Rabbit anti-Human ASH2 Polyclonal Antibody | anti-ASH2 antibody
Rabbit anti-ASH2 Antibody, Affinity Purified
Shelf Life: 1 year from date of receipt
WB (Western Blot)
(Detection of human ASH2 by western blot and immunoprecipitation. Samples: A. Whole cell lysate from HEK293T cells that were mock transfected (E, 50 ug) or transfected with ASH2 expression constructs containing HA-tagged ASH2 (H, 25 ug) or DYKDDDDK-tagged ASH2 (F, 25 ug). B. Whole cell lysate from one 10cm plate of normal 293T cells (~1 mg protein; 1/2 of IP loaded/lane). Antibodies: Affinity purified rabbit anti-ASH2 antibody AAA210981 used at 1 ug/ml for WB (A and B) and at 5 ug/plate for IP. ASH2 was also immunoprecipitated with rabbit anti-ASH2 antibody using 5 ug/plate. Detection: Chemiluminescence with an exposure time of 1 second (A and B).)
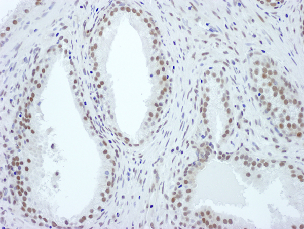
IHC (Immunohiostchemistry)
(Detection of human ASH2 by immunohistochemistry. Sample: FFPE section of human prostate carcinoma. Antibody: Affinity purified rabbit anti-ASH2 (Cat. No. AAA210981 Lot2) used at a dilution of 1:1,000 (1ug/ml). Detection: DAB)
ChIP (Chromatin Immunoprecipitation)
(ChIP-chip scatter plot of anti-Ash2 enriched DNA binding sites versus input reference DNA. A. 10 ug of AAA210981 was used to immunoprecipitate chromatin from K-562 cells according to Ren et al (Genes Dev. 2002 16: 245-256). Immunoprecipitated DNA and reference DNA were amplified via ligation-mediated PCR and the products labeled with fluorescent dNTPs. The labeled ChIP and reference DNA were pooled, hybridized to a DNA microarray, and analyzed. Data points below the +3 SD curve (red line) represent significantly enriched binding sites. B. As a control, a similar experiment was performed using normal rabbit IgG. Compared to the anti-Ash2 ChIP, normal rabbit IgG showed little enrichment.)
NCBI and Uniprot Product Information
Customer Reviews
Loading reviews...
Share Your Experience
Similar Products
Product Notes
The ASH2 ash2l (Catalog #AAA210981) is an Antibody produced from Rabbit and is intended for research purposes only. The product is available for immediate purchase. The Rabbit anti-ASH2 Antibody, Affinity Purified reacts with Human and may cross-react with other species as described in the data sheet. AAA Biotech's ASH2 can be used in a range of immunoassay formats including, but not limited to, ChIP (Chromatin immunoprecipitation), ChIP (Chromatin immunoprecipitation), IHC (Immunohistochemistry), IP (Immunoprecipitation), WB (Western Blot). Researchers should empirically determine the suitability of the ASH2 ash2l for an application not listed in the data sheet. Researchers commonly develop new applications and it is an integral, important part of the investigative research process. It is sometimes possible for the material contained within the vial of "ASH2, Polyclonal Antibody" to become dispersed throughout the inside of the vial, particularly around the seal of said vial, during shipment and storage. We always suggest centrifuging these vials to consolidate all of the liquid away from the lid and to the bottom of the vial prior to opening. Please be advised that certain products may require dry ice for shipping and that, if this is the case, an additional dry ice fee may also be required.Precautions
All products in the AAA Biotech catalog are strictly for research-use only, and are absolutely not suitable for use in any sort of medical, therapeutic, prophylactic, in-vivo, or diagnostic capacity. By purchasing a product from AAA Biotech, you are explicitly certifying that said products will be properly tested and used in line with industry standard. AAA Biotech and its authorized distribution partners reserve the right to refuse to fulfill any order if we have any indication that a purchaser may be intending to use a product outside of our accepted criteria.Disclaimer
Though we do strive to guarantee the information represented in this datasheet, AAA Biotech cannot be held responsible for any oversights or imprecisions. AAA Biotech reserves the right to adjust any aspect of this datasheet at any time and without notice. It is the responsibility of the customer to inform AAA Biotech of any product performance issues observed or experienced within 30 days of receipt of said product. To see additional details on this or any of our other policies, please see our Terms & Conditions page.Item has been added to Shopping Cart
If you are ready to order, navigate to Shopping Cart and get ready to checkout.
