Rabbit AK2 Polyclonal Antibody | anti-AK2 antibody
Anti-AK2 Antibody
Each vial contains 5mg BSA, 0.9mg NaCl, 0.2mg Na2HPO4, 0.05mg NaN3.
By Heat: Boiling the paraffin sections in 10mM citrate buffer, pH6.0, for 20mins is required for the staining of formalin/paraffin sections.
Other applications have not been tested.
IHC (Immunohistochemistry)
(AK2 was detected in paraffin-embedded sections of human lung cancer tissues using rabbit anti- AK2 Antigen Affinity purified polyclonal antibody at 1ug/mL. The immunohistochemical section was developed using SABC method.)
IHC (Immunohistochemisry)
(AK2 was detected in paraffin-embedded sections of rat liver tissues using rabbit anti- AK2 Antigen Affinity purified polyclonal antibody at 1 ug/mL. The immunohistochemical section was developed using SABC method.)
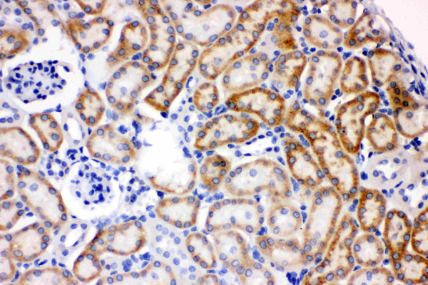
IHC (Immunohiostchemistry)
(AK2 was detected in paraffin-embedded sections of mouse kidney tissues using rabbit anti- AK2 Antigen Affinity purified polyclonal antibody at 1ug/mL. The immunohistochemical section was developed using SABC method.)
WB (Western Blot)
(Western blot analysis of AK2 expression in rat liver extract (lane 1), mouse kidney extract (lane 2) and HELA whole cell lysates (lane 3). AK2 at 26KD was detected using rabbit anti- AK2 Antigen Affinity purified polyclonal antibody at 0.5ug/mL. The blot was developed using chemiluminescence (ECL) method.)
Background: Adenylate kinase 2 is an enzyme is encoded in humans by the AK2 gene. The AK2 protein is found in the intermembrane space of the mitochondrion. Adenylate kinases are involved in regulating the adenine nucleotide composition within a cell by catalyzing the reversible transfer of phosphate groups among adenine nucleotides. Three isozymes of adenylate kinase, namely 1, 2, and 3, have been identified in vertebrates; this gene encodes isozyme 2. Expression of these isozymes is tissue-specific and developmentally regulated. Isozyme 2 is localized in the mitochondrial intermembrane space and may play a role in apoptosis. Mutations in this gene are the cause of reticular dysgenesis. Alternate splicing results in multiple transcript variants. Pseudogenes of this gene are found on chromosomes 1 and 2.
2. Köhler C, Gahm A, Noma T, et al. (1999). "Release of adenylate kinase 2 from the mitochondrial intermembrane space during apoptosis". FEBS Lett. 447 (1): 10-2.
NCBI and Uniprot Product Information
Similar Products
Product Notes
The AK2 ak2 (Catalog #AAA46819) is an Antibody produced from Rabbit and is intended for research purposes only. The product is available for immediate purchase. The Anti-AK2 Antibody reacts with Human, Mouse, Rat and may cross-react with other species as described in the data sheet. AAA Biotech's AK2 can be used in a range of immunoassay formats including, but not limited to, IHC (Immunohistochemistry), WB (Western Blot). Researchers should empirically determine the suitability of the AK2 ak2 for an application not listed in the data sheet. Researchers commonly develop new applications and it is an integral, important part of the investigative research process. It is sometimes possible for the material contained within the vial of "AK2, Polyclonal Antibody" to become dispersed throughout the inside of the vial, particularly around the seal of said vial, during shipment and storage. We always suggest centrifuging these vials to consolidate all of the liquid away from the lid and to the bottom of the vial prior to opening. Please be advised that certain products may require dry ice for shipping and that, if this is the case, an additional dry ice fee may also be required.Precautions
All products in the AAA Biotech catalog are strictly for research-use only, and are absolutely not suitable for use in any sort of medical, therapeutic, prophylactic, in-vivo, or diagnostic capacity. By purchasing a product from AAA Biotech, you are explicitly certifying that said products will be properly tested and used in line with industry standard. AAA Biotech and its authorized distribution partners reserve the right to refuse to fulfill any order if we have any indication that a purchaser may be intending to use a product outside of our accepted criteria.Disclaimer
Though we do strive to guarantee the information represented in this datasheet, AAA Biotech cannot be held responsible for any oversights or imprecisions. AAA Biotech reserves the right to adjust any aspect of this datasheet at any time and without notice. It is the responsibility of the customer to inform AAA Biotech of any product performance issues observed or experienced within 30 days of receipt of said product. To see additional details on this or any of our other policies, please see our Terms & Conditions page.Item has been added to Shopping Cart
If you are ready to order, navigate to Shopping Cart and get ready to checkout.
