Rabbit ARL6 Polyclonal Antibody | anti-ARL6 antibody
ARL6 Rabbit anti-Human Polyclonal Antibody
DISCONTINUED
This product has been discontinued and is no longer available for purchase. Please contact us for alternative products or more information.
|
This product is discontinued. Contact us for alternatives. |
IHC-P: 1:200
WB: 1:500-1:2000
The predicted MW is 21kDa, while the observed MW by Western blot was 21kDa.
IHC (Immunohistochemistry)
(ARL6 Antibody-Immunohistochemistry of paraffin-embedded human colon using ARL6 antibody at dilution of 1:100 (x40 lens).)
IHC (Immunohistochemistry)
(ARL6 Antibody-Immunohistochemistry of paraffin-embedded human prostate using ARL6 antibody at dilution of 1:100 (x40 lens).)
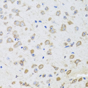
IHC (Immunohistchemistry)
(ARL6 Antibody-Immunohistochemistry of paraffin-embedded mouse brain using ARL6 antibody at dilution of 1:100 (x40 lens).)
IHC (Immunohistochemistry)
(ARL6 Antibody-Immunohistochemistry of paraffin-embedded human liver injury using ARL6 antibody at dilution of 1:100 (x40 lens).)
WB (Western Blot)
(ARL6 Antibody-Western blot blot of extracts of various cell lines, using ARL6 antibody.)
NCBI and Uniprot Product Information
Customer Reviews
Loading reviews...
Share Your Experience
Similar Products
Product Notes
The ARL6 arl6 (Catalog #AAA21297) is an Antibody produced from Rabbit and is intended for research purposes only. The product is available for immediate purchase. The ARL6 Rabbit anti-Human Polyclonal Antibody reacts with Mouse, Rat, Human and may cross-react with other species as described in the data sheet. AAA Biotech's ARL6 can be used in a range of immunoassay formats including, but not limited to, IHC (Immunohistochemistry), IHC (Immunohistochemistry), WB (Western Blot). IHC: 1:50-1:100 IHC-P: 1:200 WB: 1:500-1:2000 The predicted MW is 21kDa, while the observed MW by Western blot was 21kDa. Researchers should empirically determine the suitability of the ARL6 arl6 for an application not listed in the data sheet. Researchers commonly develop new applications and it is an integral, important part of the investigative research process. It is sometimes possible for the material contained within the vial of "ARL6, Polyclonal Antibody" to become dispersed throughout the inside of the vial, particularly around the seal of said vial, during shipment and storage. We always suggest centrifuging these vials to consolidate all of the liquid away from the lid and to the bottom of the vial prior to opening. Please be advised that certain products may require dry ice for shipping and that, if this is the case, an additional dry ice fee may also be required.Precautions
All products in the AAA Biotech catalog are strictly for research-use only, and are absolutely not suitable for use in any sort of medical, therapeutic, prophylactic, in-vivo, or diagnostic capacity. By purchasing a product from AAA Biotech, you are explicitly certifying that said products will be properly tested and used in line with industry standard. AAA Biotech and its authorized distribution partners reserve the right to refuse to fulfill any order if we have any indication that a purchaser may be intending to use a product outside of our accepted criteria.Disclaimer
Though we do strive to guarantee the information represented in this datasheet, AAA Biotech cannot be held responsible for any oversights or imprecisions. AAA Biotech reserves the right to adjust any aspect of this datasheet at any time and without notice. It is the responsibility of the customer to inform AAA Biotech of any product performance issues observed or experienced within 30 days of receipt of said product. To see additional details on this or any of our other policies, please see our Terms & Conditions page.Item has been added to Shopping Cart
If you are ready to order, navigate to Shopping Cart and get ready to checkout.
