Rabbit anti-Human ALG12 Polyclonal Antibody | anti-ALG12 antibody
ALG12 Antibody
Gene Names
ALG12; CDG1G; ECM39; hALG12; PP14673
Reactivity
Human
Applications
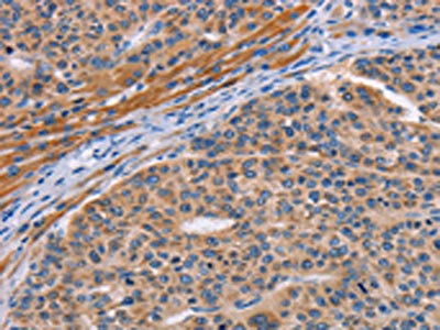
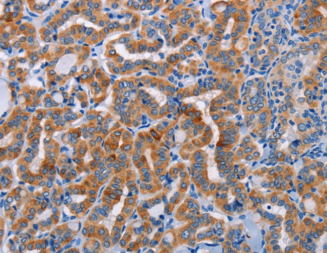
Immunohistochemistry, Western Blot
Purity
Antigen affinity purification.
Synonyms
ALG12, Antibody; ALG12 Antibody; CDG1G; ECM39; hALG12; PP14673; anti-ALG12 antibody
Host
Rabbit
Reactivity
Human
Clonality
Polyclonal
Specificity
The antibody detects endogenous levels of total ALG12 protein.
Purity/Purification
Antigen affinity purification.
Form/Format
Rabbit IgG in pH7.3 PBS, 0.05% NaN3, 50% Glycerol.
Concentration
0.8 mg/ml (varies by lot)
Sequence Length
488
Applicable Applications for anti-ALG12 antibody
IHC (Immunohistochemistry), WB (Western Blot)
Immunogen Type
Recombinant Protein
Immunogen Description
Fusion protein corresponding to a region derived from internal residues of human ALG12, alpha-1,6-mannosyltransferase
Target Name
ALG12
Preparation and Storage
Store at -20 degree C
Related Product Information for anti-ALG12 antibody
This gene encodes a member of the glycosyltransferase 22 family. The encoded protein catalyzes the addition of the eighth mannose residue in an alpha-1,6 linkage onto the dolichol-PP-oligosaccharide precursor (dolichol-PP-Man(7)GlcNAc(2)) required for protein glycosylation. Mutations in this gene have been associated with congenital disorder of glycosylation type Ig (CDG-Ig)characterized by abnormal N-glycosylation.
Product Categories/Family for anti-ALG12 antibody
NCBI and Uniprot Product Information
NCBI GI #
NCBI GeneID
NCBI Accession #
NCBI GenBank Nucleotide #
Molecular Weight
54,655 Da
NCBI Official Full Name
dol-P-Man:Man(7)GlcNAc(2)-PP-Dol alpha-1,6-mannosyltransferase
NCBI Official Synonym Full Names
ALG12, alpha-1,6-mannosyltransferase
NCBI Official Symbol
ALG12
NCBI Official Synonym Symbols
CDG1G; ECM39; hALG12; PP14673
NCBI Protein Information
dol-P-Man:Man(7)GlcNAc(2)-PP-Dol alpha-1,6-mannosyltransferase
UniProt Protein Name
Dol-P-Man:Man(7)GlcNAc(2)-PP-Dol alpha-1,6-mannosyltransferase
UniProt Gene Name
ALG12
UniProt Synonym Gene Names
hALG12
UniProt Entry Name
ALG12_HUMAN
Customer Reviews
Loading reviews...
Share Your Experience
Similar Products
Product Notes
The ALG12 alg12 (Catalog #AAA306010) is an Antibody produced from Rabbit and is intended for research purposes only. The product is available for immediate purchase. The ALG12 Antibody reacts with Human and may cross-react with other species as described in the data sheet. AAA Biotech's ALG12 can be used in a range of immunoassay formats including, but not limited to, IHC (Immunohistochemistry), WB (Western Blot). Researchers should empirically determine the suitability of the ALG12 alg12 for an application not listed in the data sheet. Researchers commonly develop new applications and it is an integral, important part of the investigative research process. It is sometimes possible for the material contained within the vial of "ALG12, Polyclonal Antibody" to become dispersed throughout the inside of the vial, particularly around the seal of said vial, during shipment and storage. We always suggest centrifuging these vials to consolidate all of the liquid away from the lid and to the bottom of the vial prior to opening. Please be advised that certain products may require dry ice for shipping and that, if this is the case, an additional dry ice fee may also be required.Precautions
All products in the AAA Biotech catalog are strictly for research-use only, and are absolutely not suitable for use in any sort of medical, therapeutic, prophylactic, in-vivo, or diagnostic capacity. By purchasing a product from AAA Biotech, you are explicitly certifying that said products will be properly tested and used in line with industry standard. AAA Biotech and its authorized distribution partners reserve the right to refuse to fulfill any order if we have any indication that a purchaser may be intending to use a product outside of our accepted criteria.Disclaimer
Though we do strive to guarantee the information represented in this datasheet, AAA Biotech cannot be held responsible for any oversights or imprecisions. AAA Biotech reserves the right to adjust any aspect of this datasheet at any time and without notice. It is the responsibility of the customer to inform AAA Biotech of any product performance issues observed or experienced within 30 days of receipt of said product. To see additional details on this or any of our other policies, please see our Terms & Conditions page.Item has been added to Shopping Cart
If you are ready to order, navigate to Shopping Cart and get ready to checkout.
