Rabbit AKT1 Polyclonal Antibody | anti-AKT1 antibody
AKT1 Antibody (C-term T450)
FCM/FACS (Flow Cytometry)
(AKT1 Antibody (C-term T450) flow cytometric analysis of MCF-7 cells (right histogram) compared to a negative control cell (left histogram).FITC-conjugated goat-anti-rabbit secondary antibodies were used for the analysis.)
IF (Immunofluorescence)
(Confocal immunofluorescent analysis of AKT1 Antibody (C-term T450) with MCF-7 cell followed by Alexa Fluor 488-conjugated goat anti-rabbit lgG (green).DAPI was used to stain the cell nuclear (blue).)
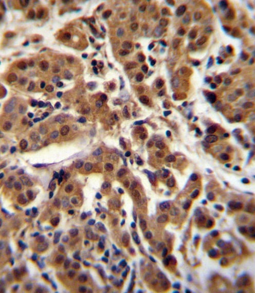
IHC (Immunohistochemisry)
(AKT1 Antibody (C-term T450) immunohistochemistry analysis in formalin fixed and paraffin embedded human breast carcinoma followed by peroxidase conjugation of the secondary antibody and DAB staining.This data demonstrates the use of AKT1 Antibody (C-term T450) for immunohistochemistry. Clinical relevance has not been evaluated.)
WB (Western Blot)
(AKT1 Antibody (pT450) western blot analysis in mouse cerebellum tissue lysates (35ug/lane).This demonstrates the AKT1 antibody detected the AKT1 protein (arrow).)
WB (Western Blot)
(AKT1 Antibody (pT450) western blot analysis in MCF-7 cell line lysates (35ug/lane).This demonstrates the AKT1 antibody detected the AKT1 protein (arrow).)
gene is catalytically inactive in serum-starved primary and
immortalized fibroblasts. AKT1 and the related AKT2 are activated
by platelet-derived growth factor. The activation is rapid and
specific, and it is abrogated by mutations in the pleckstrin
homology domain of AKT1. It was shown that the activation occurs
through phosphatidylinositol 3-kinase. In the developing nervous
system AKT is a critical mediator of growth factor-induced neuronal
survival. Survival factors can suppress apoptosis in a
transcription-independent manner by activating the serine/threonine
kinase AKT1, which then phosphorylates and inactivates components
of the apoptotic machinery. Multiple alternatively spliced
transcript variants have been found for this gene. [provided by
RefSeq].
Sanematsu, F., et al. Circ. Res. 107(9):1102-1105(2010)
Nicodemus, K.K., et al. Arch. Gen. Psychiatry 67(10):991-1001(2010)
Treekitkarnmongkol, W., et al. World J. Gastroenterol. 16(32):4047-4054(2010)
Chen, J., et al. PLoS ONE 5 (8), E12293 (2010) :
NCBI and Uniprot Product Information
Customer Reviews
Loading reviews...
Share Your Experience
Similar Products
Product Notes
The AKT1 akt1 (Catalog #AAA284406) is an Antibody produced from Rabbit and is intended for research purposes only. The product is available for immediate purchase. The immunogen sequence is 428-457. The AKT1 Antibody (C-term T450) reacts with Human, mouse (Predicted Reactivity: Bovine, Rat) and may cross-react with other species as described in the data sheet. AAA Biotech's AKT1 can be used in a range of immunoassay formats including, but not limited to, IHC (Immunohistochemistry), FCM/FACS (Flow Cytometry), WB (Western Blot), ELISA, IF (Immunofluorescence). Researchers should empirically determine the suitability of the AKT1 akt1 for an application not listed in the data sheet. Researchers commonly develop new applications and it is an integral, important part of the investigative research process. It is sometimes possible for the material contained within the vial of "AKT1, Polyclonal Antibody" to become dispersed throughout the inside of the vial, particularly around the seal of said vial, during shipment and storage. We always suggest centrifuging these vials to consolidate all of the liquid away from the lid and to the bottom of the vial prior to opening. Please be advised that certain products may require dry ice for shipping and that, if this is the case, an additional dry ice fee may also be required.Precautions
All products in the AAA Biotech catalog are strictly for research-use only, and are absolutely not suitable for use in any sort of medical, therapeutic, prophylactic, in-vivo, or diagnostic capacity. By purchasing a product from AAA Biotech, you are explicitly certifying that said products will be properly tested and used in line with industry standard. AAA Biotech and its authorized distribution partners reserve the right to refuse to fulfill any order if we have any indication that a purchaser may be intending to use a product outside of our accepted criteria.Disclaimer
Though we do strive to guarantee the information represented in this datasheet, AAA Biotech cannot be held responsible for any oversights or imprecisions. AAA Biotech reserves the right to adjust any aspect of this datasheet at any time and without notice. It is the responsibility of the customer to inform AAA Biotech of any product performance issues observed or experienced within 30 days of receipt of said product. To see additional details on this or any of our other policies, please see our Terms & Conditions page.Item has been added to Shopping Cart
If you are ready to order, navigate to Shopping Cart and get ready to checkout.
