Rabbit anti-Human ADAM10 Polyclonal Antibody | anti-ADAM10 antibody
IHC-plus ADAM10 Antibody
Reactivity
Human
Applications
Western Blot, ELISA, Immunocytochemistry
Purity
Peptide affinity chromatography.
Synonyms
ADAM10, Antibody; IHC-plus ADAM10 Antibody; ADAM10; AD10; ADAM 10; Kuzbanian; HsT18717; CD156c; CD156c antigen; CDw156; Kuz; Kuzbanian protein homolog; MADM; anti-ADAM10 antibody
Host
Rabbit
Reactivity
Human
Clonality
Polyclonal
Isotype
IgG
Specificity
ADAM10 Antibody detects endogenous levels of total ADAM10.
Purity/Purification
Peptide affinity chromatography.
Form/Format
PBS, pH 7.4, 150 mM NaCl, 0.02% Sodium Azide, 50% Glycerol
Applicable Applications for anti-ADAM10 antibody
WB (Western Blot), ELISA (Peptide ELISA), ICC (Immunocytochemistry)
Immunogen
Synthesized peptide derived from human ADAM10
Family
Protease
Subfamily
Metallopeptidase M12B
Conjugation
Unconjugated
Preparation and Storage
Upon receipt, store at -20 degree C. Avoid freeze-thaw cycles.
Related Product Information for anti-ADAM10 antibody
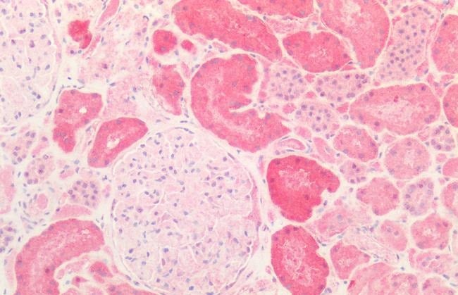
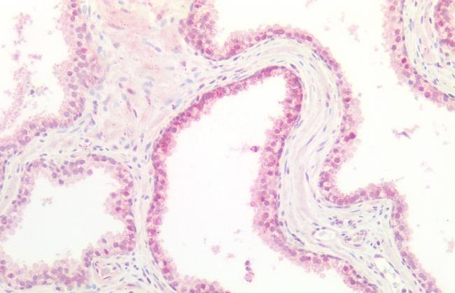
ADAM10 antibody is an unconjugated rabbit polyclonal antibody to human ADAM10. Validated for ICC, IF, IHC, Peptide-ELISA and WB. Tested on 20 paraffin-embedded human tissues.
Customer Reviews
Loading reviews...
Share Your Experience
Similar Products
Product Notes
The ADAM10 (Catalog #AAA163387) is an Antibody produced from Rabbit and is intended for research purposes only. The product is available for immediate purchase. The IHC-plus ADAM10 Antibody reacts with Human and may cross-react with other species as described in the data sheet. AAA Biotech's ADAM10 can be used in a range of immunoassay formats including, but not limited to, WB (Western Blot), ELISA (Peptide ELISA), ICC (Immunocytochemistry). Researchers should empirically determine the suitability of the ADAM10 for an application not listed in the data sheet. Researchers commonly develop new applications and it is an integral, important part of the investigative research process. It is sometimes possible for the material contained within the vial of "ADAM10, Polyclonal Antibody" to become dispersed throughout the inside of the vial, particularly around the seal of said vial, during shipment and storage. We always suggest centrifuging these vials to consolidate all of the liquid away from the lid and to the bottom of the vial prior to opening. Please be advised that certain products may require dry ice for shipping and that, if this is the case, an additional dry ice fee may also be required.Precautions
All products in the AAA Biotech catalog are strictly for research-use only, and are absolutely not suitable for use in any sort of medical, therapeutic, prophylactic, in-vivo, or diagnostic capacity. By purchasing a product from AAA Biotech, you are explicitly certifying that said products will be properly tested and used in line with industry standard. AAA Biotech and its authorized distribution partners reserve the right to refuse to fulfill any order if we have any indication that a purchaser may be intending to use a product outside of our accepted criteria.Disclaimer
Though we do strive to guarantee the information represented in this datasheet, AAA Biotech cannot be held responsible for any oversights or imprecisions. AAA Biotech reserves the right to adjust any aspect of this datasheet at any time and without notice. It is the responsibility of the customer to inform AAA Biotech of any product performance issues observed or experienced within 30 days of receipt of said product. To see additional details on this or any of our other policies, please see our Terms & Conditions page.Item has been added to Shopping Cart
If you are ready to order, navigate to Shopping Cart and get ready to checkout.
