Rabbit ARF6 Polyclonal Antibody | anti-ARF6 antibody
ARF6 Antibody
Phosphate buffered saline, pH 7.4, 150mM NaCl, 0.02% sodium azide and 50% glycerol.
WB (Western Blot)
(Western blot analysis of A431 using ART6 antibody. The lane on the left is treated with the antigen-specific peptide.)
IF (Immunofluorescence)
(AAA325952 staining COLO205 cells by IF/ICC. The sample were fixed with PFA and permeabilized in 0.1% Triton X-100, then blocked in 10% serum for 45 minutes at 25 degree C. The primary antibody was diluted at 1/200 and incubated with the sample for 1 hour at 37 degree C. An Alexa Fluor 594 conjugated goat anti-rabbit IgG (H+L) antibody, diluted at 1/600, was used as secondary antibody.)
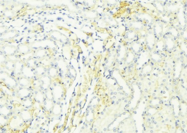
IHC (Immunohistochemistry)
(AAA325952 at 1/100 staining Mouse kidney tissue by IHC-P. The sample was formaldehyde fixed and a heat mediated antigen retrieval step in citrate buffer was performed. The sample was then blocked and incubated with the antibody for 1.5 hours at 22 degree C. An HRP conjugated goat anti-rabbit antibody was used as the secondary.)
Function: GTP-binding protein involved in protein trafficking that regulates endocytic recycling and cytoskeleton remodeling (PubMed:11266366, PubMed:21170023, PubMed:16737952, PubMed:7589240, PubMed:18400762). Required for normal completion of mitotic cytokinesis (By similarity). Plays a role in the reorganization of the actin cytoskeleton and the formation of stress fibers (By similarity). May also modulate vesicle budding and uncoating within the Golgi apparatus. Involved in the regulation of dendritic spine development, contributing to the regulation of dendritic branching and filopodia extension (PubMed:14978216). Plays an important role in membrane trafficking, during junctional remodeling and epithelial polarization. Regulates surface levels of adherens junction proteins such as CDH1 (By similarity).
Subunit Structure: Interacts with PIP5K1C (PubMed:12847086). Interacts with USP6 (via Rab-GAP TBC domain) (PubMed:15509780). Interacts with RAB11FIP3 and RAB11FIP4 (PubMed:16148947, PubMed:17030804, PubMed:17628206). Interacts with HERC1 (PubMed:15642342). Interacts with ARHGAP21 (PubMed:15793564). Interacts with ASAP3; the interaction is stabilized by calcium ions (PubMed:16737952, PubMed:20510928). Interacts with NCS1/FREQ at the plasma membrane (PubMed:17555535). Interacts with TBC1D24 (PubMed:20727515). Interacts with ECPAS (PubMed:20682791). Interacts with MICALL1 (PubMed:21951725). Interacts with SPAG9 homodimers, forming heterotetramers (PubMed:19644450). Interacts with CYTH3 (PubMed:23940353). Interacts with ASAP2 (By similarity). Interacts with UACA (By similarity). Interacts with KIF23, forming heterodimers and heterotetramers (By similarity). Interacts with GGA1 (By similarity). Interacts with C9orf72 (By similarity).
Similarity: Belongs to the small GTPase superfamily. Arf family.
NCBI and Uniprot Product Information
Predicted: 21 kDa
Customer Reviews
Loading reviews...
Share Your Experience
Similar Products
Product Notes
The ARF6 arf6 (Catalog #AAA325952) is an Antibody produced from Rabbit and is intended for research purposes only. The product is available for immediate purchase. The ARF6 Antibody reacts with Human, Mouse, Rat and may cross-react with other species as described in the data sheet. AAA Biotech's ARF6 can be used in a range of immunoassay formats including, but not limited to, ELISA, ICC (Immunocytochemistry), IF (Immunofluorescence), IHC (Immunohistochemistry), WB (Western Blot). Researchers should empirically determine the suitability of the ARF6 arf6 for an application not listed in the data sheet. Researchers commonly develop new applications and it is an integral, important part of the investigative research process. It is sometimes possible for the material contained within the vial of "ARF6, Polyclonal Antibody" to become dispersed throughout the inside of the vial, particularly around the seal of said vial, during shipment and storage. We always suggest centrifuging these vials to consolidate all of the liquid away from the lid and to the bottom of the vial prior to opening. Please be advised that certain products may require dry ice for shipping and that, if this is the case, an additional dry ice fee may also be required.Precautions
All products in the AAA Biotech catalog are strictly for research-use only, and are absolutely not suitable for use in any sort of medical, therapeutic, prophylactic, in-vivo, or diagnostic capacity. By purchasing a product from AAA Biotech, you are explicitly certifying that said products will be properly tested and used in line with industry standard. AAA Biotech and its authorized distribution partners reserve the right to refuse to fulfill any order if we have any indication that a purchaser may be intending to use a product outside of our accepted criteria.Disclaimer
Though we do strive to guarantee the information represented in this datasheet, AAA Biotech cannot be held responsible for any oversights or imprecisions. AAA Biotech reserves the right to adjust any aspect of this datasheet at any time and without notice. It is the responsibility of the customer to inform AAA Biotech of any product performance issues observed or experienced within 30 days of receipt of said product. To see additional details on this or any of our other policies, please see our Terms & Conditions page.Item has been added to Shopping Cart
If you are ready to order, navigate to Shopping Cart and get ready to checkout.
