Rabbit ADAMTS13 Polyclonal Antibody | anti-ADAMTS13 antibody
ADAMTS13 Rabbit Polyclonal Antibody
Gene Names
ADAMTS13; VWFCP; C9orf8; vWF-CP; ADAM-TS13; ADAMTS-13
Reactivity
Human, Mouse, Rat
Applications
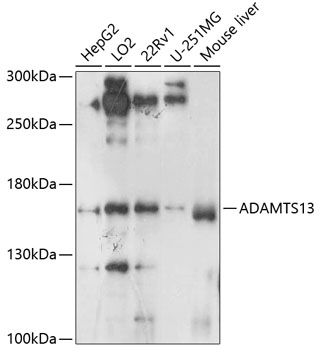
Immunofluorescence, Western Blot
Purity
Affinity purification
Synonyms
ADAMTS13, Antibody; ADAMTS13 Rabbit Polyclonal Antibody; ADAMTS13; ADAM-TS13; ADAMTS-13; C9orf8; VWFCP; vWF-CP; anti-ADAMTS13 antibody
Host
Rabbit
Reactivity
Human, Mouse, Rat
Clonality
Polyclonal
Isotype
IgG
Purity/Purification
Affinity purification
Form/Format
Buffer: PBS with 0.02% sodium azide, 50% glycerol, pH7.3.
Applicable Applications for anti-ADAMTS13 antibody
IF (Immunofluorescence), WB (Western Blot)
Immunogen
A synthetic peptide of human ADAMTS13 (NP_620594.1).
Preparation and Storage
Store at -20 degree C. Avoid freeze/thaw cycles.
Related Product Information for anti-ADAMTS13 antibody
This gene encodes a member of a family of proteins containing several distinct regions, including a metalloproteinase domain, a disintegrin-like domain, and a thrombospondin type 1 (TS) motif. The enzyme encoded by this gene specifically cleaves von Willebrand Factor (vWF). Defects in this gene are associated with thrombotic thrombocytopenic purpura. Alternative splicing results in multiple transcript variants.
Product Categories/Family for anti-ADAMTS13 antibody
NCBI and Uniprot Product Information
NCBI GI #
NCBI GeneID
NCBI Accession #
NCBI GenBank Nucleotide #
Molecular Weight
147,804 Da
NCBI Official Full Name
A disintegrin and metalloproteinase with thrombospondin motifs 13 isoform 2 preproprotein
NCBI Official Synonym Full Names
ADAM metallopeptidase with thrombospondin type 1 motif 13
NCBI Official Symbol
ADAMTS13
NCBI Official Synonym Symbols
VWFCP; C9orf8; vWF-CP; ADAM-TS13; ADAMTS-13
NCBI Protein Information
A disintegrin and metalloproteinase with thrombospondin motifs 13
UniProt Protein Name
A disintegrin and metalloproteinase with thrombospondin motifs 13
UniProt Gene Name
ADAMTS13
UniProt Synonym Gene Names
C9orf8; ADAM-TS 13; ADAM-TS13; ADAMTS-13; vWF-CP; vWF-cleaving protease
Customer Reviews
Loading reviews...
Share Your Experience
Similar Products
Product Notes
The ADAMTS13 adamts13 (Catalog #AAA314180) is an Antibody produced from Rabbit and is intended for research purposes only. The product is available for immediate purchase. The ADAMTS13 Rabbit Polyclonal Antibody reacts with Human, Mouse, Rat and may cross-react with other species as described in the data sheet. AAA Biotech's ADAMTS13 can be used in a range of immunoassay formats including, but not limited to, IF (Immunofluorescence), WB (Western Blot). Researchers should empirically determine the suitability of the ADAMTS13 adamts13 for an application not listed in the data sheet. Researchers commonly develop new applications and it is an integral, important part of the investigative research process. It is sometimes possible for the material contained within the vial of "ADAMTS13, Polyclonal Antibody" to become dispersed throughout the inside of the vial, particularly around the seal of said vial, during shipment and storage. We always suggest centrifuging these vials to consolidate all of the liquid away from the lid and to the bottom of the vial prior to opening. Please be advised that certain products may require dry ice for shipping and that, if this is the case, an additional dry ice fee may also be required.Precautions
All products in the AAA Biotech catalog are strictly for research-use only, and are absolutely not suitable for use in any sort of medical, therapeutic, prophylactic, in-vivo, or diagnostic capacity. By purchasing a product from AAA Biotech, you are explicitly certifying that said products will be properly tested and used in line with industry standard. AAA Biotech and its authorized distribution partners reserve the right to refuse to fulfill any order if we have any indication that a purchaser may be intending to use a product outside of our accepted criteria.Disclaimer
Though we do strive to guarantee the information represented in this datasheet, AAA Biotech cannot be held responsible for any oversights or imprecisions. AAA Biotech reserves the right to adjust any aspect of this datasheet at any time and without notice. It is the responsibility of the customer to inform AAA Biotech of any product performance issues observed or experienced within 30 days of receipt of said product. To see additional details on this or any of our other policies, please see our Terms & Conditions page.Item has been added to Shopping Cart
If you are ready to order, navigate to Shopping Cart and get ready to checkout.
