Rabbit anti-Human ANKMY2 Polyclonal Antibody | anti-ANKMY2 antibody
ANKMY2 Antibody
Gene Names
ANKMY2; ZMYND20
Reactivity
Human
Applications
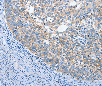
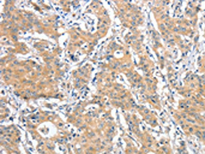
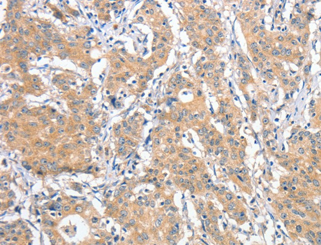
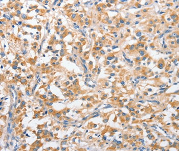
Immunohistochemistry
Purity
Antigen affinity purification.
Synonyms
ANKMY2, Antibody; ANKMY2 Antibody; ZMYND20; anti-ANKMY2 antibody
Host
Rabbit
Reactivity
Human
Clonality
Polyclonal
Specificity
The antibody detects endogenous levels of total ANKMY2 protein.
Purity/Purification
Antigen affinity purification.
Form/Format
Rabbit IgG in pH7.3 PBS, 0.05% NaN3, 50% Glycerol.
Concentration
1 mg/ml (varies by lot)
Sequence Length
441
Applicable Applications for anti-ANKMY2 antibody
IHC (Immunohistochemistry)
Immunogen Type
Recombinant Protein
Immunogen Description
Fusion protein corresponding to residues near the N terminal of human ankyrin repeat and MYND domain containing 2
Target Name
ANKMY2
Preparation and Storage
Store at -20 degree C
Related Product Information for anti-ANKMY2 antibody
ANKMY2 (ankyrin repeat and MYND domain containing 2) is a 441 amino acid protein that contains three ANK repeats and one MYND-type zinc finger. Encoded by a gene that maps to human chromosome 7p21.1, ANKMY2 is conserved in chimpanzee, dog, cow, mouse, chicken, zebrafish, fruit fly, mosquito and Caenorhabditis elegans. Downregulation of ANKMY2, associated with frequent deletions of human chromosome 7p22.1, indicate that ANKMY2 may role a role in the pathogenesis of natural killer (NK)-cell malignancies. ANKMY2 is also upregulated by enforced expression of Hox11, which functions broadly to hinder hemopoiesis, diverts differentiation to an alternative fate and promotes pre-leukaemic states.
Product Categories/Family for anti-ANKMY2 antibody
NCBI and Uniprot Product Information
NCBI GI #
NCBI GeneID
NCBI Accession #
NCBI GenBank Nucleotide #
Molecular Weight
49,299 Da
NCBI Official Full Name
ankyrin repeat and MYND domain-containing protein 2
NCBI Official Synonym Full Names
ankyrin repeat and MYND domain containing 2
NCBI Official Symbol
ANKMY2
NCBI Official Synonym Symbols
ZMYND20
NCBI Protein Information
ankyrin repeat and MYND domain-containing protein 2
UniProt Protein Name
Ankyrin repeat and MYND domain-containing protein 2
UniProt Gene Name
ANKMY2
UniProt Entry Name
ANKY2_HUMAN
Customer Reviews
Loading reviews...
Share Your Experience
Similar Products
Product Notes
The ANKMY2 ankmy2 (Catalog #AAA303194) is an Antibody produced from Rabbit and is intended for research purposes only. The product is available for immediate purchase. The ANKMY2 Antibody reacts with Human and may cross-react with other species as described in the data sheet. AAA Biotech's ANKMY2 can be used in a range of immunoassay formats including, but not limited to, IHC (Immunohistochemistry). Researchers should empirically determine the suitability of the ANKMY2 ankmy2 for an application not listed in the data sheet. Researchers commonly develop new applications and it is an integral, important part of the investigative research process. It is sometimes possible for the material contained within the vial of "ANKMY2, Polyclonal Antibody" to become dispersed throughout the inside of the vial, particularly around the seal of said vial, during shipment and storage. We always suggest centrifuging these vials to consolidate all of the liquid away from the lid and to the bottom of the vial prior to opening. Please be advised that certain products may require dry ice for shipping and that, if this is the case, an additional dry ice fee may also be required.Precautions
All products in the AAA Biotech catalog are strictly for research-use only, and are absolutely not suitable for use in any sort of medical, therapeutic, prophylactic, in-vivo, or diagnostic capacity. By purchasing a product from AAA Biotech, you are explicitly certifying that said products will be properly tested and used in line with industry standard. AAA Biotech and its authorized distribution partners reserve the right to refuse to fulfill any order if we have any indication that a purchaser may be intending to use a product outside of our accepted criteria.Disclaimer
Though we do strive to guarantee the information represented in this datasheet, AAA Biotech cannot be held responsible for any oversights or imprecisions. AAA Biotech reserves the right to adjust any aspect of this datasheet at any time and without notice. It is the responsibility of the customer to inform AAA Biotech of any product performance issues observed or experienced within 30 days of receipt of said product. To see additional details on this or any of our other policies, please see our Terms & Conditions page.Item has been added to Shopping Cart
If you are ready to order, navigate to Shopping Cart and get ready to checkout.
