Rabbit ADIPOQ Polyclonal Antibody | anti-ADIPOQ antibody
ADIPOQ Antibody
Phosphate buffered saline, pH 7.4, 150mM NaCl, 0.02% sodium azide and 50% glycerol.
WB (Western Blot)
(Western blot analysis of extracts of NCI-H460, using ADIPOQ antibody. The lane on the left is treated with the antigen-specific peptide.)
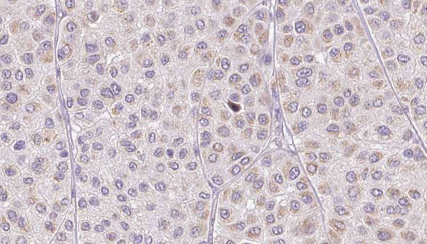
IHC (Immunohistochemistry)
(AAA326749 at 1/100 staining Human melanoma tissue by IHC-P. The sample was formaldehyde fixed and a heat mediated antigen retrieval step in citrate buffer was performed. The sample was then blocked and incubated with the antibody for 1.5 hours at 22 degree C. An HRP conjugated goat anti-rabbit antibody was used as the secondary.)
Function: Important adipokine involved in the control of fat metabolism and insulin sensitivity, with direct anti-diabetic, anti-atherogenic and anti-inflammatory activities. Stimulates AMPK phosphorylation and activation in the liver and the skeletal muscle, enhancing glucose utilization and fatty-acid combustion. Antagonizes TNF-alpha by negatively regulating its expression in various tissues such as liver and macrophages, and also by counteracting its effects. Inhibits endothelial NF-kappa-B signaling through a cAMP-dependent pathway. May play a role in cell growth, angiogenesis and tissue remodeling by binding and sequestering various growth factors with distinct binding affinities, depending on the type of complex, LMW, MMW or HMW.
Subunit Structure: Homomultimer. Forms trimers, hexamers and 12-to 18-mers. The trimers (low molecular weight complexes/LMW) are assembled via non-covalent interactions of the collagen-like domains in a triple helix and hydrophobic interactions within the globular C1q domain. Several trimers can associate to form disulfide-linked hexamers (middle molecular weight complexes/MMW) and larger complexes (higher molecular weight/HMW). The HMW-complex assembly may rely additionally on lysine hydroxylation and glycosylation. LMW, MMW and HMW complexes bind to HBEGF, MMW and HMW complexes bind to PDGFB, and HMW complex binds to FGF2. Interacts with CTRP9A via the C1q domain (heterotrimeric complex) (By similarity).
Post-translational Modifications: Hydroxylated Lys-33 was not identified in PubMed:16497731, probably due to poor representation of the N-terminal peptide in mass fingerprinting.HMW complexes are more extensively glycosylated than smaller oligomers. Hydroxylation and glycosylation of the lysine residues within the collagene-like domain of adiponectin seem to be critically involved in regulating the formation and/or secretion of HMW complexes and consequently contribute to the insulin-sensitizing activity of adiponectin in hepatocytes (By similarity). O-glycosylated. Not N-glycosylated. O-linked glycans on hydroxylysines consist of Glc-Gal disaccharides bound to the oxygen atom of post-translationally added hydroxyl groups. Sialylated to varying degrees depending on tissue. Thr-22 appears to be the major site of sialylation. Higher sialylation found in SGBS adipocytes than in HEK fibroblasts. Sialylation is not required neither for heterodimerization nor for secretion. Not sialylated on the glycosylated hydroxylysines. Desialylated forms are rapidly cleared from the circulation.
Similarity: The C1q domain is commonly called the globular domain.
NCBI and Uniprot Product Information
Predicted: 27 kDa
Customer Reviews
Loading reviews...
Share Your Experience
Similar Products
Product Notes
The ADIPOQ adipoq (Catalog #AAA326749) is an Antibody produced from Rabbit and is intended for research purposes only. The product is available for immediate purchase. The ADIPOQ Antibody reacts with Human, Mouse, Rat and may cross-react with other species as described in the data sheet. AAA Biotech's ADIPOQ can be used in a range of immunoassay formats including, but not limited to, ELISA, IHC (Immunohistochemistry), WB (Western Blot). Researchers should empirically determine the suitability of the ADIPOQ adipoq for an application not listed in the data sheet. Researchers commonly develop new applications and it is an integral, important part of the investigative research process. It is sometimes possible for the material contained within the vial of "ADIPOQ, Polyclonal Antibody" to become dispersed throughout the inside of the vial, particularly around the seal of said vial, during shipment and storage. We always suggest centrifuging these vials to consolidate all of the liquid away from the lid and to the bottom of the vial prior to opening. Please be advised that certain products may require dry ice for shipping and that, if this is the case, an additional dry ice fee may also be required.Precautions
All products in the AAA Biotech catalog are strictly for research-use only, and are absolutely not suitable for use in any sort of medical, therapeutic, prophylactic, in-vivo, or diagnostic capacity. By purchasing a product from AAA Biotech, you are explicitly certifying that said products will be properly tested and used in line with industry standard. AAA Biotech and its authorized distribution partners reserve the right to refuse to fulfill any order if we have any indication that a purchaser may be intending to use a product outside of our accepted criteria.Disclaimer
Though we do strive to guarantee the information represented in this datasheet, AAA Biotech cannot be held responsible for any oversights or imprecisions. AAA Biotech reserves the right to adjust any aspect of this datasheet at any time and without notice. It is the responsibility of the customer to inform AAA Biotech of any product performance issues observed or experienced within 30 days of receipt of said product. To see additional details on this or any of our other policies, please see our Terms & Conditions page.Item has been added to Shopping Cart
If you are ready to order, navigate to Shopping Cart and get ready to checkout.
