Rabbit anti-Human A-kinase anchor protein 8 Polyclonal Antibody | anti-AKAP8L antibody
Rabbit anti-human A-kinase anchor protein 8-like polyclonal Antibody(AKAP8L)
Gene Names
AKAP8L; HA95; HAP95; NAKAP; NAKAP95
Reactivity
Human
Applications
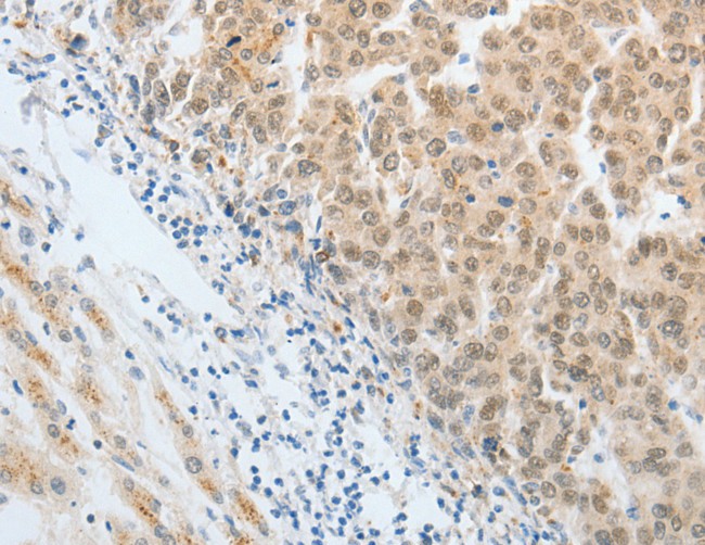
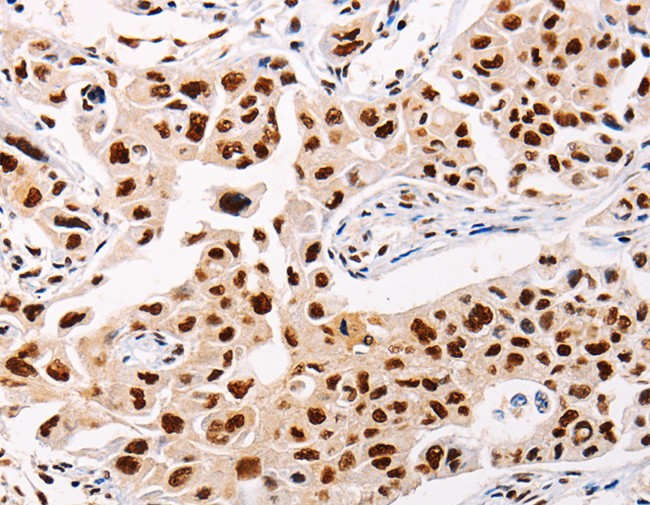
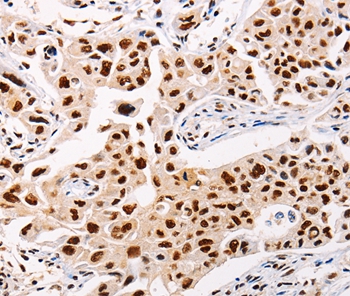
Immunohistochemistry, ELISA
Purity
Antigen Affinity Purified
Synonyms
A-kinase anchor protein 8, Antibody; Rabbit anti-human A-kinase anchor protein 8-like polyclonal Antibody(AKAP8L); AKAP8-like protein; Helicase A-binding protein 95; HAP95; Homologous to AKAP95 protein; HA95; Neighbor of A-kinase-anchoring protein 95; Neighbor of AKAP95; AKAP8L; NAKAP; NAKAP95; HRIHFB2018; anti-AKAP8L antibody
Host
Rabbit
Reactivity
Human
Clonality
Polyclonal
Isotype
IgG
Purity/Purification
Antigen Affinity Purified
Sequence Length
585
Applicable Applications for anti-AKAP8L antibody
IHC (Immunohistochemistry), ELISA
Storage Buffer
PBS with 0.02% sodium azide, 50% glycerol, pH7.3.
Conjugate
Non-conjugated
Immunogen
Recombinant human A-kinase anchor protein 8-like protein (1-240aa)
Santa Cruz Alternative
Potential replacement for Santa Cruz Biotechnology antibody catalog# sc-132213
Preparation and Storage
Shipped at 4 degree C. Upon delivery aliquot and store at -20 degree C or -80 degree C. Avoid repeated freeze.
Related Product Information for anti-AKAP8L antibody
Could play a role in constitutive transport element (CTE)-mediated gene expression. Does not seem to be implicated in the binding of regulatory subunit II of PKA. May be involved in nuclear envelope breakdown and chromatin condensation. May regulate the initiation phase of DNA replication when associated with TMPO-beta.
NCBI and Uniprot Product Information
NCBI GI #
NCBI GeneID
NCBI Accession #
NCBI GenBank Nucleotide #
Molecular Weight
65,230 Da
NCBI Official Full Name
A-kinase anchor protein 8-like isoform 2
NCBI Official Synonym Full Names
A-kinase anchoring protein 8 like
NCBI Official Symbol
AKAP8L
NCBI Official Synonym Symbols
HA95; HAP95; NAKAP; NAKAP95
NCBI Protein Information
A-kinase anchor protein 8-like
UniProt Protein Name
A-kinase anchor protein 8-like
UniProt Gene Name
AKAP8L
UniProt Synonym Gene Names
NAKAP; NAKAP95; AKAP8-like protein; HAP95; HA95; Neighbor of AKAP95
UniProt Entry Name
AKP8L_HUMAN
Customer Reviews
Loading reviews...
Share Your Experience
Similar Products
Product Notes
The AKAP8L akap8l (Catalog #AAA118751) is an Antibody produced from Rabbit and is intended for research purposes only. The product is available for immediate purchase. The Rabbit anti-human A-kinase anchor protein 8-like polyclonal Antibody(AKAP8L) reacts with Human and may cross-react with other species as described in the data sheet. AAA Biotech's A-kinase anchor protein 8 can be used in a range of immunoassay formats including, but not limited to, IHC (Immunohistochemistry), ELISA. Researchers should empirically determine the suitability of the AKAP8L akap8l for an application not listed in the data sheet. Researchers commonly develop new applications and it is an integral, important part of the investigative research process. It is sometimes possible for the material contained within the vial of "A-kinase anchor protein 8, Polyclonal Antibody" to become dispersed throughout the inside of the vial, particularly around the seal of said vial, during shipment and storage. We always suggest centrifuging these vials to consolidate all of the liquid away from the lid and to the bottom of the vial prior to opening. Please be advised that certain products may require dry ice for shipping and that, if this is the case, an additional dry ice fee may also be required.Precautions
All products in the AAA Biotech catalog are strictly for research-use only, and are absolutely not suitable for use in any sort of medical, therapeutic, prophylactic, in-vivo, or diagnostic capacity. By purchasing a product from AAA Biotech, you are explicitly certifying that said products will be properly tested and used in line with industry standard. AAA Biotech and its authorized distribution partners reserve the right to refuse to fulfill any order if we have any indication that a purchaser may be intending to use a product outside of our accepted criteria.Disclaimer
Though we do strive to guarantee the information represented in this datasheet, AAA Biotech cannot be held responsible for any oversights or imprecisions. AAA Biotech reserves the right to adjust any aspect of this datasheet at any time and without notice. It is the responsibility of the customer to inform AAA Biotech of any product performance issues observed or experienced within 30 days of receipt of said product. To see additional details on this or any of our other policies, please see our Terms & Conditions page.Item has been added to Shopping Cart
If you are ready to order, navigate to Shopping Cart and get ready to checkout.
