Rabbit anti-Human Alkaline Phosphatase (ALPI) Polyclonal Antibody | anti-ALPI antibody
Alkaline Phosphatase (ALPI) Antibody (Center)
IF (Immunofluorescence)
(Fluorescent confocal image of HeLa cells stained with Alkaline Phosphatase (ALPI) (Center) antibody. HeLa cells were fixed with 4% PFA (20 min), permeabilized with Triton X-100 (0.2%, 30 min). Cells were then incubated with AAA284062 Alkaline Phosphatase (ALPI) (Center) primary antibody (1:100, 2 h at room temperature). For secondary antibody, Alexa Fluor 488 conjugated donkey anti-rabbit antibody (green) was used (1:1000, 1h). Nuclei were counterstained with Hoechst 33342 (blue) (10 ug/ml, 5 min). Alkaline Phosphatase (ALPI) immunoreactivity is localized to the cytoplasm of HeLa cells.)
WB (Western Blot)
(Western blot analysis of lysate from human placenta tissue,using ALPI Antibody (Center). AAA284062 was diluted at 1:1000 at each lane. A goat anti-rabbit IgG H&L(HRP) at 1:5000 dilution was used as the secondary antibody.Lysate at 35ug per lane.)
IHC (Immunohistochemisry)
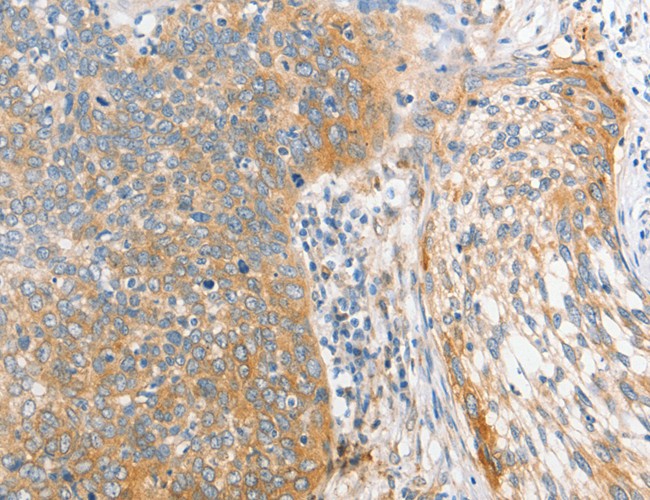
(Immunohistochemical analysis of paraffin-embedded H. liver section using JAK2 Antibody(C-term). AP1125b was diluted at 1:100 dilution. A peroxidase-conjugated goat anti-rabbit IgG at 1:400 dilution was used as the secondary antibody, followed by DAB staining.)
IHC (Immunohiostchemistry)
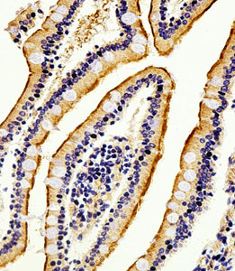
(Immunohistochemical analysis of paraffin-embedded H. small intestine section using Alkaline Phosphatase (ALPI) Antibody(Center). AAA284062 was diluted at 1:100 dilution. A peroxidase-conjugated goat anti-rabbit IgG at 1:400 dilution was used as the secondary antibody, followed by DAB staining.)
WB (Western Blot)
(Western blot analysis of lysate from human placenta tissue lysate, using ALPI Antibody (Center). AAA284062 was diluted at 1:1000. A goat anti-rabbit IgG H&L(HRP) at 1:10000 dilution was used as the secondary antibody. Lysate at 20ug.)
1.Torres,M.I., Pathol. Res. Pract. 203 (6), 485-487 (2007)
2.Olsen,L., Am. J. Physiol. Gastrointest. Liver Physiol. 289 (2), G220-G226(2005)
3.Alkhoury,F., Am. J. Physiol. Gastrointest. Liver Physiol. 289 (2), G285-G290(2005)
References for HeLa cell line:
1. Scherer WF, Syverton JT, Gey GO (May 1953). "Studies on the propagation in vitro of poliomyelitis viruses. IV. Viral multiplication in a stable strain of human malignant epithelial cells (strain HeLa) derived from an epidermoid carcinoma of the cervix". J. Exp. Med. 97 (5): 695-710. [PubMed:13052828].
2. Macville M, Schröck E, Padilla-Nash H, Keck C, Ghadimi BM, Zimonjic D, Popescu N, Ried T (January 1999). "Comprehensive and definitive molecular cytogenetic characterization of HeLa cells by spectral karyotyping". Cancer Res. 59 (1): 141-50. [PubMed: 9892199].
3. Rahbari R, Sheahan T, Modes V, Collier P, Macfarlane C, Badge RM (April 2009). "A novel L1 retrotransposon marker for HeLa cell line identification". BioTechniques 46 (4): 277-84. [PubMed: 19450234].
4. Capes-Davis A, Theodosopoulos G, Atkin I, Drexler HG, Kohara A, MacLeod RA, Masters JR, Nakamura Y, Reid YA, Reddel RR, Freshney RI (July 2010). "Check your cultures! A list of cross-contaminated or misidentified cell lines". Int. J. Cancer 127 (1): 1-8. [PubMed:20143388].
NCBI and Uniprot Product Information
Customer Reviews
Loading reviews...
Share Your Experience
Similar Products
Product Notes
The ALPI alpi (Catalog #AAA284062) is an Antibody produced from Rabbit and is intended for research purposes only. The product is available for immediate purchase. The immunogen sequence is 274-304. The Alkaline Phosphatase (ALPI) Antibody (Center) reacts with Human and may cross-react with other species as described in the data sheet. AAA Biotech's Alkaline Phosphatase (ALPI) can be used in a range of immunoassay formats including, but not limited to, IF (Immunofluorescence), IHC (Immunohistochemistry), ELISA, WB (Western Blot). Researchers should empirically determine the suitability of the ALPI alpi for an application not listed in the data sheet. Researchers commonly develop new applications and it is an integral, important part of the investigative research process. It is sometimes possible for the material contained within the vial of "Alkaline Phosphatase (ALPI), Polyclonal Antibody" to become dispersed throughout the inside of the vial, particularly around the seal of said vial, during shipment and storage. We always suggest centrifuging these vials to consolidate all of the liquid away from the lid and to the bottom of the vial prior to opening. Please be advised that certain products may require dry ice for shipping and that, if this is the case, an additional dry ice fee may also be required.Precautions
All products in the AAA Biotech catalog are strictly for research-use only, and are absolutely not suitable for use in any sort of medical, therapeutic, prophylactic, in-vivo, or diagnostic capacity. By purchasing a product from AAA Biotech, you are explicitly certifying that said products will be properly tested and used in line with industry standard. AAA Biotech and its authorized distribution partners reserve the right to refuse to fulfill any order if we have any indication that a purchaser may be intending to use a product outside of our accepted criteria.Disclaimer
Though we do strive to guarantee the information represented in this datasheet, AAA Biotech cannot be held responsible for any oversights or imprecisions. AAA Biotech reserves the right to adjust any aspect of this datasheet at any time and without notice. It is the responsibility of the customer to inform AAA Biotech of any product performance issues observed or experienced within 30 days of receipt of said product. To see additional details on this or any of our other policies, please see our Terms & Conditions page.Item has been added to Shopping Cart
If you are ready to order, navigate to Shopping Cart and get ready to checkout.
