Rabbit AKT2 Polyclonal Antibody | anti-AKT2 antibody
Anti-AKT2 Antibody
Application Data
(Anti-AKT2 Picoband antibody, AAA45720-3.jpgAll lanes: Anti-AKT2(AAA45720) at 0.5ug/mlLane 1: HELA Whole Cell Lysate at 40ugLane 2: PANC Whole Cell Lysate at 40ugLane 3: A549 Whole Cell Lysate at 40ugLane 4: COLO320 Whole Cell Lysate at 40ugLane 5: HT1080 Whole Cell Lysate at 40ugLane 6: MCF-7 Whole Cell Lysate at 40ugPredicted bind size: 56KDObserved bind size: 56KD)
IHC (Immunohiostchemistry)
(Anti-AKT2 Picoband antibody, AAA45720-2.JPGIHC(P): Human Lung Cancer Tissue)
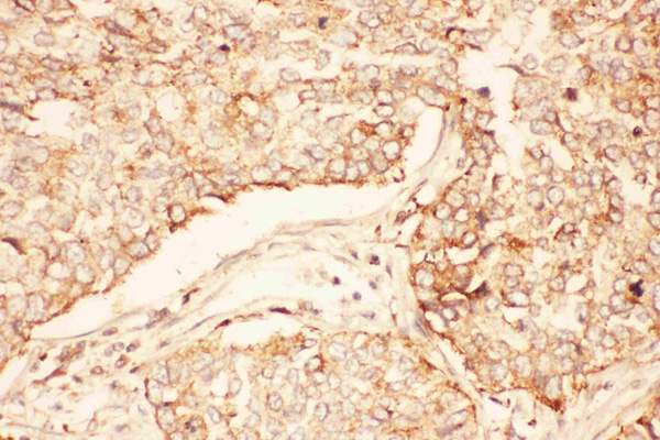
IHC (Immunohistochemistry)
(Anti-AKT2 Picoband antibody, AAA45720-1.JPGIHC(P): Human Intestinal Cancer Tissue)
Background: AKT2 is a putative oncogene encoding a protein belonging to a subfamily of serine/threonine kinases containing SH2-like (Src homology 2-like) domains. This gene is mapped to 19q13.2. AKT2 is one of 3 closely related serine/threonine-protein kinases (AKT1, AKT2 and AKT3) called the AKT kinase, and which regulate many processes including metabolism, proliferation, cell survival, growth and angiogenesis. AKT2 seems also to be the principal isoform responsible of the regulation of glucose uptake. AKT2 is also specifically involved in skeletal muscle differentiation, one of its substrates in this process being ANKRD2. Overexpression of AKT2 contributes to the malignant phenotype of a subset of human ductal pancreatic cancers.
NCBI and Uniprot Product Information
Customer Reviews
Loading reviews...
Share Your Experience
Similar Products
Product Notes
The AKT2 akt2 (Catalog #AAA45720) is an Antibody produced from Rabbit and is intended for research purposes only. The product is available for immediate purchase. The Anti-AKT2 Antibody reacts with Human, Mouse, Rat and may cross-react with other species as described in the data sheet. AAA Biotech's AKT2 can be used in a range of immunoassay formats including, but not limited to, IHC (Immunohistochemistry), WB (Western Blot). Researchers should empirically determine the suitability of the AKT2 akt2 for an application not listed in the data sheet. Researchers commonly develop new applications and it is an integral, important part of the investigative research process. It is sometimes possible for the material contained within the vial of "AKT2, Polyclonal Antibody" to become dispersed throughout the inside of the vial, particularly around the seal of said vial, during shipment and storage. We always suggest centrifuging these vials to consolidate all of the liquid away from the lid and to the bottom of the vial prior to opening. Please be advised that certain products may require dry ice for shipping and that, if this is the case, an additional dry ice fee may also be required.Precautions
All products in the AAA Biotech catalog are strictly for research-use only, and are absolutely not suitable for use in any sort of medical, therapeutic, prophylactic, in-vivo, or diagnostic capacity. By purchasing a product from AAA Biotech, you are explicitly certifying that said products will be properly tested and used in line with industry standard. AAA Biotech and its authorized distribution partners reserve the right to refuse to fulfill any order if we have any indication that a purchaser may be intending to use a product outside of our accepted criteria.Disclaimer
Though we do strive to guarantee the information represented in this datasheet, AAA Biotech cannot be held responsible for any oversights or imprecisions. AAA Biotech reserves the right to adjust any aspect of this datasheet at any time and without notice. It is the responsibility of the customer to inform AAA Biotech of any product performance issues observed or experienced within 30 days of receipt of said product. To see additional details on this or any of our other policies, please see our Terms & Conditions page.Item has been added to Shopping Cart
If you are ready to order, navigate to Shopping Cart and get ready to checkout.
