Rabbit ADAMTS5 Polyclonal Antibody | anti-ADAMTS5 antibody
ADAMTS5 Antibody
Predicted Reactivity: Pig(100%), Bovine(100%), Horse(100%), Sheep(100%), Rabbit(100%), Dog(100%), Chicken(100%), Xenopus(100%)
Predicted Reactivity: Pig(100%), Bovine(100%), Horse(100%), Sheep(100%), Rabbit(100%), Dog(100%), Chicken(100%), Xenopus(100%)
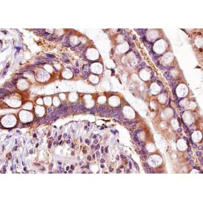
IHC (Immunohiostchemistry)
(AAA328908 at 1/100 staining Human colon carcinoma tissue sections by IHC-P. The tissue was formaldehyde fixed and a heat mediated antigen retrieval step in citrate buffer was performed. The tissue was then blocked and incubated with the antibody for 1.5 hours at 22°C. An HRP conjugated goat anti-rabbit antibody was used as the secondary antibody.)
WB (Western Blot)
(Western blot analysis on Mouse brain lysates using ADAMTS5 antibodyThe lane on the left was treated with the antigen-specific peptide.)
Post Translational Modifications: The precursor is cleaved by furin and PCSK7 outside of the cell.C- and O-glycosylated. O-fucosylated by POFUT2 on a serine or a threonine residue found within the consensus sequence C1-X(2)-(S/T)-C2-G of the TSP type-1 repeat domains where C1 and C2 are the first and second cysteine residue of the repeat, respectively. Fucosylated repeats can then be further glycosylated by the addition of a beta-1,3-glucose residue by the glucosyltransferase, B3GALTL. Fucosylation can mediate the efficient secretion of ADAMTS family members. Can be C-glycosylated with one or two mannose molecules on tryptophan residues within the consensus sequence W-X-X-W of the TPRs, and N-glycosylated. These other glycosylations can also facilitate secretion (By similarity).Glycosylated. Can be O-fucosylated by POFUT2 on a serine or a threonine residue found within the consensus sequence C1-X(2)-(S/T)-C2-G of the TSP type-1 repeat domains where C1 and C2 are the first and second cysteine residue of the repeat, respectively. Fucosylated repeats can then be further glycosylated by the addition of a beta-1,3-glucose residue by the glucosyltransferase, B3GALTL. Fucosylation mediates the efficient secretion of ADAMTS family members. Also can be C-glycosylated with one or two mannose molecules on tryptophan residues within the consensus sequence W-X-X-W of the TPRs, and N-glycosylated. These other glycosylations can also facilitate secretion (By similarity).
Subcellular Location: Secreted>Extracellular space>Extracellular matrix.
Tissue Specificity: Expressed at low level in placenta primarily but also detected in heart and brain, cervix, uterus, bladder, esophagus, rib cartilage, chondroblastoma, fibrous tissue and a joint capsule from an arthritic patient.
Similarity: The spacer domain and the TSP type-1 domains are important for a tight interaction with the extracellular matrix.The conserved cysteine present in the cysteine-switch motif binds the catalytic zinc ion, thus inhibiting the enzyme. The dissociation of the cysteine from the zinc ion upon the activation-peptide release activates the enzyme.
NCBI and Uniprot Product Information
Predicted Molecular Weight: (Calculated)102kDa.
Customer Reviews
Loading reviews...
Share Your Experience
Similar Products
Product Notes
The ADAMTS5 adamts5 (Catalog #AAA328908) is an Antibody produced from Rabbit and is intended for research purposes only. The product is available for immediate purchase. The ADAMTS5 Antibody reacts with Human, Mouse, Rat Predicted Reactivity: Pig(100%), Bovine(100%), Horse(100%), Sheep(100%), Rabbit(100%), Dog(100%), Chicken(100%), Xenopus(100%) and may cross-react with other species as described in the data sheet. AAA Biotech's ADAMTS5 can be used in a range of immunoassay formats including, but not limited to, ELISA. Researchers should empirically determine the suitability of the ADAMTS5 adamts5 for an application not listed in the data sheet. Researchers commonly develop new applications and it is an integral, important part of the investigative research process. It is sometimes possible for the material contained within the vial of "ADAMTS5, Polyclonal Antibody" to become dispersed throughout the inside of the vial, particularly around the seal of said vial, during shipment and storage. We always suggest centrifuging these vials to consolidate all of the liquid away from the lid and to the bottom of the vial prior to opening. Please be advised that certain products may require dry ice for shipping and that, if this is the case, an additional dry ice fee may also be required.Precautions
All products in the AAA Biotech catalog are strictly for research-use only, and are absolutely not suitable for use in any sort of medical, therapeutic, prophylactic, in-vivo, or diagnostic capacity. By purchasing a product from AAA Biotech, you are explicitly certifying that said products will be properly tested and used in line with industry standard. AAA Biotech and its authorized distribution partners reserve the right to refuse to fulfill any order if we have any indication that a purchaser may be intending to use a product outside of our accepted criteria.Disclaimer
Though we do strive to guarantee the information represented in this datasheet, AAA Biotech cannot be held responsible for any oversights or imprecisions. AAA Biotech reserves the right to adjust any aspect of this datasheet at any time and without notice. It is the responsibility of the customer to inform AAA Biotech of any product performance issues observed or experienced within 30 days of receipt of said product. To see additional details on this or any of our other policies, please see our Terms & Conditions page.Item has been added to Shopping Cart
If you are ready to order, navigate to Shopping Cart and get ready to checkout.
