Rabbit anti-Human ANXA2R Polyclonal Antibody | anti-ANXA2R antibody
ANXA2R Polyclonal Antibody
Gene Names
ANXA2R; AX2R; AXIIR; C5orf39
Reactivity
Human
Applications
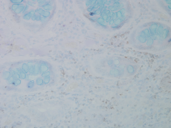
Immunohistochemistry, ELISA
Purity
Antigen affinity purification
Synonyms
ANXA2R, Antibody; ANXA2R Polyclonal Antibody; AX2R; AXIIR; C5orf39; anti-ANXA2R antibody
Host
Rabbit
Reactivity
Human
Clonality
Polyclonal
Isotype
IgG
Purity/Purification
Antigen affinity purification
Concentration
3.2mg/mL (varies by lot)
Sequence Length
193
Applicable Applications for anti-ANXA2R antibody
IHC (Immunohistochemistry), ELISA
Preparation and Storage
Store at -20 degree C. Avoid freeze / thaw cycles.
Related Product Information for anti-ANXA2R antibody
Background/Introduction: ANXA2R (annexin-2 receptor), also known as AX2R or C5orf39, is a 193 amino acid protein that is widely expressed and may act as an annexin II receptor on marrow stromal cells to induce osteoclast formation. In addition, ANXA2R is highly expressed in lymphocytes and is also found in resting CD4+ and CD8+ T cells. The gene encoding ANXA2R maps to human chromosome 5, which contains 181 million base pairs and comprises nearly 6% of the human genome. Chromosome 5 is associated with Cockayne syndrome through the ERCC8 gene and familial adenomatous polyposis through the adenomatous polyposis coli (APC) tumor suppressor gene. Treacher Collins syndrome is also chromosome 5-associated and is caused by insertions or deletions within the TCOF1 gene.
Product Categories/Family for anti-ANXA2R antibody
NCBI and Uniprot Product Information
NCBI GI #
NCBI GeneID
NCBI Accession #
NCBI GenBank Nucleotide #
NCBI Official Full Name
annexin-2 receptor
NCBI Official Synonym Full Names
annexin A2 receptor
NCBI Official Symbol
ANXA2R
NCBI Official Synonym Symbols
AX2R; AXIIR; C5orf39
NCBI Protein Information
annexin-2 receptor; annexin II receptor
UniProt Protein Name
Annexin-2 receptor
UniProt Gene Name
ANXA2R
UniProt Synonym Gene Names
AX2R; C5orf39; AXIIR
UniProt Entry Name
AX2R_HUMAN
Similar Products
Product Notes
The ANXA2R anxa2r (Catalog #AAA169017) is an Antibody produced from Rabbit and is intended for research purposes only. The product is available for immediate purchase. The ANXA2R Polyclonal Antibody reacts with Human and may cross-react with other species as described in the data sheet. AAA Biotech's ANXA2R can be used in a range of immunoassay formats including, but not limited to, IHC (Immunohistochemistry), ELISA. Researchers should empirically determine the suitability of the ANXA2R anxa2r for an application not listed in the data sheet. Researchers commonly develop new applications and it is an integral, important part of the investigative research process. It is sometimes possible for the material contained within the vial of "ANXA2R, Polyclonal Antibody" to become dispersed throughout the inside of the vial, particularly around the seal of said vial, during shipment and storage. We always suggest centrifuging these vials to consolidate all of the liquid away from the lid and to the bottom of the vial prior to opening. Please be advised that certain products may require dry ice for shipping and that, if this is the case, an additional dry ice fee may also be required.Precautions
All products in the AAA Biotech catalog are strictly for research-use only, and are absolutely not suitable for use in any sort of medical, therapeutic, prophylactic, in-vivo, or diagnostic capacity. By purchasing a product from AAA Biotech, you are explicitly certifying that said products will be properly tested and used in line with industry standard. AAA Biotech and its authorized distribution partners reserve the right to refuse to fulfill any order if we have any indication that a purchaser may be intending to use a product outside of our accepted criteria.Disclaimer
Though we do strive to guarantee the information represented in this datasheet, AAA Biotech cannot be held responsible for any oversights or imprecisions. AAA Biotech reserves the right to adjust any aspect of this datasheet at any time and without notice. It is the responsibility of the customer to inform AAA Biotech of any product performance issues observed or experienced within 30 days of receipt of said product. To see additional details on this or any of our other policies, please see our Terms & Conditions page.Item has been added to Shopping Cart
If you are ready to order, navigate to Shopping Cart and get ready to checkout.
