Rabbit anti-Human ALPP Polyclonal Antibody | anti-ALPP antibody
Anti-ALPP Antibody
Each vial contains 5mg BSA, 0.9mg NaCl, 0.2mg Na2HPO4, 0.05mg NaN3.
By Heat: Boiling the paraffin sections in 10mM citrate buffer, pH6.0, for 20mins is required for the staining of formalin/paraffin sections.
Other applications have not been tested.
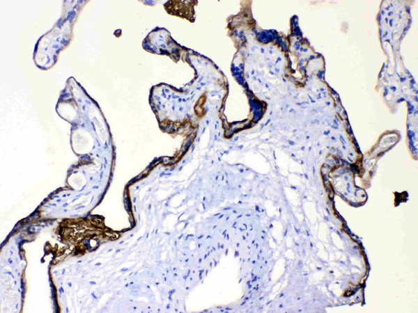
IHC (Immunohiostchemistry)
(ALPP was detected in paraffin-embedded sections of human placenta tissues using rabbit anti- ALPP Antigen Affinity purified polyclonal antibody at 1ug/mL. The immunohistochemical section was developed using SABC method.)
WB (Western Blot)
(Western blot analysis of ALPP expression in human placenta extract (lane 1). ALPP at 70KD was detected using rabbit anti- ALPP Antigen Affinity purified polyclonal antibody at 0.5ug/mL. The blot was developed using chemiluminescence (ECL) method.)
Background: Alkaline phosphatase, placental type also known as placental alkaline phosphatase (PLAP) is an allosteric enzyme that in humans is encoded by the ALPP gene. The protein encoded by this gene is an alkaline phosphatase, a metalloenzyme that catalyzes the hydrolysis of phosphoric acid monoesters. It belongs to a multigene family composed of four alkaline phosphatase isoenzymes. The enzyme functions as a homodimer and has a catalytic site containing one magnesium and two zinc ions, which are required for its enzymatic function. The protein is primarily expressed in placental and endometrial tissue; however, strong ectopic expression has been detected in ovarian adenocarcinoma, serous cystadenocarcinoma, and other ovarian cancer cells.
2. Henthorn PS, Knoll BJ, Raducha M, Rothblum KN, Slaughter C, Weiss M, Lafferty MA, Fischer T, Harris H (Sep 1986). "Products of two common alleles at the locus for human placental alkaline phosphatase differ by seven amino acids". Proc Natl Acad Sci U S A. 83 (15): 5597-601.
3. Kam W, Clauser E, Kim YS, Kan YW, Rutter WJ (Feb 1986). "Cloning, sequencing, and chromosomal localization of human term placental alkaline phosphatase cDNA". Proc Natl Acad Sci U S A. 82 (24): 8715-9.
NCBI and Uniprot Product Information
Customer Reviews
Loading reviews...
Share Your Experience
Similar Products
Product Notes
The ALPP alpp (Catalog #AAA46734) is an Antibody produced from Rabbit and is intended for research purposes only. The product is available for immediate purchase. The Anti-ALPP Antibody reacts with Human and may cross-react with other species as described in the data sheet. AAA Biotech's ALPP can be used in a range of immunoassay formats including, but not limited to, IHC (Immunohistochemistry), WB (Western Blot). Researchers should empirically determine the suitability of the ALPP alpp for an application not listed in the data sheet. Researchers commonly develop new applications and it is an integral, important part of the investigative research process. It is sometimes possible for the material contained within the vial of "ALPP, Polyclonal Antibody" to become dispersed throughout the inside of the vial, particularly around the seal of said vial, during shipment and storage. We always suggest centrifuging these vials to consolidate all of the liquid away from the lid and to the bottom of the vial prior to opening. Please be advised that certain products may require dry ice for shipping and that, if this is the case, an additional dry ice fee may also be required.Precautions
All products in the AAA Biotech catalog are strictly for research-use only, and are absolutely not suitable for use in any sort of medical, therapeutic, prophylactic, in-vivo, or diagnostic capacity. By purchasing a product from AAA Biotech, you are explicitly certifying that said products will be properly tested and used in line with industry standard. AAA Biotech and its authorized distribution partners reserve the right to refuse to fulfill any order if we have any indication that a purchaser may be intending to use a product outside of our accepted criteria.Disclaimer
Though we do strive to guarantee the information represented in this datasheet, AAA Biotech cannot be held responsible for any oversights or imprecisions. AAA Biotech reserves the right to adjust any aspect of this datasheet at any time and without notice. It is the responsibility of the customer to inform AAA Biotech of any product performance issues observed or experienced within 30 days of receipt of said product. To see additional details on this or any of our other policies, please see our Terms & Conditions page.Item has been added to Shopping Cart
If you are ready to order, navigate to Shopping Cart and get ready to checkout.
