Rabbit anti-Human AGBL5 Polyclonal Antibody | anti-AGBL5 antibody
AGBL5 Antibody
Gene Names
AGBL5; CCP5
Reactivity
Human
Applications
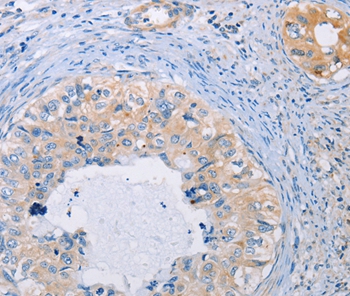
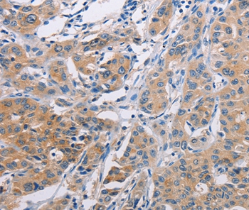
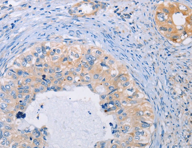
Immunohistochemistry
Purity
Antigen affinity purification.
Synonyms
AGBL5, Antibody; AGBL5 Antibody; CBPC5; CCP5; FLJ21839; anti-AGBL5 antibody
Host
Rabbit
Reactivity
Human
Clonality
Polyclonal
Specificity
The antibody detects endogenous levels of total AGBL5 protein.
Purity/Purification
Antigen affinity purification.
Form/Format
Rabbit IgG in pH7.3 PBS, 0.05% NaN3, 50% Glycerol.
Concentration
1.1 mg/ml (varies by lot)
Sequence Length
717
Applicable Applications for anti-AGBL5 antibody
IHC (Immunohistochemistry)
Immunogen Type
Recombinant Protein
Immunogen Description
Fusion protein corresponding to residues near the C terminal of human ATP/GTP binding protein-like 5
Target Name
AGBL5
Preparation and Storage
Store at -20 degree C
Related Product Information for anti-AGBL5 antibody
Metallocarboxypeptidase that mediates tubulin deglutamylation. Specifically catalyzes the deglutamylation of the branching point glutamate side chains generated by post-translational glutamylation in proteins such as tubulins. In contrast, it is not able to act as a long-chain deglutamylase that shortens long polyglutamate chains, a process catalyzed by AGTPBP1/ CCP1, AGBL1/CCP4 and AGBL4/CCP6.
Product Categories/Family for anti-AGBL5 antibody
NCBI and Uniprot Product Information
NCBI GI #
NCBI GeneID
NCBI Accession #
NCBI GenBank Nucleotide #
Molecular Weight
80,016 Da
NCBI Official Full Name
cytosolic carboxypeptidase-like protein 5 isoform 3
NCBI Official Synonym Full Names
ATP/GTP binding protein-like 5
NCBI Official Symbol
AGBL5
NCBI Official Synonym Symbols
CCP5
NCBI Protein Information
cytosolic carboxypeptidase-like protein 5
UniProt Protein Name
Cytosolic carboxypeptidase-like protein 5
UniProt Gene Name
AGBL5
UniProt Synonym Gene Names
CCP5
UniProt Entry Name
CBPC5_HUMAN
Customer Reviews
Loading reviews...
Share Your Experience
Similar Products
Product Notes
The AGBL5 agbl5 (Catalog #AAA301298) is an Antibody produced from Rabbit and is intended for research purposes only. The product is available for immediate purchase. The AGBL5 Antibody reacts with Human and may cross-react with other species as described in the data sheet. AAA Biotech's AGBL5 can be used in a range of immunoassay formats including, but not limited to, IHC (Immunohistochemistry). Researchers should empirically determine the suitability of the AGBL5 agbl5 for an application not listed in the data sheet. Researchers commonly develop new applications and it is an integral, important part of the investigative research process. It is sometimes possible for the material contained within the vial of "AGBL5, Polyclonal Antibody" to become dispersed throughout the inside of the vial, particularly around the seal of said vial, during shipment and storage. We always suggest centrifuging these vials to consolidate all of the liquid away from the lid and to the bottom of the vial prior to opening. Please be advised that certain products may require dry ice for shipping and that, if this is the case, an additional dry ice fee may also be required.Precautions
All products in the AAA Biotech catalog are strictly for research-use only, and are absolutely not suitable for use in any sort of medical, therapeutic, prophylactic, in-vivo, or diagnostic capacity. By purchasing a product from AAA Biotech, you are explicitly certifying that said products will be properly tested and used in line with industry standard. AAA Biotech and its authorized distribution partners reserve the right to refuse to fulfill any order if we have any indication that a purchaser may be intending to use a product outside of our accepted criteria.Disclaimer
Though we do strive to guarantee the information represented in this datasheet, AAA Biotech cannot be held responsible for any oversights or imprecisions. AAA Biotech reserves the right to adjust any aspect of this datasheet at any time and without notice. It is the responsibility of the customer to inform AAA Biotech of any product performance issues observed or experienced within 30 days of receipt of said product. To see additional details on this or any of our other policies, please see our Terms & Conditions page.Item has been added to Shopping Cart
If you are ready to order, navigate to Shopping Cart and get ready to checkout.
