Rabbit anti-Human AADACL2 Polyclonal Antibody | anti-AADACL2 antibody
AADACL2 Antibody
Reactivity
Human
Applications
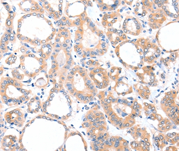
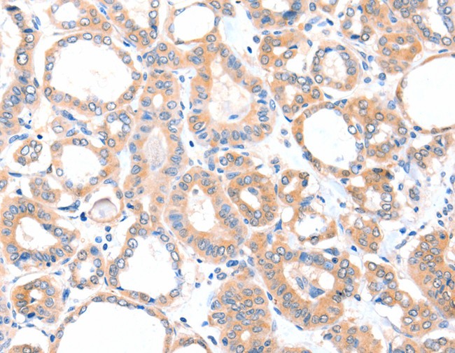
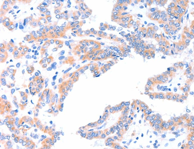
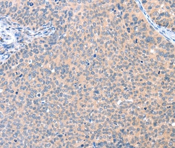
Immunohistochemistry
Purity
Antigen affinity purification.
Synonyms
AADACL2, Antibody; AADACL2 Antibody; ADCL2; MGC72001; Arylacetamide deacetylase-like 2; anti-AADACL2 antibody
Host
Rabbit
Reactivity
Human
Clonality
Polyclonal
Specificity
The antibody detects endogenous levels of total AADACL2 protein.
Purity/Purification
Antigen affinity purification.
Form/Format
Rabbit IgG in pH7.3 PBS, 0.05% NaN3, 50% Glycerol.
Concentration
1.1 mg/ml (varies by lot)
Sequence Length
401
Applicable Applications for anti-AADACL2 antibody
IHC (Immunohistochemistry)
Immunogen Type
Recombinant Protein
Immunogen Description
Fusion protein corresponding to residues near the C terminal of human arylacetamide deacetylase-like 2
Target Name
AADACL2
Preparation and Storage
Store at -20 degree C
Related Product Information for anti-AADACL2 antibody
AADAC is a 45 kDa membrane-associated hydrolase highly expressed in the human liver that has been implicated in the hydrolysis of arylacetamide xenobiotics including flutamide and phenacetin.556¨C560AADAC is highly homologous to several related lipases, AADACL1, 2, and 4, the latter two of which remain completely unannotated. Overexpression of AADAC in a rat hepatoma cell line produces changes in cellular TG levels, apoplipoprotein B secretion, and fatty acid oxidation, but the mechanism for these effects remains unclear.561 Candidate endogenous substrates, selective inhibitors, or knockout mice have not, to our knowledge, been described for AADAC or the related enzymes AADACL2 and AADACL4.
Product Categories/Family for anti-AADACL2 antibody
NCBI and Uniprot Product Information
NCBI GI #
NCBI GeneID
NCBI Accession #
NCBI GenBank Nucleotide #
Molecular Weight
5,863 Da
NCBI Official Full Name
arylacetamide deacetylase-like 2
NCBI Official Synonym Full Names
arylacetamide deacetylase-like 2
NCBI Official Symbol
AADACL2
NCBI Protein Information
arylacetamide deacetylase-like 2
UniProt Protein Name
Arylacetamide deacetylase-like 2
UniProt Gene Name
AADACL2
UniProt Entry Name
ADCL2_HUMAN
Customer Reviews
Loading reviews...
Share Your Experience
Similar Products
Product Notes
The AADACL2 aadacl2 (Catalog #AAA302314) is an Antibody produced from Rabbit and is intended for research purposes only. The product is available for immediate purchase. The AADACL2 Antibody reacts with Human and may cross-react with other species as described in the data sheet. AAA Biotech's AADACL2 can be used in a range of immunoassay formats including, but not limited to, IHC (Immunohistochemistry). Researchers should empirically determine the suitability of the AADACL2 aadacl2 for an application not listed in the data sheet. Researchers commonly develop new applications and it is an integral, important part of the investigative research process. It is sometimes possible for the material contained within the vial of "AADACL2, Polyclonal Antibody" to become dispersed throughout the inside of the vial, particularly around the seal of said vial, during shipment and storage. We always suggest centrifuging these vials to consolidate all of the liquid away from the lid and to the bottom of the vial prior to opening. Please be advised that certain products may require dry ice for shipping and that, if this is the case, an additional dry ice fee may also be required.Precautions
All products in the AAA Biotech catalog are strictly for research-use only, and are absolutely not suitable for use in any sort of medical, therapeutic, prophylactic, in-vivo, or diagnostic capacity. By purchasing a product from AAA Biotech, you are explicitly certifying that said products will be properly tested and used in line with industry standard. AAA Biotech and its authorized distribution partners reserve the right to refuse to fulfill any order if we have any indication that a purchaser may be intending to use a product outside of our accepted criteria.Disclaimer
Though we do strive to guarantee the information represented in this datasheet, AAA Biotech cannot be held responsible for any oversights or imprecisions. AAA Biotech reserves the right to adjust any aspect of this datasheet at any time and without notice. It is the responsibility of the customer to inform AAA Biotech of any product performance issues observed or experienced within 30 days of receipt of said product. To see additional details on this or any of our other policies, please see our Terms & Conditions page.Item has been added to Shopping Cart
If you are ready to order, navigate to Shopping Cart and get ready to checkout.
