Rabbit Annexin V Polyclonal Antibody | anti-ANXA5 antibody
Anti-Annexin V antibody
WB (Western Blot)
(Anti-Annexin V antibody, AAA45121, Western blottingAll lanes: Anti Annexin V (AAA45121) at 0.5ug/mlLane 1: Rat Brain Tissue Lysate at 50ugLane 2: Rat Skeletal Muscle Tissue Lysate at 50ugLane 3: Rat Ovary Tissue Lysate at 50ugLane 4: Rat Lung Tissue Lysate at 50ugLane 5: MCF-7 Whole Cell Lysate at 40ugLane 6: SMMC Whole Cell Lysate at 40ugLane 7: A549 Whole Cell Lysate at 40ugLane 8: JURKAT Whole Cell Lysate at 40ugLane 9: SGC Whole Cell Lysate at 40ugLane 10: HT1080 Whole Cell Lysate at 40ugPredicted bind size: 36KDObserved bind size: 36KD)
Background: Annexin V also know as endonnexin II(ENX2),or placental protein 4(PP4). Endonexin II is a member of the family of Ca(2+)-dependent phospholipid binding proteins, known as annexins. It bind to the phospholipids that are preferentially located on the cytosolic face of the plasma membrane. It has a relative molecular weight of about 35,000. The gene lies on mouse chromosome 3 in close linkage with the fibroblast growth factor 2(basic) gene and is syntenic with other genes known to have orthologous counterparts on human chromosome 4q. The PP4 cDNA encoded a protein of 320 amino acid residues. A single mRNA, approximately 1.6 kb long, was found to be expressed in human cell lines and placenta. PP4 is an anticoagulant protein that acts as an indirect inhibitor of the thromboplastin-specific complex, which is involved in the blood coagulation cascade.
NCBI and Uniprot Product Information
Customer Reviews
Loading reviews...
Share Your Experience
Similar Products
Product Notes
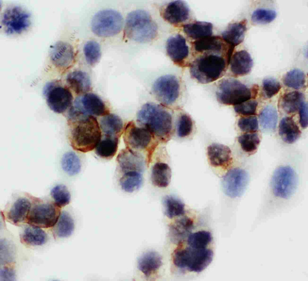
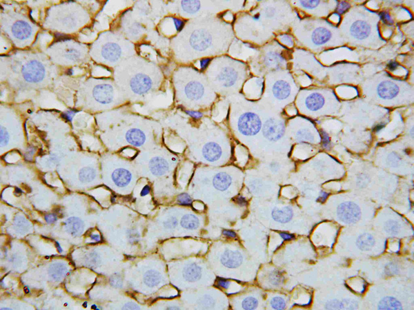
The ANXA5 anxa5 (Catalog #AAA45121) is an Antibody produced from Rabbit and is intended for research purposes only. The product is available for immediate purchase. The Anti-Annexin V antibody reacts with Human, Mouse, Rat and may cross-react with other species as described in the data sheet. AAA Biotech's Annexin V can be used in a range of immunoassay formats including, but not limited to, ICC (Immunocytochemistry), IHC (Immunohistochemistry), WB (Western Blot). Researchers should empirically determine the suitability of the ANXA5 anxa5 for an application not listed in the data sheet. Researchers commonly develop new applications and it is an integral, important part of the investigative research process. It is sometimes possible for the material contained within the vial of "Annexin V, Polyclonal Antibody" to become dispersed throughout the inside of the vial, particularly around the seal of said vial, during shipment and storage. We always suggest centrifuging these vials to consolidate all of the liquid away from the lid and to the bottom of the vial prior to opening. Please be advised that certain products may require dry ice for shipping and that, if this is the case, an additional dry ice fee may also be required.Precautions
All products in the AAA Biotech catalog are strictly for research-use only, and are absolutely not suitable for use in any sort of medical, therapeutic, prophylactic, in-vivo, or diagnostic capacity. By purchasing a product from AAA Biotech, you are explicitly certifying that said products will be properly tested and used in line with industry standard. AAA Biotech and its authorized distribution partners reserve the right to refuse to fulfill any order if we have any indication that a purchaser may be intending to use a product outside of our accepted criteria.Disclaimer
Though we do strive to guarantee the information represented in this datasheet, AAA Biotech cannot be held responsible for any oversights or imprecisions. AAA Biotech reserves the right to adjust any aspect of this datasheet at any time and without notice. It is the responsibility of the customer to inform AAA Biotech of any product performance issues observed or experienced within 30 days of receipt of said product. To see additional details on this or any of our other policies, please see our Terms & Conditions page.Item has been added to Shopping Cart
If you are ready to order, navigate to Shopping Cart and get ready to checkout.
