Rabbit AKT1 Polyclonal Antibody | anti-AKT1 antibody
AKT1 antibody - N-terminal region
WB (Western Blot)
(WB Suggested Anti-AKT1 Antibody Titration: 0.2-1 ug/mlELISA Titer: 1:312500Positive Control: Human Small Intestine)
WB (Western Blot)
(WB Suggested Anti-AKT1 AntibodyPositive Control: Lane 1: 50ug preterm baboon muscle homogenateLane 2: 50ug preterm baboon muscle homogenateLane 3: 50ug term baboon muscle homogenateLane 4: 50ug term baboon muscle homogenateLane 5: 50ug adult baboon muscle homogenateLane 6: 50ug adult baboon muscle homogenatePrimary Antibody Dilution : 1:1666Secondary Antibody : Anti-rabbit-HRPSecondry Antibody Dilution : 1:1200Submitted by: Cynthia Blanco, University of Texas Health Science Center)
WB (Western Blot)
(Lanes:1. 50 ug xenopus laevis embryos lysate (lysate buffer) 2. 50 ug xenopus laevis embryos lysate (HB buffer)Primary Antibody Dilution:1:500Secondary Antibody:Goat Anti-Rabbit APSecondary Antibody Dilution:1:20,000Gene Name:AKT1Submitted by:Dr. Rosa Carotenuto, Department of Structural and Functional Biology, University of Naples 'Federico II')
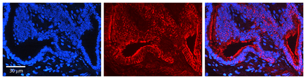
IHC (Immunohistochemistry)
(Rabbit Anti-AKT1 AntibodyFormalin Fixed Paraffin Embedded Tissue: Human Lung TissueObserved Staining: Cytoplasm, Plasma membranePrimary Antibody Concentration: 1:600Other Working Concentrations: N/ASecondary Antibody: Donkey anti-Rabbit-Cy3Secondary Antibody Concentration: 1:200Magnification: 20XExposure Time: 0.5 - 2.0 sec)
Target Description: AKT1 is a general protein kinase capable of phosphorylating several known proteins.The serine-threonine protein kinase encoded by the AKT1 gene is catalytically inactive in serum-starved primary and immortalized fibroblasts. AKT1 and the related AKT2 are activated by platelet-derived growth factor. The activation is rapid and specific, and it is abrogated by mutations in the pleckstrin homology domain of AKT1. It was shown that the activation occurs through phosphatidylinositol 3-kinase. In the developing nervous system AKT is a critical mediator of growth factor-induced neuronal survival. Survival factors can suppress apoptosis in a transcription-independent manner by activating the serine/threonine kinase AKT1, which then phosphorylates and inactivates components of the apoptotic machinery. Multiple alternatively spliced transcript variants have been found for this gene.
NCBI and Uniprot Product Information
Customer Reviews
Loading reviews...
Share Your Experience
Similar Products
Product Notes
The AKT1 akt1 (Catalog #AAA201690) is an Antibody produced from Rabbit and is intended for research purposes only. The product is available for immediate purchase. The AKT1 antibody - N-terminal region reacts with Cow, Dog, Goat, Human, Mouse, Pig, Rat, Sheep and may cross-react with other species as described in the data sheet. AAA Biotech's AKT1 can be used in a range of immunoassay formats including, but not limited to, IHC (Immunohistochemistry), WB (Western Blot). Researchers should empirically determine the suitability of the AKT1 akt1 for an application not listed in the data sheet. Researchers commonly develop new applications and it is an integral, important part of the investigative research process. The amino acid sequence is listed below: Synthetic peptide located within the following region: RSGSPSDNSG AEEMEVSLAK PKHRVTMNEF EYLKLLGKGT FGKVILVKEK. It is sometimes possible for the material contained within the vial of "AKT1, Polyclonal Antibody" to become dispersed throughout the inside of the vial, particularly around the seal of said vial, during shipment and storage. We always suggest centrifuging these vials to consolidate all of the liquid away from the lid and to the bottom of the vial prior to opening. Please be advised that certain products may require dry ice for shipping and that, if this is the case, an additional dry ice fee may also be required.Precautions
All products in the AAA Biotech catalog are strictly for research-use only, and are absolutely not suitable for use in any sort of medical, therapeutic, prophylactic, in-vivo, or diagnostic capacity. By purchasing a product from AAA Biotech, you are explicitly certifying that said products will be properly tested and used in line with industry standard. AAA Biotech and its authorized distribution partners reserve the right to refuse to fulfill any order if we have any indication that a purchaser may be intending to use a product outside of our accepted criteria.Disclaimer
Though we do strive to guarantee the information represented in this datasheet, AAA Biotech cannot be held responsible for any oversights or imprecisions. AAA Biotech reserves the right to adjust any aspect of this datasheet at any time and without notice. It is the responsibility of the customer to inform AAA Biotech of any product performance issues observed or experienced within 30 days of receipt of said product. To see additional details on this or any of our other policies, please see our Terms & Conditions page.Item has been added to Shopping Cart
If you are ready to order, navigate to Shopping Cart and get ready to checkout.
