Rabbit ANO2 Polyclonal Antibody | anti-ANO2 antibody
ANO2 Polyclonal Antibody
Gene Names
ANO2; C12orf3; TMEM16B
Reactivity
Human, Mouse, Rat
Applications
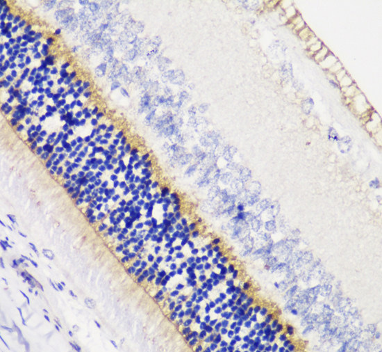
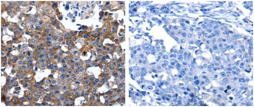
Immunohistochemistry
Purity
Affinity purification
Synonyms
ANO2, Antibody; ANO2 Polyclonal Antibody; ANO2; C12orf3; TMEM16B; anti-ANO2 antibody
Host
Rabbit
Reactivity
Human, Mouse, Rat
Clonality
Polyclonal
Isotype
IgG
Purity/Purification
Affinity purification
Form/Format
PBS with 0.02% sodium azide, 50% glycerol, pH7.3
Concentration
1mg/mL (varies by lot)
Applicable Applications for anti-ANO2 antibody
IHC (Immunohistochemistry)
Immunogen
Recombinant fusion protein of human ANO2 (NP_0012655261)
Conjugation
Unconjugated
Preparation and Storage
Store at -20 degree C. Avoid freeze/thaw cycles.
Related Product Information for anti-ANO2 antibody
ANO2 (Anoctamin 2) is a Protein Coding gene. Diseases associated with ANO2 include Von Willebrand Disease, Type 3 and Gnathodiaphyseal Dysplasia. Among its related pathways are Transport of glucose and other sugars, bile salts and organic acids, metal ions and amine compounds and Ion channel transport. Gene Ontology (GO) annotations related to this gene include protein homodimerization activity and intracellular calcium activated chloride channel activity. An important paralog of this gene is ANO1.
Product Categories/Family for anti-ANO2 antibody
NCBI and Uniprot Product Information
NCBI GI #
NCBI GeneID
NCBI Accession #
NCBI GenBank Nucleotide #
Molecular Weight
113,616 Da
NCBI Official Synonym Full Names
anoctamin 2, calcium activated chloride channel
NCBI Official Symbol
ANO2
NCBI Official Synonym Symbols
C12orf3; TMEM16B
NCBI Protein Information
anoctamin-2
UniProt Protein Name
Anoctamin-2
UniProt Gene Name
ANO2
UniProt Synonym Gene Names
C12orf3; TMEM16B
UniProt Entry Name
ANO2_HUMAN
Similar Products
Product Notes
The ANO2 ano2 (Catalog #AAA177160) is an Antibody produced from Rabbit and is intended for research purposes only. The product is available for immediate purchase. The ANO2 Polyclonal Antibody reacts with Human, Mouse, Rat and may cross-react with other species as described in the data sheet. AAA Biotech's ANO2 can be used in a range of immunoassay formats including, but not limited to, IHC (Immunohistochemistry). Researchers should empirically determine the suitability of the ANO2 ano2 for an application not listed in the data sheet. Researchers commonly develop new applications and it is an integral, important part of the investigative research process. It is sometimes possible for the material contained within the vial of "ANO2, Polyclonal Antibody" to become dispersed throughout the inside of the vial, particularly around the seal of said vial, during shipment and storage. We always suggest centrifuging these vials to consolidate all of the liquid away from the lid and to the bottom of the vial prior to opening. Please be advised that certain products may require dry ice for shipping and that, if this is the case, an additional dry ice fee may also be required.Precautions
All products in the AAA Biotech catalog are strictly for research-use only, and are absolutely not suitable for use in any sort of medical, therapeutic, prophylactic, in-vivo, or diagnostic capacity. By purchasing a product from AAA Biotech, you are explicitly certifying that said products will be properly tested and used in line with industry standard. AAA Biotech and its authorized distribution partners reserve the right to refuse to fulfill any order if we have any indication that a purchaser may be intending to use a product outside of our accepted criteria.Disclaimer
Though we do strive to guarantee the information represented in this datasheet, AAA Biotech cannot be held responsible for any oversights or imprecisions. AAA Biotech reserves the right to adjust any aspect of this datasheet at any time and without notice. It is the responsibility of the customer to inform AAA Biotech of any product performance issues observed or experienced within 30 days of receipt of said product. To see additional details on this or any of our other policies, please see our Terms & Conditions page.Item has been added to Shopping Cart
If you are ready to order, navigate to Shopping Cart and get ready to checkout.
