Rabbit ADSL Polyclonal Antibody | anti-ADSL antibody
ADSL Polyclonal Antibody
Gene Names
ADSL; ASL; AMPS; ASASE
Reactivity
Human, Mouse, Rat
Applications
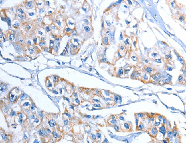
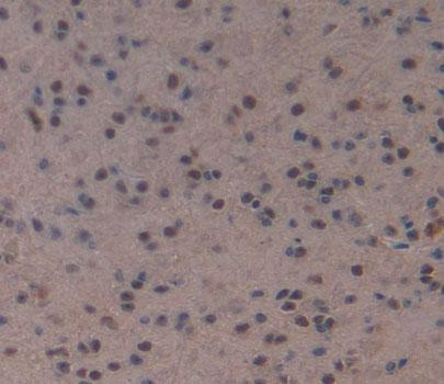
Immunohistochemistry, ELISA
Purity
Antigen affinity purification
Synonyms
ADSL, Antibody; ADSL Polyclonal Antibody; ASL; AMPS; ASASE; anti-ADSL antibody
Host
Rabbit
Reactivity
Human, Mouse, Rat
Clonality
Polyclonal
Isotype
IgG
Purity/Purification
Antigen affinity purification
Concentration
0.7mg/mL (varies by lot)
Sequence Length
425
Applicable Applications for anti-ADSL antibody
IHC (Immunohistochemistry), ELISA
Immunogen
Recombinant protein of human ADSL
Buffer
PBS with 0.05% sodium azide, 50% glycerol, pH7.3
Preparation and Storage
Store at -20 degree C (regular) and -80 degree C (long term). Avoid freeze / thaw cycles.
Related Product Information for anti-ADSL antibody
Adenylsuccinate lyase is involved in both de novo synthesis of purines and formation of adenosine monophosphate from inosine monophosphate. It catalyzes two reactions in AMP biosynthesis: the removal of a fumarate from succinylaminoimidazole carboxamide (SAICA) ribotide to give aminoimidazole carboxamide ribotide (AICA) and removal of fumarate from adenylosuccinate to give AMP. Adenylosuccinase deficiency results in succinylpurinemic autism, psychomotor retardation, and, in some cases, growth retardation associated with muscle wasting and epilepsy. Two transcript variants encoding different isoforms have been found for this gene.
NCBI and Uniprot Product Information
NCBI GI #
NCBI GeneID
NCBI Accession #
NCBI GenBank Nucleotide #
Molecular Weight
48,328 Da
NCBI Official Full Name
adenylosuccinate lyase isoform b
NCBI Official Synonym Full Names
adenylosuccinate lyase
NCBI Official Symbol
ADSL
NCBI Official Synonym Symbols
ASL; AMPS; ASASE
NCBI Protein Information
adenylosuccinate lyase; adenylosuccinase
UniProt Protein Name
Adenylosuccinate lyase
UniProt Gene Name
ADSL
UniProt Synonym Gene Names
AMPS; ASL; ASase
UniProt Entry Name
PUR8_HUMAN
Customer Reviews
Loading reviews...
Share Your Experience
Similar Products
Product Notes
The ADSL adsl (Catalog #AAA167771) is an Antibody produced from Rabbit and is intended for research purposes only. The product is available for immediate purchase. The ADSL Polyclonal Antibody reacts with Human, Mouse, Rat and may cross-react with other species as described in the data sheet. AAA Biotech's ADSL can be used in a range of immunoassay formats including, but not limited to, IHC (Immunohistochemistry), ELISA. Researchers should empirically determine the suitability of the ADSL adsl for an application not listed in the data sheet. Researchers commonly develop new applications and it is an integral, important part of the investigative research process. It is sometimes possible for the material contained within the vial of "ADSL, Polyclonal Antibody" to become dispersed throughout the inside of the vial, particularly around the seal of said vial, during shipment and storage. We always suggest centrifuging these vials to consolidate all of the liquid away from the lid and to the bottom of the vial prior to opening. Please be advised that certain products may require dry ice for shipping and that, if this is the case, an additional dry ice fee may also be required.Precautions
All products in the AAA Biotech catalog are strictly for research-use only, and are absolutely not suitable for use in any sort of medical, therapeutic, prophylactic, in-vivo, or diagnostic capacity. By purchasing a product from AAA Biotech, you are explicitly certifying that said products will be properly tested and used in line with industry standard. AAA Biotech and its authorized distribution partners reserve the right to refuse to fulfill any order if we have any indication that a purchaser may be intending to use a product outside of our accepted criteria.Disclaimer
Though we do strive to guarantee the information represented in this datasheet, AAA Biotech cannot be held responsible for any oversights or imprecisions. AAA Biotech reserves the right to adjust any aspect of this datasheet at any time and without notice. It is the responsibility of the customer to inform AAA Biotech of any product performance issues observed or experienced within 30 days of receipt of said product. To see additional details on this or any of our other policies, please see our Terms & Conditions page.Item has been added to Shopping Cart
If you are ready to order, navigate to Shopping Cart and get ready to checkout.
