Rabbit anti-Human ASB4 Polyclonal Antibody | anti-ASB4 antibody
ASB4 antibody
Gene Names
ASB4; ASB-4
Reactivity
Human
Applications
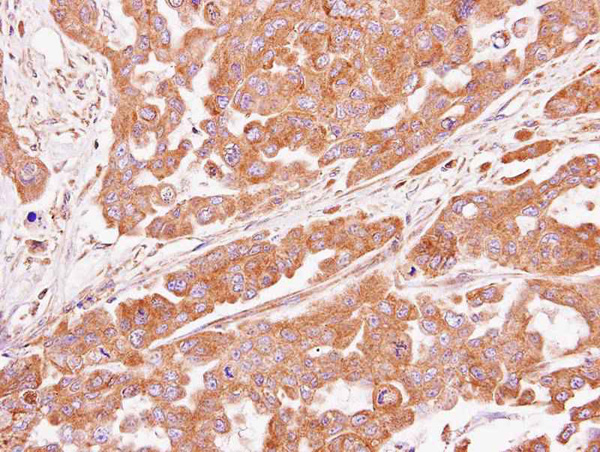
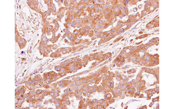
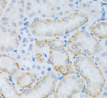
Immunohistochemistry, Western Blot
Purity
Purified by antigen-affinity chromatography.
Synonyms
ASB4, Antibody; ASB4 antibody; anti-ASB4 antibody
Host
Rabbit
Reactivity
Human
Clonality
Polyclonal
Purity/Purification
Purified by antigen-affinity chromatography.
Form/Format
Supplied in 0.1M Tris-buffered saline with 10% Glycerol (pH7.0). 0.01% Thimerosal was added as a preservative.
Sequence Length
349
Applicable Applications for anti-ASB4 antibody
IHC (Immunohistochemistry), WB (Western Blot)
Immunogen Type
Recombinant protein
Immunogen Description
Recombinant protein fragment contain a sequence corresponding to a region within amino acids 29 and 327 of Human ASB4
Target Name
ASB4
Preparation and Storage
Store at -20 degree C for long term preservation (recommended). Store at 4 degree C for short term use.
Related Product Information for anti-ASB4 antibody
The protein encoded by this gene is a member of the ankyrin repeat and SOCS box-containing (ASB) family of proteins. They contain ankyrin repeat sequence and SOCS box domain. The SOCS box serves to couple suppressor of cytokine signalling (SOCS) proteins and their binding partners with the elongin B and C complex, possibly targeting them for degradation. Multiple alternatively spliced transcript variants have been described for this gene but some of the full length sequences are not known. [provided by RefSeq]
Product Categories/Family for anti-ASB4 antibody
NCBI and Uniprot Product Information
NCBI GI #
NCBI GeneID
NCBI Accession #
NCBI GenBank Nucleotide #
Molecular Weight
38,931 Da
NCBI Official Full Name
ankyrin repeat and SOCS box protein 4 isoform b
NCBI Official Synonym Full Names
ankyrin repeat and SOCS box containing 4
NCBI Official Symbol
ASB4
NCBI Official Synonym Symbols
ASB-4
NCBI Protein Information
ankyrin repeat and SOCS box protein 4
UniProt Protein Name
Ankyrin repeat and SOCS box protein 4
UniProt Gene Name
ASB4
UniProt Synonym Gene Names
ASB-4
UniProt Entry Name
ASB4_HUMAN
Customer Reviews
Loading reviews...
Share Your Experience
Similar Products
Product Notes
The ASB4 asb4 (Catalog #AAA306012) is an Antibody produced from Rabbit and is intended for research purposes only. The product is available for immediate purchase. The ASB4 antibody reacts with Human and may cross-react with other species as described in the data sheet. AAA Biotech's ASB4 can be used in a range of immunoassay formats including, but not limited to, IHC (Immunohistochemistry), WB (Western Blot). Researchers should empirically determine the suitability of the ASB4 asb4 for an application not listed in the data sheet. Researchers commonly develop new applications and it is an integral, important part of the investigative research process. It is sometimes possible for the material contained within the vial of "ASB4, Polyclonal Antibody" to become dispersed throughout the inside of the vial, particularly around the seal of said vial, during shipment and storage. We always suggest centrifuging these vials to consolidate all of the liquid away from the lid and to the bottom of the vial prior to opening. Please be advised that certain products may require dry ice for shipping and that, if this is the case, an additional dry ice fee may also be required.Precautions
All products in the AAA Biotech catalog are strictly for research-use only, and are absolutely not suitable for use in any sort of medical, therapeutic, prophylactic, in-vivo, or diagnostic capacity. By purchasing a product from AAA Biotech, you are explicitly certifying that said products will be properly tested and used in line with industry standard. AAA Biotech and its authorized distribution partners reserve the right to refuse to fulfill any order if we have any indication that a purchaser may be intending to use a product outside of our accepted criteria.Disclaimer
Though we do strive to guarantee the information represented in this datasheet, AAA Biotech cannot be held responsible for any oversights or imprecisions. AAA Biotech reserves the right to adjust any aspect of this datasheet at any time and without notice. It is the responsibility of the customer to inform AAA Biotech of any product performance issues observed or experienced within 30 days of receipt of said product. To see additional details on this or any of our other policies, please see our Terms & Conditions page.Item has been added to Shopping Cart
If you are ready to order, navigate to Shopping Cart and get ready to checkout.
