Rabbit anti-Human, Mouse ARF1 Polyclonal Antibody | anti-ARF1 antibody
ARF1 Antibody
Reactivity
Human, Mouse
Applications
ELISA, Western Blot
Purity
The antiserum was purified by peptide affinity chromatography using SulfoLink Coupling Resin.
Synonyms
ARF1, Antibody; ARF1 Antibody; ADP Ribosylation Factor 1; ADP-ribosylation factor 1; ARF 1; ARF1; ARF1_HUMAN; anti-ARF1 antibody
Host
Rabbit
Reactivity
Human, Mouse
Clonality
Polyclonal
Isotype
IgG
Specificity
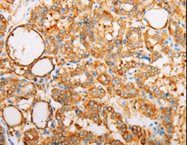
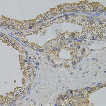
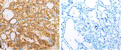
ARF1 antibody detects endogenous levels of total ARF1
Purity/Purification
The antiserum was purified by peptide affinity chromatography using SulfoLink Coupling Resin.
Form/Format
Liquid
Phosphate buffered saline, pH 7.4, 150mM NaCl, 0.02% sodium azide and 50% glycerol.
Phosphate buffered saline, pH 7.4, 150mM NaCl, 0.02% sodium azide and 50% glycerol.
Concentration
1mg/ml (varies by lot)
Sequence Length
181
Applicable Applications for anti-ARF1 antibody
ELISA, WB (Western Blot)
Immunogen
A synthesized peptide derived from human ARF1
Subcellular Location
Golgi Apparatus. Cytoplasm > Perinuclear Region.
Predicted Cross Reactivity
Pig, Zebrafish, Bovine, Sheep, Rabbit, Chicken, Xenopus
Similarity
Pig (100%), Zebrafish (100%), Bovine (100%), Sheep (100%), Rabbit (100%), Chicken (100%), Xenopus (100%)
Conjugation
Unconjugated
Preparation and Storage
Store at -20 degree C. Stable for 12 months from date of receipt.
Related Product Information for anti-ARF1 antibody
Function: GTP-binding protein that functions as an allosteric activator of the cholera toxin catalytic subunit, an ADP-ribosyltransferase. Involved in protein trafficking among different compartments. Modulates vesicle budding and uncoating within the Golgi complex. Deactivation induces the redistribution of the entire Golgi complex to the endoplasmic reticulum, suggesting a crucial role in protein trafficking. In its GTP-bound form, its triggers the association with coat proteins with the Golgi membrane. The hydrolysis of ARF1-bound GTP, which is mediated by ARFGAPs proteins, is required for dissociation of coat proteins from Golgi membranes and vesicles. The GTP-bound form interacts with PICK1 to limit PICK1-mediated inhibition of Arp2/3 complex activity; the function is linked to AMPA receptor (AMPAR) trafficking, regulation of synaptic plasicity of excitatory synapses and spine shrinkage during long-term depression (LTD).
Subunit Structure: Interacts with ARHGAP21, ASAP2, GGA1, HERC1, PRKCABP, PIP5K1B, TMED2, PSCD2, TMED10 and GRIA2. Interacts with ARFGAP1, which hydrolyzes GTP and thus, regulates its function. Interacts with PI4KB in the Golgi complex. Interacts with NCS1/FREQ in the Golgi and at the plasma membrane. Interacts with PLEKHA3. Interacts with PLEKHA8; the interaction, together with phosphatidylinositol 4-phosphate binding, is required for FAPP2-mediated glucosylceramide transfer activity. Interacts (activated) with PICK1 (via PDZ domain); the interaction blocks Arp2/3 complex inhibition. Interacts with IQSEC1 (PubMed:24058294). Interacts with C9orf72 (By similarity).
Post-translational Modifications: Demyristoylated by S.flexneri cysteine protease IpaJ which cleaves the peptide bond between N-myristoylated Gly-2 and Asn-3.
Similarity: Belongs to the small GTPase superfamily. Arf family.
Subunit Structure: Interacts with ARHGAP21, ASAP2, GGA1, HERC1, PRKCABP, PIP5K1B, TMED2, PSCD2, TMED10 and GRIA2. Interacts with ARFGAP1, which hydrolyzes GTP and thus, regulates its function. Interacts with PI4KB in the Golgi complex. Interacts with NCS1/FREQ in the Golgi and at the plasma membrane. Interacts with PLEKHA3. Interacts with PLEKHA8; the interaction, together with phosphatidylinositol 4-phosphate binding, is required for FAPP2-mediated glucosylceramide transfer activity. Interacts (activated) with PICK1 (via PDZ domain); the interaction blocks Arp2/3 complex inhibition. Interacts with IQSEC1 (PubMed:24058294). Interacts with C9orf72 (By similarity).
Post-translational Modifications: Demyristoylated by S.flexneri cysteine protease IpaJ which cleaves the peptide bond between N-myristoylated Gly-2 and Asn-3.
Similarity: Belongs to the small GTPase superfamily. Arf family.
NCBI and Uniprot Product Information
NCBI GI #
NCBI GeneID
NCBI Accession #
NCBI GenBank Nucleotide #
Molecular Weight
Observed: 20 kDa
Predicted: 21 kDa
Predicted: 21 kDa
NCBI Official Full Name
ADP-ribosylation factor 1
NCBI Official Synonym Full Names
ADP ribosylation factor 1
NCBI Official Symbol
ARF1
NCBI Protein Information
ADP-ribosylation factor 1
UniProt Protein Name
ADP-ribosylation factor 1
UniProt Gene Name
ARF1
Customer Reviews
Loading reviews...
Share Your Experience
Similar Products
Product Notes
The ARF1 arf1 (Catalog #AAA327270) is an Antibody produced from Rabbit and is intended for research purposes only. The product is available for immediate purchase. The ARF1 Antibody reacts with Human, Mouse and may cross-react with other species as described in the data sheet. AAA Biotech's ARF1 can be used in a range of immunoassay formats including, but not limited to, ELISA, WB (Western Blot). Researchers should empirically determine the suitability of the ARF1 arf1 for an application not listed in the data sheet. Researchers commonly develop new applications and it is an integral, important part of the investigative research process. It is sometimes possible for the material contained within the vial of "ARF1, Polyclonal Antibody" to become dispersed throughout the inside of the vial, particularly around the seal of said vial, during shipment and storage. We always suggest centrifuging these vials to consolidate all of the liquid away from the lid and to the bottom of the vial prior to opening. Please be advised that certain products may require dry ice for shipping and that, if this is the case, an additional dry ice fee may also be required.Precautions
All products in the AAA Biotech catalog are strictly for research-use only, and are absolutely not suitable for use in any sort of medical, therapeutic, prophylactic, in-vivo, or diagnostic capacity. By purchasing a product from AAA Biotech, you are explicitly certifying that said products will be properly tested and used in line with industry standard. AAA Biotech and its authorized distribution partners reserve the right to refuse to fulfill any order if we have any indication that a purchaser may be intending to use a product outside of our accepted criteria.Disclaimer
Though we do strive to guarantee the information represented in this datasheet, AAA Biotech cannot be held responsible for any oversights or imprecisions. AAA Biotech reserves the right to adjust any aspect of this datasheet at any time and without notice. It is the responsibility of the customer to inform AAA Biotech of any product performance issues observed or experienced within 30 days of receipt of said product. To see additional details on this or any of our other policies, please see our Terms & Conditions page.Item has been added to Shopping Cart
If you are ready to order, navigate to Shopping Cart and get ready to checkout.
