Rabbit ASC/TMS1 Polyclonal Antibody | anti-ASC/TMS1 antibody
ASC/TMS1 Polyclonal Antibody
Gene Names
PYCARD; ASC; TMS; TMS1; CARD5; TMS-1
Reactivity
Human, Mouse, Rat
Applications
Immunoprecipitation, Immunofluorescence, Immunohistochemistry, Western Blot
Purity
Affinity Purification
Synonyms
ASC/TMS1, Antibody; ASC/TMS1 Polyclonal Antibody; PYCARD Polyclonal Antibody; PYCARD; ASC; CARD5; TMS; TMS-1; TMS1; PYD and CARD domain containing; anti-ASC/TMS1 antibody
Host
Rabbit
Reactivity
Human, Mouse, Rat
Clonality
Polyclonal
Isotype
IgG
Purity/Purification
Affinity Purification
Form/Format
PBS with 0.05% proclin300,50% glycerol,pH7.3.
Concentration
3.66 mg/ml (varies by lot)
Sequence Length
195
Applicable Applications for anti-ASC/TMS1 antibody
IP (Immunoprecipitation), IF (Immunofluorescence), IHC (Immunohistochemistry), WB (Western Blot)
Immunogen
Recombinant protein of human ASC/TMS1.
Positive Samples
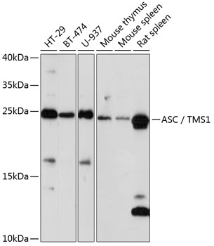
HT-29, BT-474, U-937, Mouse Thymus, Mouse Spleen, Rat Spleen
Cellular Location
Cytoplasm, Endoplasmic Reticulum, Mitochondrion, Nucleus
Preparation and Storage
Store at -20 degree C. Avoid freeze/thaw cycles.
Related Product Information for anti-ASC/TMS1 antibody
This gene encodes an adaptor protein that is composed of two protein-protein interaction domains: a N-terminal PYRIN-PAAD-DAPIN domain (PYD) and a C-terminal caspase-recruitment domain (CARD). The PYD and CARD domains are members of the six-helix bundle death domain-fold superfamily that mediates assembly of large signaling complexes in the inflammatory and apoptotic signaling pathways via the activation of caspase. In normal cells, this protein is localized to the cytoplasm; however, in cells undergoing apoptosis, it forms ball-like aggregates near the nuclear periphery. Two transcript variants encoding different isoforms have been found for this gene.
NCBI and Uniprot Product Information
NCBI GI #
NCBI GeneID
UniProt Accession #
Molecular Weight
Calculated: 15kDa; 19kDa; 21kDa
Observed: 25kDa
Observed: 25kDa
NCBI Official Full Name
Apoptosis-associated speck-like protein containing a CARD
NCBI Official Synonym Full Names
PYD and CARD domain containing
NCBI Official Symbol
PYCARD
NCBI Official Synonym Symbols
ASC; TMS; TMS1; CARD5; TMS-1
NCBI Protein Information
apoptosis-associated speck-like protein containing a CARD
UniProt Protein Name
Apoptosis-associated speck-like protein containing a CARD
UniProt Gene Name
PYCARD
UniProt Synonym Gene Names
ASC; CARD5; TMS1; hASC
UniProt Entry Name
ASC_HUMAN
Customer Reviews
Loading reviews...
Share Your Experience
Similar Products
Product Notes
The ASC/TMS1 pycard (Catalog #AAA281478) is an Antibody produced from Rabbit and is intended for research purposes only. The product is available for immediate purchase. The ASC/TMS1 Polyclonal Antibody reacts with Human, Mouse, Rat and may cross-react with other species as described in the data sheet. AAA Biotech's ASC/TMS1 can be used in a range of immunoassay formats including, but not limited to, IP (Immunoprecipitation), IF (Immunofluorescence), IHC (Immunohistochemistry), WB (Western Blot). Researchers should empirically determine the suitability of the ASC/TMS1 pycard for an application not listed in the data sheet. Researchers commonly develop new applications and it is an integral, important part of the investigative research process. It is sometimes possible for the material contained within the vial of "ASC/TMS1, Polyclonal Antibody" to become dispersed throughout the inside of the vial, particularly around the seal of said vial, during shipment and storage. We always suggest centrifuging these vials to consolidate all of the liquid away from the lid and to the bottom of the vial prior to opening. Please be advised that certain products may require dry ice for shipping and that, if this is the case, an additional dry ice fee may also be required.Precautions
All products in the AAA Biotech catalog are strictly for research-use only, and are absolutely not suitable for use in any sort of medical, therapeutic, prophylactic, in-vivo, or diagnostic capacity. By purchasing a product from AAA Biotech, you are explicitly certifying that said products will be properly tested and used in line with industry standard. AAA Biotech and its authorized distribution partners reserve the right to refuse to fulfill any order if we have any indication that a purchaser may be intending to use a product outside of our accepted criteria.Disclaimer
Though we do strive to guarantee the information represented in this datasheet, AAA Biotech cannot be held responsible for any oversights or imprecisions. AAA Biotech reserves the right to adjust any aspect of this datasheet at any time and without notice. It is the responsibility of the customer to inform AAA Biotech of any product performance issues observed or experienced within 30 days of receipt of said product. To see additional details on this or any of our other policies, please see our Terms & Conditions page.Item has been added to Shopping Cart
If you are ready to order, navigate to Shopping Cart and get ready to checkout.
