Rabbit Aquaporin 4 Polyclonal Antibody | anti-AQP4 antibody
Anti-Aquaporin 4 antibody
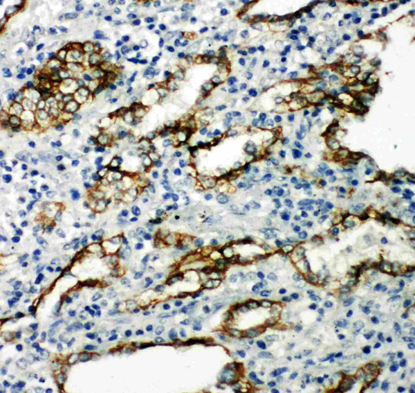
IHC (Immunohiostchemistry)
(Anti-Aquaporin 4 antibody, AAA45433, IHC(P)IHC(P): Human Lung Cancer Tissue)
WB (Western Blot)
(Anti-Aquaporin 4 antibody, AAA45433, Western blottingLane 1: Rat Heart Tissue LysateLane 2: Rat Brain Tissue LysateLane 3: Rat Kidney Tissue LysateLane 4: HT1080 Cell LysateLane 5: MCF-7 Cell LysateLane 6: COLO320 Cell Lysate)
Background: AQP4(Aquaporin 4), also known as MERCURIAL-INSENSITIVE WATER CHANNEL; MIWC, is protein which in humans is encoded by the AQP4 gene. The aquaporins are a family of water-selective membrane channels found in animals, plants, and microorganisms. AQP4 is the predominant water channel in the brain and has an important role in brain water homeostasis. By fluorescence in situ hybridization, Lu et al.(1996) determined that the AQP4 gene maps to 18q11.2-q12.1. By interspecific backcross analysis, Turtzo et al.(1997) mapped the mouse Aqp4 gene to the proximal region of chromosome 18. Analyzing the expression of AQP4 in mammalian skeletal muscle, Frigeri et al.(1998) found that, in immunohistochemical experiments, affinity-purified AQP4 antibodies stained selectively the sarcolemma of fast-twitch fibers. Immunocytochemistry revealed strong AQP4 water channel expression in Muller cells in mouse retina and in fibrous astrocytes in optic nerve.
NCBI and Uniprot Product Information
Customer Reviews
Loading reviews...
Share Your Experience
Similar Products
Product Notes
The AQP4 aqp4 (Catalog #AAA45433) is an Antibody produced from Rabbit and is intended for research purposes only. The product is available for immediate purchase. The Anti-Aquaporin 4 antibody reacts with Human, Mouse, Rat and may cross-react with other species as described in the data sheet. AAA Biotech's Aquaporin 4 can be used in a range of immunoassay formats including, but not limited to, IHC (Immunohistochemistry), WB (Western Blot). Researchers should empirically determine the suitability of the AQP4 aqp4 for an application not listed in the data sheet. Researchers commonly develop new applications and it is an integral, important part of the investigative research process. It is sometimes possible for the material contained within the vial of "Aquaporin 4, Polyclonal Antibody" to become dispersed throughout the inside of the vial, particularly around the seal of said vial, during shipment and storage. We always suggest centrifuging these vials to consolidate all of the liquid away from the lid and to the bottom of the vial prior to opening. Please be advised that certain products may require dry ice for shipping and that, if this is the case, an additional dry ice fee may also be required.Precautions
All products in the AAA Biotech catalog are strictly for research-use only, and are absolutely not suitable for use in any sort of medical, therapeutic, prophylactic, in-vivo, or diagnostic capacity. By purchasing a product from AAA Biotech, you are explicitly certifying that said products will be properly tested and used in line with industry standard. AAA Biotech and its authorized distribution partners reserve the right to refuse to fulfill any order if we have any indication that a purchaser may be intending to use a product outside of our accepted criteria.Disclaimer
Though we do strive to guarantee the information represented in this datasheet, AAA Biotech cannot be held responsible for any oversights or imprecisions. AAA Biotech reserves the right to adjust any aspect of this datasheet at any time and without notice. It is the responsibility of the customer to inform AAA Biotech of any product performance issues observed or experienced within 30 days of receipt of said product. To see additional details on this or any of our other policies, please see our Terms & Conditions page.Item has been added to Shopping Cart
If you are ready to order, navigate to Shopping Cart and get ready to checkout.
