols
KD93; CGI-37; HSPC031
NCBI Protein Information
60S ribosome subunit biogenesis protein NIP7 homolog
UniProt Protein Name
60S ribosome subunit biogenesis protein NIP7 homolog
UniProt Gene Name
NIP7
UniProt Entry Name
NIP7_HUMAN
Customer Reviews
Loading reviews...
Share Your Experience
Similar Products
Product Notes
The NIP7 nip7 (Catalog #AAA119293) is an Antibody produced from Rabbit and is intended for research purposes only. The product is available for immediate purchase. The Rabbit anti-human 60S ribosome subunit biogenesis protein NIP7 homolog polyclonal Antibody(NIP7) reacts with Human and may cross-react with other species as described in the data sheet. AAA Biotech's 60S ribosome subunit biogenesis protein NIP7 homolog can be used in a range of immunoassay formats including, but not limited to, IHC (Immunohistochemistry), ELISA. Researchers should empirically determine the suitability of the NIP7 nip7 for an application not listed in the data sheet. Researchers commonly develop new applications and it is an integral, important part of the investigative research process. It is sometimes possible for the material contained within the vial of "60S ribosome subunit biogenesis protein NIP7 homolog, Polyclonal Antibody" to become dispersed throughout the inside of the vial, particularly around the seal of said vial, during shipment and storage. We always suggest centrifuging these vials to consolidate all of the liquid away from the lid and to the bottom of the vial prior to opening. Please be advised that certain products may require dry ice for shipping and that, if this is the case, an additional dry ice fee may also be required.Precautions
All products in the AAA Biotech catalog are strictly for research-use only, and are absolutely not suitable for use in any sort of medical, therapeutic, prophylactic, in-vivo, or diagnostic capacity. By purchasing a product from AAA Biotech, you are explicitly certifying that said products will be properly tested and used in line with industry standard. AAA Biotech and its authorized distribution partners reserve the right to refuse to fulfill any order if we have any indication that a purchaser may be intending to use a product outside of our accepted criteria.Disclaimer
Though we do strive to guarantee the information represented in this datasheet, AAA Biotech cannot be held responsible for any oversights or imprecisions. AAA Biotech reserves the right to adjust any aspect of this datasheet at any time and without notice. It is the responsibility of the customer to inform AAA Biotech of any product performance issues observed or experienced within 30 days of receipt of said product. To see additional details on this or any of our other policies, please see our Terms & Conditions page.Item has been added to Shopping Cart
If you are ready to order, navigate to Shopping Cart and get ready to checkout.
