Rabbit ASAP2/DDEF2 Polyclonal Antibody | anti-ASAP2/DDEF2 antibody
Anti-ASAP2/DDEF2 Antibody (Internal)
Gene Names
ASAP2; PAP; PAG3; AMAP2; DDEF2; SHAG1; CENTB3; Pap-alpha
Reactivity
HumanPredicted: Mouse, Rat
Applications
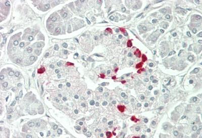
Western Blot, Immunohistochemistry
Purity
Immunoaffinity Purified
Synonyms
ASAP2/DDEF2, Antibody; Anti-ASAP2/DDEF2 Antibody (Internal); Rabbit Polyclonal to Human ASAP2/DDEF2; ASAP2; AMAP2; Centaurin; beta 3; DDEF2; CENTB3; PAP; KIAA0400; SHAG1; PAG3; PAP-alpha; anti-ASAP2/DDEF2 antibody
Host
Rabbit
Reactivity
Human
Predicted: Mouse, Rat
Predicted: Mouse, Rat
Clonality
Polyclonal
Specificity
Recognizes endogenous levels of DDEF2 protein.
Purity/Purification
Immunoaffinity Purified
Form/Format
PBS, pH 7.3, 0.01% sodium azide, 30% glycerol.
Sequence Length
1006
Applicable Applications for anti-ASAP2/DDEF2 antibody
WB (Western Blot), IHC (Immunohistochemistry)
Immunogen
KLH-conjugated synthetic peptide encompassing a sequence within the central region of human DDEF2.
Conjugation
Unconjugated
Epitope
Internal
Preparation and Storage
Store at -20 degree C.
Aliquot to avoid freeze/thaw cycles.
Aliquot to avoid freeze/thaw cycles.
WB (Western Blot)
(Western blot analysis of DDEF2 expression in HEK293T (A); NS-1 (B); H9C2 (C) whole cell lysates.)
Related Product Information for anti-ASAP2/DDEF2 antibody
ASAP2/DDEF2 is a multi domain protein containing an N-terminal alpha-helical region with a coiled-coil motif, followed by a pleckstrin homology (PH) domain, an Arf-GAP domain, an ankyrin homology region, aproline-rich region, and a C-terminal Src homology 3 (SH3) domain. the protein localizes in the Golgi apparatus and at the plasma membrane, where it colocalizes with protein tyrosine kinase 2-beta (PYK2). the encoded protein forms a stable complex with PYK2 in vivo.
NCBI and Uniprot Product Information
NCBI GI #
NCBI GeneID
NCBI Accession #
NCBI GenBank Nucleotide #
Molecular Weight
106,982 Da
NCBI Official Full Name
arf-GAP with SH3 domain, ANK repeat and PH domain-containing protein 2 isoform a
NCBI Official Synonym Full Names
ArfGAP with SH3 domain, ankyrin repeat and PH domain 2
NCBI Official Symbol
ASAP2
NCBI Official Synonym Symbols
PAP; PAG3; AMAP2; DDEF2; SHAG1; CENTB3; Pap-alpha
NCBI Protein Information
arf-GAP with SH3 domain, ANK repeat and PH domain-containing protein 2
UniProt Protein Name
Arf-GAP with SH3 domain, ANK repeat and PH domain-containing protein 2
UniProt Gene Name
ASAP2
UniProt Synonym Gene Names
DDEF2; KIAA0400; PAG3; PAP
Similar Products
Product Notes
The ASAP2/DDEF2 asap2 (Catalog #AAA162402) is an Antibody produced from Rabbit and is intended for research purposes only. The product is available for immediate purchase. The Anti-ASAP2/DDEF2 Antibody (Internal) reacts with Human Predicted: Mouse, Rat and may cross-react with other species as described in the data sheet. AAA Biotech's ASAP2/DDEF2 can be used in a range of immunoassay formats including, but not limited to, WB (Western Blot), IHC (Immunohistochemistry). Researchers should empirically determine the suitability of the ASAP2/DDEF2 asap2 for an application not listed in the data sheet. Researchers commonly develop new applications and it is an integral, important part of the investigative research process. It is sometimes possible for the material contained within the vial of "ASAP2/DDEF2, Polyclonal Antibody" to become dispersed throughout the inside of the vial, particularly around the seal of said vial, during shipment and storage. We always suggest centrifuging these vials to consolidate all of the liquid away from the lid and to the bottom of the vial prior to opening. Please be advised that certain products may require dry ice for shipping and that, if this is the case, an additional dry ice fee may also be required.Precautions
All products in the AAA Biotech catalog are strictly for research-use only, and are absolutely not suitable for use in any sort of medical, therapeutic, prophylactic, in-vivo, or diagnostic capacity. By purchasing a product from AAA Biotech, you are explicitly certifying that said products will be properly tested and used in line with industry standard. AAA Biotech and its authorized distribution partners reserve the right to refuse to fulfill any order if we have any indication that a purchaser may be intending to use a product outside of our accepted criteria.Disclaimer
Though we do strive to guarantee the information represented in this datasheet, AAA Biotech cannot be held responsible for any oversights or imprecisions. AAA Biotech reserves the right to adjust any aspect of this datasheet at any time and without notice. It is the responsibility of the customer to inform AAA Biotech of any product performance issues observed or experienced within 30 days of receipt of said product. To see additional details on this or any of our other policies, please see our Terms & Conditions page.Item has been added to Shopping Cart
If you are ready to order, navigate to Shopping Cart and get ready to checkout.
